JavaScript is disabled in your browser. Please enable JavaScript to view this website.
AB250697

Anti-Nova1 antibody [EPR13848] - BSA and Azide free

Be the first to review this product! Submit a review

|

(1 Publication)

Rabbit Recombinant Monoclonal NOVA1 antibody. Carrier free. Suitable for IHC-P, WB and reacts with Mouse, Human samples. Cited in 1 publication.

View Alternative Names

RNA-binding protein Nova-1, Neuro-oncological ventral antigen 1, Onconeural ventral antigen 1, Paraneoplastic Ri antigen, Ventral neuron-specific protein 1, NOVA1

4 Images
Immunohistochemistry (Formalin/PFA-fixed paraffin-embedded sections) - Anti-Nova1 antibody [EPR13848] - BSA and Azide free (AB250697)
  • IHC-P

Supplier Data

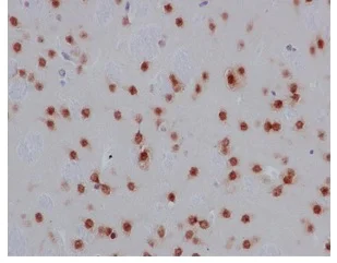
Immunohistochemistry (Formalin/PFA-fixed paraffin-embedded sections) - Anti-Nova1 antibody [EPR13848] - BSA and Azide free (AB250697)

This data was developed using ab183723, the same antibody clone in a different buffer formulation.

Immunohistochemical analysis of paraffin embedded Human brain tissue labeling Nova1 with ab183723 at 1/500 dilution. Secondary antibody HRP conjugated Rabbit IgG. Counterstained with Hematoxylin.

Perform heat mediated antigen retrieval before commencing with IHC staining protocol.

Immunohistochemistry (Formalin/PFA-fixed paraffin-embedded sections) - Anti-Nova1 antibody [EPR13848] - BSA and Azide free (AB250697)
  • IHC-P

Supplier Data

Immunohistochemistry (Formalin/PFA-fixed paraffin-embedded sections) - Anti-Nova1 antibody [EPR13848] - BSA and Azide free (AB250697)

This data was developed using ab183723, the same antibody clone in a different buffer formulation.

Immunohistochemical analysis of paraffin embedded Mouse brain tissue labeling Nova1 with ab183723 at 1/500 dilution. Secondary antibody HRP conjugated Rabbit IgG. Counterstained with Hematoxylin.

Perform heat mediated antigen retrieval before commencing with IHC staining protocol.

Western blot - Anti-Nova1 antibody [EPR13848] - BSA and Azide free (AB250697)
  • WB

Supplier Data

Western blot - Anti-Nova1 antibody [EPR13848] - BSA and Azide free (AB250697)

This data was developed using ab183723, the same antibody clone in a different buffer formulation.

All lanes:

Western blot - Anti-Nova1 antibody [EPR13848] - C-terminal (<a href='/en-us/products/primary-antibodies/nova1-antibody-epr13848-c-terminal-ab183723'>ab183723</a>) at 1/1000 dilution

All lanes:

Human fetal brain tissue lysate at 20 µg

Secondary

All lanes:

Goat Anti-Rabbit IgG, (H+L), Peroxidase conjugated at 1/1000 dilution

Predicted band size: 52 kDa

false

Western blot - Anti-Nova1 antibody [EPR13848] - BSA and Azide free (AB250697)
  • WB

Supplier Data

Western blot - Anti-Nova1 antibody [EPR13848] - BSA and Azide free (AB250697)

This data was developed using ab183723, the same antibody clone in a different buffer formulation.

All lanes:

Western blot - Anti-Nova1 antibody [EPR13848] - C-terminal (<a href='/en-us/products/primary-antibodies/nova1-antibody-epr13848-c-terminal-ab183723'>ab183723</a>) at 1/2000 dilution

All lanes:

Human cerebellum tissue lysate at 20 µg

Secondary

All lanes:

Goat Anti-Rabbit IgG, (H+L), Peroxidase conjugated at 1/1000 dilution

Predicted band size: 52 kDa

false

Key facts

Host species

Rabbit

Clonality

Monoclonal

Clone number

EPR13848

Isotype

IgG

Carrier free

Yes

Reacts with

Mouse, Human

Applications

WB, IHC-P

applications

Immunogen

The exact immunogen used to generate this antibody is proprietary information.

Specificity

This antibody could cross-react with Nova 2 (based on the 85% homology for the immunogen), although this has not been experimentally tested.

Reactivity data

{ "title": "Reactivity Data", "filters": { "stats": ["", "Species", "Dilution Info", "Notes"], "tabs": { "all-applications": {"fullname" : "All Applications", "shortname": "All Applications"}, "IHCP" : {"fullname" : "Immunohistochemistry (Formalin/PFA-fixed paraffin-embedded sections)", "shortname":"IHC-P"}, "WB" : {"fullname" : "Western blot", "shortname":"WB"} }, "product-promise": { "all": "all", "testedAndGuaranteed": "tested", "guaranteed": "expected", "predicted": "predicted", "notRecommended": "not-recommended" } }, "values": { "Human": { "IHCP-species-checked": "guaranteed", "IHCP-species-dilution-info": "", "IHCP-species-notes": "", "WB-species-checked": "testedAndGuaranteed", "WB-species-dilution-info": "", "WB-species-notes": "<p></p>" }, "Mouse": { "IHCP-species-checked": "testedAndGuaranteed", "IHCP-species-dilution-info": "", "IHCP-species-notes": "<p></p>", "WB-species-checked": "guaranteed", "WB-species-dilution-info": "", "WB-species-notes": "" }, "Rat": { "IHCP-species-checked": "predicted", "IHCP-species-dilution-info": "", "IHCP-species-notes": "", "WB-species-checked": "predicted", "WB-species-dilution-info": "", "WB-species-notes": "" } } }

Product details

ab250697 is the carrier-free version of ab183723.

Patented technology
Our RabMAb® technology is a patented hybridoma-based technology for making rabbit monoclonal antibodies. For details on our patents, please refer to RabMAb® patents.

What are the advantages of a recombinant monoclonal antibody?
This product is a recombinant monoclonal antibody, which offers several advantages including:

  • - High batch-to-batch consistency and reproducibility
  • - Improved sensitivity and specificity
  • - Long-term security of supply
  • - Animal-free batch production

For more information, read more on recombinant antibodies.

Conjugation ready
Our carrier-free antibodies are typically supplied in a PBS-only formulation, purified and free of BSA, sodium azide and glycerol. This conjugation-ready format is designed for use with fluorochromes, metal isotopes, oligonucleotides, and enzymes, which makes them ideal for antibody labelling, functional and cell-based assays, flow-based assays (e.g. mass cytometry) and Multiplex Imaging applications.

Use our conjugation kits for antibody conjugates that are ready-to-use in as little as 20 minutes with 1 minute hands-on-time and 100% antibody recovery: available for fluorescent dyes, HRP, biotin and gold.

Compatibility
This product is compatible with the Maxpar® Antibody Labeling Kit from Fluidigm, without the need for antibody preparation. Maxpar® is a trademark of Fluidigm Canada Inc.

Properties and storage information

Form
Liquid
Purification technique
Affinity purification Protein A
Storage buffer
pH: 7.2 - 7.4 Constituents: PBS
Shipped at conditions
Blue Ice
Appropriate short-term storage conditions
+4°C
Appropriate long-term storage conditions
+4°C
Storage information
Do Not Freeze

Supplementary information

This supplementary information is collated from multiple sources and compiled automatically.

Nova1 also known as Neuro-oncological ventral antigen 1 is a member of the Nova family of RNA-binding proteins. It has a molecular mass of approximately 53 kDa. Nova1 is predominantly expressed in the nervous system with high presence in neurons. The protein plays a role in the regulation of alternative splicing by binding to specific RNA sequences. This binding activity influences the splicing of various pre-mRNA transcripts highlighting the role of Nova1 in post-transcriptional gene regulation.
Biological function summary

Nova1 influences neuronal integrity by regulating RNA processing events. It binds to RNA motifs to ensure the accurate splicing needed for correct neuronal function. Nova1 functions as part of a multi-protein complex that includes spliceosomal components which help in recognizing splice sites in precursor RNA. The splicing activity of Nova1 affects the expression of numerous genes related to synaptic function and neurodevelopment which is critical for maintaining proper neuronal communication and plasticity.

Pathways

Nova1 participates in the neuronal alternative splicing pathway and influences synaptic signaling pathways. Its activity affects the pathways by regulating the splicing of various genes critical for these pathways. For example Nova1 is involved with proteins like Nova2 within these pathways. Their combined roles ensure that various proteins essential for synaptic function are produced in the correct isoforms which is necessary for synaptic health and plasticity.

Nova1 has been linked to neurodevelopmental disorders and certain cancers such as brain tumors. It plays a role in these diseases by dysregulating the alternative splicing of transcripts necessary for normal neuronal development and tumor suppression. Nova1 interacts with other proteins such as hnRNP proteins in the context of these disorders which further modulates the disease process. Understanding Nova1's roles helps in developing therapeutic strategies that target aberrant splicing events in these conditions.

Product protocols

For this product, it's our understanding that no specific protocols are required. You can visit:

Target data

Functions to regulate alternative splicing in neurons by binding pre-mRNA in a sequence-specific manner to activate exon inclusion or exclusion. It binds specifically to the sequences 5'-YCAY-3' and regulates splicing in only a subset of regulated exons (PubMed : 10811881). Binding to an exonic 5'-YCAY-3' cluster changes the protein complexes assembled on pre-mRNA, blocking U1 snRNP binding and exon inclusion, whereas binding to an intronic 5'-YCAY-3' cluster enhances spliceosome assembly and exon inclusion. Binding to 5'-YCAY-3' clusters results in a local and asymmetric action to regulate spliceosome assembly and alternative splicing in neurons. Binding to an exonic 5'-YCAY-3' cluster changed the protein complexes assembled on pre-mRNA, blocking U1 snRNP (small nuclear ribonucleoprotein) binding and exon inclusion, whereas binding to an intronic 5'-YCAY-3' cluster enhanced spliceosome assembly and exon inclusion. With NOVA1, they perform unique biological functions in different brain areas and cell types. Autoregulates its own expression by acting as a splicing repressor. Acts to activate the inclusion of exon E3A in the glycine receptor alpha-2 chain and of exon E9 in gamma-aminobutyric-acid receptor gamma-2 subunit via a distal downstream UCAU-rich intronic splicing enhancer. Acts to regulate a novel glycine receptor alpha-2 chain splice variant (alpha-2N) in developing spinal cord (By similarity).
See full target information NOVA1

Publications (1)

Recent publications for all applications. Explore the full list and refine your search

JCI insight 5: PubMed31094704

2019

Protective role of B cells in sterile particulate-induced lung injury.

Applications

Unspecified application

Species

Unspecified reactive species

Shaikh M Atif,Douglas G Mack,Amy S McKee,Javier Rangel-Moreno,Allison K Martin,Andrew Getahun,Lisa A Maier,John C Cambier,Rubin Tuder,Andrew P Fontenot
View all publications

Product promise

We are committed to supporting your work with high-quality reagents, and we're here for you every step of the way. In the unlikely event that one of our products does not perform as expected, you're protected by our Product Promise.
For full details, please see our Terms & Conditions

Please note: All products are 'FOR RESEARCH USE ONLY. NOT FOR USE IN DIAGNOSTIC OR THERAPEUTIC PROCEDURES'.

For licensing inquiries, please contact partnerships@abcam.com