JavaScript is disabled in your browser. Please enable JavaScript to view this website.
AB289861

Anti-NPTXR + NPTX2 + NPTX1 antibody [EPR25684-9]

  • BOND RX™ Validated
  • 20ul selling size
  • RabMAb
  • Recombinant
  • What is this?

Be the first to review this product! Submit a review

|

(0 Publication)

Rabbit Recombinant Monoclonal NP-I antibody. Suitable for WB, IHC-P, IHC-Fr and reacts with Recombinant fragment, Mouse, Rat, Human samples.

View Alternative Names

Neuronal pentraxin-1, NP1, Neuronal pentraxin I, NP-I, NPTX1

10 Images
Immunohistochemistry (Formalin/PFA-fixed paraffin-embedded sections) - Anti-NPTXR + NPTX2 + NPTX1 antibody [EPR25684-9] (AB289861)
  • IHC-P

Supplier Data

Immunohistochemistry (Formalin/PFA-fixed paraffin-embedded sections) - Anti-NPTXR + NPTX2 + NPTX1 antibody [EPR25684-9] (AB289861)

Immunohistochemical analysis of paraffin-embedded human cerebrum tissue labeling NPTXR+NPTX2+NPTX1 with ab289861 at 1/2000 dilution, followed by ready to use LeicaDS9800 (BOND™ Polymer Refine Detection). Positive staining on human cerebrum. The section was incubated with ab289861 for 30 mins at room temperature.

Heat mediated antigen retrieval with Tris-EDTA buffer (pH 9.0, epitope retrieval solution2) for 20 mins was used.

The immunostaining was performed on a Leica Biosystems BOND® RX instrumentCounter stained with Hematoxylin.

Secondary antibody only control : Used PBS instead of primary antibody, secondary antibody is LeicaDS9800 (Bond™ Polymer Refine Detection).

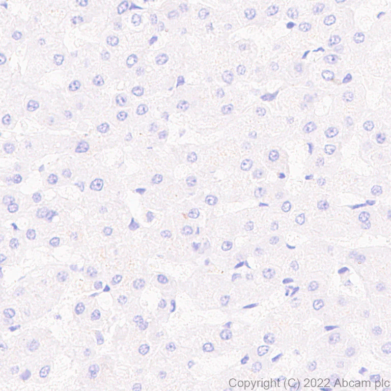
Immunohistochemistry (Formalin/PFA-fixed paraffin-embedded sections) - Anti-NPTXR + NPTX2 + NPTX1 antibody [EPR25684-9] (AB289861)
  • IHC-P

Supplier Data

Immunohistochemistry (Formalin/PFA-fixed paraffin-embedded sections) - Anti-NPTXR + NPTX2 + NPTX1 antibody [EPR25684-9] (AB289861)

Immunohistochemical analysis of paraffin-embedded human liver tissue labeling NPTXR+NPTX2+NPTX1 with ab289861 at 1/2000 dilution, followed by ready to use LeicaDS9800 (BOND™ Polymer Refine Detection). Negative control : no staining on human liver. The section was incubated with ab289861 for 30 mins at room temperature.

Heat mediated antigen retrieval with Tris-EDTA buffer (pH 9.0, epitope retrieval solution2) for 20 mins was used.

The immunostaining was performed on a Leica Biosystems BOND® RX instrumentCounter stained with Hematoxylin.

Secondary antibody only control : Used PBS instead of primary antibody, secondary antibody is LeicaDS9800 (Bond™ Polymer Refine Detection).

Immunohistochemistry (Frozen sections) - Anti-NPTXR + NPTX2 + NPTX1 antibody [EPR25684-9] (AB289861)
  • IHC-Fr

Supplier Data

Immunohistochemistry (Frozen sections) - Anti-NPTXR + NPTX2 + NPTX1 antibody [EPR25684-9] (AB289861)

Immunohistochemical analysis of 4% PFA-fixed, 0.2% Triton X-100 permeabilized frozen rat skeletal muscle (fresh) tissue labelling NPTXR+NPTX2+NPTX1 with ab289861 at 1/50 dilution, followed by ab150081 Goat Anti-Rabbit IgG H&L (Alexa Fluor® 488) secondary antibody at 1/1000 dilution (Green). Negative control (PMID : 9261167). No staining on rat skeletal muscle (fresh). The nuclear counterstain is DAPI (Blue).

Secondary antibody only control : Used PBS instead of primary antibody, followed by ab150081 Goat Anti-Rabbit IgG H&L (Alexa Fluor® 488) secondary antibody at 1/1000 dilution.

Immunohistochemistry (Frozen sections) - Anti-NPTXR + NPTX2 + NPTX1 antibody [EPR25684-9] (AB289861)
  • IHC-Fr

Supplier Data

Immunohistochemistry (Frozen sections) - Anti-NPTXR + NPTX2 + NPTX1 antibody [EPR25684-9] (AB289861)

Immunohistochemical analysis of 4% PFA-fixed, 0.2% Triton X-100 permeabilized frozen rat cerebrum (fresh) tissue labelling NPTXR+NPTX2+NPTX1 with ab289861 at 1/50 dilution, followed by ab150081 Goat Anti-Rabbit IgG H&L (Alexa Fluor® 488) secondary antibody at 1/1000 dilution (Green). Positive staining on rat cerebrum. The nuclear counterstain is DAPI (Blue).

Secondary antibody only control : Used PBS instead of primary antibody, followed by ab150081 Goat Anti-Rabbit IgG H&L (Alexa Fluor® 488) secondary antibody at 1/1000 dilution.

Immunohistochemistry (Formalin/PFA-fixed paraffin-embedded sections) - Anti-NPTXR + NPTX2 + NPTX1 antibody [EPR25684-9] (AB289861)
  • IHC-P

Supplier Data

Immunohistochemistry (Formalin/PFA-fixed paraffin-embedded sections) - Anti-NPTXR + NPTX2 + NPTX1 antibody [EPR25684-9] (AB289861)

Immunohistochemical analysis of paraffin-embedded rat cerebrum tissue labeling NPTXR+NPTX2+NPTX1 with ab289861 at 1/2000 dilution, followed by ready to use LeicaDS9800 (BOND™ Polymer Refine Detection). Positive staining on rat cerebrum. The section was incubated with ab289861 for 30 mins at room temperature.

Heat mediated antigen retrieval with Tris-EDTA buffer (pH 9.0, epitope retrieval solution2) for 20 mins was used.

The immunostaining was performed on a Leica Biosystems BOND® RX instrumentCounter stained with Hematoxylin.

Secondary antibody only control : Used PBS instead of primary antibody, secondary antibody is LeicaDS9800 (Bond™ Polymer Refine Detection).

Immunohistochemistry (Frozen sections) - Anti-NPTXR + NPTX2 + NPTX1 antibody [EPR25684-9] (AB289861)
  • IHC-Fr

Supplier Data

Immunohistochemistry (Frozen sections) - Anti-NPTXR + NPTX2 + NPTX1 antibody [EPR25684-9] (AB289861)

Immunohistochemical analysis of 4% PFA-fixed, 0.2% Triton X-100 permeabilized frozen mouse cerebrum (fresh) tissue labelling NPTXR+NPTX2+NPTX1 with ab289861 at 1/50 dilution, followed by ab150081 Goat Anti-Rabbit IgG H&L (Alexa Fluor® 488) secondary antibody at 1/1000 dilution (Green). Positive staining on mouse cerebrum (fresh). The nuclear counterstain is DAPI (Blue).

Secondary antibody only control : Used PBS instead of primary antibody, followed by ab150081 Goat Anti-Rabbit IgG H&L (Alexa Fluor® 488) secondary antibody at 1/1000 dilution.

Immunohistochemistry (Formalin/PFA-fixed paraffin-embedded sections) - Anti-NPTXR + NPTX2 + NPTX1 antibody [EPR25684-9] (AB289861)
  • IHC-P

Supplier Data

Immunohistochemistry (Formalin/PFA-fixed paraffin-embedded sections) - Anti-NPTXR + NPTX2 + NPTX1 antibody [EPR25684-9] (AB289861)

Immunohistochemical analysis of paraffin-embedded mouse cerebrum tissue labeling NPTXR+NPTX2+NPTX1 with ab289861 at 1/2000 dilution, followed by ready to use LeicaDS9800 (BOND™ Polymer Refine Detection). Positive staining on mouse cerebrum. The section was incubated with ab289861 for 30 mins at room temperature.

Heat mediated antigen retrieval with Tris-EDTA buffer (pH 9.0, epitope retrieval solution2) for 20 mins was used.

The immunostaining was performed on a Leica Biosystems BOND® RX instrumentCounter stained with Hematoxylin.

Secondary antibody only control : Used PBS instead of primary antibody, secondary antibody is LeicaDS9800 (Bond™ Polymer Refine Detection).

Immunohistochemistry (Frozen sections) - Anti-NPTXR + NPTX2 + NPTX1 antibody [EPR25684-9] (AB289861)
  • IHC-Fr

Supplier Data

Immunohistochemistry (Frozen sections) - Anti-NPTXR + NPTX2 + NPTX1 antibody [EPR25684-9] (AB289861)

Immunohistochemical analysis of 4% PFA-fixed, 0.2% Triton X-100 permeabilized frozen mouse skeletal muscle (fresh) tissue labelling NPTXR+NPTX2+NPTX1 with ab289861 at 1/50 dilution, followed by ab150081 Goat Anti-Rabbit IgG H&L (Alexa Fluor® 488) secondary antibody at 1/1000 dilution (Green). Negative control (PMID : 9261167). No staining on mouse skeletal muscle (fresh). The nuclear counterstain is DAPI (Blue).

Secondary antibody only control : Used PBS instead of primary antibody, followed by ab150081 Goat Anti-Rabbit IgG H&L (Alexa Fluor® 488) secondary antibody at 1/1000 dilution.

Western blot - Anti-NPTXR + NPTX2 + NPTX1 antibody [EPR25684-9] (AB289861)
  • WB

Supplier Data

Western blot - Anti-NPTXR + NPTX2 + NPTX1 antibody [EPR25684-9] (AB289861)

Blocking and diluting buffer and concentration : 5% NFDM/TBS.

Eposure times :

Lane1-2 : 180 seconds;
Lane3-8 : 70 seconds.

Samples are non-boiled as boiling may cause protein aggregates.
The observed MW are consistent with what has been described in the literature (PMID : 32847597, PMID : 32273328, PMID : 28440221)
Low expression : Hela, skeletal muscle, spleen (PMID : 32847597, PMID : 32273328, PMID : 28440221)
The bands nearby 40 kDa could be non-specific bands.

All lanes:

Western blot - Anti-NPTXR + NPTX2 + NPTX1 antibody [EPR25684-9] (ab289861) at 1/1000 dilution

Lane 1:

IMR-32 (Human neuroblastoma neuroblast) whole cell lysate at 20 µg

Lane 2:

HeLa (human epithelial cell line from cervix adenocarcinoma) whole cell lysate at 20 µg

Lane 3:

Mouse brain tissue lysate at 20 µg

Lane 4:

Mouse skeletal muscle tissue lysate at 40 µg

Lane 5:

Mouse spleen tissue lysate at 20 µg

Lane 6:

Rat brain tissue lysate at 20 µg

Lane 7:

Rat skeletal muscle tissue lysate at 40 µg

Lane 8:

Rat spleen tissue lysate at 20 µg

Secondary

All lanes:

Western blot - Goat Anti-Rabbit IgG H&L (HRP) (<a href='/en-us/products/secondary-antibodies/goat-rabbit-igg-h-l-hrp-ab97051'>ab97051</a>) at 1/20000 dilution

Observed band size: 53 kDa

false

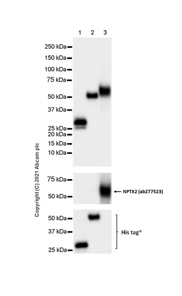
Western blot - Anti-NPTXR + NPTX2 + NPTX1 antibody [EPR25684-9] (AB289861)
  • WB

Supplier Data

Western blot - Anti-NPTXR + NPTX2 + NPTX1 antibody [EPR25684-9] (AB289861)

Blocking and diluting buffer and concentration : 5% NFDM/TBS.

Eposure times : 5.5 seconds

All lanes:

Western blot - Anti-NPTXR + NPTX2 + NPTX1 antibody [EPR25684-9] (ab289861) at 1/1000 dilution

Lane 1:

His-tagged human NPTXR recombinant protein fragment 10ng

Lane 2:

His-tagged human NPTX1 full length recombinant protein (without signal peptide) 10ng

Lane 3:

Human NPTX2 full length recombinant protein (without signal peptide) 10ng

Secondary

All lanes:

Western blot - Goat Anti-Rabbit IgG H&L (HRP) (<a href='/en-us/products/secondary-antibodies/goat-rabbit-igg-h-l-hrp-ab97051'>ab97051</a>) at 1/100000 dilution

Observed band size: 30 kDa

false

  • Carrier free

    Anti-NPTXR + NPTX2 + NPTX1 antibody [EPR25684-9] - BSA and Azide free

Key facts

Host species

Rabbit

Clonality

Monoclonal

Clone number

EPR25684-9

Isotype

IgG

Carrier free

No

Reacts with

Mouse, Rat, Human

Applications

IHC-P, WB, IHC-Fr

applications

Immunogen

The exact immunogen used to generate this antibody is proprietary information.

Reactivity data

{ "title": "Reactivity Data", "filters": { "stats": ["", "Species", "Dilution Info", "Notes"], "tabs": { "all-applications": {"fullname" : "All Applications", "shortname": "All Applications"}, "ICCIF" : {"fullname" : "Immunocytochemistry/ Immunofluorescence", "shortname":"ICC/IF"}, "IP" : {"fullname" : "Immunoprecipitation", "shortname":"IP"}, "FlowCyt" : {"fullname" : "Flow Cytometry", "shortname":"Flow Cyt"}, "WB" : {"fullname" : "Western blot", "shortname":"WB"}, "IHCP" : {"fullname" : "Immunohistochemistry (Formalin/PFA-fixed paraffin-embedded sections)", "shortname":"IHC-P"}, "IHCFr" : {"fullname" : "Immunohistochemistry (Frozen sections)", "shortname":"IHC-Fr"} }, "product-promise": { "all": "all", "testedAndGuaranteed": "tested", "guaranteed": "expected", "predicted": "predicted", "notRecommended": "not-recommended" } }, "values": { "Human": { "ICCIF-species-checked": "notRecommended", "ICCIF-species-dilution-info": "", "ICCIF-species-notes": "<p></p>", "IP-species-checked": "notRecommended", "IP-species-dilution-info": "", "IP-species-notes": "<p></p>", "FlowCyt-species-checked": "notRecommended", "FlowCyt-species-dilution-info": "", "FlowCyt-species-notes": "<p></p>", "WB-species-checked": "testedAndGuaranteed", "WB-species-dilution-info": "1/1000", "WB-species-notes": "<p></p>", "IHCP-species-checked": "testedAndGuaranteed", "IHCP-species-dilution-info": "1/2000", "IHCP-species-notes": "<p></p>", "IHCFr-species-checked": "guaranteed", "IHCFr-species-dilution-info": "", "IHCFr-species-notes": "" }, "Mouse": { "ICCIF-species-checked": "notRecommended", "ICCIF-species-dilution-info": "", "ICCIF-species-notes": "<p></p>", "IP-species-checked": "notRecommended", "IP-species-dilution-info": "", "IP-species-notes": "<p></p>", "FlowCyt-species-checked": "notRecommended", "FlowCyt-species-dilution-info": "", "FlowCyt-species-notes": "<p></p>", "WB-species-checked": "testedAndGuaranteed", "WB-species-dilution-info": "1/1000", "WB-species-notes": "<p></p>", "IHCP-species-checked": "testedAndGuaranteed", "IHCP-species-dilution-info": "1/2000", "IHCP-species-notes": "<p></p>", "IHCFr-species-checked": "testedAndGuaranteed", "IHCFr-species-dilution-info": "1/50", "IHCFr-species-notes": "<p></p>" }, "Rat": { "ICCIF-species-checked": "notRecommended", "ICCIF-species-dilution-info": "", "ICCIF-species-notes": "", "IP-species-checked": "notRecommended", "IP-species-dilution-info": "", "IP-species-notes": "", "FlowCyt-species-checked": "notRecommended", "FlowCyt-species-dilution-info": "", "FlowCyt-species-notes": "", "WB-species-checked": "testedAndGuaranteed", "WB-species-dilution-info": "1/1000", "WB-species-notes": "<p></p>", "IHCP-species-checked": "testedAndGuaranteed", "IHCP-species-dilution-info": "1/2000", "IHCP-species-notes": "<p></p>", "IHCFr-species-checked": "testedAndGuaranteed", "IHCFr-species-dilution-info": "1/50", "IHCFr-species-notes": "<p></p>" }, "Recombinant fragment": { "ICCIF-species-checked": "notRecommended", "ICCIF-species-dilution-info": "", "ICCIF-species-notes": "", "IP-species-checked": "notRecommended", "IP-species-dilution-info": "", "IP-species-notes": "", "FlowCyt-species-checked": "notRecommended", "FlowCyt-species-dilution-info": "", "FlowCyt-species-notes": "", "WB-species-checked": "testedAndGuaranteed", "WB-species-dilution-info": "1/1000", "WB-species-notes": "<p></p>", "IHCP-species-checked": "notRecommended", "IHCP-species-dilution-info": "", "IHCP-species-notes": "", "IHCFr-species-checked": "notRecommended", "IHCFr-species-dilution-info": "", "IHCFr-species-notes": "" } } }

Product details

Patented technology
Our RabMAb® technology is a patented hybridoma-based technology for making rabbit monoclonal antibodies. For details on our patents, please refer to RabMAb® patents.

What are the advantages of a recombinant monoclonal antibody?
This product is a recombinant monoclonal antibody, which offers several advantages including:

  • - High batch-to-batch consistency and reproducibility
  • - Improved sensitivity and specificity
  • - Long-term security of supply
  • - Animal-free batch production

For more information, read more on recombinant antibodies.

Properties and storage information

Form
Liquid
Purification technique
Affinity purification Protein A
Storage buffer
pH: 7.2 - 7.4 Preservative: 0.01% Sodium azide Constituents: PBS, 40% Glycerol (glycerin, glycerine), 0.05% BSA
Shipped at conditions
Blue Ice
Appropriate short-term storage duration
1-2 weeks
Appropriate short-term storage conditions
+4°C
Appropriate long-term storage conditions
-20°C
Aliquoting information
Upon delivery aliquot
Storage information
Avoid freeze / thaw cycle

Supplementary information

This supplementary information is collated from multiple sources and compiled automatically.

NPTX1 NPTX2 and NPTXR collectively known as neuronal pentraxins are proteins that play a role in synaptic plasticity and remodeling. These proteins are characterized by their specific expression in the nervous system particularly in neurons. Neuronal pentraxin 1 (NPTX1) has a molecular mass of approximately 49 kDa while NPTX2 and NPTXR share a similar structural framework facilitating their interaction with each other and with synaptic partners. These proteins can localize on the cell surface and extracellular space where they participate in processes that maintain neural circuitry.
Biological function summary

Neuronal pentraxins participate in synaptic functions important for proper signal transmission within the brain. They act as a bridge between presynaptic and postsynaptic structures by binding to partners such as AMPA receptors promoting receptor clustering and facilitating synaptic connectivity. NPTX1 and NPTX2 can form a complex with NPTXR enhancing their role in synapse organization and contributing to neural network stability. These interactions support memory and learning by stabilizing the synaptic connections necessary for neural communication.

Pathways

Neuronal pentraxins engage multiple signaling cascades linked to synaptic function. They play a role within the glutamatergic signaling pathway where they influence synaptic plasticity through receptor interactions. Specifically these proteins associate with AMPA receptors contributing to receptor trafficking and modulation of synaptic strength. They also interact with proteins such as the neuronal pentraxin receptor forming an integral part of neural development and synapse maturation pathways.

Altered expression or function of neuronal pentraxins associates with neurodegenerative diseases like Alzheimer's and schizophrenia. These conditions involve disrupted synaptic processes where the imbalance of neuronal pentraxin activity contributes to pathological synapse loss. Changes in interactions with AMPA receptors affected by alterations in NPTX1 and NPTX2 may lead to cognitive deficits observed in these disorders. Additionally their activity connects to synaptic damage in neuroinflammatory conditions highlighting their relevance in maintaining neural health.

Product protocols

For this product, it's our understanding that no specific protocols are required. You can visit:

Target data

May be involved in mediating uptake of synaptic material during synapse remodeling or in mediating the synaptic clustering of AMPA glutamate receptors at a subset of excitatory synapses.
See full target information NPTX1_HUMAN

Additional targets

NPTX2,NPTXR

Product promise

We are committed to supporting your work with high-quality reagents, and we're here for you every step of the way. In the unlikely event that one of our products does not perform as expected, you're protected by our Product Promise.
For full details, please see our Terms & Conditions

Please note: All products are 'FOR RESEARCH USE ONLY. NOT FOR USE IN DIAGNOSTIC OR THERAPEUTIC PROCEDURES'.

For licensing inquiries, please contact partnerships@abcam.com