JavaScript is disabled in your browser. Please enable JavaScript to view this website.
AB183108

Anti-NPY1R antibody - C-terminal

Be the first to review this product! Submit a review

|

(5 Publications)

Rabbit Polyclonal NPY1R antibody. C-terminal. Suitable for WB, IHC-P and reacts with Human samples. Cited in 5 publications. Immunogen corresponding to Synthetic Peptide within Human NPY1R aa 350 to C-terminus.

View Alternative Names

NPYR, NPYY1, NPY1R, Neuropeptide Y receptor type 1, NPY1-R

1 Images
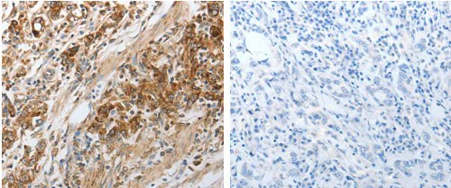
Immunohistochemistry (Formalin/PFA-fixed paraffin-embedded sections) - Anti-NPY1R antibody - C-terminal (AB183108)
  • IHC-P

Supplier Data

Immunohistochemistry (Formalin/PFA-fixed paraffin-embedded sections) - Anti-NPY1R antibody - C-terminal (AB183108)

Immunohistochemical analysis of paraffin embedded Human gastric cancer tissue labeling NPY1R with ab183108 at 1/30. Image on the right is treated with the synthetic peptide.

Key facts

Host species

Rabbit

Clonality

Polyclonal

Isotype

IgG

Carrier free

No

Reacts with

Human

Applications

IHC-P, WB

applications

Immunogen

Synthetic Peptide within Human NPY1R aa 350 to C-terminus. The exact immunogen used to generate this antibody is proprietary information.

P25929

Reactivity data

{ "title": "Reactivity Data", "filters": { "stats": ["", "Species", "Dilution Info", "Notes"], "tabs": { "all-applications": {"fullname" : "All Applications", "shortname": "All Applications"}, "WB" : {"fullname" : "Western blot", "shortname":"WB"}, "IHCP" : {"fullname" : "Immunohistochemistry (Formalin/PFA-fixed paraffin-embedded sections)", "shortname":"IHC-P"} }, "product-promise": { "all": "all", "testedAndGuaranteed": "tested", "guaranteed": "expected", "predicted": "predicted", "notRecommended": "not-recommended" } }, "values": { "Human": { "WB-species-checked": "guaranteed", "WB-species-dilution-info": "", "WB-species-notes": "<p></p>", "IHCP-species-checked": "testedAndGuaranteed", "IHCP-species-dilution-info": "1/25 - 1/100", "IHCP-species-notes": "<p></p>" } } }

Properties and storage information

Form
Liquid
Purification technique
Affinity purification Immunogen
Storage buffer
pH: 7.4 Preservative: 0.05% Sodium azide Constituents: PBS, 50% Glycerol (glycerin, glycerine)
Shipped at conditions
Blue Ice
Appropriate short-term storage duration
1-2 weeks
Appropriate short-term storage conditions
+4°C
Appropriate long-term storage conditions
-20°C
Aliquoting information
Upon delivery aliquot
Storage information
Avoid freeze / thaw cycle

Supplementary information

This supplementary information is collated from multiple sources and compiled automatically.

Neuropeptide Y receptor Y1 (NPY1R) also known simply as NPY1R is a G protein-coupled receptor involved in the mechanical action of neuropeptide Y peptide YY and pancreatic polypeptide. It weighs approximately 48 kDa. This receptor is mostly expressed in the central nervous system including the hypothalamus as well as regions like the amygdala. It also appears in peripheral tissues such as the heart blood vessels and kidneys.
Biological function summary

NPY1R plays a role in regulating various physiological processes. As a part of the neuropeptide Y receptor family it helps control food intake anxiety and circadian rhythms. NPY1R influences energy homeostasis and mediates vasoconstriction. This receptor plays an essential role in stress responses where its activation can help modulate the body’s response to stressful stimuli.

Pathways

NPY1R functions in pathways like the neuropeptide Y pathway and the hypothalamic-pituitary-adrenal (HPA) axis. In the neuropeptide Y pathway NPY1R interacts with other receptors such as NPY2R and NPY5R facilitating the signaling cascades that influence appetite and energy balance. NPY1R impacts the HPA axis by affecting cortisol release integrating signals that control stress responses.

NPY1R has been implicated in conditions such as obesity and anxiety disorders. The receptor's role in regulating food intake and energy homeostasis links it to the development of obesity. Anxiety disorders connect to NPY1R through its modulation of stress responses where its interaction with proteins such as corticotropin-releasing hormone (CRH) receptors can further influence anxiety symptoms and stress management.

Product protocols

For this product, it's our understanding that no specific protocols are required. You can visit:

Target data

Receptor for neuropeptide Y and peptide YY. The rank order of affinity of this receptor for pancreatic polypeptides is NPY > [Pro-34] PYY, PYY and [Leu-31, Pro-34] NPY > NPY (2-36) > [Ile-31, Gln-34] PP and PYY (3-36) > PP > NPY free acid.
See full target information NPY1R

Publications (5)

Recent publications for all applications. Explore the full list and refine your search

Cancers 15: PubMed37568714

2023

Evaluation of Potential Targets for Fluorescence-Guided Surgery in Pediatric Ewing Sarcoma: A Preclinical Proof-of-Concept Study.

Applications

Unspecified application

Species

Unspecified reactive species

Bernadette Jeremiasse,Zeger Rijs,Karieshma R Angoelal,Laura S Hiemcke-Jiwa,Ella A de Boed,Peter J K Kuppen,Cornelis F M Sier,Pieter B A A van Driel,Michiel A J van de Sande,Marc H W A Wijnen,Anne C Rios,Alida F W van der Steeg

British journal of pharmacology 180:3045-3058 PubMed37460913

2023

Gβγ subunit signalling underlies neuropeptide Y-stimulated vasoconstriction in rat mesenteric and coronary arteries.

Applications

Unspecified application

Species

Unspecified reactive species

JinHeng Lin,Lauren Scullion,Christopher J Garland,Kim Dora

Journal of cancer research and clinical oncology 149:5803-5822 PubMed36583743

2022

Neuropeptide Y and its receptors in prostate cancer: associations with cancer invasiveness and perineural spread.

Applications

Unspecified application

Species

Unspecified reactive species

Dawid Sigorski,Wojciech Wesołowski,Agnieszka Gruszecka,Jacek Gulczyński,Piotr Zieliński,Sara Misiukiewicz,Joanna Kitlińska,Ewa Iżycka-Świeszewska

Journal of advanced research 30:15-25 PubMed34026283

2021

Decreased PIBF1/IL6/p-STAT3 during the mid-secretory phase inhibits human endometrial stromal cell proliferation and decidualization.

Applications

Unspecified application

Species

Unspecified reactive species

Mingjuan Zhou,Huihui Xu,Dan Zhang,Chenchen Si,Xiaowei Zhou,Hui Zhao,Qiang Liu,Bufang Xu,Aijun Zhang

Molecular therapy. Nucleic acids 20:265-278 PubMed32193153

2020

MCM3AP-AS1 KD Inhibits Proliferation, Invasion, and Migration of PCa Cells via DNMT1/DNMT3 (A/B) Methylation-Mediated Upregulation of NPY1R.

Applications

Unspecified application

Species

Unspecified reactive species

Xin Li,Jiancheng Lv,Shuai Liu
View all publications

Product promise

We are committed to supporting your work with high-quality reagents, and we're here for you every step of the way. In the unlikely event that one of our products does not perform as expected, you're protected by our Product Promise.
For full details, please see our Terms & Conditions

Please note: All products are 'FOR RESEARCH USE ONLY. NOT FOR USE IN DIAGNOSTIC OR THERAPEUTIC PROCEDURES'.

For licensing inquiries, please contact partnerships@abcam.com