JavaScript is disabled in your browser. Please enable JavaScript to view this website.
AB28947

Anti-NQO1 antibody [A180]

4

(12 Reviews)

|

(163 Publications)

Mouse Monoclonal NQO1 antibody. Suitable for ICC/IF, Flow Cyt (Intra), WB, sELISA, IHC-P and reacts with Human, Recombinant full length protein samples. Cited in 163 publications.

View Alternative Names

DIA4, NMOR1, NQO1, NAD(P)H dehydrogenase [quinone] 1, Azoreductase, DT-diaphorase, Menadione reductase, NAD(P)H:quinone oxidoreductase 1, Phylloquinone reductase, Quinone reductase 1, DTD, QR1

10 Images
Immunohistochemistry (Formalin/PFA-fixed paraffin-embedded sections) - Anti-NQO1 antibody [A180] (AB28947)
  • IHC-P

Unknown

Immunohistochemistry (Formalin/PFA-fixed paraffin-embedded sections) - Anti-NQO1 antibody [A180] (AB28947)

Human breast cancer tissue stained with ab28947 NQO1 antibody.

Flow Cytometry (Intracellular) - Anti-NQO1 antibody [A180] (AB28947)
  • Flow Cyt (Intra)

Unknown

Flow Cytometry (Intracellular) - Anti-NQO1 antibody [A180] (AB28947)

Overlay histogram showing HeLa cells stained with ab28947 (red line). The cells were fixed with 80% methanol (5 min) and then permeabilized with 0.1% PBS-Tween for 20 min. The cells were then incubated in 1x PBS / 10% normal goat serum / 0.3M glycine to block non-specific protein-protein interactions followed by the antibody (ab28947, 1μg/1x106 cells) for 30 min at 22°C. The secondary antibody used was goat anti-mouse DyLight® 488 (IgG H+L) (ab96879) at 1/500 dilution for 30 min at 22°C. Isotype control antibody (black line) was mouse IgG1 [ICIGG1] (ab91353, 2μg/1x106 cells) used under the same conditions. Acquisition of >5,000 events was performed.

Immunocytochemistry/ Immunofluorescence - Anti-NQO1 antibody [A180] (AB28947)
  • ICC/IF

Lab

Immunocytochemistry/ Immunofluorescence - Anti-NQO1 antibody [A180] (AB28947)

ab28947 staining NQO1 in HepG2 cells. The cells were fixed with 100% methanol (5 min), permeabilized with 0.1% PBS-Tween for 5 minutes and then blocked with 1% BSA/10% normal goat serum/0.3M glycine in 0.1%PBS-Tween for 1h. The cells were then incubated overnight at 4°C with ab28947 at 5µg/ml and ab6046, Rabbit polyclonal to beta Tubulin - Loading Control. Cells were then incubated with ab150117, Goat polyclonal Secondary Antibody to Mouse IgG H&L (Alexa Fluor® 488) preadsorbed at 1/1000 dilution (shown in green) and ab150080, Goat polyclonal Secondary Antibody to Rabbit IgG - H&L (Alexa Fluor® 594) at 1/1000 dilution (shown in pseudocolour red). Nuclear DNA was labelled with DAPI (shown in blue).

Image was acquired with a high-content analyser (Operetta CLS, Perkin Elmer) and a maximum intensity projection of confocal sections is shown.

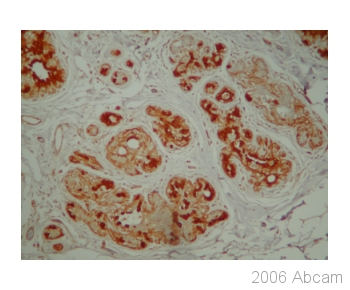
Immunohistochemistry (Formalin/PFA-fixed paraffin-embedded sections) - Anti-NQO1 antibody [A180] (AB28947)
  • IHC-P

Unknown

Immunohistochemistry (Formalin/PFA-fixed paraffin-embedded sections) - Anti-NQO1 antibody [A180] (AB28947)

IHC image of NQO1 staining in human breast adenocarcinoma formalin fixed paraffin embedded tissue section, performed on a Leica Bond system using the standard protocol F. The section was pre-treated using heat mediated antigen retrieval with sodium citrate buffer (pH6, epitope retrieval solution 1) for 20 mins. The section was then incubated with ab28947, 0.1μg/ml, for 15 mins at room temperature and detected using an HRP conjugated compact polymer system. DAB was used as the chromogen. The section was then counterstained with haematoxylin and mounted with DPX.

For other IHC staining systems (automated and non-automated) customers should optimize variable parameters such as antigen retrieval conditions, primary antibody concentration and antibody incubation times.

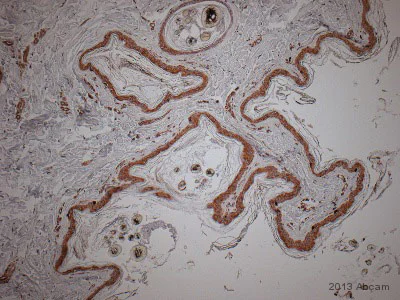
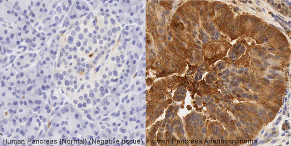
Immunohistochemistry (Formalin/PFA-fixed paraffin-embedded sections) - Anti-NQO1 antibody [A180] (AB28947)
  • IHC-P

Lab

Immunohistochemistry (Formalin/PFA-fixed paraffin-embedded sections) - Anti-NQO1 antibody [A180] (AB28947)

IHC image of NQO1 staining in sections of formalin fixed paraffin embedded normal human pancreas* (left) and human pancreas adenocarcinoma* (right), performed on a Leica BONDTM system using the standard protocol F. The section was pre-treated using heat mediated antigen retrieval with sodium citrate buffer (pH6, epitope retrieval solution 1) for 20 mins. The section was then incubated with ab28947, 0.1μg/ml, for 15 mins at room temperature and detected using an HRP conjugated compact polymer system. DAB was used as the chromogen. The section was then counterstained with haematoxylin and mounted with DPX.

For other IHC staining systems (automated and non-automated) customers should optimize variable parameters such as antigen retrieval conditions, primary antibody concentration and antibody incubation times.

*Tissue obtained from the Human Research Tissue Bank, supported by the NIHR Cambridge Biomedical Research Centre

Immunohistochemistry (Formalin/PFA-fixed paraffin-embedded sections) - Anti-NQO1 antibody [A180] (AB28947)
  • IHC-P

AbReview34099****

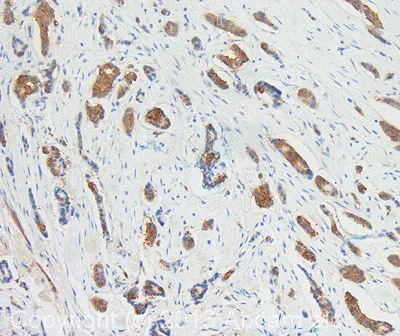
Immunohistochemistry (Formalin/PFA-fixed paraffin-embedded sections) - Anti-NQO1 antibody [A180] (AB28947)

Immunohistochemical analysis of dog skin tissue, staining NQO1 with ab28947.

Tissue was fixed with formaldehyde and antigen retrieval was by heat mediation in a citrate buffer (pH 6). Samples were incubated with primary antibody (1/175 in BSA in TBS) for 45 minutes. ab98784 rabbit polyclonal to anti-mouse HRP (IgG) (1/500) was used as the secondary antibody.

This image is courtesy of an anonymous Abreview

Western blot - Anti-NQO1 antibody [A180] (AB28947)
  • WB

Unknown

Western blot - Anti-NQO1 antibody [A180] (AB28947)

Lane 1:

Marker

Lane 2:

Western blot - Anti-NQO1 antibody [A180] (ab28947) at 1 µg/mL

All lanes:

Kidney (Human) Tissue Lysate (<a href='/en-us/products/unavailable/kidney-human-tissue-lysate-ab7920'>ab7920</a>) at 20 µg

Secondary

All lanes:

IRDye 680 Conjugated Goat Anti-Mouse IgG (H+L) at 1/10000 dilution

Predicted band size: 31 kDa

Observed band size: 30 kDa

false

Western blot - Anti-NQO1 antibody [A180] (AB28947)
  • WB

Lab

Western blot - Anti-NQO1 antibody [A180] (AB28947)

Lane 1 : Wild-type HAP1 whole cell lysate (20 μg)
Lane 2 : NQO1 knockout HAP1 whole cell lysate (20 μg)
Lane 3 : HepG2 whole cell lysate (20 μg)

Lanes 1 - 3 : Merged signal (red and green). Green - ab28947 observed at 31 kDa. Red - loading control, ab176560, observed at 50 kDa.

ab28947 was shown to specifically react with NQO1 in wild-type HAP1 cells as signal was lost in NQO1 knockout cells. Wild-type and NQO1 knockout samples were subjected to SDS-PAGE. ab28947 and ab176560 (Rabbit anti-alpha Tubulin loading control) were incubated overnight at 4°C at 1 μg/ml and 1/20000 dilution respectively. Blots were developed with Goat anti-Mouse IgG H&L (IRDye® 800CW) preabsorbed ab216772 and Goat anti-Rabbit IgG H&L (IRDye® 680RD) preabsorbed ab216777 secondary antibodies at 1/20000 dilution for 1 hour at room temperature before imaging.

All lanes:

Western blot - Anti-NQO1 antibody [A180] (ab28947)

Predicted band size: 31 kDa

false

Sandwich ELISA - Anti-NQO1 antibody [A180] (AB28947)
  • sELISA

Unknown

Sandwich ELISA - Anti-NQO1 antibody [A180] (AB28947)

Sandwich ELISA for the detection of NQO1, using ab28947 (1/500) as the capture antibody and ab34173 (1/1000) for the detection.

Sandwich ELISA - Anti-NQO1 antibody [A180] (AB28947)
  • sELISA

AbReview13470****

Sandwich ELISA - Anti-NQO1 antibody [A180] (AB28947)

Sandwich ELISA for the detection of NQO1. ab28947 (1/500) was used as the capture antibody. A rabbit polyclonal raised againts the C-terminal end of NQO1 was used for the detection. Please refer to abreview for further experimental details.

This image is courtesy of an anonymous Abreview

  • HRP

    HRP Anti-NQO1 antibody [A180]

  • Carrier free

    Anti-NQO1 antibody [A180] - BSA and Azide free

Key facts

Host species

Mouse

Clonality

Monoclonal

Clone number

A180

Isotype

IgG1

Carrier free

No

Reacts with

Human

Applications

ICC/IF, sELISA, Flow Cyt (Intra), WB, IHC-P

applications

Immunogen

The exact immunogen used to generate this antibody is proprietary information.

Reactivity data

{ "title": "Reactivity Data", "filters": { "stats": ["", "Species", "Dilution Info", "Notes"], "tabs": { "all-applications": {"fullname" : "All Applications", "shortname": "All Applications"}, "ICCIF" : {"fullname" : "Immunocytochemistry/ Immunofluorescence", "shortname":"ICC/IF"}, "FlowCytIntra" : {"fullname" : "Flow Cytometry (Intracellular)", "shortname":"Flow Cyt (Intra)"}, "WB" : {"fullname" : "Western blot", "shortname":"WB"}, "sELISA" : {"fullname" : "Sandwich ELISA", "shortname":"sELISA"}, "IHCP" : {"fullname" : "Immunohistochemistry (Formalin/PFA-fixed paraffin-embedded sections)", "shortname":"IHC-P"} }, "product-promise": { "all": "all", "testedAndGuaranteed": "tested", "guaranteed": "expected", "predicted": "predicted", "notRecommended": "not-recommended" } }, "values": { "Human": { "ICCIF-species-checked": "testedAndGuaranteed", "ICCIF-species-dilution-info": "5 µg/mL", "ICCIF-species-notes": "<p></p>", "FlowCytIntra-species-checked": "testedAndGuaranteed", "FlowCytIntra-species-dilution-info": "1 µg for 10^6 Cells", "FlowCytIntra-species-notes": "<p><a href='/en-us/products/primary-antibodies/mouse-igg1-kappa-monoclonal-15-6e10a7-isotype-control-ab170190'>ab170190</a> - Mouse monoclonal IgG1, is suitable for use as an isotype control with this antibody.</p>", "WB-species-checked": "testedAndGuaranteed", "WB-species-dilution-info": "1 µg/mL", "WB-species-notes": "<p></p>", "sELISA-species-checked": "guaranteed", "sELISA-species-dilution-info": "", "sELISA-species-notes": "", "IHCP-species-checked": "testedAndGuaranteed", "IHCP-species-dilution-info": "", "IHCP-species-notes": "<p></p>" }, "Mouse": { "ICCIF-species-checked": "predicted", "ICCIF-species-dilution-info": "", "ICCIF-species-notes": "", "FlowCytIntra-species-checked": "predicted", "FlowCytIntra-species-dilution-info": "", "FlowCytIntra-species-notes": "", "WB-species-checked": "predicted", "WB-species-dilution-info": "", "WB-species-notes": "", "sELISA-species-checked": "predicted", "sELISA-species-dilution-info": "", "sELISA-species-notes": "", "IHCP-species-checked": "predicted", "IHCP-species-dilution-info": "", "IHCP-species-notes": "" }, "Rat": { "ICCIF-species-checked": "predicted", "ICCIF-species-dilution-info": "", "ICCIF-species-notes": "", "FlowCytIntra-species-checked": "predicted", "FlowCytIntra-species-dilution-info": "", "FlowCytIntra-species-notes": "", "WB-species-checked": "predicted", "WB-species-dilution-info": "", "WB-species-notes": "", "sELISA-species-checked": "predicted", "sELISA-species-dilution-info": "", "sELISA-species-notes": "", "IHCP-species-checked": "predicted", "IHCP-species-dilution-info": "", "IHCP-species-notes": "" }, "Dog": { "ICCIF-species-checked": "predicted", "ICCIF-species-dilution-info": "", "ICCIF-species-notes": "", "FlowCytIntra-species-checked": "predicted", "FlowCytIntra-species-dilution-info": "", "FlowCytIntra-species-notes": "", "WB-species-checked": "predicted", "WB-species-dilution-info": "", "WB-species-notes": "", "sELISA-species-checked": "predicted", "sELISA-species-dilution-info": "", "sELISA-species-notes": "", "IHCP-species-checked": "predicted", "IHCP-species-dilution-info": "", "IHCP-species-notes": "" }, "Monkey": { "ICCIF-species-checked": "predicted", "ICCIF-species-dilution-info": "", "ICCIF-species-notes": "", "FlowCytIntra-species-checked": "predicted", "FlowCytIntra-species-dilution-info": "", "FlowCytIntra-species-notes": "", "WB-species-checked": "predicted", "WB-species-dilution-info": "", "WB-species-notes": "", "sELISA-species-checked": "predicted", "sELISA-species-dilution-info": "", "sELISA-species-notes": "", "IHCP-species-checked": "predicted", "IHCP-species-dilution-info": "", "IHCP-species-notes": "" }, "Recombinant full length protein": { "ICCIF-species-checked": "notRecommended", "ICCIF-species-dilution-info": "", "ICCIF-species-notes": "", "FlowCytIntra-species-checked": "notRecommended", "FlowCytIntra-species-dilution-info": "", "FlowCytIntra-species-notes": "", "WB-species-checked": "notRecommended", "WB-species-dilution-info": "", "WB-species-notes": "", "sELISA-species-checked": "testedAndGuaranteed", "sELISA-species-dilution-info": "1/500", "sELISA-species-notes": "<p>Can be used as capture antibody in conjunction with <a href='/en-us/products/primary-antibodies/nqo1-antibody-ab34173'>ab34173</a> as detection antibody.</p>", "IHCP-species-checked": "notRecommended", "IHCP-species-dilution-info": "", "IHCP-species-notes": "" } } }

Product details

Want a custom formulation?
This antibody clone is manufactured by Abcam. If you require a custom buffer formulation or conjugation for your experiments, please contact orders@abcam.com

Properties and storage information

Form
Liquid
Purification technique
Affinity purification
Storage buffer
pH: 7.4 Preservative: 0.02% Sodium azide Constituents: PBS
Shipped at conditions
Blue Ice
Appropriate short-term storage conditions
+4°C
Appropriate long-term storage conditions
-20°C
Aliquoting information
Upon delivery aliquot
Storage information
Avoid freeze / thaw cycle

Supplementary information

This supplementary information is collated from multiple sources and compiled automatically.

NQO1 also known as NAD(P)H:quinone oxidoreductase 1 is a cytosolic enzyme involved in two-electron reduction processes. This protein plays a role in detoxification transforming quinones into less reactive and harmful hydroquinones. NQO1 has a molecular weight of approximately 31 kDa and is present in various tissues with high expression in the liver and lungs. Sometimes called DT-diaphorase it contributes to antioxidant protection within cells and assists in the stabilization of other proteins such as p53.
Biological function summary

NQO1 serves a protective function against oxidative stress by reducing quinones and preventing redox cycling that generates reactive oxygen species. Part of a critical network its function integrates with the cellular defense mechanism assisting in maintaining cellular homeostasis. NQO1 helps metabolize xenobiotics and is associated with phase II detoxification working alongside enzymes like glutathione S-transferases but is not part of a complex.

Pathways

NQO1 is an important component of the antioxidant defense pathway participating in the direct enzymatic reduction of quinones protecting cells from oxidative damage. It also interfaces with the KEAP1-NRF2 pathway where the NQO1 gene is regulated by the NRF2 transcription factor that upregulates its expression in response to oxidative stress. NQO1 interlinks with proteins such as p53 through pathways related to apoptotic regulation and cellular stress responses.

Mutations or altered expression of NQO1 have correlations with cancer development and progression notably in liver and lung cancers. This protein's stability influences cancer cell survival particularly under oxidative stress or chemotherapeutic treatments. NQO1 also exhibits links to Alzheimer's disease where its potential role in neuroprotection against oxidative damage draws investigation relating it to proteins like tau and amyloid-beta.

Product protocols

For this product, it's our understanding that no specific protocols are required. You can visit:

Target data

Flavin-containing quinone reductase that catalyzes two-electron reduction of quinones to hydroquinones using either NADH or NADPH as electron donors. In a ping-pong kinetic mechanism, the electrons are sequentially transferred from NAD(P)H to flavin cofactor and then from reduced flavin to the quinone, bypassing the formation of semiquinone and reactive oxygen species (By similarity) (PubMed : 8999809, PubMed : 9271353). Regulates cellular redox state primarily through quinone detoxification. Reduces components of plasma membrane redox system such as coenzyme Q and vitamin quinones, producing antioxidant hydroquinone forms. In the process may function as superoxide scavenger to prevent hydroquinone oxidation and facilitate excretion (PubMed : 15102952, PubMed : 8999809, PubMed : 9271353). Alternatively, can activate quinones and their derivatives by generating redox reactive hydroquinones with DNA cross-linking antitumor potential (PubMed : 8999809). Acts as a gatekeeper of the core 20S proteasome known to degrade proteins with unstructured regions. Upon oxidative stress, interacts with tumor suppressors TP53 and TP73 in a NADH-dependent way and inhibits their ubiquitin-independent degradation by the 20S proteasome (PubMed : 15687255, PubMed : 28291250).
See full target information NQO1

Publications (163)

Recent publications for all applications. Explore the full list and refine your search

Antioxidants (Basel, Switzerland) 14: PubMed40867892

2025

The Mechanism of PMC (2,2,5,7,8-Pentamethyl-6-chromanol), a Sterically Hindered Phenol Antioxidant, in Rescuing Oxidized Low-Density-Lipoprotein-Induced Cytotoxicity in Human Retinal Pigment Epithelial Cells.

Applications

Unspecified application

Species

Unspecified reactive species

Suman Chaudhary,Jean Moon,Zhengping Hu,Emil Kriukov,Sergio Pestun,Petr Y Baranov,Yin-Shan Eric Ng,Patricia A D'Amore

Antioxidants (Basel, Switzerland) 14: PubMed40722980

2025

A High-Fat Diet Induces Oxidative Stress in OPA1 Mouse Cortices: A Critical Double Challenge.

Applications

Unspecified application

Species

Unspecified reactive species

Camille Champigny,Marlène Botella,Djamaa Atamena,Sébastien Bullich,Corentin Coustham,Bruno Guiard,Pascale Belenguer,Noélie Davezac

Chemical biology & drug design 105:e70104 PubMed40490908

2025

Erianin Protects Human Umbilical Vein Endothelial Cells From Oxidized Low-Density Lipoprotein-Induced Apoptosis and Oxidative Stress Through Activation of Nuclear Factor E2-Related Factor 2 Signaling.

Applications

Unspecified application

Species

Unspecified reactive species

Zhaowei Wang,Linru Wang,Yuanyuan Wang,Juanzi Zhang

Dose-response : a publication of International Hormesis Society 23:15593258251341593 PubMed40395975

2025

Nrf2 Deficiency Brings About Increased Sensitive to IR and 7,12-dimethylbenz(a)anthracene and Leukemia Predisposition.

Applications

Unspecified application

Species

Unspecified reactive species

Mingxin Dong,Ping Yang,Xinyu Zhang,Shasha Nie,Xiaohui Sun

Journal of inflammation research 18:723-735 PubMed39845023

2025

A Proteomic Study Based on Home Quarantine Model Identifies NQO1 and Inflammation Pathways Involved in Adenoid Hypertrophy.

Applications

Unspecified application

Species

Unspecified reactive species

Penghui Chen,Shule Hou,Xiuhong Pang,Lei Li,Wei Wei

Heliyon 10:e38977 PubMed39512321

2024

Effects of overexpression via the NRF2 / HO1 / NQO1 pathway on oral cancer cells proliferation, migration, and apoptosis.

Applications

Unspecified application

Species

Unspecified reactive species

Xiaofei Yu,Jing Deng,Hui Zhang,Junjie Tong,Chunyan Wan,Yao Liu,Zheng Sun,Zhengyi Shan,Pei Sun

Redox biology 77:103406 PubMed39454290

2024

Isoliquiritigenin alleviates cerebral ischemia-reperfusion injury by reducing oxidative stress and ameliorating mitochondrial dysfunction via activating the Nrf2 pathway.

Applications

Unspecified application

Species

Unspecified reactive species

Xiaobing Lan,Qing Wang,Yue Liu,Qing You,Wei Wei,Chunhao Zhu,Dongmei Hai,Zhenyu Cai,Jianqiang Yu,Jian Zhang,Ning Liu

Phytotherapy research : PTR 38:5441-5457 PubMed39289784

2024

Geniposidic Acid Attenuates Chronic Tubulointerstitial Nephropathy Through Regulation of the NF-ƙB/Nrf2 Pathway Via Aryl Hydrocarbon Receptor Signaling.

Applications

Unspecified application

Species

Unspecified reactive species

Yan-Ni Wang,Xiao-Jun Li,Wen-Feng Wang,Liang Zou,Hua Miao,Ying-Yong Zhao

Antioxidants (Basel, Switzerland) 13: PubMed39199268

2024

Avicularin Attenuated Lead-Induced Ferroptosis, Neuroinflammation, and Memory Impairment in Mice.

Applications

Unspecified application

Species

Unspecified reactive species

Jun-Tao Guo,Chao Cheng,Jia-Xue Shi,Wen-Ting Zhang,Han Sun,Chan-Min Liu

Advances in clinical and experimental medicine : official organ Wroclaw Medical University 34:101-111 PubMed38530320

2024

Penehyclidine hydrochloride alleviates LPS-induced inflammatory responses and oxidative stress via ROS/Nrf2/HO-1 activation in RAW264.7 cells.

Applications

Unspecified application

Species

Unspecified reactive species

Qiongmei Guo,Chunyan Zhang,Jingui Gao,Wenjing Shi,Xiaozhi Liu
View all publications

Product promise

We are committed to supporting your work with high-quality reagents, and we're here for you every step of the way. In the unlikely event that one of our products does not perform as expected, you're protected by our Product Promise.
For full details, please see our Terms & Conditions

Please note: All products are 'FOR RESEARCH USE ONLY. NOT FOR USE IN DIAGNOSTIC OR THERAPEUTIC PROCEDURES'.

For licensing inquiries, please contact partnerships@abcam.com