JavaScript is disabled in your browser. Please enable JavaScript to view this website.
AB254572

Anti-NOX3 antibody

Be the first to review this product! Submit a review

|

(3 Publications)

Rabbit Polyclonal NOX3 antibody. Suitable for WB, IHC-P, ICC/IF and reacts with Human samples. Cited in 3 publications. Immunogen corresponding to Synthetic Peptide within Human NOX3 aa 100-200.

View Alternative Names

MOX2, NOX3, NADPH oxidase 3, Mitogenic oxidase 2, gp91phox homolog 3, MOX-2, GP91-3

3 Images
Immunocytochemistry/ Immunofluorescence - Anti-NOX3 antibody (AB254572)
  • ICC/IF

Supplier Data

Immunocytochemistry/ Immunofluorescence - Anti-NOX3 antibody (AB254572)

Human kidney tissue labeling NOX3 using ab254572 at 20 μg/ml in IF.

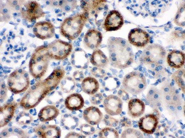
Immunohistochemistry (Formalin/PFA-fixed paraffin-embedded sections) - Anti-NOX3 antibody (AB254572)
  • IHC-P

Supplier Data

Immunohistochemistry (Formalin/PFA-fixed paraffin-embedded sections) - Anti-NOX3 antibody (AB254572)

Human kidney tissue stained for NOX3 with ab254572 at 5 μg/ml in immunohistochemical analysis.

Western blot - Anti-NOX3 antibody (AB254572)
  • WB

Supplier Data

Western blot - Anti-NOX3 antibody (AB254572)

All lanes:

Western blot - Anti-NOX3 antibody (ab254572) at 1 µg/mL

All lanes:

HEK-293 (Human epithelial cell line from embryonic kidney) cell lysate at 15 µg

Predicted band size: 65 kDa

false

Key facts

Host species

Rabbit

Clonality

Polyclonal

Isotype

IgG

Carrier free

No

Reacts with

Human

Applications

WB, IHC-P, ICC/IF

applications

Immunogen

Synthetic Peptide within Human NOX3 aa 100-200. The exact immunogen used to generate this antibody is proprietary information.

Q9HBY0

Reactivity data

{ "title": "Reactivity Data", "filters": { "stats": ["", "Species", "Dilution Info", "Notes"], "tabs": { "all-applications": {"fullname" : "All Applications", "shortname": "All Applications"}, "WB" : {"fullname" : "Western blot", "shortname":"WB"}, "IHCP" : {"fullname" : "Immunohistochemistry (Formalin/PFA-fixed paraffin-embedded sections)", "shortname":"IHC-P"}, "ICCIF" : {"fullname" : "Immunocytochemistry/ Immunofluorescence", "shortname":"ICC/IF"} }, "product-promise": { "all": "all", "testedAndGuaranteed": "tested", "guaranteed": "expected", "predicted": "predicted", "notRecommended": "not-recommended" } }, "values": { "Human": { "WB-species-checked": "testedAndGuaranteed", "WB-species-dilution-info": "1 µg/mL", "WB-species-notes": "<p></p>", "IHCP-species-checked": "testedAndGuaranteed", "IHCP-species-dilution-info": "5 µg/mL", "IHCP-species-notes": "<p></p>", "ICCIF-species-checked": "testedAndGuaranteed", "ICCIF-species-dilution-info": "20 µg/mL", "ICCIF-species-notes": "<p></p>" } } }

Properties and storage information

Form
Liquid
Purification technique
Affinity purification Immunogen
Storage buffer
pH: 7.2 Preservative: 0.02% Sodium azide Constituents: PBS
Shipped at conditions
Blue Ice
Appropriate short-term storage duration
1-2 weeks
Appropriate short-term storage conditions
+4°C
Appropriate long-term storage conditions
-20°C
Aliquoting information
Upon delivery aliquot
Storage information
Avoid freeze / thaw cycle

Supplementary information

This supplementary information is collated from multiple sources and compiled automatically.

NOX3 also known as NADPH oxidase 3 is an enzyme that produces reactive oxygen species (ROS) by transferring electrons from NADPH to oxygen. It has a molecular mass of approximately 65 kDa. This protein is expressed mainly in inner ear tissues and to a lesser extent in other tissues. NOX3's primary role involves generating superoxide anions which contribute to cellular processes and signaling pathways.
Biological function summary

NOX3 generates ROS as part of the inner ear's response mechanisms. Although its function is still being studied NOX3 is part of a larger enzymatic complex which includes other NADPH oxidase subunits like p22phox and NOXO1. This complex enables precise regulation of ROS production impacting hearing and balance.

Pathways

The ROS production by NOX3 plays a role in signaling pathways related to oxidative stress. It is involved in pathways such as the NOX-AKT signaling pathway which interacts with proteins like AKT1 a kinase critical for cell survival and proliferation. NOX3's ROS generation affects cellular redox states influencing various downstream molecular events.

NOX3 has associations with conditions such as hearing loss and inner ear disorders. The imbalance of ROS production by NOX3 may lead to oxidative damage in the ear contributing to these conditions. Other proteins such as SOD1 which helps mitigate oxidative stress interact indirectly with NOX3 providing potential therapeutic targets for addressing NOX3-related disorders.

Product protocols

For this product, it's our understanding that no specific protocols are required. You can visit:

Target data

NADPH oxidase that catalyzes the generation of superoxide from molecular oxygen utilizing NADPH as an electron donor, upon formation of a complex with CYBA/p22phox (PubMed : 15181005, PubMed : 15824103). Plays a role in the biogenesis of otoconia/otolith, which are crystalline structures of the inner ear involved in the perception of gravity (By similarity).
See full target information NOX3

Publications (3)

Recent publications for all applications. Explore the full list and refine your search

Molecular medicine reports 24: PubMed34165161

2021

Downregulation of VDR in benign paroxysmal positional vertigo patients inhibits otolith‑associated protein expression levels.

Applications

Unspecified application

Species

Unspecified reactive species

Shu Zhang,Juanli Xing,Yulin Gong,Ping Li,Boqian Wang,Ling Xu

Frontiers in pharmacology 11:617270 PubMed33584299

2021

USP7 Inhibition Alleviates HO-Induced Injury in Chondrocytes via Inhibiting NOX4/NLRP3 Pathway.

Applications

Unspecified application

Species

Unspecified reactive species

Gang Liu,Qingbai Liu,Bin Yan,Ziqiang Zhu,Yaozeng Xu

Aging 12: PubMed33535184

2021

Evaluation of the prognostic values of solute carrier (SLC) family 39 genes for patients with lung adenocarcinoma.

Applications

Unspecified application

Species

Unspecified reactive species

Heng Zhou,Yaoqi Zhu,Huizhong Qi,Liang Liang,Hao Wu,Jingping Yuan,Qingyong Hu
View all publications

Product promise

We are committed to supporting your work with high-quality reagents, and we're here for you every step of the way. In the unlikely event that one of our products does not perform as expected, you're protected by our Product Promise.
For full details, please see our Terms & Conditions

Please note: All products are 'FOR RESEARCH USE ONLY. NOT FOR USE IN DIAGNOSTIC OR THERAPEUTIC PROCEDURES'.

For licensing inquiries, please contact partnerships@abcam.com