JavaScript is disabled in your browser. Please enable JavaScript to view this website.
AB251220

Anti-NR0B1 / Dax1 antibody [EP13786] - BSA and Azide free

Be the first to review this product! Submit a review

|

(1 Publication)

Rabbit Recombinant Monoclonal NR0B1 / Dax1 antibody. Carrier free. Suitable for ICC/IF, WB, Flow Cyt (Intra), IHC-P and reacts with Human samples. Cited in 1 publication.

View Alternative Names

AHC, DAX1, NR0B1, Nuclear receptor subfamily 0 group B member 1, DSS-AHC critical region on the X chromosome protein 1, Nuclear receptor DAX-1

5 Images
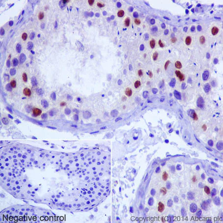
Immunohistochemistry (Formalin/PFA-fixed paraffin-embedded sections) - Anti-NR0B1 / Dax1 antibody [EP13786] - BSA and Azide free (AB251220)
  • IHC-P

Supplier Data

Immunohistochemistry (Formalin/PFA-fixed paraffin-embedded sections) - Anti-NR0B1 / Dax1 antibody [EP13786] - BSA and Azide free (AB251220)

This data was developed using ab196649, the same antibody clone in a different buffer formulation.

Immunohistochemical analysis of paraffin-embedded Human testis tissue labeling NR0B1 / Dax1 with ab196649 at 1/1000 dilution followed by Goat Anti-Rabbit IgG H&L (HRP) (ab97051) at 1/500 dilution and counter-stained with Hematoxylin. (inset : negative control).

Note : Nuclear staining on human testis tissue was observed.

Perform heat mediated antigen retrieval with Tris/EDTA buffer pH 9.0 before commencing with IHC staining protocol.

Flow Cytometry (Intracellular) - Anti-NR0B1 / Dax1 antibody [EP13786] - BSA and Azide free (AB251220)
  • Flow Cyt (Intra)

Lab

Flow Cytometry (Intracellular) - Anti-NR0B1 / Dax1 antibody [EP13786] - BSA and Azide free (AB251220)

This data was developed using ab196649, the same antibody clone in a different buffer formulation.

Intracellular Flow Cytometry analysis of A431 (human epidermoid carcinoma) cells labeling NR0B1 / Dax1 with purified ab196649 at 1/150 dilution (10ug/ml) (red). Cells were fixed with 4% paraformaldehyde and permeabilised with 90% methanol. A Goat anti rabbit IgG (Alexa Fluor® 488) (ab150077) (1/2000 dilution) was used as the secondary antibody. Rabbit monoclonal IgG (Black) (ab172730) was used as the isotype control, Cell without incubation with primary antibody and secondary antibody (Blue) were used as the unlabeled control.

Immunocytochemistry/ Immunofluorescence - Anti-NR0B1 / Dax1 antibody [EP13786] - BSA and Azide free (AB251220)
  • ICC/IF

Supplier Data

Immunocytochemistry/ Immunofluorescence - Anti-NR0B1 / Dax1 antibody [EP13786] - BSA and Azide free (AB251220)

This data was developed using ab196649, the same antibody clone in a different buffer formulation.

Immunofluorescent analysis of SH-SY5Y cells (4% Paraformaldehyde-fixed, 0.1% tritonX-100 permeabilized) labeling NR0B1 / Dax1 with ab196649 at 1/300 dilution followed by Goat anti rabbit IgG (AlexaFluor® 488) (ab150077) secondary at 1/400 dilution and counter-stained with DAPI (blue).

Note : Nuclear and cytoplasm staining on SH-SY5Y cell line was observed.

Western blot - Anti-NR0B1 / Dax1 antibody [EP13786] - BSA and Azide free (AB251220)
  • WB

Supplier Data

Western blot - Anti-NR0B1 / Dax1 antibody [EP13786] - BSA and Azide free (AB251220)

This data was developed using ab196649, the same antibody clone in a different buffer formulation.

All lanes:

Western blot - Anti-NR0B1 / Dax1 antibody [EP13786] - N-terminal (<a href='/en-us/products/primary-antibodies/nr0b1-dax1-antibody-ep13786-n-terminal-ab196649'>ab196649</a>) at 1/1000 dilution

All lanes:

A431 cell lysate at 20 µg

Secondary

All lanes:

Goat Anti-Rabbit IgG, (H+L), Peroxidase conjugate at 1/1000 dilution

Predicted band size: 52 kDa

false

Western blot - Anti-NR0B1 / Dax1 antibody [EP13786] - BSA and Azide free (AB251220)
  • WB

Supplier Data

Western blot - Anti-NR0B1 / Dax1 antibody [EP13786] - BSA and Azide free (AB251220)

This data was developed using ab196649, the same antibody clone in a different buffer formulation.

All lanes:

Western blot - Anti-NR0B1 / Dax1 antibody [EP13786] - N-terminal (<a href='/en-us/products/primary-antibodies/nr0b1-dax1-antibody-ep13786-n-terminal-ab196649'>ab196649</a>) at 1/1000 dilution

All lanes:

Human testis lysate at 10 µg

Secondary

All lanes:

Anti-Rabbit IgG (HRP), specific to the non-reduced form of IgG at 1/1000 dilution

Predicted band size: 52 kDa

false

  • Unconjugated

    Anti-NR0B1 / Dax1 antibody [EP13786] - N-terminal

Key facts

Host species

Rabbit

Clonality

Monoclonal

Clone number

EP13786

Isotype

IgG

Carrier free

Yes

Reacts with

Human

Applications

WB, IHC-P, ICC/IF, Flow Cyt (Intra)

applications

Immunogen

The exact immunogen used to generate this antibody is proprietary information.

Reactivity data

{ "title": "Reactivity Data", "filters": { "stats": ["", "Species", "Dilution Info", "Notes"], "tabs": { "all-applications": {"fullname" : "All Applications", "shortname": "All Applications"}, "ICCIF" : {"fullname" : "Immunocytochemistry/ Immunofluorescence", "shortname":"ICC/IF"}, "WB" : {"fullname" : "Western blot", "shortname":"WB"}, "FlowCytIntra" : {"fullname" : "Flow Cytometry (Intracellular)", "shortname":"Flow Cyt (Intra)"}, "IHCP" : {"fullname" : "Immunohistochemistry (Formalin/PFA-fixed paraffin-embedded sections)", "shortname":"IHC-P"} }, "product-promise": { "all": "all", "testedAndGuaranteed": "tested", "guaranteed": "expected", "predicted": "predicted", "notRecommended": "not-recommended" } }, "values": { "Human": { "ICCIF-species-checked": "testedAndGuaranteed", "ICCIF-species-dilution-info": "", "ICCIF-species-notes": "<p></p>", "WB-species-checked": "testedAndGuaranteed", "WB-species-dilution-info": "", "WB-species-notes": "<p></p>", "FlowCytIntra-species-checked": "testedAndGuaranteed", "FlowCytIntra-species-dilution-info": "", "FlowCytIntra-species-notes": "<p></p>", "IHCP-species-checked": "testedAndGuaranteed", "IHCP-species-dilution-info": "", "IHCP-species-notes": "<p></p>" } } }

Product details

ab251220 is the carrier-free version of ab196649.

Patented technology
Our RabMAb® technology is a patented hybridoma-based technology for making rabbit monoclonal antibodies. For details on our patents, please refer to RabMAb® patents.

What are the advantages of a recombinant monoclonal antibody?
This product is a recombinant monoclonal antibody, which offers several advantages including:

  • - High batch-to-batch consistency and reproducibility
  • - Improved sensitivity and specificity
  • - Long-term security of supply
  • - Animal-free batch production

For more information, read more on recombinant antibodies.

Conjugation ready
Our carrier-free antibodies are typically supplied in a PBS-only formulation, purified and free of BSA, sodium azide and glycerol. This conjugation-ready format is designed for use with fluorochromes, metal isotopes, oligonucleotides, and enzymes, which makes them ideal for antibody labelling, functional and cell-based assays, flow-based assays (e.g. mass cytometry) and Multiplex Imaging applications.

Use our conjugation kits for antibody conjugates that are ready-to-use in as little as 20 minutes with 1 minute hands-on-time and 100% antibody recovery: available for fluorescent dyes, HRP, biotin and gold.

Compatibility
This product is compatible with the Maxpar® Antibody Labeling Kit from Fluidigm, without the need for antibody preparation. Maxpar® is a trademark of Fluidigm Canada Inc.

Properties and storage information

Form
Liquid
Storage buffer
pH: 7.2 - 7.4 Constituents: PBS
Shipped at conditions
Blue Ice
Appropriate short-term storage conditions
+4°C
Appropriate long-term storage conditions
+4°C
Storage information
Do Not Freeze

Supplementary information

This supplementary information is collated from multiple sources and compiled automatically.

NR0B1 also known as Dax1 is a nuclear receptor protein that acts as a transcriptional regulator. It has an approximate mass of 51 kDa and plays an important role in modulating gene expression. This protein is highly expressed in tissues such as the adrenal gland hypothalamus testis and ovary where it exerts its regulatory functions. Although NR0B1 lacks a classical DNA-binding domain it interacts with other proteins to conduct its mechanical functions.
Biological function summary

NR0B1 interacts with other nuclear receptors and transcription factors to regulate steroidogenesis and reproductive development. It plays a critical role in maintaining the balance of transcriptional activity within these systems. NR0B1 functions as a corepressor and participates in protein complexes modulating the activity of specific gene targets. Its biological activities ensure proper development and differentiation of sex-specific organs.

Pathways

NR0B1 is actively involved in the steroid hormone biosynthesis and Wnt signaling pathways. In these pathways NR0B1 influences various downstream processes by interacting with proteins such as SF1 and Wnt components. NR0B1 helps coordinate the activities of other transcriptional regulators effectively integrating signals within the pathway to control cellular outcomes.

NR0B1 mutations or dysfunctions can cause conditions such as congenital adrenal hypoplasia and hypogonadotropic hypogonadism. Altered NR0B1 activity interferes with normal adrenal gland and reproductive system development. Its interaction with proteins like SF1 further connects it to pathologies in these systems. Understanding NR0B1's role in these diseases can help develop targeted therapies to address the underlying genetic or functional disruptions.

Product protocols

For this product, it's our understanding that no specific protocols are required. You can visit:

Target data

Orphan nuclear receptor. Component of a cascade required for the development of the hypothalamic-pituitary-adrenal-gonadal axis. Acts as a coregulatory protein that inhibits the transcriptional activity of other nuclear receptors through heterodimeric interactions. May also have a role in the development of the embryo and in the maintenance of embryonic stem cell pluripotency (By similarity).
See full target information NR0B1

Publications (1)

Recent publications for all applications. Explore the full list and refine your search

Journal of cellular and molecular medicine 25:3361-3370 PubMed33682317

2021

TNFAIP8 regulates gastric cancer growth via mTOR-Akt-ULK1 pathway and autophagy signals.

Applications

Unspecified application

Species

Unspecified reactive species

Zheng Chen,Jianguo Zhang,Chenyang Dong,Dongsheng Li,Yuehan Yin,Wenhai Yu,Yuezhi Chen
View all publications

Product promise

We are committed to supporting your work with high-quality reagents, and we're here for you every step of the way. In the unlikely event that one of our products does not perform as expected, you're protected by our Product Promise.
For full details, please see our Terms & Conditions

Please note: All products are 'FOR RESEARCH USE ONLY. NOT FOR USE IN DIAGNOSTIC OR THERAPEUTIC PROCEDURES'.

For licensing inquiries, please contact partnerships@abcam.com