JavaScript is disabled in your browser. Please enable JavaScript to view this website.
AB239969

Anti-NOXA2/p67phox antibody [EPR5064] - BSA and Azide free

Be the first to review this product! Submit a review

|

(0 Publication)

Rabbit Recombinant Monoclonal NOXA2/p67phox antibody. Carrier free. Suitable for IHC-P, WB and reacts with Human, Mouse, Rat samples.

View Alternative Names

NOXA2, P67PHOX, NCF2, Neutrophil cytosol factor 2, NCF-2, 67 kDa neutrophil oxidase factor, NADPH oxidase activator 2, Neutrophil NADPH oxidase factor 2, p67-phox

1 Images
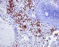
Immunohistochemistry (Formalin/PFA-fixed paraffin-embedded sections) - Anti-NOXA2/p67phox antibody [EPR5064] - BSA and Azide free (AB239969)
  • IHC-P

Unknown

Immunohistochemistry (Formalin/PFA-fixed paraffin-embedded sections) - Anti-NOXA2/p67phox antibody [EPR5064] - BSA and Azide free (AB239969)

Immunohistochemical analysis of NOXA2/p67phox in paraffin-embedded Human spleen tissue using ab109366 at 1/500 dilution

This data was developed using the same antibody clone in a different buffer formulation containing PBS, BSA, glycerol, and sodium azide (ab109366).

Perform heat mediated antigen retrieval with citrate buffer pH 6 before commencing with IHC staining protocol.

Key facts

Host species

Rabbit

Clonality

Monoclonal

Clone number

EPR5064

Isotype

IgG

Carrier free

Yes

Reacts with

Human

Applications

WB, IHC-P

applications

Immunogen

The exact immunogen used to generate this antibody is proprietary information.

Reactivity data

{ "title": "Reactivity Data", "filters": { "stats": ["", "Species", "Dilution Info", "Notes"], "tabs": { "all-applications": {"fullname" : "All Applications", "shortname": "All Applications"}, "IHCP" : {"fullname" : "Immunohistochemistry (Formalin/PFA-fixed paraffin-embedded sections)", "shortname":"IHC-P"}, "FlowCyt" : {"fullname" : "Flow Cytometry", "shortname":"Flow Cyt"}, "WB" : {"fullname" : "Western blot", "shortname":"WB"} }, "product-promise": { "all": "all", "testedAndGuaranteed": "tested", "guaranteed": "expected", "predicted": "predicted", "notRecommended": "not-recommended" } }, "values": { "Human": { "IHCP-species-checked": "testedAndGuaranteed", "IHCP-species-dilution-info": "", "IHCP-species-notes": "<p></p> Perform heat-mediated antigen retrieval with citrate buffer pH 6 before commencing with IHC staining protocol.", "FlowCyt-species-checked": "notRecommended", "FlowCyt-species-dilution-info": "", "FlowCyt-species-notes": "<p></p>", "WB-species-checked": "guaranteed", "WB-species-dilution-info": "", "WB-species-notes": "<p></p>" }, "Mouse": { "IHCP-species-checked": "predicted", "IHCP-species-dilution-info": "", "IHCP-species-notes": "", "FlowCyt-species-checked": "notRecommended", "FlowCyt-species-dilution-info": "", "FlowCyt-species-notes": "", "WB-species-checked": "guaranteed", "WB-species-dilution-info": "", "WB-species-notes": "<p></p>" }, "Rat": { "IHCP-species-checked": "predicted", "IHCP-species-dilution-info": "", "IHCP-species-notes": "", "FlowCyt-species-checked": "notRecommended", "FlowCyt-species-dilution-info": "", "FlowCyt-species-notes": "", "WB-species-checked": "guaranteed", "WB-species-dilution-info": "", "WB-species-notes": "<p></p>" } } }

Product details

ab239969 is the carrier-free version of ab109366.

Patented technology
Our RabMAb® technology is a patented hybridoma-based technology for making rabbit monoclonal antibodies. For details on our patents, please refer to RabMAb® patents.

What are the advantages of a recombinant monoclonal antibody?
This product is a recombinant monoclonal antibody, which offers several advantages including:

  • - High batch-to-batch consistency and reproducibility
  • - Improved sensitivity and specificity
  • - Long-term security of supply
  • - Animal-free batch production

For more information, read more on recombinant antibodies.

Conjugation ready
Our carrier-free antibodies are typically supplied in a PBS-only formulation, purified and free of BSA, sodium azide and glycerol. This conjugation-ready format is designed for use with fluorochromes, metal isotopes, oligonucleotides, and enzymes, which makes them ideal for antibody labelling, functional and cell-based assays, flow-based assays (e.g. mass cytometry) and Multiplex Imaging applications.

Use our conjugation kits for antibody conjugates that are ready-to-use in as little as 20 minutes with 1 minute hands-on-time and 100% antibody recovery: available for fluorescent dyes, HRP, biotin and gold.

Compatibility
This product is compatible with the Maxpar® Antibody Labeling Kit from Fluidigm, without the need for antibody preparation. Maxpar® is a trademark of Fluidigm Canada Inc.

Properties and storage information

Form
Liquid
Purification technique
Affinity purification Protein A
Storage buffer
pH: 7.2 - 7.4 Constituents: PBS
Shipped at conditions
Blue Ice
Appropriate short-term storage conditions
+4°C
Appropriate long-term storage conditions
+4°C
Storage information
Do Not Freeze

Supplementary information

This supplementary information is collated from multiple sources and compiled automatically.

NOXA2 also known as p67phox is a subunit of the NADPH oxidase complex essential in producing reactive oxygen species (ROS). The protein weighs about 67 kilodaltons and is expressed in phagocytic cells like neutrophils and macrophages. NOXA2/p67phox interacts closely with other subunits of the NADPH oxidase complex playing a critical role in oxidative burst which is essential in the immune response against pathogens.
Biological function summary

NOXA2 contributes to superoxide production by facilitating electron transfer in the NADPH oxidase complex. This complex is integral to the immune system's ability to target and destroy infectious agents. NOXA2/p67phox forms a complex with other components such as gp91phox and p22phox which are required for full activation of the oxidase. The coordinated action of these complexes ensures effective ROS production which is a vital component of the defense mechanism of immune cells.

Pathways

NOXA2 participates in the respiratory burst pathway an important element of innate immunity. This pathway involves the conversion of oxygen to superoxide a process requiring precise interaction with cytochrome b558 and the Rac protein. NOXA2 is also related to signal transduction pathways including those modulated by protein kinase C which further regulates its activation during the immune response. The orchestration of these pathways allows for an effective immune defense mechanism.

NOXA2 is implicated in chronic granulomatous disease (CGD) where mutations in the components of the NADPH oxidase complex impair ROS production. This leads to frequent infections due to deficient pathogen clearance. NOXA2 is also linked to inflammatory disorders due to its role in excessive ROS production. In that context it connects with other proteins such as p47phox which are also involved in both normal and aberrant immune responses.

Product protocols

For this product, it's our understanding that no specific protocols are required. You can visit:

Target data

NCF2, NCF1, and a membrane bound cytochrome b558 are required for activation of the latent NADPH oxidase (necessary for superoxide production).
See full target information NCF2

Product promise

We are committed to supporting your work with high-quality reagents, and we're here for you every step of the way. In the unlikely event that one of our products does not perform as expected, you're protected by our Product Promise.
For full details, please see our Terms & Conditions

Associated Products

Select an associated product type
Alternative Product
Primary Antibodies

AB109523

Anti-NOXA2/p67phox antibody [EPR5065]

primary-antibodies

noxa2-p67phox-antibody-epr5065-ab109523

0

(0 reviews)

Alternative Version
Primary Antibodies

AB206256

Alexa Fluor® 488 Anti-NOXA2/p67phox antibody [EPR5064]

primary-antibodies

alexa-fluor-488-noxa2-p67phox-antibody-epr5064-ab206256

0

(0 reviews)

Alternative Version
Primary Antibodies

AB206257

Alexa Fluor® 647 Anti-NOXA2/p67phox antibody [EPR5064]

primary-antibodies

alexa-fluor-647-noxa2-p67phox-antibody-epr5064-ab206257

0

(0 reviews)

Please note: All products are 'FOR RESEARCH USE ONLY. NOT FOR USE IN DIAGNOSTIC OR THERAPEUTIC PROCEDURES'.

For licensing inquiries, please contact partnerships@abcam.com