JavaScript is disabled in your browser. Please enable JavaScript to view this website.
AB315896

Anti-NOTUM antibody [EPR27981-76] - BSA and Azide free

Be the first to review this product! Submit a review

|

(0 Publication)

Rabbit Recombinant Monoclonal NOTUM antibody. Carrier free. Suitable for WB, IP and reacts with Human samples.

View Alternative Names

OK/SW-CL.30, NOTUM, Palmitoleoyl-protein carboxylesterase NOTUM, hNOTUM

4 Images
Immunoprecipitation - Anti-NOTUM antibody [EPR27981-76] - BSA and Azide free (AB315896)
  • IP

Supplier Data

Immunoprecipitation - Anti-NOTUM antibody [EPR27981-76] - BSA and Azide free (AB315896)

This data was developed using ab315895, the same antibody clone in a different buffer formulation.

NOTUM was immunoprecipitated from 0.35 mg HepG2 (human hepatocellular carcinoma epithelial cell) whole cell lysate with ab315895 at 1/30 dilution (2ug in 0.35mg lysates). Western blot was performed on the immunoprecipitate using ab315895 at 1/1000 dilution. VeriBlot for IP secondary antibody(HRP)(ab131366) was used at 1/5000 dilution.

Lane 1 : HepG2 (human hepatocellular carcinoma epithelial cell) whole cell lysate
Lane 2 : ab315895 IP in HepG2 (human hepatocellular carcinoma epithelial cell) whole cell lysate
Lane 3 : Rabbit monoclonal IgG (ab172730) instead of ab315895 in HepG2 whole cell lysate

All lanes:

Immunoprecipitation - Anti-NOTUM antibody [EPR27981-76] (<a href='/en-us/products/primary-antibodies/notum-antibody-epr27981-76-ab315895'>ab315895</a>) at 1/30 dilution

All lanes:

HepG2 (human hepatocellular carcinoma epithelial cell) whole cell lysate

Secondary

All lanes:

Immunoprecipitation - VeriBlot for IP Detection Reagent (HRP) (<a href='/en-us/products/reagents/veriblot-for-ip-detection-reagent-hrp-ab131366'>ab131366</a>) at 1/5000 dilution

false

Exposure time: 180s

Western blot - Anti-NOTUM antibody [EPR27981-76] - BSA and Azide free (AB315896)
  • WB

Supplier Data

Western blot - Anti-NOTUM antibody [EPR27981-76] - BSA and Azide free (AB315896)

This data was developed using ab315895, the same antibody clone in a different buffer formulation.

The identity of the bands at 15 kDa and 70 kDa are unknown.

In Western blot, Anti-GAPDH antibody [EPR16891] - Loading Control (ab181602) staining at 1/200000 dilution.

Exposure time : Lanes 1-2 : 180 seconds, lanes 3-4 : 39 seconds

All lanes:

Western blot - Anti-NOTUM antibody [EPR27981-76] (<a href='/en-us/products/primary-antibodies/notum-antibody-epr27981-76-ab315895'>ab315895</a>) at 1/1000 dilution

Lane 1:

Untreated SW480 (human colorectal adenocarcinoma epithelial cell) whole cell lysate at 20 µg

Lane 2:

SW480 treated with 300ng/ml BFA for 24 hours whole cell lysate at 20 µg

Lane 3:

Untreated SW620 (human colorectal adenocarcinoma epithelial cell) whole cell lysate at 20 µg

Lane 4:

SW620 treated with 300ng/ml BFA for 24 hours whole cell lysate at 20 µg

Secondary

All lanes:

Western blot - Goat Anti-Rabbit IgG H&L (HRP) (<a href='/en-us/products/secondary-antibodies/goat-rabbit-igg-h-l-hrp-ab97051'>ab97051</a>) at 1/20000 dilution

Observed band size: 55 kDa,36 kDa

false

Western blot - Anti-NOTUM antibody [EPR27981-76] - BSA and Azide free (AB315896)
  • WB

Supplier Data

Western blot - Anti-NOTUM antibody [EPR27981-76] - BSA and Azide free (AB315896)

This data was developed using ab315895, the same antibody clone in a different buffer formulation.

Low expression : Huh7 (PMID : 18429952).

The expression profile/ molecular weight observed is consistent with what has been described in the literature (PMID : 18429952).

In Western blot, Anti-GAPDH antibody [EPR16891] - Loading Control (ab181602) staining at 1/200000 dilution.

All lanes:

Western blot - Anti-NOTUM antibody [EPR27981-76] (<a href='/en-us/products/primary-antibodies/notum-antibody-epr27981-76-ab315895'>ab315895</a>) at 1/1000 dilution

Lane 1:

Untreated HepG2 (human hepatocellar carcinoma epithelial cell) whole cell lysate at 20 µg

Lane 2:

HepG2 treated with 300ng/ml BFA for 24 hours whole cell lysate at 20 µg

Lane 3:

Untreated Huh7 (human hepatocellar carcinoma epithelial cell) whole cell lysate at 20 µg

Lane 4:

Huh7 treated with 300ng/ml BFA for 24 hours whole cell lysate at 20 µg

Secondary

All lanes:

Western blot - Goat Anti-Rabbit IgG H&L (HRP) (<a href='/en-us/products/secondary-antibodies/goat-rabbit-igg-h-l-hrp-ab97051'>ab97051</a>) at 1/100000 dilution

Observed band size: 55 kDa,36 kDa

false

Exposure time: 92s

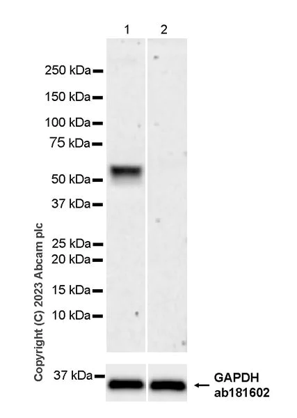
Western blot - Anti-NOTUM antibody [EPR27981-76] - BSA and Azide free (AB315896)
  • WB

Supplier Data

Western blot - Anti-NOTUM antibody [EPR27981-76] - BSA and Azide free (AB315896)

This data was developed using ab315895, the same antibody clone in a different buffer formulation.

Low expression : lung (PMID : 18429952).

In Western blot, Anti-GAPDH antibody [EPR16891] - Loading Control (ab181602) staining at 1/200000 dilution.

All lanes:

Western blot - Anti-NOTUM antibody [EPR27981-76] (<a href='/en-us/products/primary-antibodies/notum-antibody-epr27981-76-ab315895'>ab315895</a>) at 1/1000 dilution

Lane 1:

Human placenta tissue lysate at 20 µg

Lane 2:

Human lung tissue lysate at 20 µg

Secondary

All lanes:

Goat Anti-Rabbit IgG (HRP) with minimal cross-reactivity with human IgG at 1/2000 dilution

Observed band size: 55 kDa,36 kDa

false

Exposure time: 180s

Key facts

Host species

Rabbit

Clonality

Monoclonal

Clone number

EPR27981-76

Isotype

IgG

Carrier free

Yes

Reacts with

Human

Applications

IP, WB

applications

Immunogen

The exact immunogen used to generate this antibody is proprietary information.

Reactivity data

{ "title": "Reactivity Data", "filters": { "stats": ["", "Species", "Dilution Info", "Notes"], "tabs": { "all-applications": {"fullname" : "All Applications", "shortname": "All Applications"}, "WB" : {"fullname" : "Western blot", "shortname":"WB"}, "IP" : {"fullname" : "Immunoprecipitation", "shortname":"IP"}, "ICCIF" : {"fullname" : "Immunocytochemistry/ Immunofluorescence", "shortname":"ICC/IF"}, "FlowCytIntra" : {"fullname" : "Flow Cytometry (Intracellular)", "shortname":"Flow Cyt (Intra)"}, "IHCP" : {"fullname" : "Immunohistochemistry (Formalin/PFA-fixed paraffin-embedded sections)", "shortname":"IHC-P"} }, "product-promise": { "all": "all", "testedAndGuaranteed": "tested", "guaranteed": "expected", "predicted": "predicted", "notRecommended": "not-recommended" } }, "values": { "Human": { "WB-species-checked": "testedAndGuaranteed", "WB-species-dilution-info": "", "WB-species-notes": "<p></p>", "IP-species-checked": "testedAndGuaranteed", "IP-species-dilution-info": "", "IP-species-notes": "<p></p>", "ICCIF-species-checked": "notRecommended", "ICCIF-species-dilution-info": "", "ICCIF-species-notes": "<p></p>", "FlowCytIntra-species-checked": "notRecommended", "FlowCytIntra-species-dilution-info": "", "FlowCytIntra-species-notes": "<p></p>", "IHCP-species-checked": "notRecommended", "IHCP-species-dilution-info": "", "IHCP-species-notes": "<p></p>" }, "Mouse": { "WB-species-checked": "notRecommended", "WB-species-dilution-info": "", "WB-species-notes": "<p></p>", "IP-species-checked": "notRecommended", "IP-species-dilution-info": "", "IP-species-notes": "", "ICCIF-species-checked": "notRecommended", "ICCIF-species-dilution-info": "", "ICCIF-species-notes": "<p></p>", "FlowCytIntra-species-checked": "notRecommended", "FlowCytIntra-species-dilution-info": "", "FlowCytIntra-species-notes": "<p></p>", "IHCP-species-checked": "notRecommended", "IHCP-species-dilution-info": "", "IHCP-species-notes": "<p></p>" }, "Rat": { "WB-species-checked": "notRecommended", "WB-species-dilution-info": "", "WB-species-notes": "<p></p>", "IP-species-checked": "notRecommended", "IP-species-dilution-info": "", "IP-species-notes": "", "ICCIF-species-checked": "notRecommended", "ICCIF-species-dilution-info": "", "ICCIF-species-notes": "", "FlowCytIntra-species-checked": "notRecommended", "FlowCytIntra-species-dilution-info": "", "FlowCytIntra-species-notes": "", "IHCP-species-checked": "notRecommended", "IHCP-species-dilution-info": "", "IHCP-species-notes": "<p></p>" } } }

Product details

ab315896 is the carrier-free version of ab315895.

Patented technology
Our RabMAb® technology is a patented hybridoma-based technology for making rabbit monoclonal antibodies. For details on our patents, please refer to RabMAb® patents.

What are the advantages of a recombinant monoclonal antibody?
This product is a recombinant monoclonal antibody, which offers several advantages including:

  • - High batch-to-batch consistency and reproducibility
  • - Improved sensitivity and specificity
  • - Long-term security of supply
  • - Animal-free batch production

For more information, read more on recombinant antibodies.

Conjugation ready
Our carrier-free antibodies are typically supplied in a PBS-only formulation, purified and free of BSA, sodium azide and glycerol. This conjugation-ready format is designed for use with fluorochromes, metal isotopes, oligonucleotides, and enzymes, which makes them ideal for antibody labelling, functional and cell-based assays, flow-based assays (e.g. mass cytometry) and Multiplex Imaging applications.

Use our conjugation kits for antibody conjugates that are ready-to-use in as little as 20 minutes with 1 minute hands-on-time and 100% antibody recovery: available for fluorescent dyes, HRP, biotin and gold.

Compatibility
This product is compatible with the Maxpar® Antibody Labeling Kit from Fluidigm, without the need for antibody preparation. Maxpar® is a trademark of Fluidigm Canada Inc.

Properties and storage information

Form
Liquid
Purification technique
Affinity purification Protein A
Storage buffer
pH: 7.2 - 7.4 Constituents: PBS
Shipped at conditions
Blue Ice
Appropriate short-term storage conditions
+4°C
Appropriate long-term storage conditions
+4°C

Supplementary information

This supplementary information is collated from multiple sources and compiled automatically.

NOTUM is a lipase-like enzyme that functions mechanically to remove lipid modifications specifically palmitoleate from the Wnt proteins. It is alternatively known as palmitoleoyl-protein carboxylesterase. The molecular mass of NOTUM is approximately 53 kDa. NOTUM is expressed mainly in tissues such as the liver kidneys and gut where it plays a role in regulating signaling pathways.
Biological function summary

NOTUM inhibits the Wnt signaling pathway by cleaving the lipid moiety attached to Wnt proteins making it inactive. NOTUM acts independently and is not part of larger protein complexes. This regulation of Wnt signaling is important for maintaining cellular processes such as cell proliferation differentiation and migration especially during development and tissue homeostasis.

Pathways

NOTUM primarily influences the Wnt signaling pathway. This pathway is significant for embryonic development and adult homeostasis. By inactivating Wnt proteins NOTUM indirectly affects other pathway components like β-catenin which is an important mediator in the Wnt pathway. NOTUM ensures the balance of Wnt signaling preventing overactivation that could lead to abnormal cell growth.

NOTUM's role in regulating Wnt signaling links it to conditions such as colorectal cancer and osteoporosis. In cancers overexpression of NOTUM can contribute to Wnt pathway dysregulation while its inhibition may present a therapeutic angle. In osteoporosis alterations in NOTUM activity can affect bone formation processes through its influence on Wnt-related proteins like LRP5/6. Understanding NOTUM's interactions in these diseases may provide insights into novel treatment strategies.

Product protocols

For this product, it's our understanding that no specific protocols are required. You can visit:

Target data

Carboxylesterase that acts as a key negative regulator of the Wnt signaling pathway by specifically mediating depalmitoleoylation of WNT proteins. Serine palmitoleoylation of WNT proteins is required for efficient binding to frizzled receptors (PubMed : 25731175).
See full target information NOTUM

Product promise

We are committed to supporting your work with high-quality reagents, and we're here for you every step of the way. In the unlikely event that one of our products does not perform as expected, you're protected by our Product Promise.
For full details, please see our Terms & Conditions

Please note: All products are 'FOR RESEARCH USE ONLY. NOT FOR USE IN DIAGNOSTIC OR THERAPEUTIC PROCEDURES'.

For licensing inquiries, please contact partnerships@abcam.com