JavaScript is disabled in your browser. Please enable JavaScript to view this website.
AB289869

Anti-NPTXR antibody [EPR25684-3] - BSA and Azide free

Be the first to review this product! Submit a review

|

(0 Publication)

Rabbit Recombinant Monoclonal NPTXR antibody. Carrier free. Suitable for WB, IHC-P, IHC-Fr and reacts with Recombinant fragment - Human, Mouse, Rat samples.

View Alternative Names

Neuronal pentraxin receptor, NPTXR

7 Images
Immunohistochemistry (Frozen sections) - Anti-NPTXR antibody [EPR25684-3] - BSA and Azide free (AB289869)
  • IHC-Fr

Supplier Data

Immunohistochemistry (Frozen sections) - Anti-NPTXR antibody [EPR25684-3] - BSA and Azide free (AB289869)

This data was developed using ab289860, the same antibody clone in a different buffer formulation.

Immunohistochemical analysis of 4% PFA-fixed, 0.2% Triton X-100 permeabilized frozen mouse cerebrum (fresh) tissue labelling NPTXR with ab289860 at 1/50 dilution, followed by ab150081 Goat Anti-Rabbit IgG H&L (Alexa Fluor® 488) secondary antibody at 1/1000 dilution (Green). Positive staining on mouse cerebrum. The nuclear counterstain is DAPI (Blue).

Secondary antibody only control : Used PBS instead of primary antibody, followed by ab150081 Goat Anti-Rabbit IgG H&L (Alexa Fluor® 488) secondary antibody at 1/1000 dilution.

Immunohistochemistry (Formalin/PFA-fixed paraffin-embedded sections) - Anti-NPTXR antibody [EPR25684-3] - BSA and Azide free (AB289869)
  • IHC-P

Supplier Data

Immunohistochemistry (Formalin/PFA-fixed paraffin-embedded sections) - Anti-NPTXR antibody [EPR25684-3] - BSA and Azide free (AB289869)

This data was developed using ab289860, the same antibody clone in a different buffer formulation.

Immunohistochemical analysis of paraffin-embedded mouse liver tissue labeling NPTXR with ab289860 at 1/2000 dilution, followed by ready to use LeicaDS9800 (BOND™ Polymer Refine Detection). Negative control : no staining on mouse liver. The section was incubated with ab289860 for 30 mins at room temperature. The immunostaining was performed on a Leica Biosystems BOND® RX instrument. Counter stained with Hematoxylin.

Heat mediated antigen retrieval with Tris-EDTA buffer (pH 9.0, epitope retrieval solution2) for 20 mins was used.

Secondary antibody only control : Used PBS instead of primary antibody, secondary antibody is preabsorbed LeicaDS9800 (Bond™ Polymer Refine Detection).

Immunohistochemistry (Frozen sections) - Anti-NPTXR antibody [EPR25684-3] - BSA and Azide free (AB289869)
  • IHC-Fr

Supplier Data

Immunohistochemistry (Frozen sections) - Anti-NPTXR antibody [EPR25684-3] - BSA and Azide free (AB289869)

This data was developed using ab289860, the same antibody clone in a different buffer formulation.

Immunohistochemical analysis of 4% PFA-fixed, 0.2% Triton X-100 permeabilized frozen mouse skeletal muscle (fresh) tissue labelling NPTXR with ab289860 at 1/50 dilution, followed by ab150081 Goat Anti-Rabbit IgG H&L (Alexa Fluor® 488) secondary antibody at 1/1000 dilution (Green). No staining on mouse skeletal muscle. The nuclear counterstain is DAPI (Blue).

Negative control : (PMID : 9261167).

Secondary antibody only control : Used PBS instead of primary antibody, followed by ab150081 Goat Anti-Rabbit IgG H&L (Alexa Fluor® 488) secondary antibody at 1/1000 dilution.

Immunohistochemistry (Formalin/PFA-fixed paraffin-embedded sections) - Anti-NPTXR antibody [EPR25684-3] - BSA and Azide free (AB289869)
  • IHC-P

Supplier Data

Immunohistochemistry (Formalin/PFA-fixed paraffin-embedded sections) - Anti-NPTXR antibody [EPR25684-3] - BSA and Azide free (AB289869)

This data was developed using ab289860, the same antibody clone in a different buffer formulation.

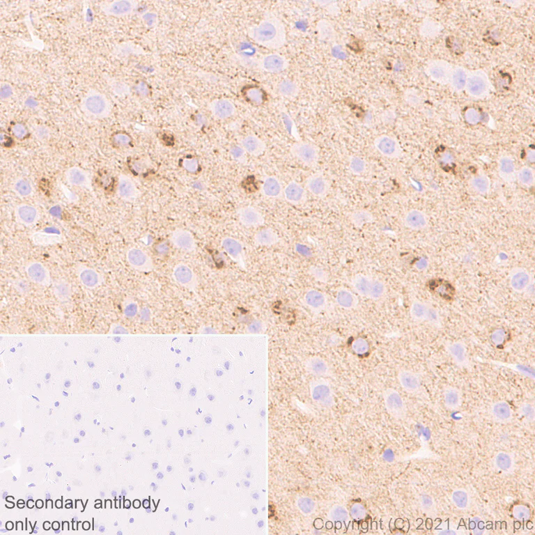
Immunohistochemical analysis of paraffin-embedded rat cerebrum tissue labeling NPTXR with ab289860 at 1/2000 dilution, followed by ready to use LeicaDS9800 (BOND™ Polymer Refine Detection). Positive staining on rat cerebrum. The section was incubated with ab289860 for 30 mins at room temperature. The immunostaining was performed on a Leica Biosystems BOND® RX instrument. Counter stained with Hematoxylin.

Heat mediated antigen retrieval with Tris-EDTA buffer (pH 9.0, epitope retrieval solution2) for 20 mins was used.

Secondary antibody only control : Used PBS instead of primary antibody, secondary antibody is preabsorbed LeicaDS9800 (Bond™ Polymer Refine Detection).

Immunohistochemistry (Formalin/PFA-fixed paraffin-embedded sections) - Anti-NPTXR antibody [EPR25684-3] - BSA and Azide free (AB289869)
  • IHC-P

Supplier Data

Immunohistochemistry (Formalin/PFA-fixed paraffin-embedded sections) - Anti-NPTXR antibody [EPR25684-3] - BSA and Azide free (AB289869)

This data was developed using ab289860, the same antibody clone in a different buffer formulation.

Immunohistochemical analysis of paraffin-embedded mouse cerebrum tissue labeling NPTXR with ab289860 at 1/2000 dilution, followed by ready to use LeicaDS9800 (BOND™ Polymer Refine Detection). Positive staining on mouse cerebrum. The section was incubated with ab289860 for 30 mins at room temperature. The immunostaining was performed on a Leica Biosystems BOND® RX instrument. Counter stained with Hematoxylin.

Heat mediated antigen retrieval with Tris-EDTA buffer (pH 9.0, epitope retrieval solution2) for 20 mins was used.

Secondary antibody only control : Used PBS instead of primary antibody, secondary antibody is preabsorbed LeicaDS9800 (Bond™ Polymer Refine Detection).

Immunohistochemistry (Formalin/PFA-fixed paraffin-embedded sections) - Anti-NPTXR antibody [EPR25684-3] - BSA and Azide free (AB289869)
  • IHC-P

Supplier Data

Immunohistochemistry (Formalin/PFA-fixed paraffin-embedded sections) - Anti-NPTXR antibody [EPR25684-3] - BSA and Azide free (AB289869)

This data was developed using ab289860, the same antibody clone in a different buffer formulation.

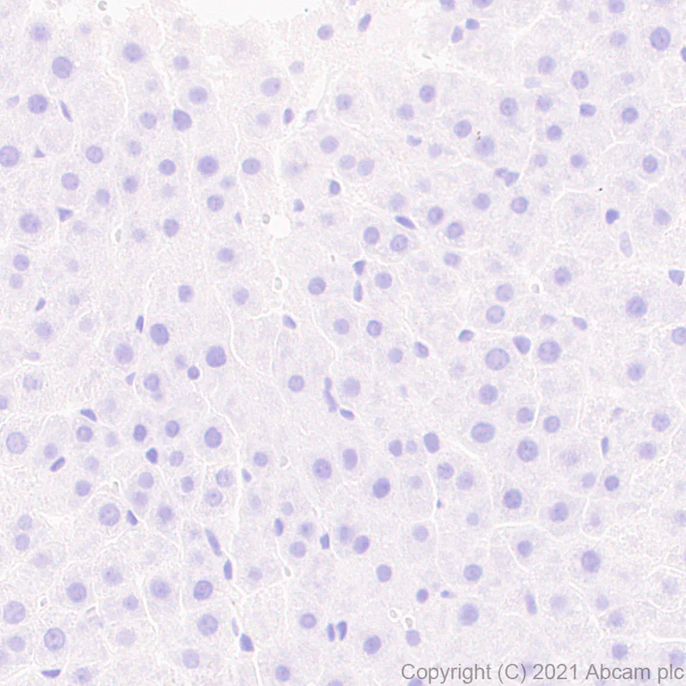
Immunohistochemical analysis of paraffin-embedded rat liver tissue labeling NPTXR with ab289860 at 1/2000 dilution, followed by ready to use LeicaDS9800 (BOND™ Polymer Refine Detection). Negative control : no staining on rat liver (PMID : 9261167). The section was incubated with ab289860 for 30 mins at room temperature. The immunostaining was performed on a Leica Biosystems BOND® RX instrument. Counter stained with Hematoxylin.

Heat mediated antigen retrieval with Tris-EDTA buffer (pH 9.0, epitope retrieval solution2) for 20 mins was used.

Secondary antibody only control : Used PBS instead of primary antibody, secondary antibody is preabsorbed LeicaDS9800 (Bond™ Polymer Refine Detection).

Western blot - Anti-NPTXR antibody [EPR25684-3] - BSA and Azide free (AB289869)
  • WB

Supplier Data

Western blot - Anti-NPTXR antibody [EPR25684-3] - BSA and Azide free (AB289869)

This data was developed using ab289860, the same antibody clone in a different buffer formulation.

5% NFDM/TBST was used as a blocking and diluting buffer.

This antibody has no cross-reaction with human NPTX1 and NPTX2.

All lanes:

Western blot - Anti-NPTXR antibody [EPR25684-3] (<a href='/en-us/products/primary-antibodies/nptxr-antibody-epr25684-3-ab289860'>ab289860</a>) at 1/1000 dilution

Lane 1:

His-tagged human NPTXR recombinant protein 10ng

Lane 2:

His-tagged human NPTX1 recombinant protein 10ng

Lane 3:

Human NPTX2 recombinant protein 10ng

Secondary

All lanes:

Western blot - Goat Anti-Rabbit IgG H&L (HRP) (<a href='/en-us/products/secondary-antibodies/goat-rabbit-igg-h-l-hrp-ab97051'>ab97051</a>) at 1/100000 dilution

Predicted band size: 53 kDa

Observed band size: 30 kDa

false

Exposure time: 180s

Key facts

Host species

Rabbit

Clonality

Monoclonal

Clone number

EPR25684-3

Isotype

IgG

Carrier free

Yes

Reacts with

Mouse, Rat

Applications

WB, IHC-Fr, IHC-P

applications

Immunogen

The exact immunogen used to generate this antibody is proprietary information.

Specificity

This antibody has no cross-reaction with human NPTX1 and NPTX2.

This antibody does not react with Rat for IHC-Fr.

Reactivity data

{ "title": "Reactivity Data", "filters": { "stats": ["", "Species", "Dilution Info", "Notes"], "tabs": { "all-applications": {"fullname" : "All Applications", "shortname": "All Applications"}, "ICCIF" : {"fullname" : "Immunocytochemistry/ Immunofluorescence", "shortname":"ICC/IF"}, "IP" : {"fullname" : "Immunoprecipitation", "shortname":"IP"}, "FlowCyt" : {"fullname" : "Flow Cytometry", "shortname":"Flow Cyt"}, "WB" : {"fullname" : "Western blot", "shortname":"WB"}, "IHCP" : {"fullname" : "Immunohistochemistry (Formalin/PFA-fixed paraffin-embedded sections)", "shortname":"IHC-P"}, "IHCFr" : {"fullname" : "Immunohistochemistry (Frozen sections)", "shortname":"IHC-Fr"} }, "product-promise": { "all": "all", "testedAndGuaranteed": "tested", "guaranteed": "expected", "predicted": "predicted", "notRecommended": "not-recommended" } }, "values": { "Human": { "ICCIF-species-checked": "notRecommended", "ICCIF-species-dilution-info": "", "ICCIF-species-notes": "<p></p>", "IP-species-checked": "notRecommended", "IP-species-dilution-info": "", "IP-species-notes": "<p></p>", "FlowCyt-species-checked": "notRecommended", "FlowCyt-species-dilution-info": "", "FlowCyt-species-notes": "<p></p>", "WB-species-checked": "notRecommended", "WB-species-dilution-info": "", "WB-species-notes": "<p></p>", "IHCP-species-checked": "notRecommended", "IHCP-species-dilution-info": "", "IHCP-species-notes": "<p></p>", "IHCFr-species-checked": "notRecommended", "IHCFr-species-dilution-info": "", "IHCFr-species-notes": "" }, "Mouse": { "ICCIF-species-checked": "notRecommended", "ICCIF-species-dilution-info": "", "ICCIF-species-notes": "<p></p>", "IP-species-checked": "notRecommended", "IP-species-dilution-info": "", "IP-species-notes": "<p></p>", "FlowCyt-species-checked": "notRecommended", "FlowCyt-species-dilution-info": "", "FlowCyt-species-notes": "<p></p>", "WB-species-checked": "notRecommended", "WB-species-dilution-info": "", "WB-species-notes": "<p></p>", "IHCP-species-checked": "testedAndGuaranteed", "IHCP-species-dilution-info": "", "IHCP-species-notes": "<p></p>", "IHCFr-species-checked": "testedAndGuaranteed", "IHCFr-species-dilution-info": "", "IHCFr-species-notes": "<p>This antibody does not react with Rat for IHC-Fr.</p>" }, "Rat": { "ICCIF-species-checked": "notRecommended", "ICCIF-species-dilution-info": "", "ICCIF-species-notes": "", "IP-species-checked": "notRecommended", "IP-species-dilution-info": "", "IP-species-notes": "", "FlowCyt-species-checked": "notRecommended", "FlowCyt-species-dilution-info": "", "FlowCyt-species-notes": "", "WB-species-checked": "notRecommended", "WB-species-dilution-info": "", "WB-species-notes": "<p></p>", "IHCP-species-checked": "testedAndGuaranteed", "IHCP-species-dilution-info": "", "IHCP-species-notes": "<p></p>", "IHCFr-species-checked": "notRecommended", "IHCFr-species-dilution-info": "", "IHCFr-species-notes": "<p>This antibody does not react with Rat for IHC-Fr.</p>" }, "Recombinant fragment - Human": { "ICCIF-species-checked": "notRecommended", "ICCIF-species-dilution-info": "", "ICCIF-species-notes": "", "IP-species-checked": "notRecommended", "IP-species-dilution-info": "", "IP-species-notes": "", "FlowCyt-species-checked": "notRecommended", "FlowCyt-species-dilution-info": "", "FlowCyt-species-notes": "", "WB-species-checked": "testedAndGuaranteed", "WB-species-dilution-info": "", "WB-species-notes": "<p></p>", "IHCP-species-checked": "notRecommended", "IHCP-species-dilution-info": "", "IHCP-species-notes": "", "IHCFr-species-checked": "notRecommended", "IHCFr-species-dilution-info": "", "IHCFr-species-notes": "" } } }

Product details

ab289869 is a carrier-free version of ab289860.

Patented technology
Our RabMAb® technology is a patented hybridoma-based technology for making rabbit monoclonal antibodies. For details on our patents, please refer to RabMAb® patents.

What are the advantages of a recombinant monoclonal antibody?
This product is a recombinant monoclonal antibody, which offers several advantages including:

  • - High batch-to-batch consistency and reproducibility
  • - Improved sensitivity and specificity
  • - Long-term security of supply
  • - Animal-free batch production

For more information, read more on recombinant antibodies.

Conjugation ready
Our carrier-free antibodies are typically supplied in a PBS-only formulation, purified and free of BSA, sodium azide and glycerol. This conjugation-ready format is designed for use with fluorochromes, metal isotopes, oligonucleotides, and enzymes, which makes them ideal for antibody labelling, functional and cell-based assays, flow-based assays (e.g. mass cytometry) and Multiplex Imaging applications.

Use our conjugation kits for antibody conjugates that are ready-to-use in as little as 20 minutes with 1 minute hands-on-time and 100% antibody recovery: available for fluorescent dyes, HRP, biotin and gold.

Compatibility
This product is compatible with the Maxpar® Antibody Labeling Kit from Fluidigm, without the need for antibody preparation. Maxpar® is a trademark of Fluidigm Canada Inc.

Properties and storage information

Form
Liquid
Purification technique
Affinity purification Protein A
Storage buffer
pH: 7.2 - 7.4 Constituents: PBS
Shipped at conditions
Blue Ice
Appropriate short-term storage conditions
+4°C
Appropriate long-term storage conditions
+4°C

Supplementary information

This supplementary information is collated from multiple sources and compiled automatically.

NPTXR also known as Neuronal Pentraxin Receptor is a protein involved in the synaptic organization. It has a molecular mass of approximately 65 kDa. NPTXR expresses mainly in the central nervous system including the brain and spinal cord. As a synaptic protein it plays a role in modulating neuron-neuron interactions and signaling pathways critical for the central nervous system's proper function.
Biological function summary

Neuronal pentraxin receptor contributes to synaptic plasticity and maintenance. It forms a complex with other pentraxin proteins like NPTX1 and NPTX2 facilitating the clustering of AMPA receptors at synapses. This interaction enhances excitatory synaptic transmission which is important for processes like learning and memory. NPTXR therefore plays a significant role in maintaining synaptic strength and integrity.

Pathways

The neuronal pentraxin receptor influences the glutamatergic signaling pathway. This pathway involves neurotransmitter glutamate and its receptors which include AMPA-type glutamate receptors at postsynaptic sites. NPTXR's interaction with AMPA receptors via NPTX1 and NPTX2 promotes receptor clustering critical for NMDA receptor phosphorylation. As a result this protein contributes to synaptic plasticity influencing learning and memory pathways in neurons.

NPTXR has implications in neurodegenerative diseases and schizophrenia. Altered synaptic plasticity and receptor clustering can lead to cognitive deficits frequently observed in Alzheimer's disease. Additionally studies suggest a potential link between NPTXR and schizophrenia where dysregulated synaptic organization impacts neurotransmission. NPTXR's association with AMPA receptors through other pentraxins implicates it in these disorders highlighting its significance as a therapeutic target.

Product protocols

For this product, it's our understanding that no specific protocols are required. You can visit:

Target data

May be involved in mediating uptake of synaptic material during synapse remodeling or in mediating the synaptic clustering of AMPA glutamate receptors at a subset of excitatory synapses.
See full target information NPTXR

Product promise

We are committed to supporting your work with high-quality reagents, and we're here for you every step of the way. In the unlikely event that one of our products does not perform as expected, you're protected by our Product Promise.
For full details, please see our Terms & Conditions

Please note: All products are 'FOR RESEARCH USE ONLY. NOT FOR USE IN DIAGNOSTIC OR THERAPEUTIC PROCEDURES'.

For licensing inquiries, please contact partnerships@abcam.com