JavaScript is disabled in your browser. Please enable JavaScript to view this website.
AB180607

Anti-NPM1/ALK antibody [EPR11413]

Be the first to review this product! Submit a review

|

(3 Publications)

Rabbit Recombinant Monoclonal ALK antibody. Suitable for IHC-P and reacts with Human samples. Cited in 3 publications.

View Alternative Names

CD246, ALK tyrosine kinase receptor, Anaplastic lymphoma kinase, ALK

2 Images
Immunohistochemistry (Formalin/PFA-fixed paraffin-embedded sections) - Anti-NPM1/ALK antibody [EPR11413] (AB180607)
  • IHC-P

Supplier Data

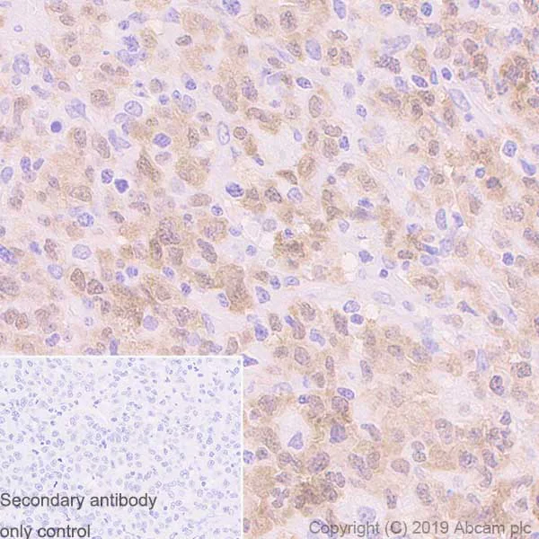
Immunohistochemistry (Formalin/PFA-fixed paraffin-embedded sections) - Anti-NPM1/ALK antibody [EPR11413] (AB180607)

Immunohistochemical staining of formalin fixed paraffin-embedded Human anaplastic large cell lymphoma labeling ALK with ab180607 (unpurified) at 1/4000 dilution. HRP polymer for rabbit IgG was used as a secondary. Sections were counterstained with Hematoxylin. Heat mediated antigen retrieval was performed with EDTA buffer pH 9 before commencing with IHC staining protocol.

Immunohistochemistry (Formalin/PFA-fixed paraffin-embedded sections) - Anti-NPM1/ALK antibody [EPR11413] (AB180607)
  • IHC-P

Lab

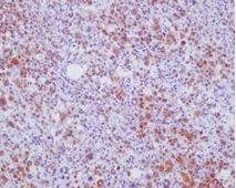
Immunohistochemistry (Formalin/PFA-fixed paraffin-embedded sections) - Anti-NPM1/ALK antibody [EPR11413] (AB180607)

Immunohistochemistry (Formalin/PFA-fixed paraffin-embedded sections) analysis of human anaplastic large cell lymphoma tissue sections labeling NPM1/ALK with purified ab180607 at 1/16,000 dilution (0.05 μg/mL). Heat mediated antigen retrieval was performed using Bond™ Epitope Retrieval Solution 2 (pH 9.0) . Rabbit specific IHC polymer detection kit HRP/DAB (ab209101) was used as the secondary antibody. Negative control : PBS instead of the primary antibody. Hematoxylin was used as a counterstain.
The immunostaining was performed on a Leica Biosystems BOND® RX instrument.

Key facts

Host species

Rabbit

Clonality

Monoclonal

Clone number

EPR11413

Isotype

IgG

Carrier free

No

Reacts with

Human

Applications

IHC-P

applications

Immunogen

The exact immunogen used to generate this antibody is proprietary information.

Specificity

In more than 50% of systemic Anaplastic large cell lymphoma, t(2;5)(p23;q35) translocation can be found (Falini et al., 1999; Morris et al., 2001). (PMID: 9736036 and PMID: 11380391). The corresponding genes have been cloned and represent a fusion between the NPM and the ALK genes (Morris et al., 1994). (PMID: 8122112). Encodes a chimeric 80-kDa protein consisting of the N-terminal portion (amino acids 1-117) of NPM fused to the cytoplasmic portion of ALK (amino acids 1058-1620). Reference: Galietta et al., 2007. (PMID: 17537995).

Reactivity data

{ "title": "Reactivity Data", "filters": { "stats": ["", "Species", "Dilution Info", "Notes"], "tabs": { "all-applications": {"fullname" : "All Applications", "shortname": "All Applications"}, "IHCP" : {"fullname" : "Immunohistochemistry (Formalin/PFA-fixed paraffin-embedded sections)", "shortname":"IHC-P"}, "ICCIF" : {"fullname" : "Immunocytochemistry/ Immunofluorescence", "shortname":"ICC/IF"} }, "product-promise": { "all": "all", "testedAndGuaranteed": "tested", "guaranteed": "expected", "predicted": "predicted", "notRecommended": "not-recommended" } }, "values": { "Human": { "IHCP-species-checked": "testedAndGuaranteed", "IHCP-species-dilution-info": "1/16000", "IHCP-species-notes": "<p>The immunostaining was performed on a Leica Biosystems BOND<sup>®</sup> RX instrument.</p><p><strong>For unpurified use at 1/4000.</strong></p>", "ICCIF-species-checked": "notRecommended", "ICCIF-species-dilution-info": "", "ICCIF-species-notes": "<p></p>" } } }

Product details

Patented technology
Our RabMAb® technology is a patented hybridoma-based technology for making rabbit monoclonal antibodies. For details on our patents, please refer to RabMAb® patents.

What are the advantages of a recombinant monoclonal antibody?
This product is a recombinant monoclonal antibody, which offers several advantages including:

  • - High batch-to-batch consistency and reproducibility
  • - Improved sensitivity and specificity
  • - Long-term security of supply
  • - Animal-free batch production

For more information, read more on recombinant antibodies.

Properties and storage information

Form
Liquid
Purification technique
Affinity purification Protein A
Storage buffer
Preservative: 0.01% Sodium azide Constituents: PBS, 40% Glycerol (glycerin, glycerine), 0.05% BSA
Shipped at conditions
Blue Ice
Appropriate short-term storage duration
1-2 weeks
Appropriate short-term storage conditions
+4°C
Appropriate long-term storage conditions
-20°C
Aliquoting information
Upon delivery aliquot
Storage information
Avoid freeze / thaw cycle

Supplementary information

This supplementary information is collated from multiple sources and compiled automatically.

The NPM1/ALK fusion protein results from the abnormal fusion of the nucleophosmin (NPM1) and anaplastic lymphoma kinase (ALK) genes. Commonly referred to as NPM-ALK this chimeric protein exhibits a molecular mass of approximately 80 kDa. It expresses mainly in hematopoietic tissues and various tumors. NPM-ALK retains the oligomerization domain of NPM1 and the kinase domain of ALK leading to constitutive activation of the ALK signaling pathway.
Biological function summary

The NPM/ALK fusion protein alters cellular proliferation and survival through oncogenic signaling. The protein does not function alone but forms complexes within cells effectively hijacking normal cellular mechanisms. NPM-ALK cooperates with several signaling molecules including STAT3 and PI3K to promote unchecked cellular growth. This partnership modifies downstream signaling events fostering an environment conducive to malignancy.

Pathways

NPM/ALK activates several key signal transduction pathways. Particularly it plays important roles in the JAK/STAT and PI3K/AKT pathways. Through these pathways the fusion protein engages with STAT3 and AKT catalyzing alterations in gene expression related to cell cycle progression and apoptosis inhibition. These interactions contribute to its oncogenic potential and the pathophysiology of related conditions.

NPM/ALK is intimately associated with anaplastic large cell lymphoma (ALCL) and other hematological malignancies. The inappropriate expression and activity of NPM-ALK disrupts normal cellular functions leading to oncogenesis. This relation extends to its involvement with proteins like STAT3 and others in related pathways enhancing tumor development and progression in ALCL. Therefore understanding NPM-ALK's role provides valuable insight into targeted therapeutic strategies for treating related malignancies.

Product protocols

For this product, it's our understanding that no specific protocols are required. You can visit:

Target data

Neuronal receptor tyrosine kinase that is essentially and transiently expressed in specific regions of the central and peripheral nervous systems and plays an important role in the genesis and differentiation of the nervous system (PubMed : 11121404, PubMed : 11387242, PubMed : 16317043, PubMed : 17274988, PubMed : 30061385, PubMed : 34646012, PubMed : 34819673). Also acts as a key thinness protein involved in the resistance to weight gain : in hypothalamic neurons, controls energy expenditure acting as a negative regulator of white adipose tissue lipolysis and sympathetic tone to fine-tune energy homeostasis (By similarity). Following activation by ALKAL2 ligand at the cell surface, transduces an extracellular signal into an intracellular response (PubMed : 30061385, PubMed : 33411331, PubMed : 34646012, PubMed : 34819673). In contrast, ALKAL1 is not a potent physiological ligand for ALK (PubMed : 34646012). Ligand-binding to the extracellular domain induces tyrosine kinase activation, leading to activation of the mitogen-activated protein kinase (MAPK) pathway (PubMed : 34819673). Phosphorylates almost exclusively at the first tyrosine of the Y-x-x-x-Y-Y motif (PubMed : 15226403, PubMed : 16878150). Induces tyrosine phosphorylation of CBL, FRS2, IRS1 and SHC1, as well as of the MAP kinases MAPK1/ERK2 and MAPK3/ERK1 (PubMed : 15226403, PubMed : 16878150). ALK activation may also be regulated by pleiotrophin (PTN) and midkine (MDK) (PubMed : 11278720, PubMed : 11809760, PubMed : 12107166, PubMed : 12122009). PTN-binding induces MAPK pathway activation, which is important for the anti-apoptotic signaling of PTN and regulation of cell proliferation (PubMed : 11278720, PubMed : 11809760, PubMed : 12107166). MDK-binding induces phosphorylation of the ALK target insulin receptor substrate (IRS1), activates mitogen-activated protein kinases (MAPKs) and PI3-kinase, resulting also in cell proliferation induction (PubMed : 12122009). Drives NF-kappa-B activation, probably through IRS1 and the activation of the AKT serine/threonine kinase (PubMed : 15226403, PubMed : 16878150). Recruitment of IRS1 to activated ALK and the activation of NF-kappa-B are essential for the autocrine growth and survival signaling of MDK (PubMed : 15226403, PubMed : 16878150).
See full target information ALK

Publications (3)

Recent publications for all applications. Explore the full list and refine your search

Scientific reports 10:5078 PubMed32193476

2020

Recombinant expression, characterization, and quantification in human cancer cell lines of the Anaplastic Large-Cell Lymphoma-characteristic NPM-ALK fusion protein.

Applications

Unspecified application

Species

Unspecified reactive species

Katerina Kourentzi,Mary Crum,Ujwal Patil,Ana Prebisch,Dimple Chavan,Binh Vu,Zihua Zeng,Dmitri Litvinov,Youli Zu,Richard C Willson

Blood advances 3:1788-1794 PubMed31189527

2019

CRISPR genome editing of murine hematopoietic stem cells to create causes ALK lymphoma after transplantation.

Applications

Unspecified application

Species

Unspecified reactive species

Soumya Sundara Rajan,Lingxiao Li,Mercedes F Kweh,Kranthi Kunkalla,Amit Dipak Amin,Nitin K Agarwal,Francisco Vega,Jonathan H Schatz

Oncology letters 13:2377-2384 PubMed28454407

2017

Downregulation of NPM expression by Her-2 reduces resistance of gastric cancer to oxaliplatin.

Applications

IHC-P

Species

Human

Zhenni Sun,Lu Yue,Zan Shen,Yong Li,Aihua Sui,Tianjun Li,Qian Tang,Ruyong Yao,Yongning Sun
View all publications

Product promise

We are committed to supporting your work with high-quality reagents, and we're here for you every step of the way. In the unlikely event that one of our products does not perform as expected, you're protected by our Product Promise.
For full details, please see our Terms & Conditions

Please note: All products are 'FOR RESEARCH USE ONLY. NOT FOR USE IN DIAGNOSTIC OR THERAPEUTIC PROCEDURES'.

For licensing inquiries, please contact partnerships@abcam.com