JavaScript is disabled in your browser. Please enable JavaScript to view this website.
AB236008

Anti-NR1D1 + NR1D2 / RVR antibody [EPR10376] - BSA and Azide free

Be the first to review this product! Submit a review

|

(1 Publication)

Rabbit Recombinant Monoclonal NR1D1 antibody. Carrier free. Suitable for WB, IHC-P, ICC/IF, Flow Cyt (Intra) and reacts with Human, Mouse, Rat samples. Cited in 1 publication.

View Alternative Names

EAR1, HREV, THRAL, NR1D1, Nuclear receptor subfamily 1 group D member 1, Rev-erbA-alpha, V-erbA-related protein 1, EAR-1

4 Images
Immunohistochemistry (Formalin/PFA-fixed paraffin-embedded sections) - Anti-NR1D1 + NR1D2 / RVR antibody [EPR10376] - BSA and Azide free (AB236008)
  • IHC-P

Supplier Data

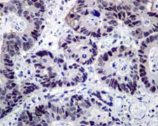
Immunohistochemistry (Formalin/PFA-fixed paraffin-embedded sections) - Anti-NR1D1 + NR1D2 / RVR antibody [EPR10376] - BSA and Azide free (AB236008)

Immunohistochemical analysis of paraffin-embedded human colon carcinoma tissue labeling NR1D1 + RVR with ab174309 at 1/50 dilution.

This data was developed using the same antibody clone in a different buffer formulation containing PBS, BSA, glycerol, and sodium azide (ab174309).

Perform heat mediated antigen retrieval with citrate buffer pH 6 before commencing with IHC staining protocol.

Immunocytochemistry/ Immunofluorescence - Anti-NR1D1 + NR1D2 / RVR antibody [EPR10376] - BSA and Azide free (AB236008)
  • ICC/IF

Supplier Data

Immunocytochemistry/ Immunofluorescence - Anti-NR1D1 + NR1D2 / RVR antibody [EPR10376] - BSA and Azide free (AB236008)

Immunofluorescent analysis of HeLa cells labeling NR1D1 + RVR with ab174309 at 1/100 dilution.

This data was developed using the same antibody clone in a different buffer formulation containing PBS, BSA, glycerol, and sodium azide (ab174309).

Immunohistochemistry (Formalin/PFA-fixed paraffin-embedded sections) - Anti-NR1D1 + NR1D2 / RVR antibody [EPR10376] - BSA and Azide free (AB236008)
  • IHC-P

Supplier Data

Immunohistochemistry (Formalin/PFA-fixed paraffin-embedded sections) - Anti-NR1D1 + NR1D2 / RVR antibody [EPR10376] - BSA and Azide free (AB236008)

Immunohistochemical analysis of paraffin-embedded human uterus tissue labeling NR1D1 + RVR with ab174309 at 1/50 dilution.

This data was developed using the same antibody clone in a different buffer formulation containing PBS, BSA, glycerol, and sodium azide (ab174309).

Perform heat mediated antigen retrieval with citrate buffer pH 6 before commencing with IHC staining protocol.

Flow Cytometry (Intracellular) - Anti-NR1D1 + NR1D2 / RVR antibody [EPR10376] - BSA and Azide free (AB236008)
  • Flow Cyt (Intra)

Lab

Flow Cytometry (Intracellular) - Anti-NR1D1 + NR1D2 / RVR antibody [EPR10376] - BSA and Azide free (AB236008)

Intracellular Flow Cytometry analysis of HeLa (human cervix adenocarcinoma) cells labeling NR1D1 + RVR with ab174309 at 1/20 dilution (10ug/mL) (red). Cells were fixed with 4% paraformaldehyde and permeabilised with 90% methanol. A Goat anti rabbit IgG (Alexa Fluor® 488) (1/2000 dilution) was used as the secondary antibody. Rabbit monoclonal IgG (Black) was used as the isotype control, cells without incubation with primary antibody and secondary antibody (Blue) was used as the unlabeled control.

This data was developed using the same antibody clone in a different buffer formulation containing PBS, BSA, glycerol, and sodium azide (ab174309).

Key facts

Host species

Rabbit

Clonality

Monoclonal

Clone number

EPR10376

Isotype

IgG

Carrier free

Yes

Reacts with

Human

Applications

WB, Flow Cyt (Intra), ICC/IF, IHC-P

applications

Immunogen

The exact immunogen used to generate this antibody is proprietary information.

Reactivity data

{ "title": "Reactivity Data", "filters": { "stats": ["", "Species", "Dilution Info", "Notes"], "tabs": { "all-applications": {"fullname" : "All Applications", "shortname": "All Applications"}, "WB" : {"fullname" : "Western blot", "shortname":"WB"}, "IHCP" : {"fullname" : "Immunohistochemistry (Formalin/PFA-fixed paraffin-embedded sections)", "shortname":"IHC-P"}, "ICCIF" : {"fullname" : "Immunocytochemistry/ Immunofluorescence", "shortname":"ICC/IF"}, "FlowCytIntra" : {"fullname" : "Flow Cytometry (Intracellular)", "shortname":"Flow Cyt (Intra)"} }, "product-promise": { "all": "all", "testedAndGuaranteed": "tested", "guaranteed": "expected", "predicted": "predicted", "notRecommended": "not-recommended" } }, "values": { "Human": { "WB-species-checked": "guaranteed", "WB-species-dilution-info": "", "WB-species-notes": "<p></p>", "IHCP-species-checked": "testedAndGuaranteed", "IHCP-species-dilution-info": "", "IHCP-species-notes": "<p></p>", "ICCIF-species-checked": "testedAndGuaranteed", "ICCIF-species-dilution-info": "", "ICCIF-species-notes": "<p></p>", "FlowCytIntra-species-checked": "testedAndGuaranteed", "FlowCytIntra-species-dilution-info": "", "FlowCytIntra-species-notes": "<p></p>" }, "Mouse": { "WB-species-checked": "guaranteed", "WB-species-dilution-info": "", "WB-species-notes": "<p></p>", "IHCP-species-checked": "predicted", "IHCP-species-dilution-info": "", "IHCP-species-notes": "", "ICCIF-species-checked": "predicted", "ICCIF-species-dilution-info": "", "ICCIF-species-notes": "", "FlowCytIntra-species-checked": "predicted", "FlowCytIntra-species-dilution-info": "", "FlowCytIntra-species-notes": "" }, "Rat": { "WB-species-checked": "guaranteed", "WB-species-dilution-info": "", "WB-species-notes": "<p></p>", "IHCP-species-checked": "predicted", "IHCP-species-dilution-info": "", "IHCP-species-notes": "", "ICCIF-species-checked": "predicted", "ICCIF-species-dilution-info": "", "ICCIF-species-notes": "", "FlowCytIntra-species-checked": "predicted", "FlowCytIntra-species-dilution-info": "", "FlowCytIntra-species-notes": "" } } }

Product details

ab236008 is the carrier-free version of ab174309.

Patented technology
Our RabMAb® technology is a patented hybridoma-based technology for making rabbit monoclonal antibodies. For details on our patents, please refer to RabMAb® patents.

What are the advantages of a recombinant monoclonal antibody?
This product is a recombinant monoclonal antibody, which offers several advantages including:

  • - High batch-to-batch consistency and reproducibility
  • - Improved sensitivity and specificity
  • - Long-term security of supply
  • - Animal-free batch production

For more information, read more on recombinant antibodies.

Conjugation ready
Our carrier-free antibodies are typically supplied in a PBS-only formulation, purified and free of BSA, sodium azide and glycerol. This conjugation-ready format is designed for use with fluorochromes, metal isotopes, oligonucleotides, and enzymes, which makes them ideal for antibody labelling, functional and cell-based assays, flow-based assays (e.g. mass cytometry) and Multiplex Imaging applications.

Use our conjugation kits for antibody conjugates that are ready-to-use in as little as 20 minutes with 1 minute hands-on-time and 100% antibody recovery: available for fluorescent dyes, HRP, biotin and gold.

Compatibility
This product is compatible with the Maxpar® Antibody Labeling Kit from Fluidigm, without the need for antibody preparation. Maxpar® is a trademark of Fluidigm Canada Inc.

Properties and storage information

Form
Liquid
Purification technique
Affinity purification Protein A
Storage buffer
pH: 7.2 - 7.4 Constituents: PBS
Shipped at conditions
Blue Ice
Appropriate short-term storage conditions
+4°C
Appropriate long-term storage conditions
+4°C
Storage information
Do Not Freeze

Supplementary information

This supplementary information is collated from multiple sources and compiled automatically.

NR1D1 and NR1D2 also known as RVR (Rev-erb) act as nuclear receptors involved in transcriptional regulation. Each has a mass ranging from 65 to 70 kDa. You can find NR1D1 and NR1D2 broadly expressed in multiple tissues with liver adipose tissue and muscles showing higher expression. These receptors play a role in regulating circadian rhythms and metabolism by repressing target gene expression through DNA binding.
Biological function summary

These nuclear receptors function as transcription repressors and are an essential part of the circadian clock complex. They interact with specific promoter regions competing with retinoic acid receptor-related orphan receptors to suppress gene transcription. Additionally they influence processes such as lipid metabolism and energy homeostasis by regulating genes involved in these pathways.

Pathways

NR1D1 and NR1D2 operate in the circadian rhythm pathway and lipid metabolism pathway. They directly interact with components of the core clock machinery such as BMAL1 and CLOCK proteins to maintain circadian rhythm stability. By repressing genes like lipogenic enzymes they facilitate optimal lipid metabolism. ROR proteins are closely linked to their function creating a feedback loop within these pathways.

NR1D1 and NR1D2 have links to metabolic diseases and mood disorders. Abnormal expression levels or mutations can result in conditions such as obesity and depression due to their important role in maintaining metabolic balance and circadian regulation. Dysfunctions in these receptors can engage E4BP4 affecting immune response and neuroinflammation in these disorders. Engaging these pathways opens potential therapeutic avenues for managing related conditions.

Product protocols

For this product, it's our understanding that no specific protocols are required. You can visit:

Target data

Transcriptional repressor which coordinates circadian rhythm and metabolic pathways in a heme-dependent manner. Integral component of the complex transcription machinery that governs circadian rhythmicity and forms a critical negative limb of the circadian clock by directly repressing the expression of core clock components BMAL1, CLOCK and CRY1. Also regulates genes involved in metabolic functions, including lipid and bile acid metabolism, adipogenesis, gluconeogenesis and the macrophage inflammatory response. Acts as a receptor for heme which stimulates its interaction with the NCOR1/HDAC3 corepressor complex, enhancing transcriptional repression. Recognizes two classes of DNA response elements within the promoter of its target genes and can bind to DNA as either monomers or homodimers, depending on the nature of the response element. Binds as a monomer to a response element composed of the consensus half-site motif 5'-[A/G]GGTCA-3' preceded by an A/T-rich 5' sequence (RevRE), or as a homodimer to a direct repeat of the core motif spaced by two nucleotides (RevDR-2). Acts as a potent competitive repressor of ROR alpha (RORA) function and regulates the levels of its ligand heme by repressing the expression of PPARGC1A, a potent inducer of heme synthesis. Regulates lipid metabolism by repressing the expression of APOC3 and by influencing the activity of sterol response element binding proteins (SREBPs); represses INSIG2 which interferes with the proteolytic activation of SREBPs which in turn govern the rhythmic expression of enzymes with key functions in sterol and fatty acid synthesis. Regulates gluconeogenesis via repression of G6PC1 and PEPCK and adipocyte differentiation via repression of PPARG. Regulates glucagon release in pancreatic alpha-cells via the AMPK-NAMPT-SIRT1 pathway and the proliferation, glucose-induced insulin secretion and expression of key lipogenic genes in pancreatic-beta cells. Positively regulates bile acid synthesis by increasing hepatic expression of CYP7A1 via repression of NR0B2 and NFIL3 which are negative regulators of CYP7A1. Modulates skeletal muscle oxidative capacity by regulating mitochondrial biogenesis and autophagy; controls mitochondrial biogenesis and respiration by interfering with the STK11-PRKAA1/2-SIRT1-PPARGC1A signaling pathway. Represses the expression of SERPINE1/PAI1, an important modulator of cardiovascular disease and the expression of inflammatory cytokines and chemokines in macrophages. Represses gene expression at a distance in macrophages by inhibiting the transcription of enhancer-derived RNAs (eRNAs). Plays a role in the circadian regulation of body temperature and negatively regulates thermogenic transcriptional programs in brown adipose tissue (BAT); imposes a circadian oscillation in BAT activity, increasing body temperature when awake and depressing thermogenesis during sleep. In concert with NR2E3, regulates transcriptional networks critical for photoreceptor development and function. In addition to its activity as a repressor, can also act as a transcriptional activator. In the ovarian granulosa cells acts as a transcriptional activator of STAR which plays a role in steroid biosynthesis. In collaboration with SP1, activates GJA1 transcription in a heme-independent manner. Represses the transcription of CYP2B10, CYP4A10 and CYP4A14 (By similarity). Represses the transcription of CES2 (By similarity). Represses and regulates the circadian expression of TSHB in a NCOR1-dependent manner (By similarity). Negatively regulates the protein stability of NR3C1 and influences the time-dependent subcellular distribution of NR3C1, thereby affecting its transcriptional regulatory activity (By similarity). Plays a critical role in the circadian control of neutrophilic inflammation in the lung; under resting, non-stress conditions, acts as a rhythmic repressor to limit inflammatory activity whereas in the presence of inflammatory triggers undergoes ubiquitin-mediated degradation thereby relieving inhibition of the inflammatory response (By similarity). Plays a key role in the circadian regulation of microglial activation and neuroinflammation; suppresses microglial activation through the NF-kappaB pathway in the central nervous system (By similarity). Plays a role in the regulation of the diurnal rhythms of lipid and protein metabolism in the skeletal muscle via transcriptional repression of genes controlling lipid and amino acid metabolism in the muscle (By similarity).
See full target information NR1D1

Additional targets

NR1D2

Publications (1)

Recent publications for all applications. Explore the full list and refine your search

Open medicine (Warsaw, Poland) 20:20251206 PubMed40918165

2025

Peptide CCAT1-70aa promotes hepatocellular carcinoma proliferation and invasion via the MAPK/ERK pathway.

Applications

Unspecified application

Species

Unspecified reactive species

Xianjian Wu,Ruifeng Liang,Guoman Liu,Quan Fang,Zuoming Xu,Wenchuan Li,Chuan Tan,Jian Pu
View all publications

Product promise

We are committed to supporting your work with high-quality reagents, and we're here for you every step of the way. In the unlikely event that one of our products does not perform as expected, you're protected by our Product Promise.
For full details, please see our Terms & Conditions

Please note: All products are 'FOR RESEARCH USE ONLY. NOT FOR USE IN DIAGNOSTIC OR THERAPEUTIC PROCEDURES'.

For licensing inquiries, please contact partnerships@abcam.com