JavaScript is disabled in your browser. Please enable JavaScript to view this website.
AB300431

Anti-NRAS antibody [EPR25186-24]

  • 20ul selling size
  • RabMAb
  • Recombinant
  • KO Validated
  • What is this?

Be the first to review this product! Submit a review

|

(2 Publications)

Anti-NRAS antibody [EPR25186-24] is a Rabbit Monoclonal antibody that is used in NRAS Western Blot. Suitable for Human, Mouse, Rat samples.

Neuroblastoma RAS viral (v-ras) oncogene homolog (NRAS) is a GTPase enzyme that converts GTP to GDP. NRAS plays a key role in cell signalling.

View Alternative Names

GTPase NRas, Transforming protein N-Ras, Nras

2 Images
Western blot - Anti-NRAS antibody [EPR25186-24] (AB300431)
  • WB

Supplier Data

Western blot - Anti-NRAS antibody [EPR25186-24] (AB300431)

Blocking and diluting buffer and concentration : 5% NFDM/TBST This antibody does not cross-react with human KRAS or HRAS.

All lanes:

Western blot - Anti-NRAS antibody [EPR25186-24] (ab300431) at 1/1000 dilution

Lane 1:

Human KRAS recombinant protein

Lane 2:

His-tagged human HRAS recombinant protein

Lane 3:

His-tagged human NRAS recombinant protein

Secondary

All lanes:

Western blot - Goat Anti-Rabbit IgG H&L (HRP) (<a href='/en-us/products/secondary-antibodies/goat-rabbit-igg-h-l-hrp-ab97051'>ab97051</a>) at 1/100000 dilution

Observed band size: 21 kDa

false

Exposure time: 37s

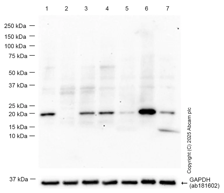
Western blot - Anti-NRAS antibody [EPR25186-24] (AB300431)
  • WB

Lab

Western blot - Anti-NRAS antibody [EPR25186-24] (AB300431)

Blocking and diluting buffer and concentration : 5% NFDM/TBST.

In Western blot, Anti-GAPDH antibody [EPR16891] - Loading Control (ab181602) staining at 1/1000000 dilution.

All lanes:

Western blot - Anti-NRAS antibody [EPR25186-24] (ab300431) at 1/1000 dilution

Lane 1:

HEK-293 (human embryonic kidney epithelial cell) whole cell lysate at 20 µg

Lane 2:

NRAS KO HEK293T (human embryonic kidney epithelial cell) whole cell lysate at 20 µg

Lane 3:

HeLa (human cervix adenocarcinoma epithelial cell) whole cell lysate at 20 µg

Lane 4:

NIH/3T3 (mouse embryonic fibroblast) whole cell lysate at 20 µg

Lane 5:

Mouse spleen tissue lysate at 20 µg

Lane 6:

C6 (rat glial tumor glial cell) whole cell lysate at 20 µg

Lane 7:

Rat spleen tissue lysate at 20 µg

Secondary

All lanes:

Western blot - Goat Anti-Rabbit IgG H&L (HRP) (<a href='/en-us/products/secondary-antibodies/goat-rabbit-igg-h-l-hrp-ab97051'>ab97051</a>) at 1/20000 dilution

Observed band size: 21 kDa

false

Exposure time: 180s

  • Carrier free

    Anti-NRAS antibody [EPR25186-24] - BSA and Azide free

Key facts

Host species

Rabbit

Clonality

Monoclonal

Clone number

EPR25186-24

Isotype

IgG

Carrier free

No

Reacts with

Rat, Human, Mouse

Applications

WB

applications

Immunogen

The exact immunogen used to generate this antibody is proprietary information.

Reactivity data

{ "title": "Reactivity Data", "filters": { "stats": ["", "Species", "Dilution Info", "Notes"], "tabs": { "all-applications": {"fullname" : "All Applications", "shortname": "All Applications"}, "IP" : {"fullname" : "Immunoprecipitation", "shortname":"IP"}, "FlowCytIntra" : {"fullname" : "Flow Cytometry (Intracellular)", "shortname":"Flow Cyt (Intra)"}, "ICCIF" : {"fullname" : "Immunocytochemistry/ Immunofluorescence", "shortname":"ICC/IF"}, "IHCP" : {"fullname" : "Immunohistochemistry (Formalin/PFA-fixed paraffin-embedded sections)", "shortname":"IHC-P"}, "WB" : {"fullname" : "Western blot", "shortname":"WB"} }, "product-promise": { "all": "all", "testedAndGuaranteed": "tested", "guaranteed": "expected", "predicted": "predicted", "notRecommended": "not-recommended" } }, "values": { "Human": { "IP-species-checked": "notRecommended", "IP-species-dilution-info": "", "IP-species-notes": "<p></p>", "FlowCytIntra-species-checked": "notRecommended", "FlowCytIntra-species-dilution-info": "", "FlowCytIntra-species-notes": "<p></p>", "ICCIF-species-checked": "notRecommended", "ICCIF-species-dilution-info": "", "ICCIF-species-notes": "<p></p>", "IHCP-species-checked": "notRecommended", "IHCP-species-dilution-info": "", "IHCP-species-notes": "<p></p>", "WB-species-checked": "testedAndGuaranteed", "WB-species-dilution-info": "1/1000", "WB-species-notes": "<p></p>" }, "Mouse": { "IP-species-checked": "notRecommended", "IP-species-dilution-info": "", "IP-species-notes": "<p></p>", "FlowCytIntra-species-checked": "notRecommended", "FlowCytIntra-species-dilution-info": "", "FlowCytIntra-species-notes": "<p></p>", "ICCIF-species-checked": "notRecommended", "ICCIF-species-dilution-info": "", "ICCIF-species-notes": "<p></p>", "IHCP-species-checked": "notRecommended", "IHCP-species-dilution-info": "", "IHCP-species-notes": "<p></p>", "WB-species-checked": "testedAndGuaranteed", "WB-species-dilution-info": "1/1000", "WB-species-notes": "<p></p>" }, "Rat": { "IP-species-checked": "notRecommended", "IP-species-dilution-info": "", "IP-species-notes": "", "FlowCytIntra-species-checked": "notRecommended", "FlowCytIntra-species-dilution-info": "", "FlowCytIntra-species-notes": "", "ICCIF-species-checked": "notRecommended", "ICCIF-species-dilution-info": "", "ICCIF-species-notes": "", "IHCP-species-checked": "notRecommended", "IHCP-species-dilution-info": "", "IHCP-species-notes": "<p></p>", "WB-species-checked": "testedAndGuaranteed", "WB-species-dilution-info": "1/1000", "WB-species-notes": "<p></p>" }, "Recombinant full length protein - Human": { "IP-species-checked": "notRecommended", "IP-species-dilution-info": "", "IP-species-notes": "", "FlowCytIntra-species-checked": "notRecommended", "FlowCytIntra-species-dilution-info": "", "FlowCytIntra-species-notes": "", "ICCIF-species-checked": "notRecommended", "ICCIF-species-dilution-info": "", "ICCIF-species-notes": "", "IHCP-species-checked": "notRecommended", "IHCP-species-dilution-info": "", "IHCP-species-notes": "", "WB-species-checked": "testedAndGuaranteed", "WB-species-dilution-info": "1/1000", "WB-species-notes": "<p></p>" } } }

Product details

Patented technology
Our RabMAb® technology is a patented hybridoma-based technology for making rabbit monoclonal antibodies. For details on our patents, please refer to RabMAb® patents.

What are the advantages of a recombinant monoclonal antibody?
This product is a recombinant monoclonal antibody, which offers several advantages including:

  • - High batch-to-batch consistency and reproducibility
  • - Improved sensitivity and specificity
  • - Long-term security of supply
  • - Animal-free batch production

For more information, read more on recombinant antibodies.

Properties and storage information

Form
Liquid
Purification technique
Affinity purification Protein A
Storage buffer
pH: 7.2 - 7.4 Preservative: 0.01% Sodium azide Constituents: PBS, 40% Glycerol (glycerin, glycerine), 0.05% BSA
Shipped at conditions
Blue Ice
Appropriate short-term storage duration
1-2 weeks
Appropriate short-term storage conditions
+4°C
Appropriate long-term storage conditions
-20°C
Aliquoting information
Upon delivery aliquot
Storage information
Avoid freeze / thaw cycle

Supplementary information

This supplementary information is collated from multiple sources and compiled automatically.

The NRAS protein also known as neuroblastoma RAS viral oncogene homolog has a molecular weight of approximately 24 kDa. It functions mechanically as a GTPase cycling between an inactive GDP-bound state and an active GTP-bound state. The NRAS gene which encodes this protein shows expression in various tissues including the thymus leukocytes and other cells of the hematopoietic lineage. Activation of RAS involves the conversion to the GTP-bound form which enables NRAS to transmit signals within cells.
Biological function summary

NRAS plays an important role in cell proliferation differentiation and survival. It does not function alone but is part of the larger RAS protein family including HRAS and KRAS with whom it shares similar roles and sequence homology. NRAS interacts with various growth factor receptors and mediates signals to downstream effectors that influence cellular processes. Mutations in the NRAS gene can affect these biological processes leading to altered cell behavior.

Pathways

NRAS has significant roles in the MAPK/ERK pathway and the PI3K/AKT pathway. These pathways regulate fundamental cellular functions including growth and survival. NRAS interacts closely with other proteins such as RAF kinases and PI3K to propagate signals from activated receptors at the cell membrane to the nucleus. Altered NRAS activity can impact these pathways affecting cellular responses to external stimuli.

NRAS mutations are linked to certain cancers including melanoma and acute myeloid leukemia (AML). Mutant forms of NRAS result in constitutively activated RAS contributing to uncontrolled cell growth and survival. In melanoma NRAS mutations frequently co-occur with alterations in other proteins such as BRAF another member of the RAS/RAF/MEK/ERK pathway. Understanding NRAS's involvement in these conditions is critical for developing targeted therapeutic strategies.

Product protocols

For this product, it's our understanding that no specific protocols are required. You can visit:

Target data

Ras proteins bind GDP/GTP and possess intrinsic GTPase activity.
See full target information RASN

Publications (2)

Recent publications for all applications. Explore the full list and refine your search

Frontiers in cell and developmental biology 13:1600103 PubMed40433545

2025

MiR-425-5p intervenes in autoimmune myocarditis by regulating Treg cell differentiation through NRAS.

Applications

Unspecified application

Species

Unspecified reactive species

Shan Zhou,Li Zhang,Xiuyun Duan,Keyu Liu,You Yingnan,Mengjie Ma,Bo Han

Cell reports 41:111623 PubMed36351408

2022

NF1 loss of function as an alternative initiating event in pancreatic ductal adenocarcinoma.

Applications

Unspecified application

Species

Unspecified reactive species

Gopalakrishnan Ramakrishnan,Parash Parajuli,Pura Singh,Creighton Friend,Eric Hurwitz,Celine Prunier,Mohammed S Razzaque,Keli Xu,Azeddine Atfi
View all publications

Product promise

We are committed to supporting your work with high-quality reagents, and we're here for you every step of the way. In the unlikely event that one of our products does not perform as expected, you're protected by our Product Promise.
For full details, please see our Terms & Conditions

Please note: All products are 'FOR RESEARCH USE ONLY. NOT FOR USE IN DIAGNOSTIC OR THERAPEUTIC PROCEDURES'.

For licensing inquiries, please contact partnerships@abcam.com