JavaScript is disabled in your browser. Please enable JavaScript to view this website.
AB96605

Anti-NR0B2 antibody

Be the first to review this product! Submit a review

|

(6 Publications)

Rabbit Polyclonal NR0B2 antibody. Suitable for WB, IHC-P and reacts with Human samples. Cited in 6 publications. Immunogen corresponding to Recombinant Fragment Protein within Human NR0B2 aa 50-250.

View Alternative Names

SHP, NR0B2, Nuclear receptor subfamily 0 group B member 2, Orphan nuclear receptor SHP, Small heterodimer partner

2 Images
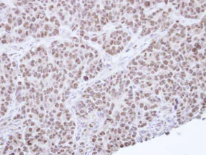
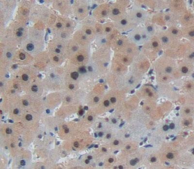
Immunohistochemistry (Formalin/PFA-fixed paraffin-embedded sections) - Anti-NR0B2 antibody (AB96605)
  • IHC-P

Unknown

Immunohistochemistry (Formalin/PFA-fixed paraffin-embedded sections) - Anti-NR0B2 antibody (AB96605)

Immunohistochemical analysis of paraffin-embedded SW480 Xenograft, using ab96605 at 1 : 100 dilution.

Western blot - Anti-NR0B2 antibody (AB96605)
  • WB

Supplier Data

Western blot - Anti-NR0B2 antibody (AB96605)

Samples were separated by 12% SDS-PAGE.

All lanes:

Western blot - Anti-NR0B2 antibody (ab96605) at 1/500 dilution

Lane 1:

Non-transfected (–) 293T whole cell extracts at 30 µg

Lane 2:

hNR0B2 transfected (+) 293T whole cell extracts at 30 µg

Predicted band size: 28 kDa

false

Key facts

Host species

Rabbit

Clonality

Polyclonal

Isotype

IgG

Carrier free

No

Reacts with

Human

Applications

WB, IHC-P

applications

Immunogen

Recombinant Fragment Protein within Human NR0B2 aa 50-250. The exact immunogen used to generate this antibody is proprietary information.

Q15466

Reactivity data

{ "title": "Reactivity Data", "filters": { "stats": ["", "Species", "Dilution Info", "Notes"], "tabs": { "all-applications": {"fullname" : "All Applications", "shortname": "All Applications"}, "WB" : {"fullname" : "Western blot", "shortname":"WB"}, "IHCP" : {"fullname" : "Immunohistochemistry (Formalin/PFA-fixed paraffin-embedded sections)", "shortname":"IHC-P"} }, "product-promise": { "all": "all", "testedAndGuaranteed": "tested", "guaranteed": "expected", "predicted": "predicted", "notRecommended": "not-recommended" } }, "values": { "Human": { "WB-species-checked": "testedAndGuaranteed", "WB-species-dilution-info": "1/500 - 1/3000", "WB-species-notes": "<p></p>", "IHCP-species-checked": "testedAndGuaranteed", "IHCP-species-dilution-info": "1/100 - 1/1000", "IHCP-species-notes": "<p></p>" } } }

Properties and storage information

Form
Liquid
Purification technique
Affinity purification Immunogen
Storage buffer
pH: 7 Preservative: 0.01% Thimerosal (merthiolate) Constituents: 10% Glycerol (glycerin, glycerine), 1.21% Tris, 0.75% Glycine
Shipped at conditions
Blue Ice
Appropriate short-term storage conditions
+4°C
Appropriate long-term storage conditions
-20°C
Aliquoting information
Upon delivery aliquot
Storage information
Avoid freeze / thaw cycle

Supplementary information

This supplementary information is collated from multiple sources and compiled automatically.

NR0B2 also known as small heterodimer partner (SHP) is a nuclear receptor that functions as a transcriptional regulator. It lacks a conventional DNA-binding domain distinguishing it mechanistically from other nuclear receptors. SHP weighs approximately 28 kDa. It is broadly expressed within the liver pancreas spleen and adrenal gland. In these tissues NR0B2 acts by interacting with other transcription factors to repress the transcription of specific target genes influencing various metabolic processes.
Biological function summary

NR0B2 modulates diverse processes such as bile acid synthesis glucose homeostasis and lipid metabolism. It operates alone and does not form part of a complex. Instead it directly interacts with other nuclear receptors and transcription factors including liver receptor homolog-1 (LRH-1) and retinoid X receptor (RXR) to control gene expression linked to metabolism. Through these interactions SHP acts as a vital checkpoint to maintain metabolic stability within the body.

Pathways

NR0B2 is an important regulator in bile acid and gluconeogenesis pathways. Through its interaction with LRH-1 NR0B2 negatively regulates the bile acid synthesis pathway reducing bile acid production when levels are already sufficient. In terms of gluconeogenesis NR0B2 works alongside forkhead box protein O1 (FoxO1) to manage glucose levels in the liver. This control is critical for energy homeostasis responding to the body's nutritional states.

NR0B2 involvement links to metabolic syndromes and non-alcoholic fatty liver disease (NAFLD). Higher or lower levels of NR0B2 influence the development of these conditions by affecting cholesterol and triglyceride storage. SHP's interactions with proteins like peroxisome proliferator-activated receptor gamma (PPARγ) are significant as these can further disrupt lipid metabolism and enhance the risk or severity of these diseases. Understanding NR0B2's role offers pathways for therapeutic interventions focusing on these metabolic disorders.

Product protocols

For this product, it's our understanding that no specific protocols are required. You can visit:

Target data

Transcriptional regulator that acts as a negative regulator of receptor-dependent signaling pathways (By similarity). Specifically inhibits transactivation of the nuclear receptor with which it interacts (By similarity). Inhibits transcriptional activity of NEUROD1 on E-box-containing promoter by interfering with the coactivation function of the p300/CBP-mediated transcription complex for NEUROD1 (PubMed : 14752053). Essential component of the liver circadian clock which via its interaction with NR1D1 and RORG regulates NPAS2-mediated hepatic lipid metabolism (By similarity). Regulates the circadian expression of cytochrome P450 (CYP) enzymes (By similarity). Represses : NR5A2 and HNF4A to down-regulate CYP2C38, NFLI3 to up-regulate CYP2A5, BHLHE41/HNF1A axis to up-regulate CYP1A2, CYP2E1 and CYP3A11, and NR1D1 to up-regulate CYP2B10, CYP4A10 and CYP4A14 (By similarity).
See full target information NR0B2

Publications (6)

Recent publications for all applications. Explore the full list and refine your search

The Journal of biological chemistry 299:104946 PubMed37348559

2023

Transgenic mice lacking FGF15/19-SHP phosphorylation display altered bile acids and gut bacteria, promoting nonalcoholic fatty liver disease.

Applications

Unspecified application

Species

Unspecified reactive species

Young-Chae Kim,Ming Qi,Xingchen Dong,Sunmi Seok,Hao Sun,Byron Kemper,Ting Fu,Jongsook Kim Kemper

Journal of thoracic disease 14:4983-4997 PubMed36647508

2023

Development and validation of a combined metabolism and immune prognostic model in lung adenocarcinoma.

Applications

Unspecified application

Species

Unspecified reactive species

Yu Shi,Shihui Dai,Yu Lei

The EMBO journal 41:e109997 PubMed35686465

2022

Feeding activates FGF15-SHP-TFEB-mediated lipophagy in the gut.

Applications

Unspecified application

Species

Unspecified reactive species

Sunmi Seok,Young-Chae Kim,Yang Zhang,Bo Kong,Grace Guo,Jian Ma,Byron Kemper,Jongsook Kim Kemper

International journal of molecular sciences 22: PubMed34769475

2021

Dietary Nano-ZnO Is Absorbed via Endocytosis and ZIP Pathways, Upregulates Lipogenesis, and Induces Lipotoxicity in the Intestine of Yellow Catfish.

Applications

Unspecified application

Species

Unspecified reactive species

Shu-Wei Chen,Wu-Hong Lv,Kun Wu,Guang-Hui Chen,Fang Chen,Chang-Chun Song,Zhi Luo

The Journal of biological chemistry 293:5956-5974 PubMed29491146

2018

Mice lacking have reduced signs of metabolic syndrome and non-alcoholic fatty liver disease.

Applications

Unspecified application

Species

Unspecified reactive species

Christina Gallo-Ebert,Jamie Francisco,Hsing-Yin Liu,Riley Draper,Kinnari Modi,Michael D Hayward,Beverly K Jones,Olesia Buiakova,Virginia McDonough,Joseph T Nickels

OncoTargets and therapy 9:4867-78 PubMed27540300

2016

Modulation of expression of the nuclear receptor NR0B2 (small heterodimer partner 1) and its impact on proliferation of renal carcinoma cells.

Applications

WB

Species

Human

Katharina Prestin,Maria Olbert,Janine Hussner,Tamara L Isenegger,Daniel G Gliesche,Kerstin Böttcher,Uwe Zimmermann,Henriette E Meyer Zu Schwabedissen
View all publications

Product promise

We are committed to supporting your work with high-quality reagents, and we're here for you every step of the way. In the unlikely event that one of our products does not perform as expected, you're protected by our Product Promise.
For full details, please see our Terms & Conditions

Please note: All products are 'FOR RESEARCH USE ONLY. NOT FOR USE IN DIAGNOSTIC OR THERAPEUTIC PROCEDURES'.

For licensing inquiries, please contact partnerships@abcam.com