JavaScript is disabled in your browser. Please enable JavaScript to view this website.
AB240387

Anti-NR2F2 antibody [EPR18443] - BSA and Azide free

Be the first to review this product! Submit a review

|

(2 Publications)

Rabbit Recombinant Monoclonal NR2F2 antibody. Carrier free. Suitable for ChIC/CUT&RUN-seq, IP, WB, ICC/IF, IHC-P and reacts with Human, Rat, Mouse samples. Cited in 2 publications.

View Alternative Names

ARP1, TFCOUP2, NR2F2, COUP transcription factor 2, COUP-TF2, Apolipoprotein A-I regulatory protein 1, COUP transcription factor II, Nuclear receptor subfamily 2 group F member 2, ARP-1, COUP-TF II

14 Images
Immunohistochemistry (Formalin/PFA-fixed paraffin-embedded sections) - Anti-NR2F2 antibody [EPR18443] - BSA and Azide free (AB240387)
  • IHC-P

Supplier Data

Immunohistochemistry (Formalin/PFA-fixed paraffin-embedded sections) - Anti-NR2F2 antibody [EPR18443] - BSA and Azide free (AB240387)

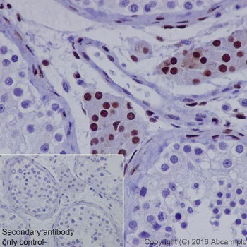
Immunohistochemical analysis of paraffin-embedded human testis tissue labeling NR2F2 with ab211777 at 1/250 dilution, followed by Goat Anti-Rabbit IgG H&L (HRP) (ab97051) at 1/500 dilution. Nuclear staining on mesenchymal cells of human testis tissue (PMID : 11026559) is observed. Counter stained with hematoxylin.

Secondary antibody only control : Used PBS instead of primary antibody, secondary antibody is Goat Anti-Rabbit IgG H&L (HRP) (ab97051) at 1/500 dilution.

This data was developed using the same antibody clone in a different buffer formulation containing PBS, BSA, glycerol, and sodium azide (ab211777).

Perform heat mediated antigen retrieval with Tris/EDTA buffer pH 9.0 before commencing with IHC staining protocol.

Immunocytochemistry/ Immunofluorescence - Anti-NR2F2 antibody [EPR18443] - BSA and Azide free (AB240387)
  • ICC/IF

Supplier Data

Immunocytochemistry/ Immunofluorescence - Anti-NR2F2 antibody [EPR18443] - BSA and Azide free (AB240387)

Immunofluorescent analysis of 4% paraformaldehyde-fixed, 0.1% Triton X-100 permeabilized HEK-293 (human epithelial cell line from embryonic kidney) cells labeling NR2F2 with ab211777 at 1/100 dilution, followed by Goat Anti-Rabbit IgG H&L (Alexa Fluor® 488) (ab150077) secondary antibody at 1/1000 dilution (green). Confocal image showing nuclear staining on HEK293 cell line.

The nuclear counterstain is DAPI (blue). Tubulin is detected with Anti-alpha Tubulin mouse MAb (ab7291) at 1/1000 dilution, followed by Goat Anti-Mouse IgG H&L (Alexa Fluor® 594) (ab150120) secondary antibody at 1/1000 dilution (red).

The negative controls are as follows :
-ve control 1 : ab211777 at 1/100 dilution, followed by Goat Anti-Mouse IgG H&L (Alexa Fluor® 594) preadsorbed (ab150120) secondary at 1/1000 dilution.
-ve control 2 : Anti-alpha Tubulin mouse MAb (ab7291) at 1/1000 dilution, followed by Goat Anti-Rabbit IgG H&L (Alexa Fluor® 488) (ab150077) secondary at 1/1000 dilution.

This data was developed using the same antibody clone in a different buffer formulation containing PBS, BSA, glycerol, and sodium azide (ab211777).

Immunohistochemistry (Formalin/PFA-fixed paraffin-embedded sections) - Anti-NR2F2 antibody [EPR18443] - BSA and Azide free (AB240387)
  • IHC-P

Supplier Data

Immunohistochemistry (Formalin/PFA-fixed paraffin-embedded sections) - Anti-NR2F2 antibody [EPR18443] - BSA and Azide free (AB240387)

Immunohistochemical analysis of paraffin-embedded human fetal spleen tissue labeling NR2F2 with ab211777 at 1/250 dilution, followed by Goat Anti-Rabbit IgG H&L (HRP) (ab97051) at 1/500 dilution. Nuclear staining on mesenchymal cells of human fetal spleen tissue is observed. Counter stained with hematoxylin.

Secondary antibody only control : Used PBS instead of primary antibody, secondary antibody is Goat Anti-Rabbit IgG H&L (HRP) (ab97051) at 1/500 dilution.

This data was developed using the same antibody clone in a different buffer formulation containing PBS, BSA, glycerol, and sodium azide (ab211777).

Perform heat mediated antigen retrieval with Tris/EDTA buffer pH 9.0 before commencing with IHC staining protocol.

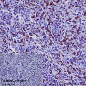
Immunohistochemistry (Formalin/PFA-fixed paraffin-embedded sections) - Anti-NR2F2 antibody [EPR18443] - BSA and Azide free (AB240387)
  • IHC-P

Supplier Data

Immunohistochemistry (Formalin/PFA-fixed paraffin-embedded sections) - Anti-NR2F2 antibody [EPR18443] - BSA and Azide free (AB240387)

Immunohistochemical analysis of paraffin-embedded human tonsil tissue labeling NR2F2 with ab211777 at 1/250 dilution, followed by Goat Anti-Rabbit IgG H&L (HRP) (ab97051) at 1/500 dilution. Nuclear staining on mesenchymal cells of human tonsil tissue (PMID : 11026559) is observed. Counter stained with hematoxylin.

Secondary antibody only control : Used PBS instead of primary antibody, secondary antibody is Goat Anti-Rabbit IgG H&L (HRP) (ab97051) at 1/500 dilution.

This data was developed using the same antibody clone in a different buffer formulation containing PBS, BSA, glycerol, and sodium azide (ab211777).

Perform heat mediated antigen retrieval with Tris/EDTA buffer pH 9.0 before commencing with IHC staining protocol.

Immunohistochemistry (Formalin/PFA-fixed paraffin-embedded sections) - Anti-NR2F2 antibody [EPR18443] - BSA and Azide free (AB240387)
  • IHC-P

Supplier Data

Immunohistochemistry (Formalin/PFA-fixed paraffin-embedded sections) - Anti-NR2F2 antibody [EPR18443] - BSA and Azide free (AB240387)

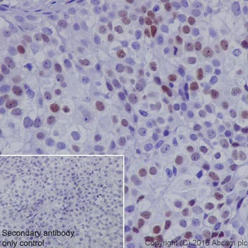
Immunohistochemical analysis of paraffin-embedded human breast cancer tissue labeling NR2F2 with ab211777 at 1/250 dilution, followed by Goat Anti-Rabbit IgG H&L (HRP) (ab97051) at 1/500 dilution. Nuclear staining on tumor cells of human breast cancer tissue is observed. Counter stained with hematoxylin.

Secondary antibody only control : Used PBS instead of primary antibody, secondary antibody is Goat Anti-Rabbit IgG H&L (HRP) (ab97051) at 1/500 dilution.

This data was developed using the same antibody clone in a different buffer formulation containing PBS, BSA, glycerol, and sodium azide (ab211777).

Perform heat mediated antigen retrieval with Tris/EDTA buffer pH 9.0 before commencing with IHC staining protocol.

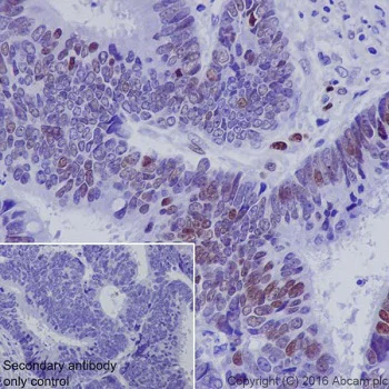
Immunohistochemistry (Formalin/PFA-fixed paraffin-embedded sections) - Anti-NR2F2 antibody [EPR18443] - BSA and Azide free (AB240387)
  • IHC-P

Supplier Data

Immunohistochemistry (Formalin/PFA-fixed paraffin-embedded sections) - Anti-NR2F2 antibody [EPR18443] - BSA and Azide free (AB240387)

Immunohistochemical analysis of paraffin-embedded human colon cancer tissue labeling NR2F2 with ab211777 at 1/250 dilution, followed by Goat Anti-Rabbit IgG H&L (HRP) (ab97051) at 1/500 dilution. Nuclear staining on tumor cells of human colon cancer tissue is observed. Counter stained with hematoxylin.

Secondary antibody only control : Used PBS instead of primary antibody, secondary antibody is Goat Anti-Rabbit IgG H&L (HRP) (ab97051) at 1/500 dilution.

This data was developed using the same antibody clone in a different buffer formulation containing PBS, BSA, glycerol, and sodium azide (ab211777).

Perform heat mediated antigen retrieval with Tris/EDTA buffer pH 9.0 before commencing with IHC staining protocol.

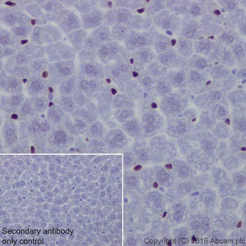
Immunohistochemistry (Formalin/PFA-fixed paraffin-embedded sections) - Anti-NR2F2 antibody [EPR18443] - BSA and Azide free (AB240387)
  • IHC-P

Supplier Data

Immunohistochemistry (Formalin/PFA-fixed paraffin-embedded sections) - Anti-NR2F2 antibody [EPR18443] - BSA and Azide free (AB240387)

Immunohistochemical analysis of paraffin-embedded mouse liver tissue labeling NR2F2 with ab211777 at 1/250 dilution, followed by Goat Anti-Rabbit IgG H&L (HRP) (ab97051) at 1/500 dilution. Nuclear staining on mesenchymal cells of mouse liver tissue is observed. Counter stained with hematoxylin.

Secondary antibody only control : Used PBS instead of primary antibody, secondary antibody is Goat Anti-Rabbit IgG H&L (HRP) (ab97051) at 1/500 dilution.

This data was developed using the same antibody clone in a different buffer formulation containing PBS, BSA, glycerol, and sodium azide (ab211777).

Perform heat mediated antigen retrieval with Tris/EDTA buffer pH 9.0 before commencing with IHC staining protocol.

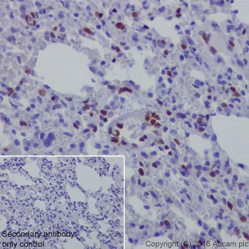
Immunohistochemistry (Formalin/PFA-fixed paraffin-embedded sections) - Anti-NR2F2 antibody [EPR18443] - BSA and Azide free (AB240387)
  • IHC-P

Supplier Data

Immunohistochemistry (Formalin/PFA-fixed paraffin-embedded sections) - Anti-NR2F2 antibody [EPR18443] - BSA and Azide free (AB240387)

Immunohistochemical analysis of paraffin-embedded rat lung tissue labeling NR2F2 with ab211777 at 1/250 dilution, followed by Goat Anti-Rabbit IgG H&L (HRP) (ab97051) at 1/500 dilution. Nuclear staining on mesenchymal cells of rat lung tissue is observed. Counter stained with hematoxylin.

Secondary antibody only control : Used PBS instead of primary antibody, secondary antibody is Goat Anti-Rabbit IgG H&L (HRP) (ab97051) at 1/500 dilution.

This data was developed using the same antibody clone in a different buffer formulation containing PBS, BSA, glycerol, and sodium azide (ab211777).

Perform heat mediated antigen retrieval with Tris/EDTA buffer pH 9.0 before commencing with IHC staining protocol.

Immunocytochemistry/ Immunofluorescence - Anti-NR2F2 antibody [EPR18443] - BSA and Azide free (AB240387)
  • ICC/IF

Supplier Data

Immunocytochemistry/ Immunofluorescence - Anti-NR2F2 antibody [EPR18443] - BSA and Azide free (AB240387)

Immunofluorescent analysis of 4% paraformaldehyde-fixed, 0.1% Triton X-100 permeabilized NIH/3T3 (mouse embryo fibroblast cell line) cells labeling NR2F2 with ab211777 at 1/100 dilution, followed by Goat Anti-Rabbit IgG H&L (Alexa Fluor® 488) (ab150077) secondary antibody at 1/1000 dilution (green). Confocal image showing nuclear staining on NIH/3T3 cell line.

The nuclear counterstain is DAPI (blue). Tubulin is detected with Anti-alpha Tubulin mouse MAb (ab7291) at 1/1000 dilution, followed by Goat Anti-Mouse IgG H&L (Alexa Fluor® 594) (ab150120) secondary antibody at 1/1000 dilution (red).

The negative controls are as follows :
-ve control 1 : ab211777 at 1/100 dilution, followed by Goat Anti-Mouse IgG H&L (Alexa Fluor® 594) preadsorbed (ab150120) secondary at 1/1000 dilution.
-ve control 2 : Anti-alpha Tubulin mouse MAb (ab7291) at 1/1000 dilution, followed by Goat Anti-Rabbit IgG H&L (Alexa Fluor® 488) (ab150077) secondary at 1/1000 dilution.

This data was developed using the same antibody clone in a different buffer formulation containing PBS, BSA, glycerol, and sodium azide (ab211777).

Western blot - Anti-NR2F2 antibody [EPR18443] - BSA and Azide free (AB240387)
  • WB

Lab

Western blot - Anti-NR2F2 antibody [EPR18443] - BSA and Azide free (AB240387)

This data was developed using the same antibody clone in a different buffer formulation (ab211777).

Lanes 1- 2 : Merged signal (red and green). Green - ab211777 observed at 45 kDa. Red - Anti-GAPDH antibody [6C5] - Loading Control (ab8245) observed at 37 kDa.

ab211777 was shown to react with NR2F2 in wild-type HCT116 cells in western blot. The band observed in CRISPR/Cas9 edited cell line ab266888 (CRISPR/Cas9 edited cell lysate ab257186) lane below 45kDa may represent truncated forms and cleaved fragments. This has not been investigated further. Wild-type HCT116 and NR2F2 CRISPR/Cas9 edited HCT116 cell lysates were subjected to SDS-PAGE. Membrane was blocked for 1 hour at room temperature in 0.1% TBST with 3% non-fat dried milk. ab211777 and Anti-GAPDH antibody [6C5] - Loading Control (ab8245) were incubated overnight at 4°C at a 1 in 1000 dilution and a 1 in 20000 dilution respectively. Blots were developed with Goat anti-Rabbit IgG H&L (IRDye®800CW) preadsorbed (ab216773) and Goat anti-Mouse IgG H&L (IRDye®680RD) preadsorbed (ab216776) secondary antibodies at 1 in 20000 dilution for 1 hour at room temperature before imaging.

All lanes:

Western blot - Anti-NR2F2 antibody [EPR18443] (<a href='/en-us/products/primary-antibodies/nr2f2-antibody-epr18443-ab211777'>ab211777</a>) at 1/1000 dilution

Lane 1:

Wild-type HCT116 cell lysate at 20 µg

Lane 2:

NR2F2 CRISPR/Cas9 edited HCT116 cell lysate at 20 µg

Lane 2:

Western blot - Human NR2F2 knockout HCT116 cell line (<a href='/en-us/products/cell-lines/human-nr2f2-knockout-hct116-cell-line-ab266888'>ab266888</a>)

Predicted band size: 46 kDa

Observed band size: 45 kDa

false

ChIC/CUT&RUN sequencing - Anti-NR2F2 antibody [EPR18443] - BSA and Azide free (AB240387)
  • ChIC/CUT&RUN-seq

Lab

ChIC/CUT&RUN sequencing - Anti-NR2F2 antibody [EPR18443] - BSA and Azide free (AB240387)

This data was created using ab211777, the same clone in a different buffer formulation.

ChIC/CUT&RUN was performed using a pAG-MNase at a final concentration of 700 ng/mL, 2.5 x 10^5 K-562 (human chronic myelogenous leukemia lymphoblast) cells and 5 µg of ab211777 [EPR18443]. The resulting DNA was sequenced on the Illumina NovaSeq 6000 to a depth of 10 million reads. The negative IgG control ab172730 is also shown.

The University of Geneva owns patents relevant to ChIC (Chromatin Immuno-Cleavage) methods.

ChIC/CUT&RUN sequencing - Anti-NR2F2 antibody [EPR18443] - BSA and Azide free (AB240387)
  • ChIC/CUT&RUN-seq

Lab

ChIC/CUT&RUN sequencing - Anti-NR2F2 antibody [EPR18443] - BSA and Azide free (AB240387)

This data was created using ab211777, the same clone in a different buffer formulation.

ChIC/CUT&RUN was performed using a pAG-MNase at a final concentration of 700 ng/mL, 2.5 x 10^5 K-562 (human chronic myelogenous leukemia lymphoblast) cells and 5 µg of ab211777 [EPR18443]. The resulting DNA was sequenced on the Illumina NovaSeq 6000 to a depth of 10 million reads. The negative IgG control ab172730 is also shown.

The University of Geneva owns patents relevant to ChIC (Chromatin Immuno-Cleavage) methods.

ChIC/CUT&RUN sequencing - Anti-NR2F2 antibody [EPR18443] - BSA and Azide free (AB240387)
  • ChIC/CUT&RUN-seq

Lab

ChIC/CUT&RUN sequencing - Anti-NR2F2 antibody [EPR18443] - BSA and Azide free (AB240387)

This data was created using ab211777, the same clone in a different buffer formulation.

ChIC/CUT&RUN was performed using a pAG-MNase at a final concentration of 700 ng/mL, 2.5 x 10^5 K-562 (human chronic myelogenous leukemia lymphoblast) cells and 5 µg of ab211777 [EPR18443]. The resulting DNA was sequenced on the Illumina NovaSeq 6000 to a depth of 10 million reads. The negative IgG control ab172730 is also shown.

The University of Geneva owns patents relevant to ChIC (Chromatin Immuno-Cleavage) methods.

Immunoprecipitation - Anti-NR2F2 antibody [EPR18443] - BSA and Azide free (AB240387)
  • IP

Supplier Data

Immunoprecipitation - Anti-NR2F2 antibody [EPR18443] - BSA and Azide free (AB240387)

NR2F2 was immunoprecipitated from 1 mg of MCF7 (human breast adenocarcinoma cell line) whole cell lysate with ab211777 at 1/50 dilution. Western blot was performed from the immunoprecipitate using ab211777 at 1/500 dilution. VeriBlot for IP Detection Reagent (HRP) (ab131366), was used for detection at 1/1000 dilution.

Lane 1 : MCF7 whole cell lysate 10 μg (Input).
Lane 2 : ab211777 IP in MCF7 whole cell lysate.
Lane 3 : Rabbit monoclonal IgG (ab172730) instead of ab211777 in MCF7 whole cell lysate.

Blocking and dilution buffer and concentration : 5% NFDM/TBST.
Exposure time : 1 second.

This data was developed using the same antibody clone in a different buffer formulation containing PBS, BSA, glycerol, and sodium azide (ab211777).

All lanes:

Immunoprecipitation - Anti-NR2F2 antibody [EPR18443] (<a href='/en-us/products/primary-antibodies/nr2f2-antibody-epr18443-ab211777'>ab211777</a>)

Predicted band size: 46 kDa

Observed band size: 46 kDa

true

Key facts

Host species

Rabbit

Clonality

Monoclonal

Clone number

EPR18443

Isotype

IgG

Carrier free

Yes

Reacts with

Mouse, Rat, Human

Applications

WB, ChIC/CUT&RUN-seq, IP, IHC-P, ICC/IF

applications

Immunogen

The exact immunogen used to generate this antibody is proprietary information.

Reactivity data

{ "title": "Reactivity Data", "filters": { "stats": ["", "Species", "Dilution Info", "Notes"], "tabs": { "all-applications": {"fullname" : "All Applications", "shortname": "All Applications"}, "ChICCUTRUNseq" : {"fullname" : "ChIC/CUT&RUN sequencing", "shortname":"ChIC/CUT&RUN-seq"}, "IP" : {"fullname" : "Immunoprecipitation", "shortname":"IP"}, "WB" : {"fullname" : "Western blot", "shortname":"WB"}, "ICCIF" : {"fullname" : "Immunocytochemistry/ Immunofluorescence", "shortname":"ICC/IF"}, "IHCP" : {"fullname" : "Immunohistochemistry (Formalin/PFA-fixed paraffin-embedded sections)", "shortname":"IHC-P"} }, "product-promise": { "all": "all", "testedAndGuaranteed": "tested", "guaranteed": "expected", "predicted": "predicted", "notRecommended": "not-recommended" } }, "values": { "Human": { "ChICCUTRUNseq-species-checked": "testedAndGuaranteed", "ChICCUTRUNseq-species-dilution-info": "", "ChICCUTRUNseq-species-notes": "<p></p>", "IP-species-checked": "testedAndGuaranteed", "IP-species-dilution-info": "", "IP-species-notes": "<p></p>", "WB-species-checked": "testedAndGuaranteed", "WB-species-dilution-info": "", "WB-species-notes": "<p></p>", "ICCIF-species-checked": "testedAndGuaranteed", "ICCIF-species-dilution-info": "", "ICCIF-species-notes": "<p></p>", "IHCP-species-checked": "testedAndGuaranteed", "IHCP-species-dilution-info": "", "IHCP-species-notes": "<p></p>" }, "Mouse": { "ChICCUTRUNseq-species-checked": "guaranteed", "ChICCUTRUNseq-species-dilution-info": "", "ChICCUTRUNseq-species-notes": "", "IP-species-checked": "guaranteed", "IP-species-dilution-info": "", "IP-species-notes": "", "WB-species-checked": "testedAndGuaranteed", "WB-species-dilution-info": "", "WB-species-notes": "<p></p>", "ICCIF-species-checked": "testedAndGuaranteed", "ICCIF-species-dilution-info": "", "ICCIF-species-notes": "<p></p>", "IHCP-species-checked": "testedAndGuaranteed", "IHCP-species-dilution-info": "", "IHCP-species-notes": "<p></p>" }, "Rat": { "ChICCUTRUNseq-species-checked": "guaranteed", "ChICCUTRUNseq-species-dilution-info": "", "ChICCUTRUNseq-species-notes": "", "IP-species-checked": "guaranteed", "IP-species-dilution-info": "", "IP-species-notes": "", "WB-species-checked": "testedAndGuaranteed", "WB-species-dilution-info": "", "WB-species-notes": "<p></p>", "ICCIF-species-checked": "guaranteed", "ICCIF-species-dilution-info": "", "ICCIF-species-notes": "", "IHCP-species-checked": "testedAndGuaranteed", "IHCP-species-dilution-info": "", "IHCP-species-notes": "<p></p>" } } }

Product details

ab240387 is the carrier-free version of ab211777.

Patented technology
Our RabMAb® technology is a patented hybridoma-based technology for making rabbit monoclonal antibodies. For details on our patents, please refer to RabMAb® patents.

What are the advantages of a recombinant monoclonal antibody?
This product is a recombinant monoclonal antibody, which offers several advantages including:

  • - High batch-to-batch consistency and reproducibility
  • - Improved sensitivity and specificity
  • - Long-term security of supply
  • - Animal-free batch production

For more information, read more on recombinant antibodies.

Conjugation ready
Our carrier-free antibodies are typically supplied in a PBS-only formulation, purified and free of BSA, sodium azide and glycerol. This conjugation-ready format is designed for use with fluorochromes, metal isotopes, oligonucleotides, and enzymes, which makes them ideal for antibody labelling, functional and cell-based assays, flow-based assays (e.g. mass cytometry) and Multiplex Imaging applications.

Use our conjugation kits for antibody conjugates that are ready-to-use in as little as 20 minutes with 1 minute hands-on-time and 100% antibody recovery: available for fluorescent dyes, HRP, biotin and gold.

Compatibility
This product is compatible with the Maxpar® Antibody Labeling Kit from Fluidigm, without the need for antibody preparation. Maxpar® is a trademark of Fluidigm Canada Inc.

Properties and storage information

Form
Liquid
Purification technique
Affinity purification Protein A
Storage buffer
pH: 7.2 - 7.4 Constituents: PBS
Shipped at conditions
Blue Ice
Appropriate short-term storage conditions
+4°C
Appropriate long-term storage conditions
+4°C
Storage information
Do Not Freeze

Supplementary information

This supplementary information is collated from multiple sources and compiled automatically.

NR2F2 also known as COUP-TFII (Chicken Ovalbumin Upstream Promoter Transcription Factor II) is a nuclear receptor that functions as a transcription factor. It has a molecular mass of approximately 48 kDa. It binds to DNA target sequences and regulates gene expression involved in various developmental processes. NR2F2 is expressed in the heart blood vessels and various tissues such as the lungs and the central nervous system. Its role in transcriptional regulation makes it important for proper cell and tissue differentiation.
Biological function summary

NR2F2 is involved in the regulation of angiogenesis and cardiovascular development. It forms a heterodimer with retinoid X receptor (RXR) to regulate gene expression. This interaction places NR2F2 as part of a larger network controlling organ development and metabolic processes. NR2F2 activity also influences energy homeostasis and adipogenesis through its transcriptional regulation abilities.

Pathways

NR2F2 influences the Wnt signaling and Notch signaling pathways which play important roles in cell proliferation and differentiation. These pathways interact with other proteins such as beta-catenin and Notch receptors. NR2F2 modulates gene expression at different cellular stages and contributes to the precise regulation required within these pathways.

NR2F2 is linked to congenital heart defects and cancer. Aberrant NR2F2 expression disrupts normal developmental processes contributing to heart malformations. In cancer altered NR2F2 expression and function can facilitate tumor progression and metastasis often involving interaction with other proteins like TGF-beta and SMADs essential for tumor suppression pathways. The ability of NR2F2 to control critical transcriptional networks makes it a significant target for understanding and potentially treating these conditions.

Product protocols

For this product, it's our understanding that no specific protocols are required. You can visit:

Target data

Ligand-activated transcription factor. Activated by high concentrations of 9-cis-retinoic acid and all-trans-retinoic acid, but not by dexamethasone, cortisol or progesterone (in vitro). Regulation of the apolipoprotein A-I gene transcription. Binds to DNA site A. May be required to establish ovary identity during early gonad development (PubMed : 29478779).
See full target information NR2F2

Publications (2)

Recent publications for all applications. Explore the full list and refine your search

iScience 27:110500 PubMed39171293

2024

Conserved role of FOXC1 in TNBC is parallel to FOXA1 in ER+ breast cancer.

Applications

Unspecified application

Species

Unspecified reactive species

Revathy Ramachandran,Shakhzada Ibragimova,Laura M Woods,Tamader AlHouqani,Roshna Lawrence Gomez,Fabrizio Simeoni,Mahmood Y Hachim,Tim C P Somervaille,Anna Philpott,Jason S Carroll,Fahad R Ali

eNeuro 9: PubMed36265904

2022

Distribution Features and Potential Effects of Serotonin in the Cerebrum of SOD1 G93A Transgenic Mice.

Applications

Unspecified application

Species

Unspecified reactive species

Pei He,Binjun He,Shu Li,Wen Chai,Wei Rao,Yu Zhu,Wenzhi Chen,Ping Zhang,Xiong Zhang,Haili Pan,Renshi Xu
View all publications

Product promise

We are committed to supporting your work with high-quality reagents, and we're here for you every step of the way. In the unlikely event that one of our products does not perform as expected, you're protected by our Product Promise.
For full details, please see our Terms & Conditions

Please note: All products are 'FOR RESEARCH USE ONLY. NOT FOR USE IN DIAGNOSTIC OR THERAPEUTIC PROCEDURES'.

For licensing inquiries, please contact partnerships@abcam.com