JavaScript is disabled in your browser. Please enable JavaScript to view this website.
AB188915

Anti-NPY4R antibody - Extracellular domain

Be the first to review this product! Submit a review

|

(1 Publication)

Rabbit Polyclonal NPY4R antibody. Extracellular domain. Suitable for IHC-P and reacts with Human samples. Cited in 1 publication. Immunogen corresponding to Synthetic Peptide within Human NPY4R.

View Alternative Names

PPYR1, NPY4R, Neuropeptide Y receptor type 4, NPY4-R, Pancreatic polypeptide receptor 1, PP1

1 Images
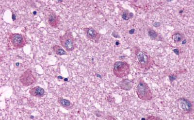
Immunohistochemistry (Formalin/PFA-fixed paraffin-embedded sections) - Anti-NPY4R antibody - Extracellular domain (AB188915)
  • IHC-P

Supplier Data

Immunohistochemistry (Formalin/PFA-fixed paraffin-embedded sections) - Anti-NPY4R antibody - Extracellular domain (AB188915)

Immunohistochemical analysis of formalin fixed paraffin embedded human brain labeling NPY4R with ab188915 at 4 μg/ml

Key facts

Host species

Rabbit

Clonality

Polyclonal

Isotype

IgG

Carrier free

No

Reacts with

Human

Applications

IHC-P

applications

Immunogen

Synthetic Peptide within Human NPY4R. The exact immunogen used to generate this antibody is proprietary information.

P50391

Specificity

BLAST analysis of the peptide immunogen showed no homology with other human proteins.

Reactivity data

{ "title": "Reactivity Data", "filters": { "stats": ["", "Species", "Dilution Info", "Notes"], "tabs": { "all-applications": {"fullname" : "All Applications", "shortname": "All Applications"}, "IHCP" : {"fullname" : "Immunohistochemistry (Formalin/PFA-fixed paraffin-embedded sections)", "shortname":"IHC-P"} }, "product-promise": { "all": "all", "testedAndGuaranteed": "tested", "guaranteed": "expected", "predicted": "predicted", "notRecommended": "not-recommended" } }, "values": { "Human": { "IHCP-species-checked": "testedAndGuaranteed", "IHCP-species-dilution-info": "4 µg/mL", "IHCP-species-notes": "<p></p> Perform heat-mediated antigen retrieval before commencing with IHC staining protocol." }, "Cow": { "IHCP-species-checked": "predicted", "IHCP-species-dilution-info": "", "IHCP-species-notes": "" }, "Gorilla": { "IHCP-species-checked": "predicted", "IHCP-species-dilution-info": "", "IHCP-species-notes": "" }, "Horse": { "IHCP-species-checked": "predicted", "IHCP-species-dilution-info": "", "IHCP-species-notes": "" }, "Monkey": { "IHCP-species-checked": "predicted", "IHCP-species-dilution-info": "", "IHCP-species-notes": "" }, "Pig": { "IHCP-species-checked": "predicted", "IHCP-species-dilution-info": "", "IHCP-species-notes": "" } } }

Properties and storage information

Form
Liquid
Purification technique
Affinity purification Immunogen
Storage buffer
pH: 7.4 Preservative: 0.1% Sodium azide Constituents: PBS
Shipped at conditions
Blue Ice
Appropriate short-term storage duration
1-2 weeks
Appropriate short-term storage conditions
+4°C
Appropriate long-term storage conditions
-20°C
Aliquoting information
Upon delivery aliquot
Storage information
Avoid freeze / thaw cycle

Supplementary information

This supplementary information is collated from multiple sources and compiled automatically.

The neuropeptide Y receptor Y4 also known as NPY4R or PP1 is a G protein-coupled receptor with a molecular mass of approximately 45 kDa. It is recognized for its function in mediating responses to pancreatic polypeptide a member of the neuropeptide Y family. NPY4R is mostly expressed in the intestine colon and brain showing its involvement in gastrointestinal and central nervous system functions.
Biological function summary

NPY4R plays a significant role in regulating appetite control and energy homeostasis. It associates with other neuropeptide Y receptors forming a complex system affecting feeding behaviors and metabolism. Predominantly found in the hypothalamus it influences the brain's pathways that control hunger and satiety helping to maintain energy balance in the organism.

Pathways

In the Y4 receptor signaling process NPY4R contributes to the neuropeptide Y pathway which is critical for managing food intake and emotional responses. It operates in concert with other receptors such as Y1 and Y5 each having distinct yet overlapping functions in metabolic regulation. The interaction among these receptors helps modulate the sympathetic nervous system and regulate the release of insulin.

NPY4R relates to obesity and anxiety due to its central role in energy balance and stress response. Dysregulation of this receptor may contribute to abnormal eating behaviors and metabolic syndromes. Research indicates that the receptor's interaction with proteins like ghrelin may affect the individual's susceptibility to metabolic and mood disorders highlighting NPY4R's therapeutic potential in these conditions.

Product protocols

For this product, it's our understanding that no specific protocols are required. You can visit:

Target data

G protein-coupled receptor for PPY/pancreatic polypeptide/PP, NPY/neuropeptide Y and PYY/peptide YY that is negatively coupled to cAMP (PubMed : 7493937, PubMed : 7592911). The rank order of affinity for these polypeptides and their derivatives is PP, PP (2-36) and [Ile-31, Gln-34] PP > [Pro-34] PYY > PYY and [Leu-31, Pro-34] NPY > NPY > PYY (3-36) and NPY (2-36) > PP (13-36) > PP (31-36) > NPY free acid.
See full target information NPY4R

Publications (1)

Recent publications for all applications. Explore the full list and refine your search

Cellular signalling 52:147-154 PubMed30213686

2018

Ligand-mediated dephosphorylation signaling for MAP kinase.

Applications

Unspecified application

Species

Unspecified reactive species

Nataliia V Shults,Faisal S Almansour,Vladyslava Rybka,Dante I Suzuki,Yuichiro J Suzuki
View all publications

Product promise

We are committed to supporting your work with high-quality reagents, and we're here for you every step of the way. In the unlikely event that one of our products does not perform as expected, you're protected by our Product Promise.
For full details, please see our Terms & Conditions

Please note: All products are 'FOR RESEARCH USE ONLY. NOT FOR USE IN DIAGNOSTIC OR THERAPEUTIC PROCEDURES'.

For licensing inquiries, please contact partnerships@abcam.com