JavaScript is disabled in your browser. Please enable JavaScript to view this website.
AB300416

Anti-NP-I antibody [EPR25683-17] (BSA and Azide free)

Be the first to review this product! Submit a review

|

(0 Publication)

Anti-NP-I antibody [EPR25683-17] (BSA and Azide free) (ab300416) is a rabbit recombinant monoclonal antibody provided in a PBS only buffer for easy conjugation detecting NP-I in Western Blot, Flow Cytometry, IP, ICC/IF. Suitable for Human.

- BSA, sodium azide, and glycerol-free for easy conjugation
- Biophysical QC for unrivalled batch-batch consistency

View Alternative Names

Neuronal pentraxin-1, NP1, Neuronal pentraxin I, NP-I, NPTX1

7 Images
Flow Cytometry (Intracellular) - Anti-NP-I antibody [EPR25683-17] (BSA and Azide free) (AB300416)
  • Flow Cyt (Intra)

Supplier Data

Flow Cytometry (Intracellular) - Anti-NP-I antibody [EPR25683-17] (BSA and Azide free) (AB300416)

This data was developed using ab300404, the same antibody clone in a different buffer formulation.Flow cytometric analysis of HeLa (human cervix adenocarcinoma epithelial cell) cells labelling NPTX1 with ab300404 at 1/500 dilution (0.1ug) (Red) compared with a Rabbit monoclonal IgG (ab172730) (Black) isotype control and an unlabelled control (cells without incubation with primary antibody and secondary antibody) (Blue). Goat Anti-Rabbit IgG (Alexa Fluor® 488, ab150081) at 1/2000 dilution was used as the secondary antibody.

Immunocytochemistry/ Immunofluorescence - Anti-NP-I antibody [EPR25683-17] (BSA and Azide free) (AB300416)
  • ICC/IF

Supplier Data

Immunocytochemistry/ Immunofluorescence - Anti-NP-I antibody [EPR25683-17] (BSA and Azide free) (AB300416)

This data was developed using ab300404, the same antibody clone in a different buffer formulation.Immunofluorescent analysis of 4% Paraformaldehyde-fixed, 0.1% TritonX-100 permeabilized IMR-32 (human neuroblastoma neuroblast) cells labelling NPTX1 with ab300404 at 1/50 (9.56 ug/ml) dilution, followed by ab150081 Goat Anti-Rabbit IgG H&L (Alexa Fluor® 488) preadsorbed antibody at 1/1000 2ug/ml dilution (Green). Confocal image showing cytoplasm staining in IMR-32 cell line is observed. ab195889 Anti-alpha Tubulin mouse monoclonal antibody - Microtubule Marker (Alexa Fluor® 594) was used to counterstain tubulin at 1/200 2.5ug/ml dilution (Red). The Nuclear counterstain was DAPI (Blue). Secondary antibody only control : Secondary antibody is ab150081 Goat Anti-Rabbit IgG H&L (Alexa Fluor® 488) preadsorbed at 1/1000 2ug/ml dilution.

Immunoprecipitation - Anti-NP-I antibody [EPR25683-17] (BSA and Azide free) (AB300416)
  • IP

Supplier Data

Immunoprecipitation - Anti-NP-I antibody [EPR25683-17] (BSA and Azide free) (AB300416)

This data was developed using ab300404, the same antibody clone in a different buffer formulation. NPTX1 was immunoprecipitated from 0.35 mg Human hypothalamus tissue lysate 10 ug with ab300404 at 1/30 dilution (2ug in 0.35mg lysates). Western blot was performed on the immunoprecipitate using ab300404 at 1/1000 dilution. VeriBlot for IP secondary antibody (HRP) (ab131366) was used at 1/5000 dilution.

Lane 1 : Human hypothalamus tissue lysate 10 ug

Lane 2 : ab300404 IP in Human hypothalamus tissue lysate

Lane 3 : Rabbit monoclonal IgG (ab172730) instead of ab300404 in Human hypothalamus tissue lysate

Blocking and dilution buffer and concentration : 5% NFDM/TBST.

Exposure time : 3.25 seconds

All lanes:

Immunoprecipitation - Anti-NP-I antibody [EPR25683-17] (<a href='/en-us/products/primary-antibodies/np-i-antibody-epr25683-17-ab300404'>ab300404</a>) at 1/1000 dilution

All lanes:

Human hypothalamus tissue lysate at 10 µg

Secondary

All lanes:

Immunoprecipitation - VeriBlot for IP Detection Reagent (HRP) (<a href='/en-us/products/reagents/veriblot-for-ip-detection-reagent-hrp-ab131366'>ab131366</a>) at 1/5000 dilution

false

Exposure time: 3.25s

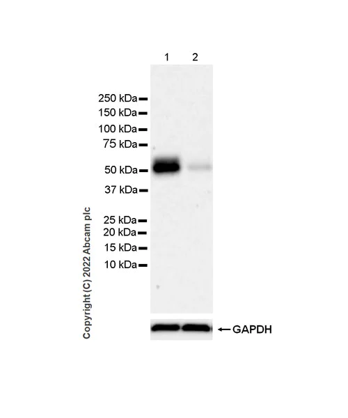
Western blot - Anti-NP-I antibody [EPR25683-17] (BSA and Azide free) (AB300416)
  • WB

Supplier Data

Western blot - Anti-NP-I antibody [EPR25683-17] (BSA and Azide free) (AB300416)

This data was developed using ab300404, the same antibody clone in a different buffer formulation. Blocking Buffer and concentration : 5% NFDM/TBST

All lanes:

Western blot - Anti-NP-I antibody [EPR25683-17] (<a href='/en-us/products/primary-antibodies/np-i-antibody-epr25683-17-ab300404'>ab300404</a>) at 1/1000 dilution

Lane 1:

Hela (Human cervix adenocarcinoma epithelial cell) transfected with scrambled siRNA control, whole cell lysate

Lane 2:

Hela transfected with siRNA specifically targeti NPTX1, whole cell lysate 20

Secondary

All lanes:

Western blot - Goat Anti-Rabbit IgG H&L (HRP) (<a href='/en-us/products/secondary-antibodies/goat-rabbit-igg-h-l-hrp-ab97051'>ab97051</a>) at 1/100000 dilution

Observed band size: 50 kDa

false

Exposure time: 169s

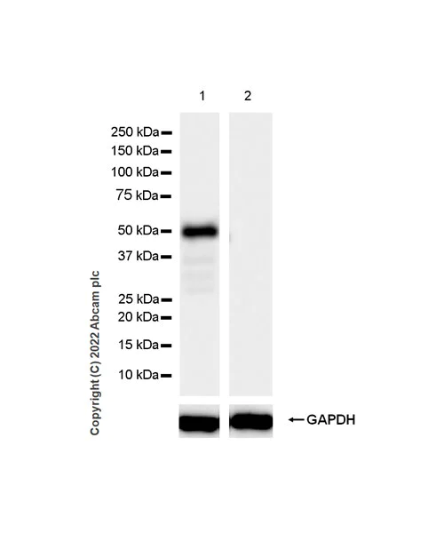
Western blot - Anti-NP-I antibody [EPR25683-17] (BSA and Azide free) (AB300416)
  • WB

Supplier Data

Western blot - Anti-NP-I antibody [EPR25683-17] (BSA and Azide free) (AB300416)

This data was developed using ab300404, the same antibody clone in a different buffer formulation. Blocking Buffer and concentration : 5% NFDM/TBST

All lanes:

Western blot - Anti-NP-I antibody [EPR25683-17] (<a href='/en-us/products/primary-antibodies/np-i-antibody-epr25683-17-ab300404'>ab300404</a>) at 1/1000 dilution

Lane 1:

Human hypothalamus tissue lysate

Lane 2:

Human heart tissue lysate

Secondary

All lanes:

Western blot - Goat Anti-Rabbit IgG H&L (HRP) (<a href='/en-us/products/secondary-antibodies/goat-rabbit-igg-h-l-hrp-ab97051'>ab97051</a>) at 1/100000 dilution

Observed band size: 50 kDa

false

Exposure time: 10s

Western blot - Anti-NP-I antibody [EPR25683-17] (BSA and Azide free) (AB300416)
  • WB

Supplier Data

Western blot - Anti-NP-I antibody [EPR25683-17] (BSA and Azide free) (AB300416)

This data was developed using ab300404, the same antibody clone in a different buffer formulation. Blocking Buffer and concentration : 5% NFDM/TBST

All lanes:

Western blot - Anti-NP-I antibody [EPR25683-17] (<a href='/en-us/products/primary-antibodies/np-i-antibody-epr25683-17-ab300404'>ab300404</a>) at 1/1000 dilution

All lanes:

IMR-32 (Human neuroblastoma neuroblast) whole cell lysate

Secondary

All lanes:

Western blot - Goat Anti-Rabbit IgG H&L (HRP) (<a href='/en-us/products/secondary-antibodies/goat-rabbit-igg-h-l-hrp-ab97051'>ab97051</a>) at 1/100000 dilution

Observed band size: 50 kDa

false

Exposure time: 180s

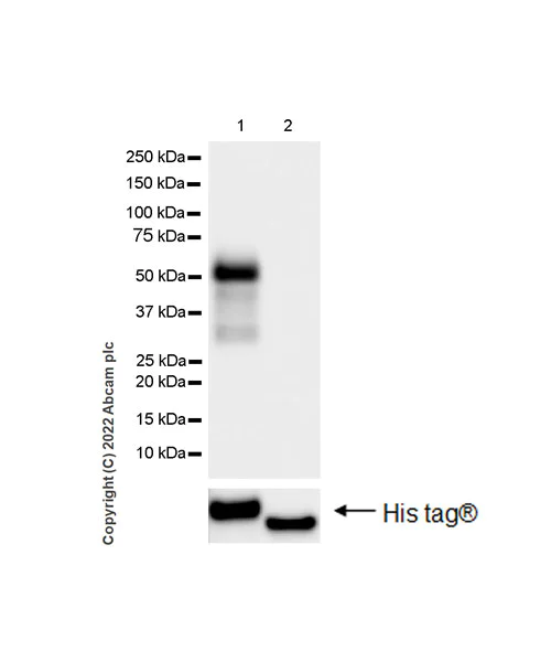
Western blot - Anti-NP-I antibody [EPR25683-17] (BSA and Azide free) (AB300416)
  • WB

Supplier Data

Western blot - Anti-NP-I antibody [EPR25683-17] (BSA and Azide free) (AB300416)

This data was developed using ab300404, the same antibody clone in a different buffer formulation. Blocking Buffer and concentration : 5% NFDM/TBST

All lanes:

Western blot - Anti-NP-I antibody [EPR25683-17] (<a href='/en-us/products/primary-antibodies/np-i-antibody-epr25683-17-ab300404'>ab300404</a>) at 1/1000 dilution

Lane 1:

His-tagged human NPTX1 recombinant protein

Lane 2:

His-tagged human NPTX2 recombinant protein

Secondary

All lanes:

Western blot - Goat Anti-Rabbit IgG H&L (HRP) (<a href='/en-us/products/secondary-antibodies/goat-rabbit-igg-h-l-hrp-ab97051'>ab97051</a>) at 1/100000 dilution

Observed band size: 50 kDa

false

Exposure time: 3.25s

Key facts

Host species

Rabbit

Clonality

Monoclonal

Clone number

EPR25683-17

Isotype

IgG

Carrier free

Yes

Reacts with

Human

Applications

ICC/IF, WB, IP, Flow Cyt (Intra)

applications

Immunogen

The exact immunogen used to generate this antibody is proprietary information.

Reactivity data

{ "title": "Reactivity Data", "filters": { "stats": ["", "Species", "Dilution Info", "Notes"], "tabs": { "all-applications": {"fullname" : "All Applications", "shortname": "All Applications"}, "IP" : {"fullname" : "Immunoprecipitation", "shortname":"IP"}, "FlowCytIntra" : {"fullname" : "Flow Cytometry (Intracellular)", "shortname":"Flow Cyt (Intra)"}, "ICCIF" : {"fullname" : "Immunocytochemistry/ Immunofluorescence", "shortname":"ICC/IF"}, "IHCP" : {"fullname" : "Immunohistochemistry (Formalin/PFA-fixed paraffin-embedded sections)", "shortname":"IHC-P"}, "WB" : {"fullname" : "Western blot", "shortname":"WB"} }, "product-promise": { "all": "all", "testedAndGuaranteed": "tested", "guaranteed": "expected", "predicted": "predicted", "notRecommended": "not-recommended" } }, "values": { "Human": { "IP-species-checked": "testedAndGuaranteed", "IP-species-dilution-info": "1/30", "IP-species-notes": "<p></p>", "FlowCytIntra-species-checked": "testedAndGuaranteed", "FlowCytIntra-species-dilution-info": "1/400", "FlowCytIntra-species-notes": "<p></p>", "ICCIF-species-checked": "testedAndGuaranteed", "ICCIF-species-dilution-info": "1/50", "ICCIF-species-notes": "<p></p>", "IHCP-species-checked": "notRecommended", "IHCP-species-dilution-info": "", "IHCP-species-notes": "<p></p>", "WB-species-checked": "testedAndGuaranteed", "WB-species-dilution-info": "1/1000", "WB-species-notes": "<p></p>" }, "Mouse": { "IP-species-checked": "notRecommended", "IP-species-dilution-info": "", "IP-species-notes": "", "FlowCytIntra-species-checked": "notRecommended", "FlowCytIntra-species-dilution-info": "", "FlowCytIntra-species-notes": "", "ICCIF-species-checked": "notRecommended", "ICCIF-species-dilution-info": "1/50", "ICCIF-species-notes": "<p></p>", "IHCP-species-checked": "notRecommended", "IHCP-species-dilution-info": "", "IHCP-species-notes": "<p></p>", "WB-species-checked": "notRecommended", "WB-species-dilution-info": "1/1000", "WB-species-notes": "<p></p>" }, "Rat": { "IP-species-checked": "notRecommended", "IP-species-dilution-info": "", "IP-species-notes": "", "FlowCytIntra-species-checked": "notRecommended", "FlowCytIntra-species-dilution-info": "", "FlowCytIntra-species-notes": "", "ICCIF-species-checked": "notRecommended", "ICCIF-species-dilution-info": "1/50", "ICCIF-species-notes": "<p></p>", "IHCP-species-checked": "notRecommended", "IHCP-species-dilution-info": "", "IHCP-species-notes": "<p></p>", "WB-species-checked": "notRecommended", "WB-species-dilution-info": "1/1000", "WB-species-notes": "<p></p>" }, "Recombinant full length protein - Human": { "IP-species-checked": "notRecommended", "IP-species-dilution-info": "", "IP-species-notes": "", "FlowCytIntra-species-checked": "notRecommended", "FlowCytIntra-species-dilution-info": "", "FlowCytIntra-species-notes": "", "ICCIF-species-checked": "notRecommended", "ICCIF-species-dilution-info": "", "ICCIF-species-notes": "", "IHCP-species-checked": "notRecommended", "IHCP-species-dilution-info": "", "IHCP-species-notes": "", "WB-species-checked": "testedAndGuaranteed", "WB-species-dilution-info": "1/1000", "WB-species-notes": "<p></p>" }, "Transfected cell line": { "IP-species-checked": "notRecommended", "IP-species-dilution-info": "", "IP-species-notes": "", "FlowCytIntra-species-checked": "notRecommended", "FlowCytIntra-species-dilution-info": "", "FlowCytIntra-species-notes": "", "ICCIF-species-checked": "notRecommended", "ICCIF-species-dilution-info": "", "ICCIF-species-notes": "", "IHCP-species-checked": "notRecommended", "IHCP-species-dilution-info": "", "IHCP-species-notes": "", "WB-species-checked": "testedAndGuaranteed", "WB-species-dilution-info": "1/1000", "WB-species-notes": "<p></p>" } } }

Product details

What is this antibody validated in?
Anti-NP-I antibody [EPR25683-17] (BSA and Azide free) (ab300416) is a rabbit recombinant monoclonal antibody and is validated for use in Western Blot (WB), Flow Cytometry (Intra), Flow Cytometry (Flow Cyt), Immunoprecipitation (IP), Immunocytochemistry/immunofluorescence (ICC/IF) in Human samples.

What is the molecular weight of NP-I?
Anti-NP-I [EPR25683-17] (BSA and Azide free) (ab300416) specifically detects a band for NP-I (UniProt: Q15818) at a molecular weight of 47kDa.

Other related products
We have a range of other formats of antibody clone [EPR25683-17] also available for your convenience: ab300404, Carrier free - ab300416

Compatibility
This product is compatible with the Maxpar® Antibody Labeling Kit from Fluidigm, without the need for antibody preparation. Maxpar® is a trademark of Fluidigm Canada Inc.

Conjugation ready
Our carrier-free antibodies are typically supplied in a PBS-only formulation, purified and free of BSA, sodium azide and glycerol. This conjugation-ready format is designed for use with fluorochromes, metal isotopes, oligonucleotides, and enzymes, which makes them ideal for antibody labelling, functional and cell-based assays, flow-based assays (e.g. mass cytometry) and Multiplex Imaging applications.

Use our conjugation kits for antibody conjugates that are ready-to-use in as little as 20 minutes with 1 minute hands-on-time and 100% antibody recovery: available for fluorescent dyes, HRP, biotin and gold.

Patented technology
Our RabMAb® technology is a patented hybridoma-based technology for making rabbit monoclonal antibodies. For details on our patents, please refer to RabMAb® patents.

What are the advantages of a recombinant monoclonal antibody?
This product is a recombinant monoclonal antibody, which offers several advantages including:

  • - High batch-to-batch consistency and reproducibility
  • - Improved sensitivity and specificity
  • - Long-term security of supply
  • - Animal-free batch production

For more information, read more on recombinant antibodies.

Properties and storage information

Form
Liquid
Purification technique
Affinity purification Protein A
Storage buffer
pH: 7.2 - 7.4 Constituents: PBS
Shipped at conditions
Blue Ice
Appropriate short-term storage conditions
+4°C
Appropriate long-term storage conditions
+4°C

Supplementary information

This supplementary information is collated from multiple sources and compiled automatically.

NP-I also known as NP protein or NP-BSA functions as a nucleoprotein component of ribonucleoprotein complexes. It has a mass of 56 kDa. Expression occurs in both the cytoplasm and nucleus of infected cells. Ribonucleoproteins with NP-I encapsulate viral RNA which helps in the process of viral replication and transcription. NP-I is essential for forming the ribonucleoprotein core stabilizing the viral genome and facilitating interactions with the polymerase.
Biological function summary

NP-I plays important roles in the life cycle of certain viruses. It associates with NP-TX1 another protein component to ensure effective assembly of the viral replication machinery. NP-I is also part of a complex that maintains the integrity of the viral RNA. It modulates host cell responses to viral infection by interacting with host cellular proteins impacting viral pathogenicity and replication efficiency.

Pathways

NP-I interacts with the RNA replication and transcription processes of viruses. It participates in the influenza virus life cycle pathway where NP protein coordinates with polymerase subunits like PB1 PB2 and PA to facilitate RNA synthesis. These interactions and pathways are critical for understanding how viruses exploit host cellular machinery to perpetuate their replication cycles. Specifically NP-I contributes to the assembly and regulation of viral RNA genomes within host cells.

NP-I is connected to viral infections like influenza. It has a pivotal role in facilitating viral replication and immune evasion influencing the severity of influenza manifestations. The interaction between NP-I and host proteins like interferon regulators can modulate immune responses potentially leading to immune system disorders. By understanding these interactions scientists can develop therapeutic interventions targeting NP-I to control or mitigate influenza viral infections.

Product protocols

For this product, it's our understanding that no specific protocols are required. You can visit:

Target data

May be involved in mediating uptake of synaptic material during synapse remodeling or in mediating the synaptic clustering of AMPA glutamate receptors at a subset of excitatory synapses.
See full target information NPTX1_HUMAN

Product promise

We are committed to supporting your work with high-quality reagents, and we're here for you every step of the way. In the unlikely event that one of our products does not perform as expected, you're protected by our Product Promise.
For full details, please see our Terms & Conditions

Please note: All products are 'FOR RESEARCH USE ONLY. NOT FOR USE IN DIAGNOSTIC OR THERAPEUTIC PROCEDURES'.

For licensing inquiries, please contact partnerships@abcam.com