JavaScript is disabled in your browser. Please enable JavaScript to view this website.
AB211776

Anti-NR2F2 antibody [EPR18442]

Be the first to review this product! Submit a review

|

(6 Publications)

Rabbit Recombinant Monoclonal NR2F2 antibody. Suitable for ChIC/CUT&RUN-seq, ICC/IF, IHC-P and reacts with Human, Mouse, Rat samples. Cited in 6 publications.

View Alternative Names

ARP1, TFCOUP2, NR2F2, COUP transcription factor 2, COUP-TF2, Apolipoprotein A-I regulatory protein 1, COUP transcription factor II, Nuclear receptor subfamily 2 group F member 2, ARP-1, COUP-TF II

12 Images
Immunohistochemistry (Formalin/PFA-fixed paraffin-embedded sections) - Anti-NR2F2 antibody [EPR18442] (AB211776)
  • IHC-P

Supplier Data

Immunohistochemistry (Formalin/PFA-fixed paraffin-embedded sections) - Anti-NR2F2 antibody [EPR18442] (AB211776)

Immunohistochemical analysis of paraffin-embedded human lung tissue labeling NR2F2 with ab211776 at 1/250 dilution, followed by Goat Anti-Rabbit IgG H&L (HRP) (ab97051) at 1/500 dilution. Nucleus staining on mesenchymal cells of human lung tissue is observed. Counter stained with hematoxylin.

Secondary antibody only control : Used PBS instead of primary antibody, secondary antibody is Goat Anti-Rabbit IgG H&L (HRP) (ab97051) at 1/500 dilution.

Perform heat mediated antigen retrieval with Tris/EDTA buffer pH 9.0 before commencing with IHC staining protocol.

Immunohistochemistry (Formalin/PFA-fixed paraffin-embedded sections) - Anti-NR2F2 antibody [EPR18442] (AB211776)
  • IHC-P

Supplier Data

Immunohistochemistry (Formalin/PFA-fixed paraffin-embedded sections) - Anti-NR2F2 antibody [EPR18442] (AB211776)

Immunohistochemical analysis of paraffin-embedded human endometrium tissue labeling NR2F2 with ab211776 at 1/250 dilution, followed by Goat Anti-Rabbit IgG H&L (HRP) (ab97051) at 1/500 dilution. Nucleus staining on mesenchymal cells of human endometrium tissue is observed. Counter stained with hematoxylin.

Secondary antibody only control : Used PBS instead of primary antibody, secondary antibody is Goat Anti-Rabbit IgG H&L (HRP) (ab97051) at 1/500 dilution.

Perform heat mediated antigen retrieval with Tris/EDTA buffer pH 9.0 before commencing with IHC staining protocol.

Immunohistochemistry (Formalin/PFA-fixed paraffin-embedded sections) - Anti-NR2F2 antibody [EPR18442] (AB211776)
  • IHC-P

Supplier Data

Immunohistochemistry (Formalin/PFA-fixed paraffin-embedded sections) - Anti-NR2F2 antibody [EPR18442] (AB211776)

Immunohistochemical analysis of paraffin-embedded mouse liver tissue labeling NR2F2 with ab211776 at 1/250 dilution, followed by Goat Anti-Rabbit IgG H&L (HRP) (ab97051) at 1/500 dilution. Nucleus staining on mesenchymal cells of mouse liver tissue is observed. Counter stained with hematoxylin.

Secondary antibody only control : Used PBS instead of primary antibody, secondary antibody is Goat Anti-Rabbit IgG H&L (HRP) (ab97051) at 1/500 dilution.

Perform heat mediated antigen retrieval with Tris/EDTA buffer pH 9.0 before commencing with IHC staining protocol.

Immunohistochemistry (Formalin/PFA-fixed paraffin-embedded sections) - Anti-NR2F2 antibody [EPR18442] (AB211776)
  • IHC-P

Supplier Data

Immunohistochemistry (Formalin/PFA-fixed paraffin-embedded sections) - Anti-NR2F2 antibody [EPR18442] (AB211776)

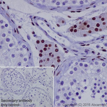
Immunohistochemical analysis of paraffin-embedded rat testis tissue labeling NR2F2 with ab211776 at 1/250 dilution, followed by Goat Anti-Rabbit IgG H&L (HRP) (ab97051) at 1/500 dilution. Nucleus staining on mesenchymal cells of mouse liver tissue is observed. Counter stained with hematoxylin.

Secondary antibody only control : Used PBS instead of primary antibody, secondary antibody is Goat Anti-Rabbit IgG H&L (HRP) (ab97051) at 1/500 dilution.

Perform heat mediated antigen retrieval with Tris/EDTA buffer pH 9.0 before commencing with IHC staining protocol.

Immunohistochemistry (Formalin/PFA-fixed paraffin-embedded sections) - Anti-NR2F2 antibody [EPR18442] (AB211776)
  • IHC-P

Supplier Data

Immunohistochemistry (Formalin/PFA-fixed paraffin-embedded sections) - Anti-NR2F2 antibody [EPR18442] (AB211776)

Immunohistochemical analysis of paraffin-embedded human breast cancer tissue labeling NR2F2 with ab211776 at 1/250 dilution, followed by Goat Anti-Rabbit IgG H&L (HRP) (ab97051) at 1/500 dilution. Nucleus staining on mesenchymal cells of human breast cancer tissue is observed. Counter stained with hematoxylin.

Secondary antibody only control : Used PBS instead of primary antibody, secondary antibody is Goat Anti-Rabbit IgG H&L (HRP) (ab97051) at 1/500 dilution.

Perform heat mediated antigen retrieval with Tris/EDTA buffer pH 9.0 before commencing with IHC staining protocol.

Immunohistochemistry (Formalin/PFA-fixed paraffin-embedded sections) - Anti-NR2F2 antibody [EPR18442] (AB211776)
  • IHC-P

Supplier Data

Immunohistochemistry (Formalin/PFA-fixed paraffin-embedded sections) - Anti-NR2F2 antibody [EPR18442] (AB211776)

Immunohistochemical analysis of paraffin-embedded human ovarian cancer tissue labeling NR2F2 with ab211776 at 1/250 dilution, followed by Goat Anti-Rabbit IgG H&L (HRP) (ab97051) at 1/500 dilution. Nucleus staining on mesenchymal cells of human ovarian cancer tissue is observed. Counter stained with hematoxylin.

Secondary antibody only control : Used PBS instead of primary antibody, secondary antibody is Goat Anti-Rabbit IgG H&L (HRP) (ab97051) at 1/500 dilution.

Perform heat mediated antigen retrieval with Tris/EDTA buffer pH 9.0 before commencing with IHC staining protocol.

Immunohistochemistry (Formalin/PFA-fixed paraffin-embedded sections) - Anti-NR2F2 antibody [EPR18442] (AB211776)
  • IHC-P

Supplier Data

Immunohistochemistry (Formalin/PFA-fixed paraffin-embedded sections) - Anti-NR2F2 antibody [EPR18442] (AB211776)

Immunohistochemical analysis of paraffin-embedded human fetal spleen tissue labeling NR2F2 with ab211776 at 1/250 dilution, followed by Goat Anti-Rabbit IgG H&L (HRP) (ab97051) at 1/500 dilution. Nucleus staining on mesenchymal cells of human fetal spleen tissue is observed. Counter stained with hematoxylin.

Secondary antibody only control : Used PBS instead of primary antibody, secondary antibody is Goat Anti-Rabbit IgG H&L (HRP) (ab97051) at 1/500 dilution.

Perform heat mediated antigen retrieval with Tris/EDTA buffer pH 9.0 before commencing with IHC staining protocol.

Immunocytochemistry/ Immunofluorescence - Anti-NR2F2 antibody [EPR18442] (AB211776)
  • ICC/IF

Supplier Data

Immunocytochemistry/ Immunofluorescence - Anti-NR2F2 antibody [EPR18442] (AB211776)

Immunofluorescent analysis of 4% paraformaldehyde-fixed, 0.1% Triton X-100 permeabilized NIH/3T3 (mouse embryo fibroblast cell line) cells labeling NR2F2 with ab211776 at 1/100 dilution followed by Goat Anti-Rabbit IgG H&L (Alexa Fluor® 488) (ab150077) secondary antibody at 1/1000 dilution (green). Confocal image showing nuclear staining on NIH/3T3 cell line.

The nuclear counter stain is DAPI (blue).

Tubulin is detected with Anti-alpha Tubulin mouse MAb (ab7291) at 1/1000 dilution, followed by Goat Anti-Mouse IgG H&L (Alexa Fluor® 594) (ab150120) secondary antibody at 1/1000 dilution (red).

The negative controls are as follows :

-ve control 1 : ab211776 at 1/100 dilution, followed by Goat Anti-Mouse IgG H&L (Alexa Fluor® 594) (ab150120) secondary antibody at 1/1000 dilution.

-ve control 2 : Anti-alpha Tubulin mouse MAb (ab7291) at 1/1000 dilution, followed by Goat Anti-Rabbit IgG H&L (Alexa Fluor® 488) (ab150077) secondary antibody at 1/1000 dilution.

Immunocytochemistry/ Immunofluorescence - Anti-NR2F2 antibody [EPR18442] (AB211776)
  • ICC/IF

Supplier Data

Immunocytochemistry/ Immunofluorescence - Anti-NR2F2 antibody [EPR18442] (AB211776)

Immunofluorescent analysis of 4% paraformaldehyde-fixed, 0.1% Triton X-100 permeabilized HEK-293 (human epithelial cell line from embryonic kidney) cells labeling NR2F2 with ab211776 at 1/100 dilution followed by Goat Anti-Rabbit IgG H&L (Alexa Fluor® 488) (ab150077) secondary antibody at 1/1000 dilution (green). Confocal image showing nuclear staining on HEK-293 cell line.

The nuclear counter stain is DAPI (blue).

Tubulin is detected with Anti-alpha Tubulin mouse MAb (ab7291) at 1/1000 dilution, followed by Goat Anti-Mouse IgG H&L (Alexa Fluor® 594) (ab150120) secondary antibody at 1/1000 dilution (red).

The negative controls are as follows :

-ve control 1 : ab211776 at 1/100 dilution, followed by Goat Anti-Mouse IgG H&L (Alexa Fluor® 594) (ab150120) secondary antibody at 1/1000 dilution.

-ve control 2 : Anti-alpha Tubulin mouse MAb (ab7291) at 1/1000 dilution, followed by Goat Anti-Rabbit IgG H&L (Alexa Fluor® 488) (ab150077) secondary antibody at 1/1000 dilution.

ChIC/CUT&RUN sequencing - Anti-NR2F2 antibody [EPR18442] (AB211776)
  • ChIC/CUT&RUN-seq

Lab

ChIC/CUT&RUN sequencing - Anti-NR2F2 antibody [EPR18442] (AB211776)

ChIC/CUT&RUN was performed using a pAG-MNase at a final concentration of 700 ng/mL, 2.5 x 10^5 K-562 (human chronic myelogenous leukemia lymphoblast) cells and 5 µg of ab211776 [EPR18442]. The resulting DNA was sequenced on the Illumina NovaSeq 6000 to a depth of 10 million reads. The negative IgG control ab172730 is also shown.

The University of Geneva owns patents relevant to ChIC (Chromatin Immuno-Cleavage) methods.

ChIC/CUT&RUN sequencing - Anti-NR2F2 antibody [EPR18442] (AB211776)
  • ChIC/CUT&RUN-seq

Lab

ChIC/CUT&RUN sequencing - Anti-NR2F2 antibody [EPR18442] (AB211776)

ChIC/CUT&RUN was performed using a pAG-MNase at a final concentration of 700 ng/mL, 2.5 x 10^5 K-562 (human chronic myelogenous leukemia lymphoblast) cells and 5 µg of ab211776[EPR18442]. The resulting DNA was sequenced on the Illumina NovaSeq 6000 to a depth of 10 million reads. The negative IgG control ab172730 is also shown.

The University of Geneva owns patents relevant to ChIC (Chromatin Immuno-Cleavage) methods.

ChIC/CUT&RUN sequencing - Anti-NR2F2 antibody [EPR18442] (AB211776)
  • ChIC/CUT&RUN-seq

Lab

ChIC/CUT&RUN sequencing - Anti-NR2F2 antibody [EPR18442] (AB211776)

ChIC/CUT&RUN was performed using a pAG-MNase at a final concentration of 700 ng/mL, 2.5 x 10^5 K-562 (human chronic myelogenous leukemia lymphoblast) cells and 5 µg of ab211776 [EPR18442]. The resulting DNA was sequenced on the Illumina NovaSeq 6000 to a depth of 10 million reads. The negative IgG control ab172730 is also shown.

The University of Geneva owns patents relevant to ChIC (Chromatin Immuno-Cleavage) methods.

Key facts

Host species

Rabbit

Clonality

Monoclonal

Clone number

EPR18442

Isotype

IgG

Carrier free

No

Reacts with

Mouse, Rat, Human

Applications

ICC/IF, IHC-P, ChIC/CUT&RUN-seq

applications

Immunogen

The exact immunogen used to generate this antibody is proprietary information.

Reactivity data

{ "title": "Reactivity Data", "filters": { "stats": ["", "Species", "Dilution Info", "Notes"], "tabs": { "all-applications": {"fullname" : "All Applications", "shortname": "All Applications"}, "ChICCUTRUNseq" : {"fullname" : "ChIC/CUT&RUN sequencing", "shortname":"ChIC/CUT&RUN-seq"}, "ICCIF" : {"fullname" : "Immunocytochemistry/ Immunofluorescence", "shortname":"ICC/IF"}, "IHCP" : {"fullname" : "Immunohistochemistry (Formalin/PFA-fixed paraffin-embedded sections)", "shortname":"IHC-P"} }, "product-promise": { "all": "all", "testedAndGuaranteed": "tested", "guaranteed": "expected", "predicted": "predicted", "notRecommended": "not-recommended" } }, "values": { "Human": { "ChICCUTRUNseq-species-checked": "testedAndGuaranteed", "ChICCUTRUNseq-species-dilution-info": "", "ChICCUTRUNseq-species-notes": "<p></p>", "ICCIF-species-checked": "testedAndGuaranteed", "ICCIF-species-dilution-info": "1/100", "ICCIF-species-notes": "<p></p> Perform heat-mediated antigen retrieval with Tris/EDTA buffer pH 9.0 before commencing with IHC staining protocol.", "IHCP-species-checked": "testedAndGuaranteed", "IHCP-species-dilution-info": "1/250", "IHCP-species-notes": "<p></p> Perform heat-mediated antigen retrieval with Tris/EDTA buffer pH 9.0 before commencing with IHC staining protocol." }, "Mouse": { "ChICCUTRUNseq-species-checked": "guaranteed", "ChICCUTRUNseq-species-dilution-info": "", "ChICCUTRUNseq-species-notes": "", "ICCIF-species-checked": "testedAndGuaranteed", "ICCIF-species-dilution-info": "1/100", "ICCIF-species-notes": "<p></p> Perform heat-mediated antigen retrieval with Tris/EDTA buffer pH 9.0 before commencing with IHC staining protocol.", "IHCP-species-checked": "testedAndGuaranteed", "IHCP-species-dilution-info": "1/250", "IHCP-species-notes": "<p></p> Perform heat-mediated antigen retrieval with Tris/EDTA buffer pH 9.0 before commencing with IHC staining protocol." }, "Rat": { "ChICCUTRUNseq-species-checked": "guaranteed", "ChICCUTRUNseq-species-dilution-info": "", "ChICCUTRUNseq-species-notes": "", "ICCIF-species-checked": "guaranteed", "ICCIF-species-dilution-info": "", "ICCIF-species-notes": "", "IHCP-species-checked": "testedAndGuaranteed", "IHCP-species-dilution-info": "1/250", "IHCP-species-notes": "<p></p> Perform heat-mediated antigen retrieval with Tris/EDTA buffer pH 9.0 before commencing with IHC staining protocol." } } }

Product details

Patented technology
Our RabMAb® technology is a patented hybridoma-based technology for making rabbit monoclonal antibodies. For details on our patents, please refer to RabMAb® patents.

What are the advantages of a recombinant monoclonal antibody?
This product is a recombinant monoclonal antibody, which offers several advantages including:

  • - High batch-to-batch consistency and reproducibility
  • - Improved sensitivity and specificity
  • - Long-term security of supply
  • - Animal-free batch production

For more information, read more on recombinant antibodies.

Properties and storage information

Form
Liquid
Purification technique
Affinity purification Protein A
Storage buffer
pH: 7.2 - 7.4 Preservative: 0.01% Sodium azide Constituents: PBS, 40% Glycerol (glycerin, glycerine), 0.05% BSA
Shipped at conditions
Blue Ice
Appropriate short-term storage duration
1-2 weeks
Appropriate short-term storage conditions
+4°C
Appropriate long-term storage conditions
-20°C
Aliquoting information
Upon delivery aliquot
Storage information
Avoid freeze / thaw cycle

Supplementary information

This supplementary information is collated from multiple sources and compiled automatically.

NR2F2 also known as COUP-TFII (Chicken Ovalbumin Upstream Promoter Transcription Factor II) is a nuclear receptor that functions as a transcription factor. It has a molecular mass of approximately 48 kDa. It binds to DNA target sequences and regulates gene expression involved in various developmental processes. NR2F2 is expressed in the heart blood vessels and various tissues such as the lungs and the central nervous system. Its role in transcriptional regulation makes it important for proper cell and tissue differentiation.
Biological function summary

NR2F2 is involved in the regulation of angiogenesis and cardiovascular development. It forms a heterodimer with retinoid X receptor (RXR) to regulate gene expression. This interaction places NR2F2 as part of a larger network controlling organ development and metabolic processes. NR2F2 activity also influences energy homeostasis and adipogenesis through its transcriptional regulation abilities.

Pathways

NR2F2 influences the Wnt signaling and Notch signaling pathways which play important roles in cell proliferation and differentiation. These pathways interact with other proteins such as beta-catenin and Notch receptors. NR2F2 modulates gene expression at different cellular stages and contributes to the precise regulation required within these pathways.

NR2F2 is linked to congenital heart defects and cancer. Aberrant NR2F2 expression disrupts normal developmental processes contributing to heart malformations. In cancer altered NR2F2 expression and function can facilitate tumor progression and metastasis often involving interaction with other proteins like TGF-beta and SMADs essential for tumor suppression pathways. The ability of NR2F2 to control critical transcriptional networks makes it a significant target for understanding and potentially treating these conditions.

Product protocols

For this product, it's our understanding that no specific protocols are required. You can visit:

Target data

Ligand-activated transcription factor. Activated by high concentrations of 9-cis-retinoic acid and all-trans-retinoic acid, but not by dexamethasone, cortisol or progesterone (in vitro). Regulation of the apolipoprotein A-I gene transcription. Binds to DNA site A. May be required to establish ovary identity during early gonad development (PubMed : 29478779).
See full target information NR2F2

Publications (6)

Recent publications for all applications. Explore the full list and refine your search

Cell 187:6566-6583.e22 PubMed39332412

2024

mTOR activity paces human blastocyst stage developmental progression.

Applications

Unspecified application

Species

Unspecified reactive species

Dhanur P Iyer,Heidar Heidari Khoei,Vera A van der Weijden,Harunobu Kagawa,Saurabh J Pradhan,Maria Novatchkova,Afshan McCarthy,Teresa Rayon,Claire S Simon,Ilona Dunkel,Sissy E Wamaitha,Kay Elder,Phil Snell,Leila Christie,Edda G Schulz,Kathy K Niakan,Nicolas Rivron,Aydan Bulut-Karslioğlu

Nature protocols 18:1584-1620 PubMed36792779

2023

Generating human blastoids modeling blastocyst-stage embryos and implantation.

Applications

Unspecified application

Species

Unspecified reactive species

Heidar Heidari Khoei,Alok Javali,Harunobu Kagawa,Theresa Maria Sommer,Giovanni Sestini,Laurent David,Jana Slovakova,Maria Novatchkova,Yvonne Scholte Op Reimer,Nicolas Rivron

Nature protocols 17:2760-2783 PubMed36241723

2022

Induction of human trophoblast stem cells.

Applications

Unspecified application

Species

Unspecified reactive species

Gaël Castel,Laurent David

Cell stem cell 29:1346-1365.e10 PubMed36055191

2022

Modeling human extraembryonic mesoderm cells using naive pluripotent stem cells.

Applications

Unspecified application

Species

Unspecified reactive species

Thi Xuan Ai Pham,Amitesh Panda,Harunobu Kagawa,San Kit To,Cankat Ertekin,Grigorios Georgolopoulos,Sam S F A van Knippenberg,Ryan Nicolaas Allsop,Alexandre Bruneau,Jonathan Sai-Hong Chui,Lotte Vanheer,Adrian Janiszewski,Joel Chappell,Michael Oberhuemer,Raissa Songwa Tchinda,Irene Talon,Sherif Khodeer,Janet Rossant,Frederic Lluis,Laurent David,Nicolas Rivron,Bradley Philip Balaton,Vincent Pasque

Cell reports 33:108419 PubMed33238118

2020

Induction of Human Trophoblast Stem Cells from Somatic Cells and Pluripotent Stem Cells.

Applications

Unspecified application

Species

Unspecified reactive species

Gaël Castel,Dimitri Meistermann,Betty Bretin,Julie Firmin,Justine Blin,Sophie Loubersac,Alexandre Bruneau,Simon Chevolleau,Stéphanie Kilens,Caroline Chariau,Anne Gaignerie,Quentin Francheteau,Harunobu Kagawa,Eric Charpentier,Léa Flippe,Valentin François-Campion,Sandra Haider,Bianca Dietrich,Martin Knöfler,Takahiro Arima,Jérémie Bourdon,Nicolas Rivron,Damien Masson,Thierry Fournier,Hiroaki Okae,Thomas Fréour,Laurent David

Oncogene 29:527-38 PubMed19881545

2009

BAG-1 overexpression attenuates luminal apoptosis in MCF-10A mammary epithelial cells through enhanced RAF-1 activation.

Applications

Unspecified application

Species

Unspecified reactive species

L R Anderson,R L Sutherland,A J Butt
View all publications

Product promise

We are committed to supporting your work with high-quality reagents, and we're here for you every step of the way. In the unlikely event that one of our products does not perform as expected, you're protected by our Product Promise.
For full details, please see our Terms & Conditions

Please note: All products are 'FOR RESEARCH USE ONLY. NOT FOR USE IN DIAGNOSTIC OR THERAPEUTIC PROCEDURES'.

For licensing inquiries, please contact partnerships@abcam.com