JavaScript is disabled in your browser. Please enable JavaScript to view this website.
AB280959

Anti-NOX2/gp91phox antibody [EPR24537-15] - BSA and Azide free

Be the first to review this product! Submit a review

|

(0 Publication)

Rabbit Recombinant Monoclonal NOX2/gp91phox antibody. Carrier free. Suitable for IHC-P and reacts with Human samples.

View Alternative Names

NOX2, CYBB, Cytochrome b-245 heavy chain, CGD91-phox, Cytochrome b(558) subunit beta, Heme-binding membrane glycoprotein gp91phox, NADPH oxidase 2, Neutrophil cytochrome b 91 kDa polypeptide, Superoxide-generating NADPH oxidase heavy chain subunit, gp91-1, gp91-phox, p22 phagocyte B-cytochrome, Cytochrome b558 subunit beta

3 Images
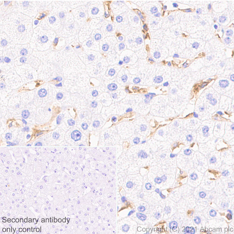
Immunohistochemistry (Formalin/PFA-fixed paraffin-embedded sections) - Anti-NOX2/gp91phox antibody [EPR24537-15] - BSA and Azide free (AB280959)
  • IHC-P

Supplier Data

Immunohistochemistry (Formalin/PFA-fixed paraffin-embedded sections) - Anti-NOX2/gp91phox antibody [EPR24537-15] - BSA and Azide free (AB280959)

This data was developed using ab280952, the same antibody clone in a different buffer formulation.

Immunohistochemical analysis of paraffin-embedded Human liver tissue labelling NOX2/gp91phox with ab280952 at 1/500 (1.06 ug/ml) dilution followed by a ready to use LeicaDS9800 (Bond™ Polymer Refine Detection) was used. Positive staining on Kuffer cells of human liver. The section was incubated with ab280952 for 30 mins at room temperature. The immunostaining was performed on a Leica Biosystems BOND® RX instrument Counterstained with Hematoxylin.

Secondary antibody only control : Secondary antibody is a ready to use LeicaDS9800 (Bond™ Polymer Refine Detection) was used.

Heat mediated antigen retrieval with Tris-EDTA buffer (pH 9.0, epitope retrieval solution2) for 20 mins.

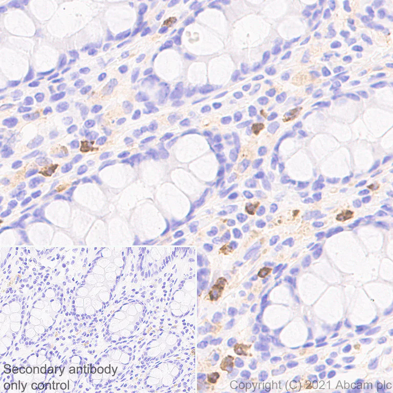
Immunohistochemistry (Formalin/PFA-fixed paraffin-embedded sections) - Anti-NOX2/gp91phox antibody [EPR24537-15] - BSA and Azide free (AB280959)
  • IHC-P

Supplier Data

Immunohistochemistry (Formalin/PFA-fixed paraffin-embedded sections) - Anti-NOX2/gp91phox antibody [EPR24537-15] - BSA and Azide free (AB280959)

This data was developed using ab280952, the same antibody clone in a different buffer formulation.

Immunohistochemical analysis of paraffin-embedded Human colon tissue labelling NOX2/gp91phox with ab280952 at 1/500 (1.06 ug/ml) dilution followed by a ready to use LeicaDS9800 (Bond™ Polymer Refine Detection) was used. Positive staining on immune cells of human colon. The section was incubated with ab280952 for 30 mins at room temperature. The immunostaining was performed on a Leica Biosystems BOND® RX instrument Counterstained with Hematoxylin.

Secondary antibody only control : Secondary antibody is a ready to use LeicaDS9800 (Bond™ Polymer Refine Detection) was used.

Heat mediated antigen retrieval with Tris-EDTA buffer (pH 9.0, epitope retrieval solution2) for 20 mins.

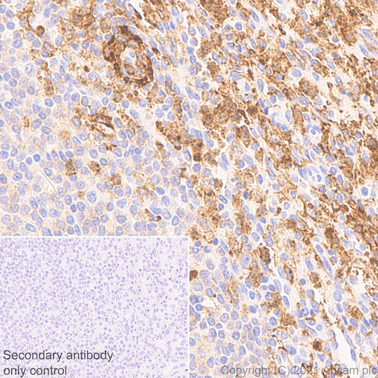
Immunohistochemistry (Formalin/PFA-fixed paraffin-embedded sections) - Anti-NOX2/gp91phox antibody [EPR24537-15] - BSA and Azide free (AB280959)
  • IHC-P

Supplier Data

Immunohistochemistry (Formalin/PFA-fixed paraffin-embedded sections) - Anti-NOX2/gp91phox antibody [EPR24537-15] - BSA and Azide free (AB280959)

This data was developed using ab280952, the same antibody clone in a different buffer formulation.

Immunohistochemical analysis of paraffin-embedded Human spleen tissue labelling NOX2/gp91phox with ab280952 at 1/500 (1.06 ug/ml) dilution followed by a ready to use LeicaDS9800 (Bond™ Polymer Refine Detection) was used. Positive staining on human spleen. The section was incubated with ab280952 for 30 mins at room temperature. The immunostaining was performed on a Leica Biosystems BOND® RX instrument Counterstained with Hematoxylin.

Secondary antibody only control : Secondary antibody is a ready to use LeicaDS9800 (Bond™ Polymer Refine Detection) was used.

Heat mediated antigen retrieval with Tris-EDTA buffer (pH 9.0, epitope retrieval solution2) for 20 mins.

Key facts

Host species

Rabbit

Clonality

Monoclonal

Clone number

EPR24537-15

Isotype

IgG

Carrier free

Yes

Reacts with

Human

Applications

IHC-P

applications

Immunogen

The exact immunogen used to generate this antibody is proprietary information.

Reactivity data

{ "title": "Reactivity Data", "filters": { "stats": ["", "Species", "Dilution Info", "Notes"], "tabs": { "all-applications": {"fullname" : "All Applications", "shortname": "All Applications"}, "ICCIF" : {"fullname" : "Immunocytochemistry/ Immunofluorescence", "shortname":"ICC/IF"}, "FlowCyt" : {"fullname" : "Flow Cytometry", "shortname":"Flow Cyt"}, "WB" : {"fullname" : "Western blot", "shortname":"WB"}, "IHCP" : {"fullname" : "Immunohistochemistry (Formalin/PFA-fixed paraffin-embedded sections)", "shortname":"IHC-P"} }, "product-promise": { "all": "all", "testedAndGuaranteed": "tested", "guaranteed": "expected", "predicted": "predicted", "notRecommended": "not-recommended" } }, "values": { "Human": { "ICCIF-species-checked": "notRecommended", "ICCIF-species-dilution-info": "", "ICCIF-species-notes": "<p></p>", "FlowCyt-species-checked": "notRecommended", "FlowCyt-species-dilution-info": "", "FlowCyt-species-notes": "<p></p>", "WB-species-checked": "notRecommended", "WB-species-dilution-info": "", "WB-species-notes": "<p></p>", "IHCP-species-checked": "testedAndGuaranteed", "IHCP-species-dilution-info": "", "IHCP-species-notes": "<p></p>" }, "Mouse": { "ICCIF-species-checked": "notRecommended", "ICCIF-species-dilution-info": "", "ICCIF-species-notes": "", "FlowCyt-species-checked": "notRecommended", "FlowCyt-species-dilution-info": "", "FlowCyt-species-notes": "", "WB-species-checked": "notRecommended", "WB-species-dilution-info": "", "WB-species-notes": "<p></p>", "IHCP-species-checked": "notRecommended", "IHCP-species-dilution-info": "", "IHCP-species-notes": "<p></p>" }, "Rat": { "ICCIF-species-checked": "notRecommended", "ICCIF-species-dilution-info": "", "ICCIF-species-notes": "", "FlowCyt-species-checked": "notRecommended", "FlowCyt-species-dilution-info": "", "FlowCyt-species-notes": "", "WB-species-checked": "notRecommended", "WB-species-dilution-info": "", "WB-species-notes": "<p></p>", "IHCP-species-checked": "notRecommended", "IHCP-species-dilution-info": "", "IHCP-species-notes": "<p></p>" } } }

You may be interested in:

AB300334

Human NOX2/gp91phox ELISA Kit- Intracellular

0

0 Reviews

View product

We recommend this product because it’s often used in the same experiment or related research.

We advise that you always check the datasheet to ensure it fits your experiments, or contact ourtechnical teamfor help.

Product details

ab280959 is the carrier-free version of ab280952.

Patented technology
Our RabMAb® technology is a patented hybridoma-based technology for making rabbit monoclonal antibodies. For details on our patents, please refer to RabMAb® patents.

What are the advantages of a recombinant monoclonal antibody?
This product is a recombinant monoclonal antibody, which offers several advantages including:

  • - High batch-to-batch consistency and reproducibility
  • - Improved sensitivity and specificity
  • - Long-term security of supply
  • - Animal-free batch production

For more information, read more on recombinant antibodies.

Conjugation ready
Our carrier-free antibodies are typically supplied in a PBS-only formulation, purified and free of BSA, sodium azide and glycerol. This conjugation-ready format is designed for use with fluorochromes, metal isotopes, oligonucleotides, and enzymes, which makes them ideal for antibody labelling, functional and cell-based assays, flow-based assays (e.g. mass cytometry) and Multiplex Imaging applications.

Use our conjugation kits for antibody conjugates that are ready-to-use in as little as 20 minutes with 1 minute hands-on-time and 100% antibody recovery: available for fluorescent dyes, HRP, biotin and gold.

Compatibility
This product is compatible with the Maxpar® Antibody Labeling Kit from Fluidigm, without the need for antibody preparation. Maxpar® is a trademark of Fluidigm Canada Inc.

Properties and storage information

Form
Liquid
Purification technique
Affinity purification Protein A
Storage buffer
Constituents: 100% PBS
Shipped at conditions
Blue Ice
Appropriate short-term storage conditions
+4°C
Appropriate long-term storage conditions
+4°C

Supplementary information

This supplementary information is collated from multiple sources and compiled automatically.

NOX2 also known as gp91phox or cybb is a membrane-bound protein that plays an important role in the production of reactive oxygen species (ROS). This protein functions as a catalytic component of the NADPH oxidase complex which is primarily found in phagocytes like neutrophils and macrophages. The NOX2 protein has a molecular weight of approximately 91 kDa. It is expressed prominently in the cell membranes of these immune cells where it participates in the body's defense mechanisms.
Biological function summary

NOX2 participates in the generation of superoxide by using NADPH as a substrate an essential function performed by the multi-subunit NADPH oxidase complex. This process helps in the formation of microbicidal ROS which neutrophils and macrophages require for killing pathogens. The gp91phox component NOX2's alternate name partners with p22phox and other cytosolic subunits like p47phox and p67phox to form the fully active enzyme complex. This emphasizes NOX2's role in the immune system's oxidative burst an important antimicrobial response.

Pathways

NOX2 is an integral part of the oxidative burst pathway important in host defense. Its activity connects with the MAPK signaling pathway which can be activated by the presence of ROS produced by NOX2. This pathway involves proteins such as ERK JNK and p38 MAPKs which are related through the signaling events that lead to diverse cellular responses including inflammation and stress responses.

NOX2 dysregulation is associated with chronic granulomatous disease (CGD) a condition characterized by a compromised ability of phagocytes to produce ROS leading to recurrent infections. Additionally NOX2 activity links with cardiovascular diseases where its overproduction of ROS can cause oxidative stress contributing to atherosclerosis. The functioning of p22phox another protein in the NADPH oxidase complex becomes particularly relevant in these contexts as it partners with NOX2 to generate the harmful superoxide in such diseases.

Product protocols

For this product, it's our understanding that no specific protocols are required. You can visit:

Target data

Critical component of the membrane-bound oxidase of phagocytes that generates superoxide. It is the terminal component of a respiratory chain that transfers single electrons from cytoplasmic NADPH across the plasma membrane to molecular oxygen on the exterior. Also functions as a voltage-gated proton channel that mediates the H(+) currents of resting phagocytes. It participates in the regulation of cellular pH and is blocked by zinc.
See full target information CYBB

Product promise

We are committed to supporting your work with high-quality reagents, and we're here for you every step of the way. In the unlikely event that one of our products does not perform as expected, you're protected by our Product Promise.
For full details, please see our Terms & Conditions

Associated Products

Select an associated product type
Alternative Version
Primary Antibodies

AB280952

Anti-NOX2/gp91phox antibody [EPR24537-15]

primary-antibodies

nox2-gp91phox-antibody-epr24537-15-ab280952

0

(0 reviews)

Please note: All products are 'FOR RESEARCH USE ONLY. NOT FOR USE IN DIAGNOSTIC OR THERAPEUTIC PROCEDURES'.

For licensing inquiries, please contact partnerships@abcam.com