JavaScript is disabled in your browser. Please enable JavaScript to view this website.
AB251072

Anti-NrCAM antibody [EPR15654] - BSA and Azide free

Be the first to review this product! Submit a review

|

(1 Publication)

Rabbit Recombinant Monoclonal NRCAM antibody. Carrier free. Suitable for IHC-P, IP, WB and reacts with Human samples. Cited in 1 publication.

View Alternative Names

KIAA0343, NRCAM, Neuronal cell adhesion molecule, Nr-CAM, Neuronal surface protein Bravo, NgCAM-related cell adhesion molecule, hBravo, Ng-CAM-related

5 Images
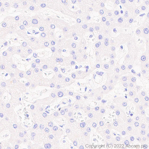
Immunohistochemistry (Formalin/PFA-fixed paraffin-embedded sections) - Anti-NrCAM antibody [EPR15654] - BSA and Azide free (AB251072)
  • IHC-P

Supplier Data

Immunohistochemistry (Formalin/PFA-fixed paraffin-embedded sections) - Anti-NrCAM antibody [EPR15654] - BSA and Azide free (AB251072)

Immunohistochemical analysis of paraffin-embedded human liver tissue labelling NrCAM with ab191418 at 1/500 dilution (0.89 μg/ml) followed by LeicaDS9800 (Bond™ Polymer Refine Detection) secondary antibody at a ready to use concentration. Negative control : no staining on human liver. The section was incubated with ab191418 for 30 mins at room temperature. The immunostaining was performed on a Leica Biosystems BOND® RX instrument. Heat mediated antigen retrieval was performed with Tris-EDTA buffer (pH 9.0, Epitope Retrieval Solution2) for 20 mins. This data was developed using ab191418, the same antibody clone in a different buffer formulation.

Immunohistochemistry (Formalin/PFA-fixed paraffin-embedded sections) - Anti-NrCAM antibody [EPR15654] - BSA and Azide free (AB251072)
  • IHC-P

Supplier Data

Immunohistochemistry (Formalin/PFA-fixed paraffin-embedded sections) - Anti-NrCAM antibody [EPR15654] - BSA and Azide free (AB251072)

Immunohistochemical analysis of paraffin-embedded human cerebrum tissue labelling NrCAM with ab191418 at 1/500 dilution (0.89 μg/ml) followed by LeicaDS9800 (Bond™ Polymer Refine Detection) secondary antibody at a ready to use concentration. Positive staining on human cerebrum. The section was incubated with ab191418 for 30 mins at room temperature. The immunostaining was performed on a Leica Biosystems BOND® RX instrument. Counterstained with Hematoxylin. Heat mediated antigen retrieval was performed with Tris-EDTA buffer (pH 9.0, Epitope Retrieval Solution2) for 20 mins This data was developed using ab191418, the same antibody clone in a different buffer formulation.

Immunoprecipitation - Anti-NrCAM antibody [EPR15654] - BSA and Azide free (AB251072)
  • IP

Supplier Data

Immunoprecipitation - Anti-NrCAM antibody [EPR15654] - BSA and Azide free (AB251072)

This data was developed using ab191418, the same antibody clone in a different buffer formulation.

Western blot analysis of immunoprecipitation pellet from Human glioma lysate immunoprecipitated using ab191418 at 1/30 dilution.
Secondary : Goat Anti-Rabbit IgG, (H+L), Peroxidase conjugate at 1/1000 dilution.

All lanes:

Immunoprecipitation - Anti-NrCAM antibody [EPR15654] - Neuronal Marker (<a href='/en-us/products/primary-antibodies/nrcam-antibody-epr15654-neuronal-marker-ab191418'>ab191418</a>)

Predicted band size: 144 kDa

false

Western blot - Anti-NrCAM antibody [EPR15654] - BSA and Azide free (AB251072)
  • WB

Supplier Data

Western blot - Anti-NrCAM antibody [EPR15654] - BSA and Azide free (AB251072)

This data was developed using ab191418, the same antibody clone in a different buffer formulation.

All lanes:

Western blot - Anti-NrCAM antibody [EPR15654] - Neuronal Marker (<a href='/en-us/products/primary-antibodies/nrcam-antibody-epr15654-neuronal-marker-ab191418'>ab191418</a>) at 1/10000 dilution

All lanes:

Human forebrain lysate at 10 µg

Secondary

All lanes:

Anti-Rabbit IgG (HRP), specific to the non-reduced form of IgG at 1/1000 dilution

Predicted band size: 144 kDa

false

Western blot - Anti-NrCAM antibody [EPR15654] - BSA and Azide free (AB251072)
  • WB

Supplier Data

Western blot - Anti-NrCAM antibody [EPR15654] - BSA and Azide free (AB251072)

This data was developed using ab191418, the same antibody clone in a different buffer formulation.

All lanes:

Western blot - Anti-NrCAM antibody [EPR15654] - Neuronal Marker (<a href='/en-us/products/primary-antibodies/nrcam-antibody-epr15654-neuronal-marker-ab191418'>ab191418</a>) at 1/50000 dilution

All lanes:

Human glioma lysate at 20 µg

Secondary

All lanes:

Goat Anti-Rabbit IgG, (H+L), Peroxidase conjugated at 1/1000 dilution

Predicted band size: 144 kDa,30 kDa

false

Key facts

Host species

Rabbit

Clonality

Monoclonal

Clone number

EPR15654

Isotype

IgG

Carrier free

Yes

Reacts with

Human

Applications

IHC-P, WB, IP

applications

Immunogen

The exact immunogen used to generate this antibody is proprietary information.

Reactivity data

{ "title": "Reactivity Data", "filters": { "stats": ["", "Species", "Dilution Info", "Notes"], "tabs": { "all-applications": {"fullname" : "All Applications", "shortname": "All Applications"}, "IHCP" : {"fullname" : "Immunohistochemistry (Formalin/PFA-fixed paraffin-embedded sections)", "shortname":"IHC-P"}, "IP" : {"fullname" : "Immunoprecipitation", "shortname":"IP"}, "WB" : {"fullname" : "Western blot", "shortname":"WB"} }, "product-promise": { "all": "all", "testedAndGuaranteed": "tested", "guaranteed": "expected", "predicted": "predicted", "notRecommended": "not-recommended" } }, "values": { "Human": { "IHCP-species-checked": "testedAndGuaranteed", "IHCP-species-dilution-info": "1/500", "IHCP-species-notes": "<p></p>", "IP-species-checked": "testedAndGuaranteed", "IP-species-dilution-info": "", "IP-species-notes": "<p></p>", "WB-species-checked": "testedAndGuaranteed", "WB-species-dilution-info": "", "WB-species-notes": "<p></p>" }, "Mouse": { "IHCP-species-checked": "notRecommended", "IHCP-species-dilution-info": "", "IHCP-species-notes": "<p></p>", "IP-species-checked": "notRecommended", "IP-species-dilution-info": "", "IP-species-notes": "", "WB-species-checked": "notRecommended", "WB-species-dilution-info": "", "WB-species-notes": "" }, "Rat": { "IHCP-species-checked": "notRecommended", "IHCP-species-dilution-info": "", "IHCP-species-notes": "<p></p>", "IP-species-checked": "notRecommended", "IP-species-dilution-info": "", "IP-species-notes": "", "WB-species-checked": "notRecommended", "WB-species-dilution-info": "", "WB-species-notes": "" } } }

Product details

ab251072 is the carrier-free version of ab191418.

Patented technology
Our RabMAb® technology is a patented hybridoma-based technology for making rabbit monoclonal antibodies. For details on our patents, please refer to RabMAb® patents.

What are the advantages of a recombinant monoclonal antibody?
This product is a recombinant monoclonal antibody, which offers several advantages including:

  • - High batch-to-batch consistency and reproducibility
  • - Improved sensitivity and specificity
  • - Long-term security of supply
  • - Animal-free batch production

For more information, read more on recombinant antibodies.

Conjugation ready
Our carrier-free antibodies are typically supplied in a PBS-only formulation, purified and free of BSA, sodium azide and glycerol. This conjugation-ready format is designed for use with fluorochromes, metal isotopes, oligonucleotides, and enzymes, which makes them ideal for antibody labelling, functional and cell-based assays, flow-based assays (e.g. mass cytometry) and Multiplex Imaging applications.

Use our conjugation kits for antibody conjugates that are ready-to-use in as little as 20 minutes with 1 minute hands-on-time and 100% antibody recovery: available for fluorescent dyes, HRP, biotin and gold.

Compatibility
This product is compatible with the Maxpar® Antibody Labeling Kit from Fluidigm, without the need for antibody preparation. Maxpar® is a trademark of Fluidigm Canada Inc.

Properties and storage information

Form
Liquid
Storage buffer
pH: 7.2 - 7.4 Constituents: PBS
Shipped at conditions
Blue Ice
Appropriate short-term storage conditions
+4°C
Appropriate long-term storage conditions
+4°C
Storage information
Do Not Freeze

Supplementary information

This supplementary information is collated from multiple sources and compiled automatically.

NrCAM also known as Neuronal Cell Adhesion Molecule is a protein involved in cell-cell adhesion. It is part of the immunoglobulin superfamily and has a molecular weight of approximately 135 kDa. NrCAM is expressed mainly in the nervous system including areas like the brain and spinal cord. It plays a role in the development and maintenance of neural connections acting as a conduit between neurons.
Biological function summary

NrCAM functions in neural development and synaptic plasticity. It is not only a standalone protein but forms complexes with other adhesion molecules to maintain neural circuit integrity. Through its interactions NrCAM supports processes like axon guidance and dendritic spine formation. It also participates in signaling pathways that regulate these neural processes contributing to the dynamic environment necessary for brain development and function.

Pathways

NrCAM is involved in the formation of neural networks and cellular signaling cascades. It links to pathways such as the axon guidance pathway and neuronal signaling cascade. Through these routes it interacts with proteins like L1CAM and contactin which are pivotal in promoting correct neural patterning. Together these proteins facilitate the direction and bonding between neurons ensuring the establishment of proper neural connections.

NrCAM has associations with neurological conditions like autism spectrum disorder and schizophrenia. Research indicates that alterations in NrCAM expression or function may contribute to the symptoms observed in these disorders. It links with proteins such as DISC1 in schizophrenia context affecting pathways that influence brain connectivity and cognitive function. Understanding NrCAM's role could lead to advancements in therapeutic strategies for these conditions.

Product protocols

For this product, it's our understanding that no specific protocols are required. You can visit:

Target data

Cell adhesion protein that is required for normal responses to cell-cell contacts in brain and in the peripheral nervous system. Plays a role in neurite outgrowth in response to contactin binding. Plays a role in mediating cell-cell contacts between Schwann cells and axons. Plays a role in the formation and maintenance of the nodes of Ranvier on myelinated axons. Nodes of Ranvier contain clustered sodium channels that are crucial for the saltatory propagation of action potentials along myelinated axons. During development, nodes of Ranvier are formed by the fusion of two heminodes. Required for normal clustering of sodium channels at heminodes; not required for the formation of mature nodes with normal sodium channel clusters. Required, together with GLDN, for maintaining NFASC and sodium channel clusters at mature nodes of Ranvier.
See full target information NRCAM

Publications (1)

Recent publications for all applications. Explore the full list and refine your search

Journal of cellular and molecular medicine 25:8127-8139 PubMed34350711

2021

Overexpression of let-7d explains down-regulated KDM3A and ENO2 in the pathogenesis of preeclampsia.

Applications

Unspecified application

Species

Unspecified reactive species

Qian Xu,Yonghui Song,Lili Lu
View all publications

Product promise

We are committed to supporting your work with high-quality reagents, and we're here for you every step of the way. In the unlikely event that one of our products does not perform as expected, you're protected by our Product Promise.
For full details, please see our Terms & Conditions

Please note: All products are 'FOR RESEARCH USE ONLY. NOT FOR USE IN DIAGNOSTIC OR THERAPEUTIC PROCEDURES'.

For licensing inquiries, please contact partnerships@abcam.com