JavaScript is disabled in your browser. Please enable JavaScript to view this website.
AB183024

Anti-Nova1 antibody [EPR13847]

Be the first to review this product! Submit a review

|

(19 Publications)

Rabbit Recombinant Monoclonal NOVA1 antibody. Suitable for WB, IHC-P and reacts with Mouse, Human, Rat samples. Cited in 19 publications.

View Alternative Names

RNA-binding protein Nova-1, Neuro-oncological ventral antigen 1, Onconeural ventral antigen 1, Paraneoplastic Ri antigen, Ventral neuron-specific protein 1, NOVA1

4 Images
Immunohistochemistry (Formalin/PFA-fixed paraffin-embedded sections) - Anti-Nova1 antibody [EPR13847] (AB183024)
  • IHC-P

Supplier Data

Immunohistochemistry (Formalin/PFA-fixed paraffin-embedded sections) - Anti-Nova1 antibody [EPR13847] (AB183024)

Immunohistochemical analysis of paraffin-embedded human gliocytoma tissue labeling Nova1 using ab183024 at 1/500 dilution. HRP-conjugated Rabbit IgG was used as secondary (prediluted). Counterstain : Hematoxylin.

Perform heat mediated antigen retrieval with EDTA buffer pH 9 before commencing with IHC staining protocol.

Immunohistochemistry (Formalin/PFA-fixed paraffin-embedded sections) - Anti-Nova1 antibody [EPR13847] (AB183024)
  • IHC-P

Supplier Data

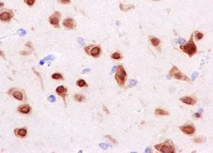
Immunohistochemistry (Formalin/PFA-fixed paraffin-embedded sections) - Anti-Nova1 antibody [EPR13847] (AB183024)

Immunohistochemical analysis of paraffin-embedded Rat brain tissue labeling Nova1 using ab183024 at 1/500 dilution. A HRP conjugated Rabbit IgG was used as secondary (prediluted). Counterstain : Hematoxylin.

Perform heat mediated antigen retrieval with EDTA buffer pH 9 before commencing with IHC staining protocol.

Western blot - Anti-Nova1 antibody [EPR13847] (AB183024)
  • WB

Supplier Data

Western blot - Anti-Nova1 antibody [EPR13847] (AB183024)

All lanes:

Western blot - Anti-Nova1 antibody [EPR13847] (ab183024) at 1/5000 dilution

All lanes:

Human cerebellum lysate at 20 µg

Secondary

All lanes:

Western blot - Goat Anti-Rabbit IgG H&L (HRP) (<a href='/en-us/products/secondary-antibodies/goat-rabbit-igg-h-l-hrp-ab136636'>ab136636</a>) at 1/500 dilution

Predicted band size: 52 kDa

false

Western blot - Anti-Nova1 antibody [EPR13847] (AB183024)
  • WB

Supplier Data

Western blot - Anti-Nova1 antibody [EPR13847] (AB183024)

All lanes:

Western blot - Anti-Nova1 antibody [EPR13847] (ab183024) at 1/1000 dilution

Lane 1:

Mouse brain lysate at 10 µg

Lane 2:

PC12 lysate at 10 µg

Secondary

All lanes:

Goat Anti-Rabbit IgG, (H+L), Peroxidase conjugated at 1/1000 dilution

Predicted band size: 52 kDa

false

Key facts

Host species

Rabbit

Clonality

Monoclonal

Clone number

EPR13847

Isotype

IgG

Carrier free

No

Reacts with

Mouse, Rat, Human

Applications

IHC-P, WB

applications

Immunogen

The exact immunogen used to generate this antibody is proprietary information.

Reactivity data

{ "title": "Reactivity Data", "filters": { "stats": ["", "Species", "Dilution Info", "Notes"], "tabs": { "all-applications": {"fullname" : "All Applications", "shortname": "All Applications"}, "WB" : {"fullname" : "Western blot", "shortname":"WB"}, "IHCP" : {"fullname" : "Immunohistochemistry (Formalin/PFA-fixed paraffin-embedded sections)", "shortname":"IHC-P"} }, "product-promise": { "all": "all", "testedAndGuaranteed": "tested", "guaranteed": "expected", "predicted": "predicted", "notRecommended": "not-recommended" } }, "values": { "Human": { "WB-species-checked": "testedAndGuaranteed", "WB-species-dilution-info": "1/1000 - 1/10000", "WB-species-notes": "<p></p>", "IHCP-species-checked": "testedAndGuaranteed", "IHCP-species-dilution-info": "1/250 - 1/500", "IHCP-species-notes": "<p></p>" }, "Mouse": { "WB-species-checked": "testedAndGuaranteed", "WB-species-dilution-info": "1/1000 - 1/10000", "WB-species-notes": "<p></p>", "IHCP-species-checked": "guaranteed", "IHCP-species-dilution-info": "", "IHCP-species-notes": "" }, "Rat": { "WB-species-checked": "guaranteed", "WB-species-dilution-info": "", "WB-species-notes": "", "IHCP-species-checked": "testedAndGuaranteed", "IHCP-species-dilution-info": "1/250 - 1/500", "IHCP-species-notes": "<p></p>" } } }

Product details

Patented technology
Our RabMAb® technology is a patented hybridoma-based technology for making rabbit monoclonal antibodies. For details on our patents, please refer to RabMAb® patents.

What are the advantages of a recombinant monoclonal antibody?
This product is a recombinant monoclonal antibody, which offers several advantages including:

  • - High batch-to-batch consistency and reproducibility
  • - Improved sensitivity and specificity
  • - Long-term security of supply
  • - Animal-free batch production

For more information, read more on recombinant antibodies.

Properties and storage information

Form
Liquid
Purification technique
Affinity purification Protein A
Storage buffer
pH: 7.2 Preservative: 0.01% Sodium azide Constituents: PBS, 40% Glycerol (glycerin, glycerine), 0.05% BSA
Shipped at conditions
Blue Ice
Appropriate short-term storage duration
1-2 weeks
Appropriate short-term storage conditions
+4°C
Appropriate long-term storage conditions
-20°C
Aliquoting information
Upon delivery aliquot
Storage information
Avoid freeze / thaw cycle

Supplementary information

This supplementary information is collated from multiple sources and compiled automatically.

Nova1 also known as Neuro-oncological ventral antigen 1 is a member of the Nova family of RNA-binding proteins. It has a molecular mass of approximately 53 kDa. Nova1 is predominantly expressed in the nervous system with high presence in neurons. The protein plays a role in the regulation of alternative splicing by binding to specific RNA sequences. This binding activity influences the splicing of various pre-mRNA transcripts highlighting the role of Nova1 in post-transcriptional gene regulation.
Biological function summary

Nova1 influences neuronal integrity by regulating RNA processing events. It binds to RNA motifs to ensure the accurate splicing needed for correct neuronal function. Nova1 functions as part of a multi-protein complex that includes spliceosomal components which help in recognizing splice sites in precursor RNA. The splicing activity of Nova1 affects the expression of numerous genes related to synaptic function and neurodevelopment which is critical for maintaining proper neuronal communication and plasticity.

Pathways

Nova1 participates in the neuronal alternative splicing pathway and influences synaptic signaling pathways. Its activity affects the pathways by regulating the splicing of various genes critical for these pathways. For example Nova1 is involved with proteins like Nova2 within these pathways. Their combined roles ensure that various proteins essential for synaptic function are produced in the correct isoforms which is necessary for synaptic health and plasticity.

Nova1 has been linked to neurodevelopmental disorders and certain cancers such as brain tumors. It plays a role in these diseases by dysregulating the alternative splicing of transcripts necessary for normal neuronal development and tumor suppression. Nova1 interacts with other proteins such as hnRNP proteins in the context of these disorders which further modulates the disease process. Understanding Nova1's roles helps in developing therapeutic strategies that target aberrant splicing events in these conditions.

Product protocols

For this product, it's our understanding that no specific protocols are required. You can visit:

Target data

Functions to regulate alternative splicing in neurons by binding pre-mRNA in a sequence-specific manner to activate exon inclusion or exclusion. It binds specifically to the sequences 5'-YCAY-3' and regulates splicing in only a subset of regulated exons (PubMed : 10811881). Binding to an exonic 5'-YCAY-3' cluster changes the protein complexes assembled on pre-mRNA, blocking U1 snRNP binding and exon inclusion, whereas binding to an intronic 5'-YCAY-3' cluster enhances spliceosome assembly and exon inclusion. Binding to 5'-YCAY-3' clusters results in a local and asymmetric action to regulate spliceosome assembly and alternative splicing in neurons. Binding to an exonic 5'-YCAY-3' cluster changed the protein complexes assembled on pre-mRNA, blocking U1 snRNP (small nuclear ribonucleoprotein) binding and exon inclusion, whereas binding to an intronic 5'-YCAY-3' cluster enhanced spliceosome assembly and exon inclusion. With NOVA1, they perform unique biological functions in different brain areas and cell types. Autoregulates its own expression by acting as a splicing repressor. Acts to activate the inclusion of exon E3A in the glycine receptor alpha-2 chain and of exon E9 in gamma-aminobutyric-acid receptor gamma-2 subunit via a distal downstream UCAU-rich intronic splicing enhancer. Acts to regulate a novel glycine receptor alpha-2 chain splice variant (alpha-2N) in developing spinal cord (By similarity).
See full target information NOVA1

Publications (19)

Recent publications for all applications. Explore the full list and refine your search

Nature communications 16:1542 PubMed39966351

2025

A humanized NOVA1 splicing factor alters mouse vocal communications.

Applications

Unspecified application

Species

Unspecified reactive species

Yoko Tajima,César D M Vargas,Keiichi Ito,Wei Wang,Ji-Dung Luo,Jiawei Xing,Nurdan Kuru,Luiz Carlos Machado,Adam Siepel,Thomas S Carroll,Erich D Jarvis,Robert B Darnell

Drug development research 85:e22185 PubMed38657094

2024

Upregulation of FGF9 and NOVA1 in cancer-associated fibroblasts promotes cell proliferation, invasion and migration of triple negative breast cancer.

Applications

Unspecified application

Species

Unspecified reactive species

Bo Zhang,Yang Liu,Jinsong Yu,Xi Lin

Proceedings of the National Academy of Sciences of the United States of America 121:e2314695121 PubMed38416679

2024

NOVA1 acts as an oncogenic RNA-binding protein to regulate cholesterol homeostasis in human glioblastoma cells.

Applications

Unspecified application

Species

Unspecified reactive species

Yuhki Saito,Yanhong Yang,Misa Saito,Christopher Y Park,Kosuke Funato,Viviane Tabar,Robert B Darnell

Journal of translational medicine 21:879 PubMed38049848

2023

Altered splicing machinery in lung carcinoids unveils NOVA1, PRPF8 and SRSF10 as novel candidates to understand tumor biology and expand biomarker discovery.

Applications

Unspecified application

Species

Unspecified reactive species

Ricardo Blázquez-Encinas,Víctor García-Vioque,Teresa Caro-Cuenca,María Trinidad Moreno-Montilla,Federica Mangili,Emilia Alors-Pérez,Sebastian Ventura,Aura D Herrera-Martínez,Paula Moreno-Casado,Marco A Calzado,Ángel Salvatierra,María A Gálvez-Moreno,Lynnette Fernandez-Cuesta,Matthieu Foll,Raúl M Luque,Nicolas Alcala,Sergio Pedraza-Arevalo,Alejandro Ibáñez-Costa,Justo P Castaño

PloS one 18:e0289327 PubMed37531400

2023

Dynamics of TERT regulation via alternative splicing in stem cells and cancer cells.

Applications

Unspecified application

Species

Unspecified reactive species

Jeongjin J Kim,Mohammed E Sayed,Alexander Ahn,Aaron L Slusher,Jeffrey Y Ying,Andrew T Ludlow

Cell reports 42:112050 PubMed36716149

2023

NOVA1 acts on Impact to regulate hypothalamic function and translation in inhibitory neurons.

Applications

Unspecified application

Species

Unspecified reactive species

Yoko Tajima,Keiichi Ito,Yuan Yuan,Mayu O Frank,Yuhki Saito,Robert B Darnell

BMC cancer 22:1091 PubMed36284263

2022

NOVA1 promotes NSCLC proliferation and invasion by activating Wnt/β-catenin signaling.

Applications

Unspecified application

Species

Unspecified reactive species

Lianyue Qu,Yulong Tian,Fan Wang,Zixuan Li

Acta neuropathologica 144:413-435 PubMed35778567

2022

Aberrant NOVA1 function disrupts alternative splicing in early stages of amyotrophic lateral sclerosis.

Applications

Unspecified application

Species

Unspecified reactive species

Florian Krach,Emily C Wheeler,Martin Regensburger,Tom Boerstler,Holger Wend,Anthony Q Vu,Ruth Wang,Stephanie Reischl,Karsten Boldt,Ranjan Batra,Stefan Aigner,John Ravits,Juergen Winkler,Gene W Yeo,Beate Winner

Neural regeneration research 17:2530-2536 PubMed35535907

2022

NOVA1 promotes SMN2 exon 7 splicing by binding the UCAC motif and increases SMN protein expression.

Applications

Unspecified application

Species

Unspecified reactive species

Li-Li Du,Jun-Jie Sun,Zhi-Heng Chen,Yi-Xiang Shao,Liu-Cheng Wu

Bioengineered 13:8982-8993 PubMed35348441

2022

MicroRNA miR-27a-3p accelerates cardiac hypertrophy by targeting neuro-oncological ventral antigen 1.

Applications

Unspecified application

Species

Unspecified reactive species

Dongyun Li,Mingzhi Shen,Xinxin Deng,Yongyi Bai
View all publications

Product promise

We are committed to supporting your work with high-quality reagents, and we're here for you every step of the way. In the unlikely event that one of our products does not perform as expected, you're protected by our Product Promise.
For full details, please see our Terms & Conditions

Please note: All products are 'FOR RESEARCH USE ONLY. NOT FOR USE IN DIAGNOSTIC OR THERAPEUTIC PROCEDURES'.

For licensing inquiries, please contact partnerships@abcam.com