JavaScript is disabled in your browser. Please enable JavaScript to view this website.
AB196649

Anti-NR0B1 / Dax1 antibody [EP13786] - N-terminal

2

(3 Reviews)

|

(4 Publications)

Rabbit Recombinant Monoclonal NR0B1 / Dax1 antibody. N-terminal. Suitable for WB, ICC/IF, Flow Cyt (Intra), IHC-P and reacts with Human samples. Cited in 4 publications.

View Alternative Names

AHC, DAX1, NR0B1, Nuclear receptor subfamily 0 group B member 1, DSS-AHC critical region on the X chromosome protein 1, Nuclear receptor DAX-1

6 Images
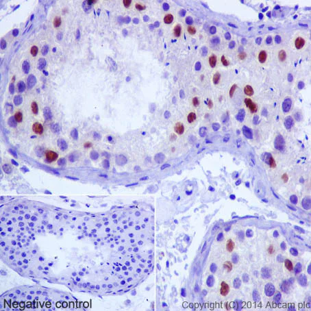
Immunohistochemistry (Formalin/PFA-fixed paraffin-embedded sections) - Anti-NR0B1 / Dax1 antibody [EP13786] - N-terminal (AB196649)
  • IHC-P

Supplier Data

Immunohistochemistry (Formalin/PFA-fixed paraffin-embedded sections) - Anti-NR0B1 / Dax1 antibody [EP13786] - N-terminal (AB196649)

Immunohistochemical analysis of paraffin-embedded Human testis tissue labeling NR0B1 / Dax1 with ab196649 at 1/1000 dilution followed by Goat Anti-Rabbit IgG H&L (HRP) (ab97051) at 1/500 dilution and counter-stained with Hematoxylin. (inset : negative control).

Note : Nuclear staining on human testis tissue was observed.

Perform heat mediated antigen retrieval with Tris/EDTA buffer pH 9.0 before commencing with IHC staining protocol.

Flow Cytometry (Intracellular) - Anti-NR0B1 / Dax1 antibody [EP13786] - N-terminal (AB196649)
  • Flow Cyt (Intra)

Lab

Flow Cytometry (Intracellular) - Anti-NR0B1 / Dax1 antibody [EP13786] - N-terminal (AB196649)

Intracellular Flow Cytometry analysis of A431 (human epidermoid carcinoma) cells labeling NR0B1 / Dax1 with purified ab196649 at 1/150 dilution (10ug/ml) (red). Cells were fixed with 4% paraformaldehyde and permeabilised with 90% methanol. A Goat anti rabbit IgG (Alexa Fluorr® 488) (ab150077) (1/2000 dilution) was used as the secondary antibody. Rabbit monoclonal IgG (Black) (ab172730) was used as the isotype control, Cell without incubation with primary antibody and secondary antibody (Blue) were used as the unlabeled control.

Immunocytochemistry/ Immunofluorescence - Anti-NR0B1 / Dax1 antibody [EP13786] - N-terminal (AB196649)
  • ICC/IF

Supplier Data

Immunocytochemistry/ Immunofluorescence - Anti-NR0B1 / Dax1 antibody [EP13786] - N-terminal (AB196649)

Immunofluorescent analysis of SH-SY5Y cells (4% Paraformaldehyde-fixed 0.1% tritonX-100 permeabilized) labeling NR0B1 / Dax1 with ab196649 at 1/300 dilution followed by Goat anti rabbit IgG (AlexaFluor® 488) (ab150077) secondary at 1/400 dilution and counter-stained with DAPI (blue).

Note : Nuclear and cytoplasm staining on SH-SY5Y cell line was observed.

Western blot - Anti-NR0B1 / Dax1 antibody [EP13786] - N-terminal (AB196649)
  • WB

Lab

Western blot - Anti-NR0B1 / Dax1 antibody [EP13786] - N-terminal (AB196649)

This blot was produced using 4-20% SDS-PAGE containing 15 μg of A673 whole cell lysate per lane at 150V for 1hr before being transferred onto a 0.45 μm PVDF membrane at 75V for 1hr. The membrane was then blocked for 1hr using 5% NFDM/TBST, then incubated with ab196649 (1/2000) at room temperature for 1hr. After being washed three times in TBST, the membrane was incubated with Peroxidase conjugated goat anti-rabbit IgG (H+L) (ab97051) at 1/20,000 dilution for 1hr at room temperature. The membrane was washed three times again. Then the signal was developed using the ECL technique. ab196649 was stored at a range of temperatures (+4°C, +22°C, +37°C) for 1 week before being tested in WB. The image shows the band intensity remains relatively constant across all storage temperatures, demonstrating that antibody activity is not affected.

All lanes:

Western blot - Anti-NR0B1 / Dax1 antibody [EP13786] - N-terminal (ab196649) at 1/2000 dilution

All lanes:

A673 whole cell lysate at 15 µg with NDFM/TBST

Secondary

All lanes:

Western blot - Goat Anti-Rabbit IgG H&L (HRP) (<a href='/en-us/products/secondary-antibodies/goat-rabbit-igg-h-l-hrp-ab97051'>ab97051</a>) at 1/20000 dilution

false

Exposure time: 7s

Western blot - Anti-NR0B1 / Dax1 antibody [EP13786] - N-terminal (AB196649)
  • WB

Supplier Data

Western blot - Anti-NR0B1 / Dax1 antibody [EP13786] - N-terminal (AB196649)

All lanes:

Western blot - Anti-NR0B1 / Dax1 antibody [EP13786] - N-terminal (ab196649) at 1/1000 dilution

All lanes:

A431 cell lysate at 20 µg

Secondary

All lanes:

Goat Anti-Rabbit IgG, (H+L), Peroxidase conjugate at 1/1000 dilution

Predicted band size: 52 kDa

false

Western blot - Anti-NR0B1 / Dax1 antibody [EP13786] - N-terminal (AB196649)
  • WB

Supplier Data

Western blot - Anti-NR0B1 / Dax1 antibody [EP13786] - N-terminal (AB196649)

All lanes:

Western blot - Anti-NR0B1 / Dax1 antibody [EP13786] - N-terminal (ab196649) at 1/1000 dilution

All lanes:

Human testis lysate at 10 µg

Secondary

All lanes:

Anti-Rabbit IgG (HRP), specific to the non-reduced form of IgG at 1/1000 dilution

Predicted band size: 52 kDa

false

  • Carrier free

    Anti-NR0B1 / Dax1 antibody [EP13786] - BSA and Azide free

Key facts

Host species

Rabbit

Clonality

Monoclonal

Clone number

EP13786

Isotype

IgG

Carrier free

No

Reacts with

Human

Applications

IHC-P, ICC/IF, WB, Flow Cyt (Intra)

applications

Immunogen

The exact immunogen used to generate this antibody is proprietary information.

Reactivity data

{ "title": "Reactivity Data", "filters": { "stats": ["", "Species", "Dilution Info", "Notes"], "tabs": { "all-applications": {"fullname" : "All Applications", "shortname": "All Applications"}, "WB" : {"fullname" : "Western blot", "shortname":"WB"}, "ICCIF" : {"fullname" : "Immunocytochemistry/ Immunofluorescence", "shortname":"ICC/IF"}, "FlowCytIntra" : {"fullname" : "Flow Cytometry (Intracellular)", "shortname":"Flow Cyt (Intra)"}, "IHCP" : {"fullname" : "Immunohistochemistry (Formalin/PFA-fixed paraffin-embedded sections)", "shortname":"IHC-P"} }, "product-promise": { "all": "all", "testedAndGuaranteed": "tested", "guaranteed": "expected", "predicted": "predicted", "notRecommended": "not-recommended" } }, "values": { "Human": { "WB-species-checked": "testedAndGuaranteed", "WB-species-dilution-info": "1/1000", "WB-species-notes": "<p></p>", "ICCIF-species-checked": "testedAndGuaranteed", "ICCIF-species-dilution-info": "1/300", "ICCIF-species-notes": "<p></p>", "FlowCytIntra-species-checked": "testedAndGuaranteed", "FlowCytIntra-species-dilution-info": "", "FlowCytIntra-species-notes": "<p></p>", "IHCP-species-checked": "testedAndGuaranteed", "IHCP-species-dilution-info": "1/1000", "IHCP-species-notes": "<p></p> Perform heat-mediated antigen retrieval with Tris/EDTA buffer pH 9.0 before commencing with IHC staining protocol." }, "Mouse": { "WB-species-checked": "notRecommended", "WB-species-dilution-info": "1/1000", "WB-species-notes": "<p></p>", "ICCIF-species-checked": "notRecommended", "ICCIF-species-dilution-info": "", "ICCIF-species-notes": "", "FlowCytIntra-species-checked": "notRecommended", "FlowCytIntra-species-dilution-info": "", "FlowCytIntra-species-notes": "", "IHCP-species-checked": "notRecommended", "IHCP-species-dilution-info": "", "IHCP-species-notes": "" } } }

Product details

Patented technology
Our RabMAb® technology is a patented hybridoma-based technology for making rabbit monoclonal antibodies. For details on our patents, please refer to RabMAb® patents.

What are the advantages of a recombinant monoclonal antibody?
This product is a recombinant monoclonal antibody, which offers several advantages including:

  • - High batch-to-batch consistency and reproducibility
  • - Improved sensitivity and specificity
  • - Long-term security of supply
  • - Animal-free batch production

For more information, read more on recombinant antibodies.

Shipping conditions update: ambient shipping

This product will be delivered at ambient temperature instead of chilled – this is by design. Extensive stability testing confirmed that our products are suitable for shipment under ambient conditions and maintain expected quality.

Why the change?

It’s part of our commitment to more sustainable packaging solutions, with ambient deliveries using eco-friendly materials such as recyclable cardboard instead of polystyrene.

What you need to know

  • Ambient shipments come clearly marked on the delivery note.
  • No ice will be included in ambient shipments, but mixed orders (ambient and cold-chain items) will still arrive with ice packs to protect temperature-sensitive products.
  • Warranty coverage remains fully valid, aligned with our validated shipping method.
  • Please store the product as per the datasheet instructions upon receipt.

Find out more - https://www.abcam.com/en-us/support/shipping-storage-support/ambient-shipping

Properties and storage information

Form
Liquid
Purification technique
Affinity purification Protein A
Storage buffer
pH: 7.2 - 7.4 Preservative: 0.01% Sodium azide Constituents: PBS, 40% Glycerol (glycerin, glycerine), 0.05% BSA
Shipped at conditions
Conditional Ambient
Appropriate short-term storage duration
1-2 weeks
Appropriate short-term storage conditions
+4°C
Appropriate long-term storage conditions
-20°C
Aliquoting information
Upon delivery aliquot
Storage information
Avoid freeze / thaw cycle

Supplementary information

This supplementary information is collated from multiple sources and compiled automatically.

NR0B1 also known as Dax1 is a nuclear receptor protein that acts as a transcriptional regulator. It has an approximate mass of 51 kDa and plays an important role in modulating gene expression. This protein is highly expressed in tissues such as the adrenal gland hypothalamus testis and ovary where it exerts its regulatory functions. Although NR0B1 lacks a classical DNA-binding domain it interacts with other proteins to conduct its mechanical functions.
Biological function summary

NR0B1 interacts with other nuclear receptors and transcription factors to regulate steroidogenesis and reproductive development. It plays a critical role in maintaining the balance of transcriptional activity within these systems. NR0B1 functions as a corepressor and participates in protein complexes modulating the activity of specific gene targets. Its biological activities ensure proper development and differentiation of sex-specific organs.

Pathways

NR0B1 is actively involved in the steroid hormone biosynthesis and Wnt signaling pathways. In these pathways NR0B1 influences various downstream processes by interacting with proteins such as SF1 and Wnt components. NR0B1 helps coordinate the activities of other transcriptional regulators effectively integrating signals within the pathway to control cellular outcomes.

NR0B1 mutations or dysfunctions can cause conditions such as congenital adrenal hypoplasia and hypogonadotropic hypogonadism. Altered NR0B1 activity interferes with normal adrenal gland and reproductive system development. Its interaction with proteins like SF1 further connects it to pathologies in these systems. Understanding NR0B1's role in these diseases can help develop targeted therapies to address the underlying genetic or functional disruptions.

Product protocols

For this product, it's our understanding that no specific protocols are required. You can visit:

Target data

Nuclear receptor that lacks a DNA-binding domain and acts as a corepressor that inhibits the transcriptional activity of other nuclear receptors through heterodimeric interactions (PubMed : 12482977, PubMed : 32433991). Component of a cascade required for the development of the hypothalamic-pituitary-adrenal-gonadal axis (PubMed : 7990953, PubMed : 8675564). May also have a role in the development of the embryo and in the maintenance of embryonic stem cell pluripotency (By similarity).
See full target information NR0B1

Publications (4)

Recent publications for all applications. Explore the full list and refine your search

Chembiochem : a European journal of chemical biology 26:e202401084 PubMed40246689

2025

The Position of Indole Methylation Controls the Structure, DNA Binding, and Cellular Functions of Mithramycin SA-Trp Analogues.

Applications

Unspecified application

Species

Unspecified reactive species

Caixia Hou,Suhas Bhosale,Kazuto Yasuda,Rajesh Yetirajam,Markos Leggas,Jürgen Rohr,Oleg V Tsodikov

Neuropathology and applied neurobiology 47:415-427 PubMed33128255

2020

Gonadotroph tumours with a low SF-1 labelling index are more likely to recur and are associated with enrichment of the PI3K-AKT pathway.

Applications

Unspecified application

Species

Unspecified reactive species

Richard A Hickman,Jeffrey N Bruce,Marc Otten,Alexander G Khandji,Xena E Flowers,Markus Siegelin,Beatriz Lopes,Phyllis L Faust,Pamela U Freda

Molecular cancer therapeutics 19:1183-1196 PubMed32127464

2020

CDK9 Blockade Exploits Context-dependent Transcriptional Changes to Improve Activity and Limit Toxicity of Mithramycin for Ewing Sarcoma.

Applications

Unspecified application

Species

Unspecified reactive species

Guillermo Flores,Joel H Everett,Elissa A Boguslawski,Brandon M Oswald,Zachary B Madaj,Ian Beddows,Sergey Dikalov,Marie Adams,Carleen A Klumpp-Thomas,Susan M Kitchen-Goosen,Scott E Martin,Natasha J Caplen,Lee J Helman,Patrick J Grohar

Frontiers in pharmacology 10:214 PubMed30930776

2019

A Model of Glucocorticoid Receptor Interaction With Coregulators Predicts Transcriptional Regulation of Target Genes.

Applications

WB

Species

Human

Federico Monczor,Antonia Chatzopoulou,Carlos Daniel Zappia,René Houtman,Onno C Meijer,Carlos P Fitzsimons
View all publications

Product promise

We are committed to supporting your work with high-quality reagents, and we're here for you every step of the way. In the unlikely event that one of our products does not perform as expected, you're protected by our Product Promise.
For full details, please see our Terms & Conditions

Please note: All products are 'FOR RESEARCH USE ONLY. NOT FOR USE IN DIAGNOSTIC OR THERAPEUTIC PROCEDURES'.

For licensing inquiries, please contact partnerships@abcam.com