JavaScript is disabled in your browser. Please enable JavaScript to view this website.
AB121009

Anti-NOX1 antibody

Be the first to review this product! Submit a review

|

(17 Publications)

Goat Polyclonal NOX1 antibody. Suitable for WB and reacts with Human samples. Cited in 17 publications. Immunogen corresponding to Synthetic Peptide within Human NOX1 aa 450-550.

View Alternative Names

MOX1, NOH1, NOX1, NADPH oxidase 1, NOX-1, Mitogenic oxidase 1, NADH/NADPH mitogenic oxidase subunit P65-MOX, NOH-1, MOX-1

2 Images
Western blot - Anti-NOX1 antibody (AB121009)
  • WB

Supplier Data

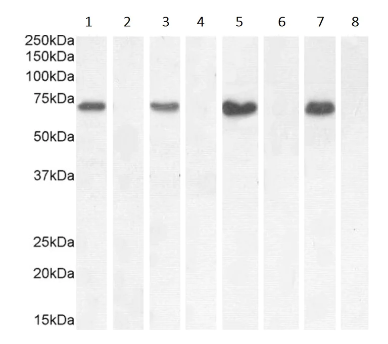
Western blot - Anti-NOX1 antibody (AB121009)

Lysates in RIPA buffer. Detected by chemiluminescence.

All lanes:

Western blot - Anti-NOX1 antibody (ab121009) at 0.5 µg/mL

Lane 1:

CaCo-2 cell lysate at 35 µg

Lane 2:

CaCo-2 + peptide cell lysate at 35 µg

Lane 3:

HeLa cell lysate at 35 µg

Lane 4:

HeLa + peptide cell lysate at 35 µg

Lane 5:

A549 cell lysate at 35 µg

Lane 6:

A549 + peptide cell lysate at 35 µg

Lane 7:

U937 cell lysate at 35 µg

Lane 8:

U937 + peptide cell lysate at 35 µg

false

Western blot - Anti-NOX1 antibody (AB121009)
  • WB

CiteAb

Western blot - Anti-NOX1 antibody (AB121009)

NOX1 western blot using anti-NOX1 antibody ab121009. Publication image and figure legend from De Bessa, T. C., Pagano, A., et al., 2019, Cell Death Dis, PubMed 30760703.

ab121009 was used in this publication in western blot. This may not be the same as the application(s) guaranteed by Abcam. For a full list of applications guaranteed by Abcam for ab121009 please see the product overview.

Nox NADPH oxidase expression and superoxide generation by HCT116 cells with overactivated KRas.a Nox1, NoxA1, p67phox, NoxO1, and p47phox basal protein expression by western analysis normalized for GADPH. Nox1 immunoblot densities were quantified using Odyssey software. *P < 0.05, ANOVA plus Tukey's multiple comparisons test (n = 3). b RhoGDIα, RhoA, and Rac1 basal protein expression by western analysis normalized for GAPDH. Rac1 immunoblot densities were quantified using Odyssey software. **P < 0.01; ***P < 0.005, ANOVA plus Tukey's multiple comparisons test (n = 3). c Nox1 complex scheme. d Rac1 basal activity, using Rac1 G-LISA activation assay (Cytoskeleton,inc). Test t *p < 0.05, (n = 2). e Rac1 protein expression by western analysis after 72 h of PDIA1 silencing. Rac1 Immunoblot densities were quantified using Odyssey software **P < 0.01; ns : not significant, Student's t-test (n = 3). f Western analysis of NoxO1 and RhoGDIα protein expression before and after PDIA1 silencing, normalized for GAPDH. RhoGDIα immunoblot densities were quantified using Odyssey software, ****P < 0.001; ns : not significant, Student's t-test (n = 3). g Superoxide production after 72h of PDIA1 silencing in HCT116 cells treated or not with 10 μM of NoxA1ds Nox1's peptide inhibitor. EOH 2-hidroxyethidiium relative superoxide production, si-PDI, si-RNA against PDIA1 protein; Scrmb NoxA1ds, NoxA1ds negative control peptide; NoxA1ds, Nox1 peptide inhibitor. *P < 0.05; **P < 0.01, ANOVA plus Tukey's multiple comparisons test (n = 3)

false

Key facts

Host species

Goat

Clonality

Polyclonal

Isotype

IgG

Carrier free

No

Reacts with

Human

Applications

WB

applications

Immunogen

Synthetic Peptide within Human NOX1 aa 450-550. The exact immunogen used to generate this antibody is proprietary information.

Q9Y5S8

Specificity

ab121009 is expected to recognize both reported isoforms (NP_008983.2; NP_39249.1).

Reactivity data

{ "title": "Reactivity Data", "filters": { "stats": ["", "Species", "Dilution Info", "Notes"], "tabs": { "all-applications": {"fullname" : "All Applications", "shortname": "All Applications"}, "IHCP" : {"fullname" : "Immunohistochemistry (Formalin/PFA-fixed paraffin-embedded sections)", "shortname":"IHC-P"}, "WB" : {"fullname" : "Western blot", "shortname":"WB"} }, "product-promise": { "all": "all", "testedAndGuaranteed": "tested", "guaranteed": "expected", "predicted": "predicted", "notRecommended": "not-recommended" } }, "values": { "Human": { "IHCP-species-checked": "notRecommended", "IHCP-species-dilution-info": "", "IHCP-species-notes": "<p></p>", "WB-species-checked": "testedAndGuaranteed", "WB-species-dilution-info": "0.3-1 µg/mL", "WB-species-notes": "<p>1 hour primary incubation is recommended for this product.</p>" }, "Dog": { "IHCP-species-checked": "notRecommended", "IHCP-species-dilution-info": "", "IHCP-species-notes": "", "WB-species-checked": "predicted", "WB-species-dilution-info": "", "WB-species-notes": "" }, "Gorilla": { "IHCP-species-checked": "notRecommended", "IHCP-species-dilution-info": "", "IHCP-species-notes": "", "WB-species-checked": "predicted", "WB-species-dilution-info": "", "WB-species-notes": "" }, "Guinea pig": { "IHCP-species-checked": "notRecommended", "IHCP-species-dilution-info": "", "IHCP-species-notes": "", "WB-species-checked": "predicted", "WB-species-dilution-info": "", "WB-species-notes": "" }, "Pig": { "IHCP-species-checked": "notRecommended", "IHCP-species-dilution-info": "", "IHCP-species-notes": "", "WB-species-checked": "predicted", "WB-species-dilution-info": "", "WB-species-notes": "" }, "Rabbit": { "IHCP-species-checked": "notRecommended", "IHCP-species-dilution-info": "", "IHCP-species-notes": "", "WB-species-checked": "predicted", "WB-species-dilution-info": "", "WB-species-notes": "" }, "Rhesus monkey": { "IHCP-species-checked": "notRecommended", "IHCP-species-dilution-info": "", "IHCP-species-notes": "", "WB-species-checked": "predicted", "WB-species-dilution-info": "", "WB-species-notes": "" } } }

Properties and storage information

Form
Liquid
Purification technique
Affinity purification Immunogen
Purification notes
ab121009 is purified from Goat serum by ammonium sulphate precipitation followed by antigen affinity chromatography using the immunizing peptide.
Storage buffer
pH: 7.3 Preservative: 0.02% Sodium azide Constituents: 99% Tris buffered saline, 0.5% BSA
Shipped at conditions
Blue Ice
Appropriate short-term storage conditions
+4°C
Appropriate long-term storage conditions
-20°C
Aliquoting information
Upon delivery aliquot
Storage information
Avoid freeze / thaw cycle

Supplementary information

This supplementary information is collated from multiple sources and compiled automatically.

NOX1 also known as NADPH oxidase 1 is an enzyme belonging to the NADPH oxidase family. It plays a mechanical role by generating reactive oxygen species (ROS) particularly superoxide from oxygen using NADPH as a substrate. NOX1 has a molecular weight of approximately 65 kDa. It is expressed abundantly in the colon and also found in vascular smooth muscle cells and the prostate. This enzyme shares a high degree of homology with other members of the NOX family which includes NOX2 and NOX4.
Biological function summary

NOX1 is involved in cellular processes like host defense cellular signaling and regulation of gene expression. It is part of a multi-protein complex that includes p22phox NOXA1 and NOXO1 which are essential for its enzyme activity. NOX1 contributes to maintaining normal cell function through controlled production of ROS which act as signaling molecules that modulate various physiological processes. In the colon NOX1 plays a role in mucosal defense and epithelial cell proliferation.

Pathways

NOX1 is intimately involved in the redox regulation and signaling pathways. It participates in the MAPK signaling pathway that influences cell proliferation and differentiation. NOX1 also plays a role in the PI3K/AKT pathway which is linked to cell survival and apoptosis. Proteins such as Rac1 and p47phox are known to interact with NOX1 in these pathways influencing downstream signaling events important for maintaining cell homeostasis.

NOX1 is associated with inflammatory diseases and cancer. Aberrant NOX1 activity contributes to chronic inflammatory conditions such as ulcerative colitis likely due to its role in ROS production leading to tissue damage. In the context of cancer particularly in colorectal cancer NOX1 overexpression correlates with enhanced tumor growth and survival likely through the activation of signaling pathways that promote cell proliferation. The interplay between NOX1 and proteins like NF-kB and COX-2 suggests its potential as a therapeutic target in these diseases.

Product protocols

For this product, it's our understanding that no specific protocols are required. You can visit:

Target data

NADPH oxidase that catalyzes the generation of superoxide from molecular oxygen utilizing NADPH as an electron donor.. Isoform NOH-1L. NADPH oxidase that catalyzes the generation of superoxide from molecular oxygen utilizing NADPH as an electron donor.
See full target information NOX1

Publications (17)

Recent publications for all applications. Explore the full list and refine your search

Cardiovascular therapeutics 2025:4506032 PubMed40313652

2025

FBXO38 Regulates Nox1 Stability to Reduce Vascular Endothelial Damage Induced by Low Oscillatory Shear Stress.

Applications

Unspecified application

Species

Unspecified reactive species

Wan-Li Yu,Li-Wen Deng,Huan-Huan Li,Chun-Kai Wang,Xiang-Yi Zuo,Zi-Chang Wang,Li Meng,Lan-Xin Wen,Wan-Zhi Zeng,Yu Zhao,Xue-Hu Wang

Bioengineering (Basel, Switzerland) 11: PubMed38391611

2024

Intramyocardial Injection of Hypoxia-Conditioned Extracellular Vesicles Modulates Response to Oxidative Stress in the Chronically Ischemic Myocardium.

Applications

Unspecified application

Species

Unspecified reactive species

Dwight D Harris,Sharif A Sabe,Mark Broadwin,Cynthia Xu,Christopher Stone,Meghamsh Kanuparthy,Akshay Malhotra,M Ruhul Abid,Frank W Sellke

Chinese medicine 18:134 PubMed37833817

2023

Cordycepin from Cordyceps militaris ameliorates diabetic nephropathy via the miR-193b-5p/MCL-1 axis.

Applications

Unspecified application

Species

Unspecified reactive species

Rong Zheng,Weijie Zhang,Jufang Song,Yifei Zhong,Rong Zhu

Microvascular research 150:104590 PubMed37481160

2023

Exercise induces superoxide and NOX4 contribution in endothelium-dependent dilation in coronary arterioles from a swine model of chronic myocardial ischemia.

Applications

Unspecified application

Species

Unspecified reactive species

Sharanee P Sytha,Jeff F Bray,Cristine L Heaps

International journal of molecular sciences 24: PubMed36902094

2023

Overexpression of a Novel Noxo1 Mutant Increases Ros Production and Noxo1 Relocalisation.

Applications

Unspecified application

Species

Unspecified reactive species

Fatima-Zahra Benssouina,Fabrice Parat,Claude Villard,Ludovic Leloup,Françoise Garrouste,Jean-Marc Sabatier,Lotfi Ferhat,Hervé Kovacic

Medicine 101:e30028 PubMed35960091

2022

Increased NOX1 and DUOX2 expression in the colonic mucosa of patients with chronic functional constipation.

Applications

Unspecified application

Species

Unspecified reactive species

Xiuqin Wei,Mei Xue,Chunbo Kang,Lei Gao,Mengqiao Zhang,Chao Ma,Wei Jia,Yufeng Zheng,Lei Cao,Pan Chen,Shujing Jiang,Fong-Fong Chu,Qiang Gao

Journal of gastrointestinal oncology 13:754-767 PubMed35557596

2022

Exosomal miR-142-3p secreted by hepatitis B virus (HBV)-hepatocellular carcinoma (HCC) cells promotes ferroptosis of M1-type macrophages through SLC3A2 and the mechanism of HCC progression.

Applications

Unspecified application

Species

Unspecified reactive species

Zongqiang Hu,Yanfeng Yin,Jie Jiang,Chuntao Yan,Yiting Wang,Dongdong Wang,Li Li

Bioengineered 12:10924-10934 PubMed34699317

2021

Naringenin alleviates myocardial ischemia/reperfusion injury by regulating the nuclear factor-erythroid factor 2-related factor 2 (Nrf2) /System xc-/ glutathione peroxidase 4 (GPX4) axis to inhibit ferroptosis.

Applications

Unspecified application

Species

Unspecified reactive species

Shujun Xu,Bingxin Wu,Biying Zhong,Luoqi Lin,Yining Ding,Xiao Jin,Zhiwei Huang,Miaoyang Lin,Huanlin Wu,Danping Xu

Frontiers in pharmacology 12:723988 PubMed34658862

2021

Betaine Attenuates Osteoarthritis by Inhibiting Osteoclastogenesis and Angiogenesis in Subchondral Bone.

Applications

Unspecified application

Species

Unspecified reactive species

Wang Yajun,Cui Jin,Gu Zhengrong,Fang Chao,Hu Yan,Weng Weizong,Li Xiaoqun,Zhou Qirong,Chen Huiwen,Zhang Hao,Guo Jiawei,Zhuang Xinchen,Sheng Shihao,Wang Sicheng,Chen Xiao,Su Jiacan

Aging 13:22588-22610 PubMed34584017

2021

GPR43 regulation of mitochondrial damage to alleviate inflammatory reaction in sepsis.

Applications

Unspecified application

Species

Unspecified reactive species

Weiwei Zhang,Wusan Wang,Maodi Xu,Haitang Xie,Zhichen Pu
View all publications

Product promise

We are committed to supporting your work with high-quality reagents, and we're here for you every step of the way. In the unlikely event that one of our products does not perform as expected, you're protected by our Product Promise.
For full details, please see our Terms & Conditions

Please note: All products are 'FOR RESEARCH USE ONLY. NOT FOR USE IN DIAGNOSTIC OR THERAPEUTIC PROCEDURES'.

For licensing inquiries, please contact partnerships@abcam.com