JavaScript is disabled in your browser. Please enable JavaScript to view this website.
AB250681

Anti-NPHS2 antibody [EPR13819] - BSA and Azide free

Be the first to review this product! Submit a review

|

(1 Publication)

Rabbit Recombinant Monoclonal NPHS2 antibody. Carrier free. Suitable for WB, IHC-P and reacts with Human samples. Cited in 1 publication.

View Alternative Names

Podocin, NPHS2

2 Images
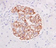
Immunohistochemistry (Formalin/PFA-fixed paraffin-embedded sections) - Anti-NPHS2 antibody [EPR13819] - BSA and Azide free (AB250681)
  • IHC-P

Supplier Data

Immunohistochemistry (Formalin/PFA-fixed paraffin-embedded sections) - Anti-NPHS2 antibody [EPR13819] - BSA and Azide free (AB250681)

This data was developed using ab183703, the same antibody clone in a different buffer formulation.

Immunohistochemical analysis of paraffin-embedded Human kidney tissue labeling NPHS2 with ab183703 at 1/500 dilution followed by pre-diluted HRP-conjugated secondary antibody and counter-stained with Hematoxylin.

Perform heat mediated antigen retrieval with EDTA buffer pH 9 before commencing with IHC staining protocol.

Western blot - Anti-NPHS2 antibody [EPR13819] - BSA and Azide free (AB250681)
  • WB

Unknown

Western blot - Anti-NPHS2 antibody [EPR13819] - BSA and Azide free (AB250681)

This data was developed using ab183703, the same antibody clone in a different buffer formulation.

Blocking and dilution buffer : 5% NFDM/TBST.

Observed MW : 42kDa.

All lanes:

Western blot - Anti-NPHS2 antibody [EPR13819] (<a href='/en-us/products/primary-antibodies/nphs2-antibody-epr13819-ab183703'>ab183703</a>) at 1/1000 dilution

Lane 1:

Human kidney lysates boiled at 15 µg

Lane 2:

Human kidney lysates unboiled at 15 µg

Secondary

All lanes:

Goat Anti-Rabbit IgG (HRP) with minimal cross-reactivity with human IgG at 1/2000 dilution

Predicted band size: 42 kDa

false

Key facts

Host species

Rabbit

Clonality

Monoclonal

Clone number

EPR13819

Isotype

IgG

Carrier free

Yes

Reacts with

Human

Applications

IHC-P, WB

applications

Immunogen

The exact immunogen used to generate this antibody is proprietary information.

Reactivity data

{ "title": "Reactivity Data", "filters": { "stats": ["", "Species", "Dilution Info", "Notes"], "tabs": { "all-applications": {"fullname" : "All Applications", "shortname": "All Applications"}, "WB" : {"fullname" : "Western blot", "shortname":"WB"}, "IHCP" : {"fullname" : "Immunohistochemistry (Formalin/PFA-fixed paraffin-embedded sections)", "shortname":"IHC-P"} }, "product-promise": { "all": "all", "testedAndGuaranteed": "tested", "guaranteed": "expected", "predicted": "predicted", "notRecommended": "not-recommended" } }, "values": { "Human": { "WB-species-checked": "testedAndGuaranteed", "WB-species-dilution-info": "", "WB-species-notes": "<p></p>", "IHCP-species-checked": "testedAndGuaranteed", "IHCP-species-dilution-info": "", "IHCP-species-notes": "<p></p>" } } }

Product details

ab250681 is the carrier-free version of ab183703.

Patented technology
Our RabMAb® technology is a patented hybridoma-based technology for making rabbit monoclonal antibodies. For details on our patents, please refer to RabMAb® patents.

What are the advantages of a recombinant monoclonal antibody?
This product is a recombinant monoclonal antibody, which offers several advantages including:

  • - High batch-to-batch consistency and reproducibility
  • - Improved sensitivity and specificity
  • - Long-term security of supply
  • - Animal-free batch production

For more information, read more on recombinant antibodies.

Conjugation ready
Our carrier-free antibodies are typically supplied in a PBS-only formulation, purified and free of BSA, sodium azide and glycerol. This conjugation-ready format is designed for use with fluorochromes, metal isotopes, oligonucleotides, and enzymes, which makes them ideal for antibody labelling, functional and cell-based assays, flow-based assays (e.g. mass cytometry) and Multiplex Imaging applications.

Use our conjugation kits for antibody conjugates that are ready-to-use in as little as 20 minutes with 1 minute hands-on-time and 100% antibody recovery: available for fluorescent dyes, HRP, biotin and gold.

Compatibility
This product is compatible with the Maxpar® Antibody Labeling Kit from Fluidigm, without the need for antibody preparation. Maxpar® is a trademark of Fluidigm Canada Inc.

Properties and storage information

Form
Liquid
Purification technique
Affinity purification Protein A
Storage buffer
pH: 7.2 - 7.4 Constituents: PBS
Shipped at conditions
Blue Ice
Appropriate short-term storage conditions
+4°C
Appropriate long-term storage conditions
+4°C
Storage information
Do Not Freeze

Supplementary information

This supplementary information is collated from multiple sources and compiled automatically.

The NPHS2 gene encodes the protein known as podocin which plays an important role in the renal system. Podocin is a membrane protein with a molecular mass of approximately 42 kDa. It is largely expressed in the kidney specifically in the podocyte foot processes of the glomerulus. The protein is responsible for the proper functioning of the slit diaphragm a critical component in the kidney's filtration barrier. NPHS2 by maintaining the structural integrity of these cells prevents proteins from spilling into the urine.
Biological function summary

The function of the NPHS2 gene product is significant in the maintenance of the glomerular filtration barrier. Podocin is a part of the slit diaphragm complex interacting closely with other proteins like nephrin. This interaction is required for the formation and stabilization of the slit diaphragm which filters blood plasma in the glomerulus. The precision in its location and function ensures the selective permeability of the filtration barrier.

Pathways

NPHS2 is heavily involved in pathways that regulate kidney function and filtration processes. It is an important component of the slit diaphragm complex pathway. Podocin’s interaction with proteins like nephrin and CD2AP integrates it into signaling pathways important for cytoskeletal dynamics and cell adhesion in podocytes. These interactions play an essential role in facilitating the response of podocytes to mechanical stress and in maintaining the structure of the glomerular filtration barrier.

NPHS2 mutations link directly to steroid-resistant nephrotic syndrome (SRNS). This condition leads to proteinuria and progressive kidney failure. Podocin dysfunction disrupts the integrity of the renal filtration barrier causing this disease. The protein nephrin is another component in SRNS pathophysiology as both are fundamental to maintaining the structure and function of the slit diaphragm. Understanding the relationship between NPHS2 and these proteins can aid in developing targeted therapies for SRNS and related nephropathies.

Product protocols

For this product, it's our understanding that no specific protocols are required. You can visit:

Target data

Plays a role in the regulation of glomerular permeability, acting probably as a linker between the plasma membrane and the cytoskeleton.
See full target information Podocin

Publications (1)

Recent publications for all applications. Explore the full list and refine your search

JCI insight 5: PubMed31094704

2019

Protective role of B cells in sterile particulate-induced lung injury.

Applications

Unspecified application

Species

Unspecified reactive species

Shaikh M Atif,Douglas G Mack,Amy S McKee,Javier Rangel-Moreno,Allison K Martin,Andrew Getahun,Lisa A Maier,John C Cambier,Rubin Tuder,Andrew P Fontenot
View all publications

Product promise

We are committed to supporting your work with high-quality reagents, and we're here for you every step of the way. In the unlikely event that one of our products does not perform as expected, you're protected by our Product Promise.
For full details, please see our Terms & Conditions

Please note: All products are 'FOR RESEARCH USE ONLY. NOT FOR USE IN DIAGNOSTIC OR THERAPEUTIC PROCEDURES'.

For licensing inquiries, please contact partnerships@abcam.com