JavaScript is disabled in your browser. Please enable JavaScript to view this website.
AB242018

Anti-NR2F6/EAR-2 antibody [EPR22260] - BSA and Azide free

Be the first to review this product! Submit a review

|

(0 Publication)

Rabbit Recombinant Monoclonal NR2F6/EAR-2 antibody. Carrier free. Suitable for IP, WB, Flow Cyt (Intra), IHC-P and reacts with Human samples.

View Alternative Names

EAR2, ERBAL2, NR2F6, Nuclear receptor subfamily 2 group F member 6, V-erbA-related protein 2, EAR-2

4 Images
Immunohistochemistry (Formalin/PFA-fixed paraffin-embedded sections) - Anti-NR2F6/EAR-2 antibody [EPR22260] - BSA and Azide free (AB242018)
  • IHC-P

Supplier Data

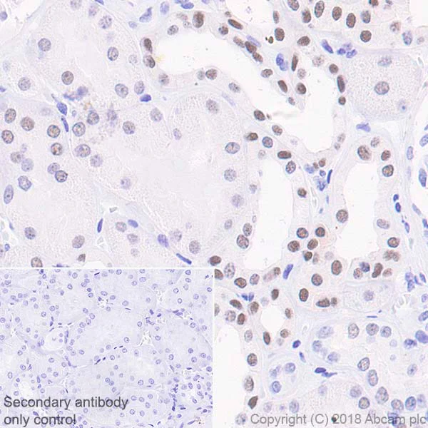
Immunohistochemistry (Formalin/PFA-fixed paraffin-embedded sections) - Anti-NR2F6/EAR-2 antibody [EPR22260] - BSA and Azide free (AB242018)

Immunohistochemical analysis of paraffin-embedded human kidney tissue labeling NR2F6/EAR-2 with ab223265 at 1/500 dilution, followed by Goat Anti-Rabbit IgG H&L (HRP) Ready to use. Nuclear staining on human kidney (PMID : 10713182). Counterstained with Hematoxylin.

Secondary antibody only control : Used PBS instead of primary antibody, secondary antibody is Goat Anti-Rabbit IgG H&L (HRP) Ready to use.

This data was developed using the same antibody clone in a different buffer formulation containing PBS, BSA, glycerol, and sodium azide (ab223265).

Perform heat mediated antigen retrieval with Tris/EDTA buffer pH 9.0 before commencing with IHC staining protocol.

Flow Cytometry (Intracellular) - Anti-NR2F6/EAR-2 antibody [EPR22260] - BSA and Azide free (AB242018)
  • Flow Cyt (Intra)

Supplier Data

Flow Cytometry (Intracellular) - Anti-NR2F6/EAR-2 antibody [EPR22260] - BSA and Azide free (AB242018)

Intracellular flow cytometric analysis of 4% paraformaldehyde-fixed 90% methanol permeabilized HeLa (human epithelial cell line from cervix adenocarcinoma) cell line labeling NR2F6/EAR-2 with ab223265 at 1/40 dilution (red) compared with a Rabbit IgG, monoclonal [EPR25A] - Isotype Control (ab172730) (black) and an unlabeled control (cells without incubation with primary antibody and secondary antibody) (blue). Goat Anti-Rabbit IgG H&L (Alexa Fluor® 488) (ab150077) at 1/2000 dilution was used as the secondary antibody.

This data was developed using the same antibody clone in a different buffer formulation containing PBS, BSA, glycerol, and sodium azide (ab223265).

Immunohistochemistry (Formalin/PFA-fixed paraffin-embedded sections) - Anti-NR2F6/EAR-2 antibody [EPR22260] - BSA and Azide free (AB242018)
  • IHC-P

Supplier Data

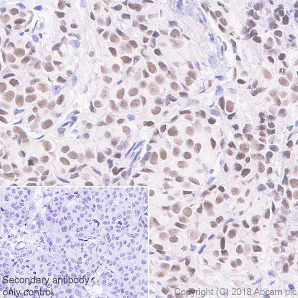
Immunohistochemistry (Formalin/PFA-fixed paraffin-embedded sections) - Anti-NR2F6/EAR-2 antibody [EPR22260] - BSA and Azide free (AB242018)

Immunohistochemical analysis of paraffin-embedded human breast carcinoma tissue labeling NR2F6/EAR-2 with ab223265 at 1/500 dilution, followed by Goat Anti-Rabbit IgG H&L (HRP) Ready to use. Nuclear staining on human breast carcinoma (PMID : 27775588). Counterstained with Hematoxylin.

Secondary antibody only control : Used PBS instead of primary antibody, secondary antibody is Goat Anti-Rabbit IgG H&L (HRP) Ready to use.

This data was developed using the same antibody clone in a different buffer formulation containing PBS, BSA, glycerol, and sodium azide (ab223265).

Perform heat mediated antigen retrieval with Tris/EDTA buffer pH 9.0 before commencing with IHC staining protocol.

Immunoprecipitation - Anti-NR2F6/EAR-2 antibody [EPR22260] - BSA and Azide free (AB242018)
  • IP

Supplier Data

Immunoprecipitation - Anti-NR2F6/EAR-2 antibody [EPR22260] - BSA and Azide free (AB242018)

NR2F6/EAR-2 was immunoprecipitated from 0.35 mg HeLa (human epithelial cell line from cervix adenocarcinoma) whole cell lysate with ab223265 at 1/30 dilution. Western blot was performed on the immunoprecipitate using ab223265 at 1/1000 dilution. VeriBlot for IP Detection Reagent (HRP) (ab131366) was used for detection at 1/5000 dilution.

Lane 1 : HeLa whole cell lysate 10 μg (input).
Lane 2 : ab223265 IP in HeLa whole cell lysate.
Lane 3 : Rabbit monoclonal IgG (ab172730) instead of ab223265 in HeLa whole cell lysate.

Blocking and dilution buffer and concentration : 5% NFDM/TBST.
Exposure time : 30 seconds.

This data was developed using the same antibody clone in a different buffer formulation containing PBS, BSA, glycerol, and sodium azide (ab223265).

All lanes:

Immunoprecipitation - Anti-NR2F6/EAR-2 antibody [EPR22260] (<a href='/en-us/products/primary-antibodies/nr2f6-ear-2-antibody-epr22260-ab223265'>ab223265</a>)

Predicted band size: 43 kDa

false

Key facts

Host species

Rabbit

Clonality

Monoclonal

Clone number

EPR22260

Isotype

IgG

Carrier free

Yes

Reacts with

Human

Applications

Flow Cyt (Intra), IP, WB, IHC-P

applications

Immunogen

The exact immunogen used to generate this antibody is proprietary information.

Reactivity data

{ "title": "Reactivity Data", "filters": { "stats": ["", "Species", "Dilution Info", "Notes"], "tabs": { "all-applications": {"fullname" : "All Applications", "shortname": "All Applications"}, "IP" : {"fullname" : "Immunoprecipitation", "shortname":"IP"}, "WB" : {"fullname" : "Western blot", "shortname":"WB"}, "ICCIF" : {"fullname" : "Immunocytochemistry/ Immunofluorescence", "shortname":"ICC/IF"}, "FlowCytIntra" : {"fullname" : "Flow Cytometry (Intracellular)", "shortname":"Flow Cyt (Intra)"}, "IHCP" : {"fullname" : "Immunohistochemistry (Formalin/PFA-fixed paraffin-embedded sections)", "shortname":"IHC-P"} }, "product-promise": { "all": "all", "testedAndGuaranteed": "tested", "guaranteed": "expected", "predicted": "predicted", "notRecommended": "not-recommended" } }, "values": { "Human": { "IP-species-checked": "testedAndGuaranteed", "IP-species-dilution-info": "", "IP-species-notes": "<p></p>", "WB-species-checked": "guaranteed", "WB-species-dilution-info": "", "WB-species-notes": "<p></p>", "ICCIF-species-checked": "notRecommended", "ICCIF-species-dilution-info": "", "ICCIF-species-notes": "<p></p>", "FlowCytIntra-species-checked": "testedAndGuaranteed", "FlowCytIntra-species-dilution-info": "", "FlowCytIntra-species-notes": "<p></p>", "IHCP-species-checked": "testedAndGuaranteed", "IHCP-species-dilution-info": "", "IHCP-species-notes": "<p></p>" } } }

Product details

ab242018 is the carrier-free version of ab223265.

Patented technology
Our RabMAb® technology is a patented hybridoma-based technology for making rabbit monoclonal antibodies. For details on our patents, please refer to RabMAb® patents.

What are the advantages of a recombinant monoclonal antibody?
This product is a recombinant monoclonal antibody, which offers several advantages including:

  • - High batch-to-batch consistency and reproducibility
  • - Improved sensitivity and specificity
  • - Long-term security of supply
  • - Animal-free batch production

For more information, read more on recombinant antibodies.

Conjugation ready
Our carrier-free antibodies are typically supplied in a PBS-only formulation, purified and free of BSA, sodium azide and glycerol. This conjugation-ready format is designed for use with fluorochromes, metal isotopes, oligonucleotides, and enzymes, which makes them ideal for antibody labelling, functional and cell-based assays, flow-based assays (e.g. mass cytometry) and Multiplex Imaging applications.

Use our conjugation kits for antibody conjugates that are ready-to-use in as little as 20 minutes with 1 minute hands-on-time and 100% antibody recovery: available for fluorescent dyes, HRP, biotin and gold.

Compatibility
This product is compatible with the Maxpar® Antibody Labeling Kit from Fluidigm, without the need for antibody preparation. Maxpar® is a trademark of Fluidigm Canada Inc.

Properties and storage information

Form
Liquid
Purification technique
Affinity purification Protein A
Storage buffer
pH: 7.2 - 7.4 Constituents: PBS
Shipped at conditions
Blue Ice
Appropriate short-term storage conditions
+4°C
Appropriate long-term storage conditions
+4°C
Storage information
Do Not Freeze

Supplementary information

This supplementary information is collated from multiple sources and compiled automatically.

NR2F6 also known as Ear-2 is an orphan nuclear receptor protein that plays a role as a transcription factor. It often weighs around 46 kDa and is expressed in various tissues including the immune cells and certain cancer cells. As a receptor it regulates gene expression by binding to specific DNA sequences affecting the transcription of genes involved in immune responses and development processes.
Biological function summary

NR2F6 acts as a negative regulator in Th17 cells and Treg cells suppressing the immune response. It does not form a well-defined complex but interacts with various co-repressors and co-activators to execute its function. Its activity impacts T cell activity and inflammatory responses indicating its role in immune modulation and homeostasis.

Pathways

NR2F6 participates in the immune signaling pathways and the development of Th17 cells. It influences the IL-17 signaling pathway by interacting with related proteins impacting the secretion of pro-inflammatory cytokines. Furthermore NR2F6 is associated with nuclear receptor pathways interacting with other transcription factors such as RORγt critical for immune cell differentiation.

NR2F6 plays an important role in autoimmune diseases like arthritis and cancer progression. Its ability to modulate immune responses connects it to immune-related disorders where its overexpression may lead to uncontrolled inflammation. Additionally NR2F6 affects the expression of proteins such as PD-1 in cancers where its regulatory functions can alter tumor immunity and potentially affect cancer growth and treatment responses.

Product protocols

For this product, it's our understanding that no specific protocols are required. You can visit:

Target data

Transcription factor predominantly involved in transcriptional repression. Binds to promoter/enhancer response elements that contain the imperfect 5'-AGGTCA-3' direct or inverted repeats with various spacings which are also recognized by other nuclear hormone receptors. Involved in modulation of hormonal responses. Represses transcriptional activity of the lutropin-choriogonadotropic hormone receptor/LHCGR gene, the renin/REN gene and the oxytocin-neurophysin/OXT gene. Represses the triiodothyronine-dependent and -independent transcriptional activity of the thyroid hormone receptor gene in a cell type-specific manner. The corepressing function towards thyroid hormone receptor beta/THRB involves at least in part the inhibition of THRB binding to triiodothyronine response elements (TREs) by NR2F6. Inhibits NFATC transcription factor DNA binding and subsequently its transcriptional activity. Acts as transcriptional repressor of IL-17 expression in Th-17 differentiated CD4(+) T cells and may be involved in induction and/or maintenance of peripheral immunological tolerance and autoimmunity. Involved in development of forebrain circadian clock; is required early in the development of the locus coeruleus (LC).
See full target information NR2F6

Product promise

We are committed to supporting your work with high-quality reagents, and we're here for you every step of the way. In the unlikely event that one of our products does not perform as expected, you're protected by our Product Promise.
For full details, please see our Terms & Conditions

Please note: All products are 'FOR RESEARCH USE ONLY. NOT FOR USE IN DIAGNOSTIC OR THERAPEUTIC PROCEDURES'.

For licensing inquiries, please contact partnerships@abcam.com