JavaScript is disabled in your browser. Please enable JavaScript to view this website.
AB277523

Anti-NPTX2 antibody [EPR24020-38]

Be the first to review this product! Submit a review

|

(6 Publications)

Rabbit Recombinant Monoclonal NPTX2 antibody. Suitable for ICC/IF, IP, WB, IHC-Fr, Flow Cyt (Intra), IHC-P and reacts with Mouse, Rat, Human samples. Cited in 6 publications.

View Alternative Names

Neuronal pentraxin-2, NP2, Neuronal pentraxin II, NP-II, NPTX2

14 Images
Immunohistochemistry (Formalin/PFA-fixed paraffin-embedded sections) - Anti-NPTX2 antibody [EPR24020-38] (AB277523)
  • IHC-P

Supplier Data

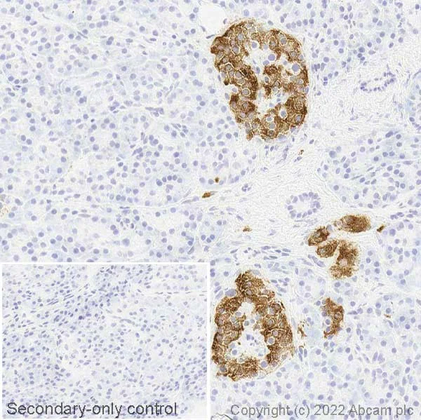
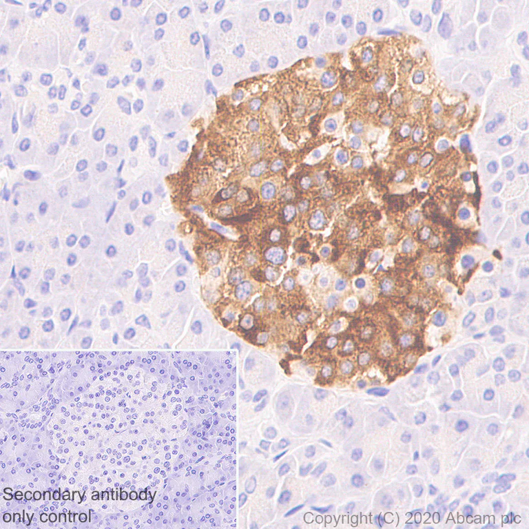
Immunohistochemistry (Formalin/PFA-fixed paraffin-embedded sections) - Anti-NPTX2 antibody [EPR24020-38] (AB277523)

Immunohistochemical analysis of paraffin-embedded Human pancreas tissue labeling NPTX2 with ab277523 at 1/2000 (0.229 ug/ml) followed by a ready to use LeicaDS9800 (Bond® Polymer Refine Detection). Positive staining on islet of human pancreas. The section was incubated with ab277523 for 30 mins at room temperature. The immunostaining was performed on a Leica Biosystems BOND® RX instrument. Counterstained with Hematoxylin.

Secondary antibody only control : Secondary antibody is a ready to use LeicaDS9800 (Bond® Polymer Refine Detection).

Heat mediated antigen retrieval with Tris-EDTA buffer (pH 9.0, epitope retrieval solution2) for 20 mins.

Immunohistochemistry (Formalin/PFA-fixed paraffin-embedded sections) - Anti-NPTX2 antibody [EPR24020-38] (AB277523)
  • IHC-P

Supplier Data

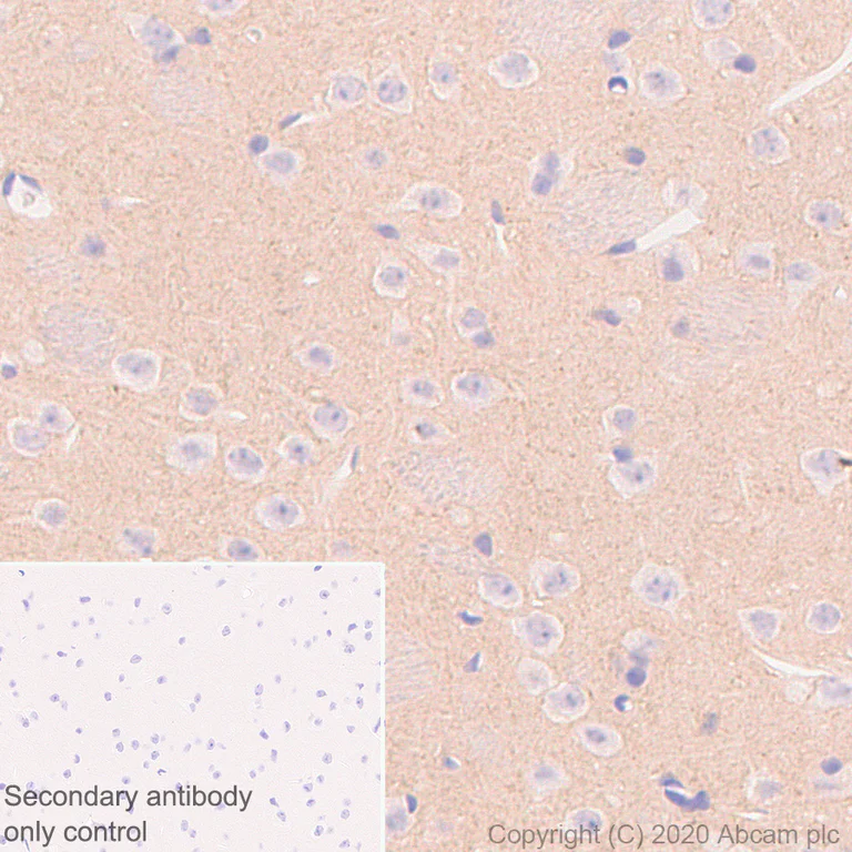
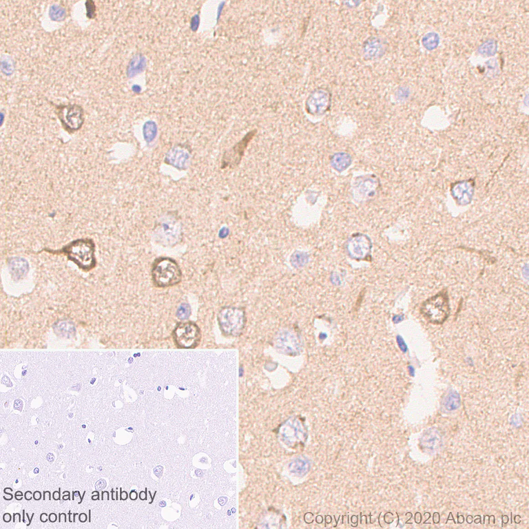
Immunohistochemistry (Formalin/PFA-fixed paraffin-embedded sections) - Anti-NPTX2 antibody [EPR24020-38] (AB277523)

Immunohistochemical analysis of paraffin-embedded Human cerebrum tissue labeling NPTX2 with ab277523 at 1/2000 (0.229 ug/ml) followed by a ready to use LeicaDS9800 (Bond® Polymer Refine Detection) was used. Positive staining on human cerebrum. The section was incubated with ab277523 for 30 mins at room temperature. The immunostaining was performed on a Leica Biosystems BOND® RX instrument. Counterstained with Hematoxylin.

Secondary antibody only control : Secondary antibody is a ready to use LeicaDS9800 (Bond® Polymer Refine Detection).

Heat mediated antigen retrieval with Tris-EDTA buffer (pH 9.0, epitope retrieval solution2) for 20 mins.

Immunohistochemistry (Frozen sections) - Anti-NPTX2 antibody [EPR24020-38] (AB277523)
  • IHC-Fr

Lab

Immunohistochemistry (Frozen sections) - Anti-NPTX2 antibody [EPR24020-38] (AB277523)

IHC image of NPTX2 staining in a section of frozen normal human pancreas performed on a Leica Biosystems BOND® RX instrument. The section was fixed in 10% paraformaldehyde (10 min) prior to staining. The section was incubated with ab277523, 0.5 ug/ml, for 15 mins at room temperature and detected using an HRP conjugated compact polymer system. DAB was used as the chromogen. The section was then counterstained with haematoxylin and mounted with DPX. The inset secondary-only control image is taken from an identical assay without primary antibody. For other IHC staining systems (automated and non-automated) customers should optimize variable parameters such as antigen retrieval conditions, primary antibody concentration and antibody incubation times. *Tissue obtained from the Human Research Tissue Bank, supported by the NIHR Cambridge Biomedical Research Centre.

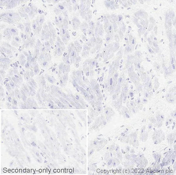
Immunohistochemistry (Frozen sections) - Anti-NPTX2 antibody [EPR24020-38] (AB277523)
  • IHC-Fr

Lab

Immunohistochemistry (Frozen sections) - Anti-NPTX2 antibody [EPR24020-38] (AB277523)

Negative tissue image : IHC image of NPTX2 staining in a section of frozen normal human heart performed on a Leica Biosystems BOND® RX instrument. The section was fixed in 10% paraformaldehyde (10 min) prior to staining. The section was incubated with ab277523, 0.5 ug/ml, for 15 mins at room temperature and detected using an HRP conjugated compact polymer system. DAB was used as the chromogen. The section was then counterstained with haematoxylin and mounted with DPX. The inset secondary-only control image is taken from an identical assay without primary antibody. For other IHC staining systems (automated and non-automated) customers should optimize variable parameters such as antigen retrieval conditions, primary antibody concentration and antibody incubation times. *Tissue obtained from the Human Research Tissue Bank, supported by the NIHR Cambridge Biomedical Research Centre.

Immunohistochemistry (Frozen sections) - Anti-NPTX2 antibody [EPR24020-38] (AB277523)
  • IHC-Fr

Lab

Immunohistochemistry (Frozen sections) - Anti-NPTX2 antibody [EPR24020-38] (AB277523)

IHC image of NPTX2 staining in a section of frozen normal human cerebral cortex performed on a Leica Biosystems BOND® RX instrument. The section was fixed in 10% paraformaldehyde (10 min) prior to staining. The section was incubated with ab277523, 0.5 ug/ml, for 15 mins at room temperature and detected using an HRP conjugated compact polymer system. DAB was used as the chromogen. The section was then counterstained with haematoxylin and mounted with DPX. The inset secondary-only control image is taken from an identical assay without primary antibody. For other IHC staining systems (automated and non-automated) customers should optimize variable parameters such as antigen retrieval conditions, primary antibody concentration and antibody incubation times. *Tissue obtained from the Human Research Tissue Bank, supported by the NIHR Cambridge Biomedical Research Centre.

Immunoprecipitation - Anti-NPTX2 antibody [EPR24020-38] (AB277523)
  • IP

Supplier Data

Immunoprecipitation - Anti-NPTX2 antibody [EPR24020-38] (AB277523)

NPTX2 was immunoprecipitated from 0.35 mg Human brain tissue lysate with ab277523 at 1/30 dilution (2ug in 0.35mg lysates). Western blot was performed on the immunoprecipitate using ab277523 at 1/1000 dilution. VeriBlot for IP Detection Reagent (HRP)(ab131366) was used at 1/5000 dilution.

Lane 1 : Human brain tissue lysate 10 ug

Lane 2 : ab277523 IP in Human brain tissue lysate

Lane 3 : Rabbit monoclonal IgG (ab172730) instead of ab277523 in human brain tissue lysate

Blocking and dilution buffer and concentration : 5% NFDM/TBST.

Exposure time : 10 seconds.

All lanes:

Immunoprecipitation - Anti-NPTX2 antibody [EPR24020-38] (ab277523)

Predicted band size: 47 kDa

Observed band size: 50 kDa

false

Immunocytochemistry/ Immunofluorescence - Anti-NPTX2 antibody [EPR24020-38] (AB277523)
  • ICC/IF

Supplier Data

Immunocytochemistry/ Immunofluorescence - Anti-NPTX2 antibody [EPR24020-38] (AB277523)

Immunofluorescent analysis of 4% Paraformaldehyde-fixed, 100% Methanol permeabilized Beta-TC-6 cells labelling NPTX2 with ab277523 at 1/50 (9.16 ug/ml) dilution, followed by ab150077 Goat Anti-Rabbit IgG H&L (Alexa Fluor®488) antibody at 1/1000 dilution (Green). Confocal image showing cytoplasmic staining in Beta-TC-6 cells. ab195889 Anti-alpha Tubulin mouse monoclonal antibody - Microtubule Marker (Alexa Fluor® 594) was used to counterstain tubulin at 1/200 dilution (Red). The Nuclear counterstain was DAPI (Blue).

Secondary antibody only control : Secondary antibody is ab150077 Goat Anti-Rabbit IgG H&L (Alexa Fluor® 488) at 1/1000 dilution.

Immunohistochemistry (Formalin/PFA-fixed paraffin-embedded sections) - Anti-NPTX2 antibody [EPR24020-38] (AB277523)
  • IHC-P

Supplier Data

Immunohistochemistry (Formalin/PFA-fixed paraffin-embedded sections) - Anti-NPTX2 antibody [EPR24020-38] (AB277523)

Immunohistochemical analysis of paraffin-embedded Mouse cerebrum tissue labeling NPTX2 with ab277523 at 1/2000 (0.229 ug/ml) followed by a ready to use LeicaDS9800 (Bond® Polymer Refine Detection). Positive staining on mouse cerebrum (PMID : 31772567). The section was incubated with ab277523 for 30 mins at room temperature. The immunostaining was performed on a Leica Biosystems BOND® RX instrument. Counterstained with Hematoxylin.

Secondary antibody only control : Secondary antibody is a ready to use LeicaDS9800 (Bond® Polymer Refine Detection) was used.

Heat mediated antigen retrieval with Tris-EDTA buffer (pH 9.0, epitope retrieval solution2) for 20 mins.

Flow Cytometry (Intracellular) - Anti-NPTX2 antibody [EPR24020-38] (AB277523)
  • Flow Cyt (Intra)

Supplier Data

Flow Cytometry (Intracellular) - Anti-NPTX2 antibody [EPR24020-38] (AB277523)

Intracellular flow cytometric analysis of 4% paraformaldehyde-fixed, 90% methanol-permeabilized Beta-TC-6 (Mouse pancreas insulinoma beta cell) cells labelling NPTX2 with ab277523 at 1/50 dilution (1ug) (Red) compared with a Rabbit monoclonal IgG (ab172730)isotype control (Black) and an unlabelled control (cells without incubation with primary antibody and secondary antibody) (Blue).

A Goat anti rabbit IgG (Alexa Fluor® 488, ab150077) at 1/2000 dilution was used as the secondary antibody.

Immunohistochemistry (Formalin/PFA-fixed paraffin-embedded sections) - Anti-NPTX2 antibody [EPR24020-38] (AB277523)
  • IHC-P

Supplier Data

Immunohistochemistry (Formalin/PFA-fixed paraffin-embedded sections) - Anti-NPTX2 antibody [EPR24020-38] (AB277523)

Immunohistochemical analysis of paraffin-embedded Rat cerebrum tissue labeling NPTX2 with ab277523 at 1/2000 (0.229 ug/ml) followed by a ready to use LeicaDS9800 (Bond® Polymer Refine Detection). Positive staining on rat cerebrum. The section was incubated with ab277523 for 30 mins at room temperature. The immunostaining was performed on a Leica Biosystems BOND®RX instrument. Counterstained with Hematoxylin.

Secondary antibody only control : Secondary antibody is a ready to use LeicaDS9800 (Bond® Polymer Refine Detection).

Heat mediated antigen retrieval with Tris-EDTA buffer (pH 9.0, epitope retrieval solution2) for 20 mins.

Immunoprecipitation - Anti-NPTX2 antibody [EPR24020-38] (AB277523)
  • IP

Supplier Data

Immunoprecipitation - Anti-NPTX2 antibody [EPR24020-38] (AB277523)

NPTX2 was immunoprecipitated from 0.35 mg Mouse brain tissue lysate with ab277523 at 1/30 dilution (2ug in 0.35mg lysates). Western blot was performed on the immunoprecipitate using ab277523 at 1/1000 dilution. VeriBlot for IP Detection Reagent (HRP)(ab131366) was used at 1/5000 dilution.

Lane 1 : Mouse brain tissue lysate 10 ug

Lane 2 : ab277523 IP in Mouse brain tissue lysate

Lane 3 : Rabbit monoclonal IgG (ab172730) instead of ab277523 in mouse brain tissue lysate

Blocking and dilution buffer and concentration : 5% NFDM/TBST.

Exposure time : 10 seconds.

All lanes:

Immunoprecipitation - Anti-NPTX2 antibody [EPR24020-38] (ab277523)

Predicted band size: 47 kDa

Observed band size: 50 kDa

false

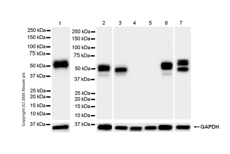
Western blot - Anti-NPTX2 antibody [EPR24020-38] (AB277523)
  • WB

Lab

Western blot - Anti-NPTX2 antibody [EPR24020-38] (AB277523)

Blocking and diluting buffer and concentration : 5% NFDM/TBST.

NPTX2 is a glycoprotein. The molecular weight observed is consistent with what has been described in the literature (PMID : 8786423, 28440221).

Exposure time : 15 seconds.

All lanes:

Western blot - Anti-NPTX2 antibody [EPR24020-38] (ab277523) at 1/1000 dilution

All lanes:

SH-SY5Y (human neuroblastoma epithelial cell) whole cell lysate at 20 µg

Secondary

All lanes:

Goat Anti-Rabbit IgG, (H+L), Peroxidase conjugated (<a href='/en-us/products/secondary-antibodies/goat-rabbit-igg-h-l-hrp-ab97051'>ab97051</a>) at 1/50000 dilution

Predicted band size: 47 kDa

Observed band size: 50-60 kDa

false

Western blot - Anti-NPTX2 antibody [EPR24020-38] (AB277523)
  • WB

Lab

Western blot - Anti-NPTX2 antibody [EPR24020-38] (AB277523)

Blocking and diluting buffer and concentration : 5% NFDM/TBST.

NPTX2 is a glycoprotein. The molecular weight observed is consistent with what has been described in the literature (PMID : 8786423, 28440221).

Negative : human kidney, human lung (PMID : 8530029, 8786423).

Exposure times : Lane 1 : 15 secondsLane 2-5 : 3 minutes.

All lanes:

Western blot - Anti-NPTX2 antibody [EPR24020-38] (ab277523) at 1/1000 dilution

Lane 1:

Human brain tissue lysate at 20 µg

Lane 2:

Human pancreas tissue lysate at 20 µg

Lane 3:

Human testis tissue lysate at 20 µg

Lane 4:

Human kidney tissue lysate at 20 µg

Lane 5:

Human lung tissue lysate at 20 µg

Secondary

All lanes:

VeriBlot for IP secondary antibody(HRP)(<a href='/en-us/products/reagents/veriblot-for-ip-detection-reagent-hrp-ab131366'>ab131366</a>) at 1/1000 dilution

Predicted band size: 47 kDa

Observed band size: 50-60 kDa

false

Western blot - Anti-NPTX2 antibody [EPR24020-38] (AB277523)
  • WB

Lab

Western blot - Anti-NPTX2 antibody [EPR24020-38] (AB277523)

Blocking and diluting buffer and concentration : 5% NFDM/TBST.

NPTX2 is a glycoprotein. The molecular weight observed is consistent with what has been described in the literature (PMID : 8786423, 28440221).

Negative : mouse kidney, mouse lung (PMID : 8530029, 8786423).

Exposure time : 15 seconds.

All lanes:

Western blot - Anti-NPTX2 antibody [EPR24020-38] (ab277523) at 1/1000 dilution

Lane 1:

Beta-TC-6 (mouse pancreas insulinoma beta cell) whole cell lysate at 20 µg

Lane 2:

Mouse brain tissue lysate at 20 µg

Lane 3:

Mouse testis tissue lysate at 20 µg

Lane 4:

Mouse kidney tissue lysate at 20 µg

Lane 5:

Mouse lung tissue lysate at 20 µg

Lane 6:

Rat brain tissue lysate at 20 µg

Lane 7:

Rat testis tissue lysate at 20 µg

Secondary

All lanes:

Goat Anti-Rabbit IgG, (H+L), Peroxidase conjugated (<a href='/en-us/products/secondary-antibodies/goat-rabbit-igg-h-l-hrp-ab97051'>ab97051</a>) at 1/50000 dilution

Predicted band size: 47 kDa

Observed band size: 50-60 kDa

false

  • Carrier free

    Anti-NPTX2 antibody [EPR24020-38] - BSA and Azide free

Key facts

Host species

Rabbit

Clonality

Monoclonal

Clone number

EPR24020-38

Isotype

IgG

Carrier free

No

Reacts with

Mouse, Rat, Human

Applications

IHC-P, Flow Cyt (Intra), WB, IHC-Fr, ICC/IF, IP

applications

Immunogen

The exact immunogen used to generate this antibody is proprietary information.

Reactivity data

{ "title": "Reactivity Data", "filters": { "stats": ["", "Species", "Dilution Info", "Notes"], "tabs": { "all-applications": {"fullname" : "All Applications", "shortname": "All Applications"}, "ICCIF" : {"fullname" : "Immunocytochemistry/ Immunofluorescence", "shortname":"ICC/IF"}, "IP" : {"fullname" : "Immunoprecipitation", "shortname":"IP"}, "WB" : {"fullname" : "Western blot", "shortname":"WB"}, "IHCFr" : {"fullname" : "Immunohistochemistry (Frozen sections)", "shortname":"IHC-Fr"}, "FlowCytIntra" : {"fullname" : "Flow Cytometry (Intracellular)", "shortname":"Flow Cyt (Intra)"}, "IHCP" : {"fullname" : "Immunohistochemistry (Formalin/PFA-fixed paraffin-embedded sections)", "shortname":"IHC-P"} }, "product-promise": { "all": "all", "testedAndGuaranteed": "tested", "guaranteed": "expected", "predicted": "predicted", "notRecommended": "not-recommended" } }, "values": { "Human": { "ICCIF-species-checked": "notRecommended", "ICCIF-species-dilution-info": "1/50", "ICCIF-species-notes": "<p></p>", "IP-species-checked": "testedAndGuaranteed", "IP-species-dilution-info": "1/30", "IP-species-notes": "<p></p>", "WB-species-checked": "testedAndGuaranteed", "WB-species-dilution-info": "1/1000", "WB-species-notes": "<p></p>", "IHCFr-species-checked": "testedAndGuaranteed", "IHCFr-species-dilution-info": "0.5 µg/mL", "IHCFr-species-notes": "<p></p>", "FlowCytIntra-species-checked": "guaranteed", "FlowCytIntra-species-dilution-info": "", "FlowCytIntra-species-notes": "", "IHCP-species-checked": "testedAndGuaranteed", "IHCP-species-dilution-info": "1/2000", "IHCP-species-notes": "<p></p> Perform heat-mediated antigen retrieval with Tris/EDTA buffer pH 9.0 before commencing with IHC staining protocol." }, "Mouse": { "ICCIF-species-checked": "testedAndGuaranteed", "ICCIF-species-dilution-info": "1/50", "ICCIF-species-notes": "<p></p>", "IP-species-checked": "testedAndGuaranteed", "IP-species-dilution-info": "1/30", "IP-species-notes": "<p></p>", "WB-species-checked": "testedAndGuaranteed", "WB-species-dilution-info": "1/1000", "WB-species-notes": "<p></p>", "IHCFr-species-checked": "notRecommended", "IHCFr-species-dilution-info": "0.5 µg/mL", "IHCFr-species-notes": "<p></p>", "FlowCytIntra-species-checked": "testedAndGuaranteed", "FlowCytIntra-species-dilution-info": "1/50", "FlowCytIntra-species-notes": "<p></p>", "IHCP-species-checked": "testedAndGuaranteed", "IHCP-species-dilution-info": "1/2000", "IHCP-species-notes": "<p></p> Perform heat-mediated antigen retrieval with Tris/EDTA buffer pH 9.0 before commencing with IHC staining protocol." }, "Rat": { "ICCIF-species-checked": "guaranteed", "ICCIF-species-dilution-info": "", "ICCIF-species-notes": "", "IP-species-checked": "guaranteed", "IP-species-dilution-info": "", "IP-species-notes": "", "WB-species-checked": "testedAndGuaranteed", "WB-species-dilution-info": "1/1000", "WB-species-notes": "<p></p>", "IHCFr-species-checked": "notRecommended", "IHCFr-species-dilution-info": "0.5 µg/mL", "IHCFr-species-notes": "<p></p>", "FlowCytIntra-species-checked": "guaranteed", "FlowCytIntra-species-dilution-info": "", "FlowCytIntra-species-notes": "", "IHCP-species-checked": "testedAndGuaranteed", "IHCP-species-dilution-info": "1/2000", "IHCP-species-notes": "<p></p> Perform heat-mediated antigen retrieval with Tris/EDTA buffer pH 9.0 before commencing with IHC staining protocol." } } }

Product details

Patented technology
Our RabMAb® technology is a patented hybridoma-based technology for making rabbit monoclonal antibodies. For details on our patents, please refer to RabMAb® patents.

What are the advantages of a recombinant monoclonal antibody?
This product is a recombinant monoclonal antibody, which offers several advantages including:

  • - High batch-to-batch consistency and reproducibility
  • - Improved sensitivity and specificity
  • - Long-term security of supply
  • - Animal-free batch production

For more information, read more on recombinant antibodies.

Properties and storage information

Form
Liquid
Purification technique
Affinity purification Protein A
Storage buffer
Preservative: 0.01% Sodium azide Constituents: PBS, 40% Glycerol (glycerin, glycerine), 0.05% BSA
Shipped at conditions
Blue Ice
Appropriate short-term storage duration
1-2 weeks
Appropriate short-term storage conditions
+4°C
Appropriate long-term storage conditions
-20°C
Aliquoting information
Upon delivery aliquot
Storage information
Avoid freeze / thaw cycle

Supplementary information

This supplementary information is collated from multiple sources and compiled automatically.

NPTX2 protein also known as neuronal pentraxin II or NARP weighs approximately 47 kDa. NPTX2 is expressed mostly in the brain especially in neurons. This protein belongs to the neuronal pentraxin family and plays a mechanical role in processes like synaptic plasticity. NPTX2 operates by binding to AMPA receptors influencing their surface expression.
Biological function summary

NPTX2 affects synaptic stabilization by participating in the formation and maintenance of synaptic connections. It forms complexes with AMPA receptor subunits promoting synapses that are more active and facilitating synaptic communication. NPTX2's involvement is essential for normal synaptic function reflecting its significance in neural signaling.

Pathways

NPTX2 plays a role in the glutamatergic signaling pathway an important pathway for synaptic transmission involving excitatory neurotransmitters. NPTX2 works alongside other proteins like GluR1 subunit in this pathway mediating synaptic responses. Through its actions in these pathways NPTX2 contributes to long-term potentiation a process related to learning and memory.

NPTX2 has links to neurological conditions such as Alzheimer’s disease and schizophrenia. In Alzheimer's NPTX2 dysregulation associates with synaptic dysfunction possibly involving interactions with beta-amyloid. In schizophrenia altered NPTX2 expression might contribute to glutamatergic signaling imbalances affecting cognitive function. These associations highlight NPTX2's importance in maintaining normal neural processes.

Product protocols

For this product, it's our understanding that no specific protocols are required. You can visit:

Target data

Likely to play role in the modification of cellular properties that underlie long-term plasticity. Binds to agar matrix in a calcium-dependent manner (By similarity).
See full target information NPTX2

Publications (6)

Recent publications for all applications. Explore the full list and refine your search

Acta pharmaceutica Sinica. B 15:1242-1254 PubMed40370544

2025

Remodeling tumor immunosuppressive microenvironment through dual activation of immunogenic panoptosis and ferroptosis by HS-amplified nanoformulation to enhance cancer immunotherapy.

Applications

Unspecified application

Species

Unspecified reactive species

Yingli Luo,Maoyuan Linghu,Xianyu Luo,Dongdong Li,Jilong Wang,Shaojun Peng,Yinchu Ma

International journal of molecular sciences 26: PubMed40003962

2025

Non-Invasive Assessment of Neurogenesis Dysfunction in Fetuses with Early-Onset Growth Restriction Using Fetal Neuronal Exosomes Isolating from Maternal Blood: A Pilot Study.

Applications

Unspecified application

Species

Unspecified reactive species

Vladislava Gusar,Natalia Kan,Anastasia Leonova,Vitaliy Chagovets,Victor Tyutyunnik,Zarine Khachatryan,Ekaterina Yarotskaya,Gennadiy Sukhikh

Neural regeneration research 20:533-547 PubMed38819065

2024

Gamma-glutamyl transferase 5 overexpression in cerebrovascular endothelial cells improves brain pathology, cognition, and behavior in APP/PS1 mice.

Applications

Unspecified application

Species

Unspecified reactive species

Yanli Zhang,Tian Li,Jie Miao,Zhina Zhang,Mingxuan Yang,Zhuoran Wang,Bo Yang,Jiawei Zhang,Haiting Li,Qiang Su,Junhong Guo

Cell death & disease 14:399 PubMed37407581

2023

Beta cell dysfunction induced by bone morphogenetic protein (BMP)-2 is associated with histone modifications and decreased NeuroD1 chromatin binding.

Applications

Unspecified application

Species

Unspecified reactive species

Adriana Ibarra Urizar,Michala Prause,Lars Roed Ingerslev,Matthew Wortham,Yinghui Sui,Maike Sander,Kristine Williams,Romain Barrès,Martin R Larsen,Gitte Lund Christensen,Nils Billestrup

BMC psychiatry 22:182 PubMed35291971

2022

BDNF-TrkB signaling-mediated upregulation of Narp is involved in the antidepressant-like effects of (2R,6R)-hydroxynorketamine in a chronic restraint stress mouse model.

Applications

Unspecified application

Species

Unspecified reactive species

Lingsha Ju,Jiaojiao Yang,Tingting Zhu,Panmiao Liu,Jianjun Yang

Bioengineered 12:1311-1323 PubMed33896384

2021

Neuronal pentraxin II (NPTX2) hypermethylation promotes cell proliferation but inhibits cell cycle arrest and apoptosis in gastric cancer cells by suppressing the p53 signaling pathway.

Applications

Unspecified application

Species

Unspecified reactive species

Guofeng Xu,Linfeng Fan,Shufeng Zhao,Canhui OuYang
View all publications

Product promise

We are committed to supporting your work with high-quality reagents, and we're here for you every step of the way. In the unlikely event that one of our products does not perform as expected, you're protected by our Product Promise.
For full details, please see our Terms & Conditions

Please note: All products are 'FOR RESEARCH USE ONLY. NOT FOR USE IN DIAGNOSTIC OR THERAPEUTIC PROCEDURES'.

For licensing inquiries, please contact partnerships@abcam.com