JavaScript is disabled in your browser. Please enable JavaScript to view this website.
AB41859

Anti-NR2F2 antibody [H7147]

4

(2 Reviews)

|

(29 Publications)

Mouse Monoclonal NR2F2 antibody. Suitable for IP, ELISA, WB, IHC-P, ICC/IF and reacts with Mouse, Rat, Human samples. Cited in 29 publications. Immunogen corresponding to Recombinant Fragment Protein within Human NR2F2 aa 1-100.

View Alternative Names

ARP1, TFCOUP2, NR2F2, COUP transcription factor 2, COUP-TF2, Apolipoprotein A-I regulatory protein 1, COUP transcription factor II, Nuclear receptor subfamily 2 group F member 2, ARP-1, COUP-TF II

3 Images
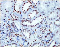
Immunohistochemistry (Formalin/PFA-fixed paraffin-embedded sections) - Anti-NR2F2 antibody [H7147] (AB41859)
  • IHC-P

Unknown

Immunohistochemistry (Formalin/PFA-fixed paraffin-embedded sections) - Anti-NR2F2 antibody [H7147] (AB41859)

ab41859 staining human NR2F2 in convoluted tubule by Immunohistochemistry (FFPE-sections) 10ug/ml.

This image was generated using the ascites version of the product.

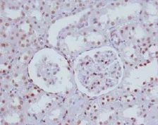
Immunohistochemistry (Formalin/PFA-fixed paraffin-embedded sections) - Anti-NR2F2 antibody [H7147] (AB41859)
  • IHC-P

Unknown

Immunohistochemistry (Formalin/PFA-fixed paraffin-embedded sections) - Anti-NR2F2 antibody [H7147] (AB41859)

ab41859 staining rat NR2F2 in Glomerular by Immunohistochemistry (FFPE-sections) 10ug/ml.

This image was generated using the ascites version of the product.

Western blot - Anti-NR2F2 antibody [H7147] (AB41859)
  • WB

Unknown

Western blot - Anti-NR2F2 antibody [H7147] (AB41859)

This image was generated using the ascites version of the product.

All lanes:

Western blot - Anti-NR2F2 antibody [H7147] (ab41859) at 1 µg/mL

Lane 1:

Caco 2 (Human colonic carcinoma cell line) Whole Cell Lysate at 10 µg

Lane 2:

HEK293 (Human embryonic kidney cell line) Whole Cell Lysate at 10 µg

Secondary

All lanes:

Western blot - Goat Anti-Mouse IgG H&L (HRP) preadsorbed (<a href='/en-us/products/secondary-antibodies/goat-mouse-igg-h-l-hrp-preadsorbed-ab97040'>ab97040</a>) at 1/5000 dilution

Predicted band size: 46 kDa

Observed band size: 49 kDa,72 kDa

true

Exposure time: 4min

Key facts

Host species

Mouse

Clonality

Monoclonal

Clone number

H7147

Isotype

IgG2a

Carrier free

No

Reacts with

Rat, Human, Mouse

Applications

ELISA, IP, IHC-P, WB, ICC/IF

applications

Immunogen

Recombinant Fragment Protein within Human NR2F2 aa 1-100. The exact immunogen used to generate this antibody is proprietary information.

P24468

Reactivity data

{ "title": "Reactivity Data", "filters": { "stats": ["", "Species", "Dilution Info", "Notes"], "tabs": { "all-applications": {"fullname" : "All Applications", "shortname": "All Applications"}, "IP" : {"fullname" : "Immunoprecipitation", "shortname":"IP"}, "ELISA" : {"fullname" : "ELISA", "shortname":"ELISA"}, "WB" : {"fullname" : "Western blot", "shortname":"WB"}, "IHCP" : {"fullname" : "Immunohistochemistry (Formalin/PFA-fixed paraffin-embedded sections)", "shortname":"IHC-P"}, "ICCIF" : {"fullname" : "Immunocytochemistry/ Immunofluorescence", "shortname":"ICC/IF"} }, "product-promise": { "all": "all", "testedAndGuaranteed": "tested", "guaranteed": "expected", "predicted": "predicted", "notRecommended": "not-recommended" } }, "values": { "Human": { "IP-species-checked": "guaranteed", "IP-species-dilution-info": "", "IP-species-notes": "<p></p>", "ELISA-species-checked": "guaranteed", "ELISA-species-dilution-info": "", "ELISA-species-notes": "<p></p>", "WB-species-checked": "testedAndGuaranteed", "WB-species-dilution-info": "", "WB-species-notes": "<p></p>", "IHCP-species-checked": "testedAndGuaranteed", "IHCP-species-dilution-info": "", "IHCP-species-notes": "<p></p>", "ICCIF-species-checked": "guaranteed", "ICCIF-species-dilution-info": "", "ICCIF-species-notes": "<p></p>" }, "Mouse": { "IP-species-checked": "guaranteed", "IP-species-dilution-info": "", "IP-species-notes": "<p></p>", "ELISA-species-checked": "guaranteed", "ELISA-species-dilution-info": "", "ELISA-species-notes": "<p></p>", "WB-species-checked": "predicted", "WB-species-dilution-info": "", "WB-species-notes": "", "IHCP-species-checked": "predicted", "IHCP-species-dilution-info": "", "IHCP-species-notes": "", "ICCIF-species-checked": "guaranteed", "ICCIF-species-dilution-info": "", "ICCIF-species-notes": "<p></p>" }, "Rat": { "IP-species-checked": "guaranteed", "IP-species-dilution-info": "", "IP-species-notes": "<p></p>", "ELISA-species-checked": "guaranteed", "ELISA-species-dilution-info": "", "ELISA-species-notes": "<p></p>", "WB-species-checked": "guaranteed", "WB-species-dilution-info": "", "WB-species-notes": "", "IHCP-species-checked": "testedAndGuaranteed", "IHCP-species-dilution-info": "", "IHCP-species-notes": "<p></p>", "ICCIF-species-checked": "guaranteed", "ICCIF-species-dilution-info": "", "ICCIF-species-notes": "<p></p>" }, "Cow": { "IP-species-checked": "predicted", "IP-species-dilution-info": "", "IP-species-notes": "", "ELISA-species-checked": "predicted", "ELISA-species-dilution-info": "", "ELISA-species-notes": "", "WB-species-checked": "predicted", "WB-species-dilution-info": "", "WB-species-notes": "", "IHCP-species-checked": "predicted", "IHCP-species-dilution-info": "", "IHCP-species-notes": "", "ICCIF-species-checked": "predicted", "ICCIF-species-dilution-info": "", "ICCIF-species-notes": "" } } }

Product details

This product was changed from ascites to tissue culture supernatant on 3rd April 2019. Please note that the dilutions may need to be adjusted accordingly. If you have any questions, please do not hesitate to contact our scientific support team.

Properties and storage information

Form
Liquid
Purity
Tissue culture supernatant
Storage buffer
pH: 7 Preservative: 0.1% Sodium azide
Shipped at conditions
Blue Ice
Appropriate short-term storage duration
1-2 weeks
Appropriate short-term storage conditions
+4°C
Appropriate long-term storage conditions
-20°C
Aliquoting information
Upon delivery aliquot

Supplementary information

This supplementary information is collated from multiple sources and compiled automatically.

NR2F2 also known as COUP-TFII (Chicken Ovalbumin Upstream Promoter Transcription Factor II) is a nuclear receptor that functions as a transcription factor. It has a molecular mass of approximately 48 kDa. It binds to DNA target sequences and regulates gene expression involved in various developmental processes. NR2F2 is expressed in the heart blood vessels and various tissues such as the lungs and the central nervous system. Its role in transcriptional regulation makes it important for proper cell and tissue differentiation.
Biological function summary

NR2F2 is involved in the regulation of angiogenesis and cardiovascular development. It forms a heterodimer with retinoid X receptor (RXR) to regulate gene expression. This interaction places NR2F2 as part of a larger network controlling organ development and metabolic processes. NR2F2 activity also influences energy homeostasis and adipogenesis through its transcriptional regulation abilities.

Pathways

NR2F2 influences the Wnt signaling and Notch signaling pathways which play important roles in cell proliferation and differentiation. These pathways interact with other proteins such as beta-catenin and Notch receptors. NR2F2 modulates gene expression at different cellular stages and contributes to the precise regulation required within these pathways.

NR2F2 is linked to congenital heart defects and cancer. Aberrant NR2F2 expression disrupts normal developmental processes contributing to heart malformations. In cancer altered NR2F2 expression and function can facilitate tumor progression and metastasis often involving interaction with other proteins like TGF-beta and SMADs essential for tumor suppression pathways. The ability of NR2F2 to control critical transcriptional networks makes it a significant target for understanding and potentially treating these conditions.

Product protocols

For this product, it's our understanding that no specific protocols are required. You can visit:

Target data

Ligand-activated transcription factor. Activated by high concentrations of 9-cis-retinoic acid and all-trans-retinoic acid, but not by dexamethasone, cortisol or progesterone (in vitro). Regulation of the apolipoprotein A-I gene transcription. Binds to DNA site A. May be required to establish ovary identity during early gonad development (PubMed : 29478779).
See full target information NR2F2

Publications (29)

Recent publications for all applications. Explore the full list and refine your search

Nature neuroscience 28:2022-2033 PubMed40826298

2025

FOXP genes regulate Purkinje cell diversity and cerebellar morphogenesis.

Applications

Unspecified application

Species

Unspecified reactive species

Nagham Khouri-Farah,Qiuxia Guo,Thomas A Perry,Ryan Dussault,James Y H Li

Small methods 9:e2401588 PubMed39871784

2025

Human Dermal Microvascular Arterial and Venous Blood Endothelial Cells and Their Use in Bioengineered Dermo-Epidermal Skin Substitutes.

Applications

Unspecified application

Species

Unspecified reactive species

Dominic Rütsche,Monica Nanni,Phil Cheng,Nicolà Caflisch,Aizhan Tastanova,Céline Jenni,Mitchell P Levesque,Ueli Moehrlen,Agnes S Klar,Thomas Biedermann

International journal of molecular sciences 25: PubMed39000159

2024

Tebuconazole Induces Mouse Fetal Testes Damage via ROS Generation in an Organ Culture Method.

Applications

Unspecified application

Species

Unspecified reactive species

Won-Young Lee,Ran Lee,Hyun-Jung Park

Theranostics 14:249-264 PubMed38164151

2024

Reprogramming of endothelial gene expression by tamoxifen inhibits angiogenesis and ERα-negative tumor growth.

Applications

Unspecified application

Species

Unspecified reactive species

Chanaëlle Fébrissy,Marine Adlanmerini,Christel Péqueux,Frédéric Boudou,Mélissa Buscato,Adrien Gargaros,Silveric Gilardi-Bresson,Khrystyna Boriak,Henrik Laurell,Coralie Fontaine,Benita S Katzenellenbogen,John A Katzenellenbogen,Julie Guillermet-Guibert,Jean-François Arnal,Raphaël Metivier,Françoise Lenfant

International journal of molecular sciences 24: PubMed36768296

2023

Endothelial Cell Markers Are Inferior to Vascular Smooth Muscle Cells Markers in Staining Vasa Vasorum and Are Non-Specific for Distinct Endothelial Cell Lineages in Clinical Samples.

Applications

Unspecified application

Species

Unspecified reactive species

Victoria Markova,Leo Bogdanov,Elena Velikanova,Anastasia Kanonykina,Alexey Frolov,Daria Shishkova,Anastasia Lazebnaya,Anton Kutikhin

Nature communications 13:6902 PubMed36371428

2022

Identification of visual cortex cell types and species differences using single-cell RNA sequencing.

Applications

Unspecified application

Species

Unspecified reactive species

Jia-Ru Wei,Zhao-Zhe Hao,Chuan Xu,Mengyao Huang,Lei Tang,Nana Xu,Ruifeng Liu,Yuhui Shen,Sarah A Teichmann,Zhichao Miao,Sheng Liu

iScience 25:105497 PubMed36425768

2022

Neuronal cell types, projections, and spatial organization of the central amygdala.

Applications

Unspecified application

Species

Unspecified reactive species

Timothy P O'Leary,Rennie M Kendrick,Brianna N Bristow,Kaitlin E Sullivan,Lihua Wang,Jody Clements,Andrew L Lemire,Mark S Cembrowski

Nature communications 13:2760 PubMed35589749

2022

Lipid droplet degradation by autophagy connects mitochondria metabolism to Prox1-driven expression of lymphatic genes and lymphangiogenesis.

Applications

Unspecified application

Species

Unspecified reactive species

Odeta Meçe,Diede Houbaert,Maria-Livia Sassano,Tania Durré,Hannelore Maes,Marco Schaaf,Sanket More,Maarten Ganne,Melissa García-Caballero,Mila Borri,Jelle Verhoeven,Madhur Agrawal,Kathryn Jacobs,Gabriele Bergers,Silvia Blacher,Bart Ghesquière,Mieke Dewerchin,Johan V Swinnen,Stefan Vinckier,María S Soengas,Peter Carmeliet,Agnès Noël,Patrizia Agostinis

International journal of oncology 60: PubMed35348189

2022

Isoforms of the orphan nuclear receptor COUP‑TFII differentially modulate pancreatic cancer progression.

Applications

Unspecified application

Species

Unspecified reactive species

Simone Polvani,Sara Pepe,Sara Tempesti,Mirko Tarocchi,Giada Marroncini,Lapo Bencini,Elisabetta Ceni,Tommaso Mello,Lucia Picariello,Irene Simeone,Cecilia Grappone,Gabriele Dragoni,Lorenzo Antonuzzo,Elisa Giommoni,Stefano Milani,Andrea Galli

Frontiers in bioengineering and biotechnology 9:760309 PubMed34869270

2021

A Pulmonary Vascular Model From Endothelialized Whole Organ Scaffolds.

Applications

Unspecified application

Species

Unspecified reactive species

Yifan Yuan,Katherine L Leiby,Allison M Greaney,Micha Sam Brickman Raredon,Hong Qian,Jonas C Schupp,Alexander J Engler,Pavlina Baevova,Taylor S Adams,Mehmet H Kural,Juan Wang,Tomohiro Obata,Mervin C Yoder,Naftali Kaminski,Laura E Niklason
View all publications

Product promise

We are committed to supporting your work with high-quality reagents, and we're here for you every step of the way. In the unlikely event that one of our products does not perform as expected, you're protected by our Product Promise.
For full details, please see our Terms & Conditions

Please note: All products are 'FOR RESEARCH USE ONLY. NOT FOR USE IN DIAGNOSTIC OR THERAPEUTIC PROCEDURES'.

For licensing inquiries, please contact partnerships@abcam.com