JavaScript is disabled in your browser. Please enable JavaScript to view this website.
AB229037

Anti-NPHS2 antibody [EPR22203-219]

Be the first to review this product! Submit a review

|

(5 Publications)

Rabbit Recombinant Monoclonal NPHS2 antibody. Suitable for IHC-Fr, IHC-P and reacts with Rat, Mouse, Human samples. Cited in 5 publications.

View Alternative Names

Podocin, NPHS2

4 Images
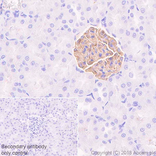
Immunohistochemistry (Formalin/PFA-fixed paraffin-embedded sections) - Anti-NPHS2 antibody [EPR22203-219] (AB229037)
  • IHC-P

Unknown

Immunohistochemistry (Formalin/PFA-fixed paraffin-embedded sections) - Anti-NPHS2 antibody [EPR22203-219] (AB229037)

Immunohistochemical analysis of paraffin-embedded human kidney tissue labeling NPHS2 with ab229037 at 1/500 dilution, followed by Goat Anti-Rabbit IgG H&L (HRP) ready to use. Positive staining on human glomeruli and weak staining on renal tubules (PMID : 21499232; PMID : 24559085; PMID : 11786407) is observed. Counter stained with hematoxylin.

Secondary antibody only control : Used PBS instead of primary antibody, secondary antibody is Goat Anti-Rabbit IgG H&L (HRP) ready to use.

Heat mediated antigen retrieval using ab93684 (Tris/EDTA buffer, pH 9.0).

Immunohistochemistry (Frozen sections) - Anti-NPHS2 antibody [EPR22203-219] (AB229037)
  • IHC-Fr

Unknown

Immunohistochemistry (Frozen sections) - Anti-NPHS2 antibody [EPR22203-219] (AB229037)

Immunohistochemical analysis of 4% paraformaldehyde-fixed, 0.2% Triton X-100 permeabilized frozen sectioned rat kidney tissue labeling NPHS2 with ab229037 at 1/100 dilution, followed by Goat Anti-Rabbit IgG H&L (Alexa Fluor® 488) (ab150077) at 1/1000 dilution (green). Positive staining on glomeruli of rat kidney is observed. The nuclear counter stain is DAPI (blue).

Secondary antibody only control : Used PBS instead of primary antibody, secondary antibody is oat Anti-Rabbit IgG H&L (Alexa Fluor® 488) (ab150077) at 1/1000 dilution.

Heat mediated antigen retrieval using sodium citrate buffer (10 mM citrate pH 6.0 + 0.05% Tween-20).

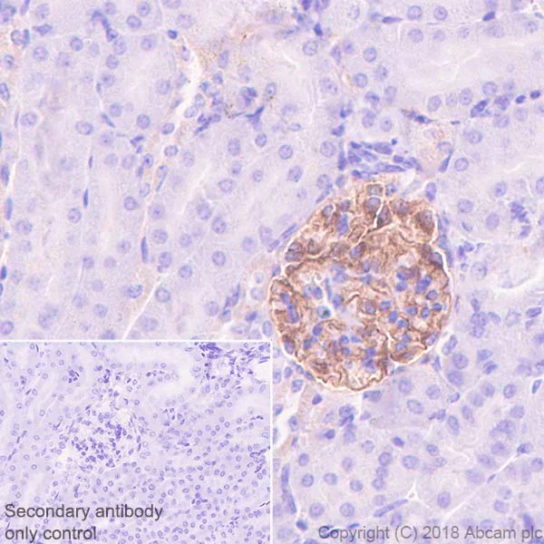
Immunohistochemistry (Formalin/PFA-fixed paraffin-embedded sections) - Anti-NPHS2 antibody [EPR22203-219] (AB229037)
  • IHC-P

Unknown

Immunohistochemistry (Formalin/PFA-fixed paraffin-embedded sections) - Anti-NPHS2 antibody [EPR22203-219] (AB229037)

Immunohistochemical analysis of paraffin-embedded rat kidney tissue labeling NPHS2 with ab229037 at 1/500 dilution, followed by Goat Anti-Rabbit IgG H&L (HRP) ready to use. Positive staining on glomeruli of rat kidney (PMID : 21499232) is observed. Counter stained with hematoxylin.

Secondary antibody only control : Used PBS instead of primary antibody, secondary antibody is Goat Anti-Rabbit IgG H&L (HRP) ready to use.

Heat mediated antigen retrieval using ab93684 (Tris/EDTA buffer, pH 9.0).

Immunohistochemistry (Formalin/PFA-fixed paraffin-embedded sections) - Anti-NPHS2 antibody [EPR22203-219] (AB229037)
  • IHC-P

Unknown

Immunohistochemistry (Formalin/PFA-fixed paraffin-embedded sections) - Anti-NPHS2 antibody [EPR22203-219] (AB229037)

Immunohistochemical analysis of paraffin-embedded mouse kidney tissue labeling NPHS2 with ab229037 at 1/500 dilution, followed by Goat Anti-Rabbit IgG H&L (HRP) ready to use. Positive staining on mouse glomeruli and weak staining on renal tubules (PMID : 21499232; PMID : 24559085; PMID : 11786407) is observed. Counter stained with hematoxylin.

Secondary antibody only control : Used PBS instead of primary antibody, secondary antibody is Goat Anti-Rabbit IgG H&L (HRP) ready to use.

Heat mediated antigen retrieval using ab93684 (Tris/EDTA buffer, pH 9.0).

  • Carrier free

    Anti-NPHS2 antibody [EPR22203-219] - BSA and Azide free

Key facts

Host species

Rabbit

Clonality

Monoclonal

Clone number

EPR22203-219

Isotype

IgG

Carrier free

No

Reacts with

Mouse, Rat, Human

Applications

IHC-P, IHC-Fr

applications

Immunogen

The exact immunogen used to generate this antibody is proprietary information.

Reactivity data

{ "title": "Reactivity Data", "filters": { "stats": ["", "Species", "Dilution Info", "Notes"], "tabs": { "all-applications": {"fullname" : "All Applications", "shortname": "All Applications"}, "IHCFr" : {"fullname" : "Immunohistochemistry (Frozen sections)", "shortname":"IHC-Fr"}, "IHCP" : {"fullname" : "Immunohistochemistry (Formalin/PFA-fixed paraffin-embedded sections)", "shortname":"IHC-P"} }, "product-promise": { "all": "all", "testedAndGuaranteed": "tested", "guaranteed": "expected", "predicted": "predicted", "notRecommended": "not-recommended" } }, "values": { "Human": { "IHCFr-species-checked": "guaranteed", "IHCFr-species-dilution-info": "", "IHCFr-species-notes": "", "IHCP-species-checked": "testedAndGuaranteed", "IHCP-species-dilution-info": "1/500", "IHCP-species-notes": "<p></p>" }, "Mouse": { "IHCFr-species-checked": "guaranteed", "IHCFr-species-dilution-info": "", "IHCFr-species-notes": "", "IHCP-species-checked": "testedAndGuaranteed", "IHCP-species-dilution-info": "1/500", "IHCP-species-notes": "<p></p>" }, "Rat": { "IHCFr-species-checked": "testedAndGuaranteed", "IHCFr-species-dilution-info": "1/100", "IHCFr-species-notes": "<p></p>", "IHCP-species-checked": "testedAndGuaranteed", "IHCP-species-dilution-info": "1/500", "IHCP-species-notes": "<p></p>" } } }

Product details

Patented technology
Our RabMAb® technology is a patented hybridoma-based technology for making rabbit monoclonal antibodies. For details on our patents, please refer to RabMAb® patents.

What are the advantages of a recombinant monoclonal antibody?
This product is a recombinant monoclonal antibody, which offers several advantages including:

  • - High batch-to-batch consistency and reproducibility
  • - Improved sensitivity and specificity
  • - Long-term security of supply
  • - Animal-free batch production

For more information, read more on recombinant antibodies.

Properties and storage information

Form
Liquid
Purification technique
Affinity purification Protein A
Storage buffer
pH: 7.2 - 7.4 Preservative: 0.01% Sodium azide Constituents: PBS, 40% Glycerol (glycerin, glycerine), 0.05% BSA
Shipped at conditions
Blue Ice
Appropriate short-term storage duration
1-2 weeks
Appropriate short-term storage conditions
+4°C
Appropriate long-term storage conditions
-20°C
Aliquoting information
Upon delivery aliquot
Storage information
Avoid freeze / thaw cycle

Supplementary information

This supplementary information is collated from multiple sources and compiled automatically.

The NPHS2 gene encodes the protein known as podocin which plays an important role in the renal system. Podocin is a membrane protein with a molecular mass of approximately 42 kDa. It is largely expressed in the kidney specifically in the podocyte foot processes of the glomerulus. The protein is responsible for the proper functioning of the slit diaphragm a critical component in the kidney's filtration barrier. NPHS2 by maintaining the structural integrity of these cells prevents proteins from spilling into the urine.
Biological function summary

The function of the NPHS2 gene product is significant in the maintenance of the glomerular filtration barrier. Podocin is a part of the slit diaphragm complex interacting closely with other proteins like nephrin. This interaction is required for the formation and stabilization of the slit diaphragm which filters blood plasma in the glomerulus. The precision in its location and function ensures the selective permeability of the filtration barrier.

Pathways

NPHS2 is heavily involved in pathways that regulate kidney function and filtration processes. It is an important component of the slit diaphragm complex pathway. Podocin’s interaction with proteins like nephrin and CD2AP integrates it into signaling pathways important for cytoskeletal dynamics and cell adhesion in podocytes. These interactions play an essential role in facilitating the response of podocytes to mechanical stress and in maintaining the structure of the glomerular filtration barrier.

NPHS2 mutations link directly to steroid-resistant nephrotic syndrome (SRNS). This condition leads to proteinuria and progressive kidney failure. Podocin dysfunction disrupts the integrity of the renal filtration barrier causing this disease. The protein nephrin is another component in SRNS pathophysiology as both are fundamental to maintaining the structure and function of the slit diaphragm. Understanding the relationship between NPHS2 and these proteins can aid in developing targeted therapies for SRNS and related nephropathies.

Product protocols

For this product, it's our understanding that no specific protocols are required. You can visit:

Target data

Plays a role in the regulation of glomerular permeability, acting probably as a linker between the plasma membrane and the cytoskeleton.
See full target information Podocin

Publications (5)

Recent publications for all applications. Explore the full list and refine your search

International journal of biological sciences 21:5586-5608 PubMed40959291

2025

O-GlcNAcylated Hsp47 as a predictive biomarker in colorectal cancer: Kaempferol targets OGT-collagen axis for therapeutic intervention.

Applications

Unspecified application

Species

Unspecified reactive species

Chishun Zhou,Jing Zheng,Zizheng Li,Yu Li,Xin Jin,Yukai Huang,Yuefang Lin,Xinyue Wen,Yin Wang,Jiarun Lin,Ying Wang,Wei Wang,Zhongqiu Liu,Linlin Lu

International journal of molecular medicine 55: PubMed39670303

2024

Jinlida granules alleviate podocyte apoptosis and mitochondrial dysfunction via the AMPK/PGC‑1α pathway in diabetic nephropathy.

Applications

Unspecified application

Species

Unspecified reactive species

Shengnan Sun,Shurong Yang,Ying Cheng,Ting Fang,Jingru Qu,Lei Tian,Man Zhang,Shi Wu,Bei Sun,Liming Chen

Toxicology research 12:332-343 PubMed37125328

2023

Di(2-ethylhexyl) phthalate mediates oxidative stress and activates p38MAPK/NF-kB to exacerbate diabetes-induced kidney injury in vitro and in vivo models.

Applications

Unspecified application

Species

Unspecified reactive species

Wen-Jie Ding,Shou-Lin Huang,Song Huang,Wei-Ping Xu,Wei Wei

Lipids in health and disease 21:90 PubMed36123608

2022

ANGPTL3 is involved in kidney injury in high-fat diet-fed mice by suppressing ACTN4 expression.

Applications

Unspecified application

Species

Unspecified reactive species

Guanyu Li,Di Lu,Jingzhi Wang,Shuling Yue,Mei Tan,Ming Liu,Xia Gao

Frontiers in pharmacology 13:876469 PubMed35517816

2022

Anti-Apoptosis of Podocytes and Pro-Apoptosis of Mesangial Cells for Telmisartan in Alleviating Diabetic Kidney Injury.

Applications

Unspecified application

Species

Unspecified reactive species

Xin Wei,Yabin Ma,Ya Li,Wenzhao Zhang,Yuting Zhong,Yue Yu,Li-Chao Zhang,Zhibin Wang,Ye Tu
View all publications

Product promise

We are committed to supporting your work with high-quality reagents, and we're here for you every step of the way. In the unlikely event that one of our products does not perform as expected, you're protected by our Product Promise.
For full details, please see our Terms & Conditions

Please note: All products are 'FOR RESEARCH USE ONLY. NOT FOR USE IN DIAGNOSTIC OR THERAPEUTIC PROCEDURES'.

For licensing inquiries, please contact partnerships@abcam.com