JavaScript is disabled in your browser. Please enable JavaScript to view this website.
AB69858

Anti-NPTX2 antibody

Be the first to review this product! Submit a review

|

(11 Publications)

Rabbit Polyclonal NPTX2 antibody. Suitable for WB, IHC-P, ICC/IF and reacts with Mouse, Human samples. Cited in 11 publications. Immunogen corresponding to Synthetic Peptide within Human NPTX2.

View Alternative Names

Neuronal pentraxin-2, NP2, Neuronal pentraxin II, NP-II, NPTX2

4 Images
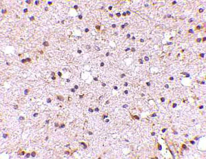
Immunohistochemistry (Formalin/PFA-fixed paraffin-embedded sections) - Anti-NPTX2 antibody (AB69858)
  • IHC-P

Unknown

Immunohistochemistry (Formalin/PFA-fixed paraffin-embedded sections) - Anti-NPTX2 antibody (AB69858)

Immunohistochemical analysis of paraffin-embedded human brain using ab69858 at 5 μg/ml. Tissue was fixed with formaldehyde and blocked with 10% serum for 1 h at RT; antigen retrieval was by heat mediation with a citrate buffer (pH6). Samples were incubated with primary antibody overnight at 4°C. A goat anti-rabbit IgG H&L (HRP) at 1/250 was used as secondary. Counter stained with Hematoxylin.

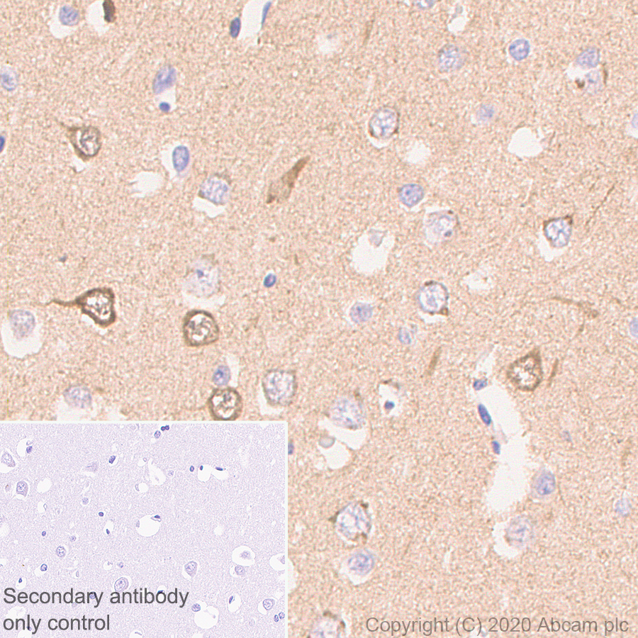
Immunocytochemistry/ Immunofluorescence - Anti-NPTX2 antibody (AB69858)
  • ICC/IF

Unknown

Immunocytochemistry/ Immunofluorescence - Anti-NPTX2 antibody (AB69858)

Immunofluorescent analysis of 4% paraformaldehyde fixed human brain tissue labeling NPTX2 with ab69858 at 20 μg/mL, followed by goat anti-rabbit IgG secondary antibody at 1/500 dilution (red).

Western blot - Anti-NPTX2 antibody (AB69858)
  • WB

Unknown

Western blot - Anti-NPTX2 antibody (AB69858)

Diluting buffer : 5% NFDM/TBST.

All lanes:

Western blot - Anti-NPTX2 antibody (ab69858) at 1 µg/mL

Lane 1:

Mouse Brain tissue lysate at 15 µg

Lane 2:

Mouse Brain tissue lysate at 15 µg with Blocking peptide

Secondary

All lanes:

Goat anti-rabbit IgG (HRP) at 1/10000 dilution

Predicted band size: 47 kDa

false

Western blot - Anti-NPTX2 antibody (AB69858)
  • WB

Unknown

Western blot - Anti-NPTX2 antibody (AB69858)

Diluting buffer : 5% NFDM/TBST.

Lane 1:

Western blot - Anti-NPTX2 antibody (ab69858) at 0.5 µg

Lane 2:

Western blot - Anti-NPTX2 antibody (ab69858) at 1 µg/mL

All lanes:

Mouse brain tissue lysate at 15 µg

Predicted band size: 47 kDa

false

Key facts

Host species

Rabbit

Clonality

Polyclonal

Isotype

IgG

Carrier free

No

Reacts with

Mouse, Human

Applications

WB, ICC/IF, IHC-P

applications

Immunogen

Synthetic Peptide within Human NPTX2. The exact immunogen used to generate this antibody is proprietary information.

P47972

Reactivity data

{ "title": "Reactivity Data", "filters": { "stats": ["", "Species", "Dilution Info", "Notes"], "tabs": { "all-applications": {"fullname" : "All Applications", "shortname": "All Applications"}, "WB" : {"fullname" : "Western blot", "shortname":"WB"}, "IHCP" : {"fullname" : "Immunohistochemistry (Formalin/PFA-fixed paraffin-embedded sections)", "shortname":"IHC-P"}, "ICCIF" : {"fullname" : "Immunocytochemistry/ Immunofluorescence", "shortname":"ICC/IF"} }, "product-promise": { "all": "all", "testedAndGuaranteed": "tested", "guaranteed": "expected", "predicted": "predicted", "notRecommended": "not-recommended" } }, "values": { "Human": { "WB-species-checked": "guaranteed", "WB-species-dilution-info": "", "WB-species-notes": "", "IHCP-species-checked": "testedAndGuaranteed", "IHCP-species-dilution-info": "5 µg/mL", "IHCP-species-notes": "<p></p>", "ICCIF-species-checked": "testedAndGuaranteed", "ICCIF-species-dilution-info": "20 µg/mL", "ICCIF-species-notes": "<p></p>" }, "Mouse": { "WB-species-checked": "testedAndGuaranteed", "WB-species-dilution-info": "0.5-4 µg/mL", "WB-species-notes": "<p></p>", "IHCP-species-checked": "guaranteed", "IHCP-species-dilution-info": "", "IHCP-species-notes": "", "ICCIF-species-checked": "guaranteed", "ICCIF-species-dilution-info": "", "ICCIF-species-notes": "" } } }

Properties and storage information

Form
Liquid
Purification technique
Affinity purification Immunogen
Storage buffer
pH: 7.2 Preservative: 0.02% Sodium azide Constituents: PBS
Shipped at conditions
Blue Ice
Appropriate short-term storage conditions
+4°C
Appropriate long-term storage conditions
+4°C

Supplementary information

This supplementary information is collated from multiple sources and compiled automatically.

NPTX2 protein also known as neuronal pentraxin II or NARP weighs approximately 47 kDa. NPTX2 is expressed mostly in the brain especially in neurons. This protein belongs to the neuronal pentraxin family and plays a mechanical role in processes like synaptic plasticity. NPTX2 operates by binding to AMPA receptors influencing their surface expression.
Biological function summary

NPTX2 affects synaptic stabilization by participating in the formation and maintenance of synaptic connections. It forms complexes with AMPA receptor subunits promoting synapses that are more active and facilitating synaptic communication. NPTX2's involvement is essential for normal synaptic function reflecting its significance in neural signaling.

Pathways

NPTX2 plays a role in the glutamatergic signaling pathway an important pathway for synaptic transmission involving excitatory neurotransmitters. NPTX2 works alongside other proteins like GluR1 subunit in this pathway mediating synaptic responses. Through its actions in these pathways NPTX2 contributes to long-term potentiation a process related to learning and memory.

NPTX2 has links to neurological conditions such as Alzheimer’s disease and schizophrenia. In Alzheimer's NPTX2 dysregulation associates with synaptic dysfunction possibly involving interactions with beta-amyloid. In schizophrenia altered NPTX2 expression might contribute to glutamatergic signaling imbalances affecting cognitive function. These associations highlight NPTX2's importance in maintaining normal neural processes.

Product protocols

For this product, it's our understanding that no specific protocols are required. You can visit:

Target data

Likely to play role in the modification of cellular properties that underlie long-term plasticity. Binds to agar matrix in a calcium-dependent manner (By similarity).
See full target information NPTX2

Publications (11)

Recent publications for all applications. Explore the full list and refine your search

Cell 186:4365-4385.e27 PubMed37774677

2023

Single-cell atlas reveals correlates of high cognitive function, dementia, and resilience to Alzheimer's disease pathology.

Applications

Unspecified application

Species

Unspecified reactive species

Hansruedi Mathys,Zhuyu Peng,Carles A Boix,Matheus B Victor,Noelle Leary,Sudhagar Babu,Ghada Abdelhady,Xueqiao Jiang,Ayesha P Ng,Kimia Ghafari,Alexander K Kunisky,Julio Mantero,Kyriaki Galani,Vanshika N Lohia,Gabrielle E Fortier,Yasmine Lotfi,Jason Ivey,Hannah P Brown,Pratham R Patel,Nehal Chakraborty,Jacob I Beaudway,Elizabeth J Imhoff,Cameron F Keeler,Maren M McChesney,Haishal H Patel,Sahil P Patel,Megan T Thai,David A Bennett,Manolis Kellis,Li-Huei Tsai

Oncogene 42:99-112 PubMed36376513

2022

Adaptive activation of EFNB2/EPHB4 axis promotes post-metastatic growth of colorectal cancer liver metastases by LDLR-mediated cholesterol uptake.

Applications

Unspecified application

Species

Unspecified reactive species

Chunjie Xu,Lei Gu,Manzila Kuerbanjiang,Chunhui Jiang,Lipeng Hu,Ye Liu,Hanbing Xue,Jun Li,Zhigang Zhang,Qing Xu

Molecular and cellular neurosciences 115:103657 PubMed34314836

2021

Revealing NOTCH-dependencies in synaptic targets associated with Alzheimer's disease.

Applications

Unspecified application

Species

Unspecified reactive species

A Perna,S Marathe,R Dreos,L Falquet,H Akarsu Egger,L Alberi Auber

Diabetes 69:2170-2185 PubMed32796081

2020

Endothelial Cells Derived From Patients With Diabetic Macular Edema Recapitulate Clinical Evaluations of Anti-VEGF Responsiveness Through the Neuronal Pentraxin 2 Pathway.

Applications

Unspecified application

Species

Unspecified reactive species

Marta Vilà González,Magdalini Eleftheriadou,Sophia Kelaini,Hojjat Naderi-Meshkin,Shonagh Flanagan,Stephen Stewart,Gianni Virgili,David J Grieve,Alan W Stitt,Noemi Lois,Andriana Margariti

Aging 12:7660-7678 PubMed32396526

2020

HOTAIR drives autophagy in midbrain dopaminergic neurons in the substantia nigra compacta in a mouse model of Parkinson's disease by elevating NPTX2 miR-221-3p binding.

Applications

Unspecified application

Species

Unspecified reactive species

Yue Lang,Yu Li,Haojia Yu,Lulu Lin,Xingchi Chen,Sainan Wang,Hui Zhang

Journal of cellular biochemistry 121:1504-1513 PubMed31498486

2019

MicroRNA-96 is a potential tumor repressor by inhibiting NPTX2 in renal cell carcinoma.

Applications

Unspecified application

Species

Unspecified reactive species

Wei Xiang,Lintao Han,Guoyan Mo,Li Lin,Xiaoming Yu,Shaowen Chen,Tiexiang Gao,Chunhua Huang

Cell death & disease 10:316 PubMed30962417

2019

Overexpression of microRNA-301b accelerates hippocampal microglia activation and cognitive impairment in mice with depressive-like behavior through the NF-κB signaling pathway.

Applications

Unspecified application

Species

Unspecified reactive species

Chao-Zhi Tang,Dong-Fang Zhang,Jun-Tang Yang,Qing-Hui Liu,Ya-Ru Wang,Wen-Sheng Wang

Cell death & disease 10:217 PubMed30833544

2019

NPTX2 promotes colorectal cancer growth and liver metastasis by the activation of the canonical Wnt/β-catenin pathway via FZD6.

Applications

Unspecified application

Species

Unspecified reactive species

Chunjie Xu,Guangang Tian,Chunhui Jiang,Hanbing Xue,Manzila Kuerbanjiang,Longci Sun,Lei Gu,Hong Zhou,Ye Liu,Zhigang Zhang,Qing Xu

Biology of reproduction 99:349-359 PubMed29425272

2018

Endometriosis alters brain electrophysiology, gene expression and increases pain sensitization, anxiety, and depression in female mice.

Applications

Unspecified application

Species

Unspecified reactive species

Tian Li,Ramanaiah Mamillapalli,Sheng Ding,Hao Chang,Zhong-Wu Liu,Xiao-Bing Gao,Hugh S Taylor

Scientific reports 6:30458 PubMed27461448

2016

Disrupting GluA2-GAPDH Interaction Affects Axon and Dendrite Development.

Applications

AP

Species

Mouse

Frankie Hang Fung Lee,Ping Su,Yu-Feng Xie,Kyle Ethan Wang,Qi Wan,Fang Liu
View all publications

Product promise

We are committed to supporting your work with high-quality reagents, and we're here for you every step of the way. In the unlikely event that one of our products does not perform as expected, you're protected by our Product Promise.
For full details, please see our Terms & Conditions

Please note: All products are 'FOR RESEARCH USE ONLY. NOT FOR USE IN DIAGNOSTIC OR THERAPEUTIC PROCEDURES'.

For licensing inquiries, please contact partnerships@abcam.com