JavaScript is disabled in your browser. Please enable JavaScript to view this website.
AB314642

Anti-NRDP1 antibody [EPR26281-19]

  • 20ul selling size
  • RabMAb
  • Recombinant
  • KO Validated
  • What is this?

Be the first to review this product! Submit a review

|

(0 Publication)

Knockout Tested Rabbit Recombinant Monoclonal NRDP1 antibody. Suitable for WB, IP and reacts with Human, Mouse, Rat samples.

View Alternative Names

FLRF, NRDP1, SBBI03, RNF41, E3 ubiquitin-protein ligase NRDP1, RING finger protein 41, RING-type E3 ubiquitin transferase NRDP1

4 Images
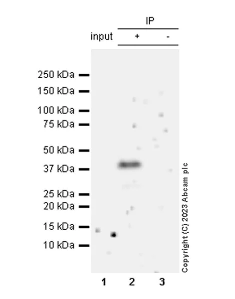
Immunoprecipitation - Anti-NRDP1 antibody [EPR26281-19] (AB314642)
  • IP

Supplier Data

Immunoprecipitation - Anti-NRDP1 antibody [EPR26281-19] (AB314642)

NRDP1 was immunoprecipitated from 0.35 mg HeLa (human cervix adenocarcinoma epithelial cell) whole cell lysate with ab314642 at 1/30 dilution (2ug in 0.35mg lysates). Western blot was performed on the immunoprecipitate using ab314642 at 1/1000 dilution. VeriBlot for IP secondary antibody(HRP)(ab131366) was used at 1/5000 dilution. Lane 1 : HeLa (human cervix adenocarcinoma epithelial cell) whole cell lysate Lane 2 : ab314642 IP in HeLa (human cervix adenocarcinoma epithelial cell) whole cell lysate Lane 3 : Rabbit monoclonal lgG (ab172730) instead of ab314642 in HeLa whole cell lysate Blocking and dilution buffer and concentration : 5% NFDM/TBST.

All lanes:

Immunoprecipitation - Anti-NRDP1 antibody [EPR26281-19] (ab314642) at 1/30 dilution

All lanes:

HeLa (human cervix adenocarcinoma epithelial cell) whole cell lysate

Secondary

All lanes:

Immunoprecipitation - VeriBlot for IP Detection Reagent (HRP) (<a href='/en-us/products/reagents/veriblot-for-ip-detection-reagent-hrp-ab131366'>ab131366</a>) at 1/5000 dilution

false

Exposure time: 180s

Western blot - Anti-NRDP1 antibody [EPR26281-19] (AB314642)
  • WB

Supplier Data

Western blot - Anti-NRDP1 antibody [EPR26281-19] (AB314642)

Blocking and diluting buffer and concentration : 5% NFDM/TBST In Western blot, Anti-GAPDH antibody [EPR16891] - Loading Control (ab181602) staining at 1/200000 dilution.

All lanes:

Western blot - Anti-NRDP1 antibody [EPR26281-19] (ab314642) at 1/1000 dilution

Lane 1:

Human heart tissue lysate at 20 µg

Lane 2:

Mouse heart tissue lysate at 20 µg

Lane 3:

Rat heart tissue lysate at 20 µg

Secondary

Lanes 1 - 3:

Western blot - Goat Anti-Rabbit IgG H&L (HRP) (<a href='/en-us/products/secondary-antibodies/goat-rabbit-igg-h-l-hrp-ab97051'>ab97051</a>) at 1/100000 dilution

Lanes 1 - 3:

Goat Anti-Rabbit IgG (HRP) with minimal cross-reactivity with human IgG at 1/2000 dilution

Observed band size: 37 kDa

true

Exposure time: 180s

Western blot - Anti-NRDP1 antibody [EPR26281-19] (AB314642)
  • WB

Supplier Data

Western blot - Anti-NRDP1 antibody [EPR26281-19] (AB314642)

Blocking and diluting buffer and concentration : 5% NFDM/TBST Low expression : liver. In Western blot, Anti-GAPDH antibody [EPR16891] - Loading Control (ab181602) staining at 1/200000 dilution.

All lanes:

Western blot - Anti-NRDP1 antibody [EPR26281-19] (ab314642) at 1/1000 dilution

Lane 1:

Human testis tissue lysate at 20 µg

Lane 2:

Human liver tissue lysate at 20 µg

Lane 3:

Mouse testis tissue lysate at 20 µg

Lane 4:

Mouse liver tissue lysate at 20 µg

Lane 5:

Rat testis tissue lysate at 20 µg

Lane 6:

Rat liver tissue lysate at 20 µg

Secondary

Lanes 1 - 6:

Western blot - Goat Anti-Rabbit IgG H&L (HRP) (<a href='/en-us/products/secondary-antibodies/goat-rabbit-igg-h-l-hrp-ab97051'>ab97051</a>) at 1/100000 dilution

Lanes 1 - 6:

Goat Anti-Rabbit IgG (HRP) with minimal cross-reactivity with human IgG at 1/2000 dilution

Observed band size: 37 kDa

false

Exposure time: 180s

Western blot - Anti-NRDP1 antibody [EPR26281-19] (AB314642)
  • WB

Supplier Data

Western blot - Anti-NRDP1 antibody [EPR26281-19] (AB314642)

Blocking and diluting buffer and concentration : 5% NFDM/TBST Lysates/proteins at 20 µg per lane. In Western blot, ab314642 was shown to bind specifically to NRDP1. A band was observed at 37 kDa in wild-type Hela cell lysates with whereas no signal observed at this size in NRDP1 knockout cell line ab265213 (knockout cell lysate ab263331). In Western blot, Anti-GAPDH antibody [EPR16891] - Loading Control (ab181602) staining at 1/200000 dilution.

All lanes:

Western blot - Anti-NRDP1 antibody [EPR26281-19] (ab314642) at 1/1000 dilution

Lane 1:

Wild-type HeLa (human cervix adenocarcinoma epithelial cell) whole cell lysate at 20 µg

Lane 2:

NRDP1 knockout HeLa whole cell lysate at 20 µg

Lane 3:

THP-1 (human monocytic leukemia monocyte) whole cell lysate at 20 µg

Lane 4:

NIH/3T3 (mouse embryonic fibroblast) whole cell lysate at 20 µg

Secondary

All lanes:

Western blot - Goat Anti-Rabbit IgG H&L (HRP) (<a href='/en-us/products/secondary-antibodies/goat-rabbit-igg-h-l-hrp-ab97051'>ab97051</a>) at 1/100000 dilution

Observed band size: 37 kDa

false

Exposure time: 180s

  • Carrier free

    Anti-NRDP1 antibody [EPR26281-19] - BSA and Azide free

Key facts

Host species

Rabbit

Clonality

Monoclonal

Clone number

EPR26281-19

Isotype

IgG

Carrier free

No

Reacts with

Human, Mouse, Rat

Applications

IP, WB

applications

Immunogen

The exact immunogen used to generate this antibody is proprietary information.

Reactivity data

{ "title": "Reactivity Data", "filters": { "stats": ["", "Species", "Dilution Info", "Notes"], "tabs": { "all-applications": {"fullname" : "All Applications", "shortname": "All Applications"}, "WB" : {"fullname" : "Western blot", "shortname":"WB"}, "IP" : {"fullname" : "Immunoprecipitation", "shortname":"IP"}, "ICCIF" : {"fullname" : "Immunocytochemistry/ Immunofluorescence", "shortname":"ICC/IF"}, "FlowCytIntra" : {"fullname" : "Flow Cytometry (Intracellular)", "shortname":"Flow Cyt (Intra)"}, "IHCP" : {"fullname" : "Immunohistochemistry (Formalin/PFA-fixed paraffin-embedded sections)", "shortname":"IHC-P"} }, "product-promise": { "all": "all", "testedAndGuaranteed": "tested", "guaranteed": "expected", "predicted": "predicted", "notRecommended": "not-recommended" } }, "values": { "Human": { "WB-species-checked": "testedAndGuaranteed", "WB-species-dilution-info": "1/1000", "WB-species-notes": "<p></p>", "IP-species-checked": "testedAndGuaranteed", "IP-species-dilution-info": "1/30", "IP-species-notes": "<p></p>", "ICCIF-species-checked": "notRecommended", "ICCIF-species-dilution-info": "", "ICCIF-species-notes": "<p></p>", "FlowCytIntra-species-checked": "notRecommended", "FlowCytIntra-species-dilution-info": "", "FlowCytIntra-species-notes": "<p></p>", "IHCP-species-checked": "notRecommended", "IHCP-species-dilution-info": "", "IHCP-species-notes": "<p></p>" }, "Mouse": { "WB-species-checked": "testedAndGuaranteed", "WB-species-dilution-info": "1/1000", "WB-species-notes": "<p></p>", "IP-species-checked": "guaranteed", "IP-species-dilution-info": "", "IP-species-notes": "", "ICCIF-species-checked": "notRecommended", "ICCIF-species-dilution-info": "", "ICCIF-species-notes": "", "FlowCytIntra-species-checked": "notRecommended", "FlowCytIntra-species-dilution-info": "", "FlowCytIntra-species-notes": "", "IHCP-species-checked": "notRecommended", "IHCP-species-dilution-info": "", "IHCP-species-notes": "<p></p>" }, "Rat": { "WB-species-checked": "testedAndGuaranteed", "WB-species-dilution-info": "1/1000", "WB-species-notes": "<p></p>", "IP-species-checked": "guaranteed", "IP-species-dilution-info": "", "IP-species-notes": "", "ICCIF-species-checked": "notRecommended", "ICCIF-species-dilution-info": "", "ICCIF-species-notes": "", "FlowCytIntra-species-checked": "notRecommended", "FlowCytIntra-species-dilution-info": "", "FlowCytIntra-species-notes": "", "IHCP-species-checked": "notRecommended", "IHCP-species-dilution-info": "", "IHCP-species-notes": "<p></p>" } } }

Product details

Patented technology
Our RabMAb® technology is a patented hybridoma-based technology for making rabbit monoclonal antibodies. For details on our patents, please refer to RabMAb® patents.

What are the advantages of a recombinant monoclonal antibody?
This product is a recombinant monoclonal antibody, which offers several advantages including:

  • - High batch-to-batch consistency and reproducibility
  • - Improved sensitivity and specificity
  • - Long-term security of supply
  • - Animal-free batch production

For more information, read more on recombinant antibodies.

Properties and storage information

Form
Liquid
Purification technique
Affinity purification Protein A
Storage buffer
pH: 7.2 - 7.4 Preservative: 0.01% Sodium azide Constituents: PBS, 40% Glycerol (glycerin, glycerine), 0.05% BSA
Shipped at conditions
Blue Ice
Appropriate short-term storage duration
1-2 weeks
Appropriate short-term storage conditions
+4°C
Appropriate long-term storage conditions
-20°C
Aliquoting information
Upon delivery aliquot
Storage information
Avoid freeze / thaw cycle

Supplementary information

This supplementary information is collated from multiple sources and compiled automatically.

NRDP1 also known as Neuregulin Receptor Degradation Protein 1 or FLJ11239 acts as an E3 ubiquitin ligase. It is a critical component for targeting certain proteins for ubiquitination and degradation processes. The protein has a molecular weight of approximately 36 kDa. Researchers have observed its expression in various tissues such as the brain heart and liver indicating its diverse role across different organ systems.
Biological function summary

NRDP1 functions in regulating protein levels within cells by tagging them for degradation. It particularly associates with ErbB3 a member of the epidermal growth factor receptor (EGFR) family and induces its ubiquitination. This interaction reflects NRDP1’s role in controlling cell proliferation signaling. It is not part of any multiprotein complex but has shown the capacity to influence individual protein interactions.

Pathways

Researchers identify NRDP1 as a participant in the ubiquitin-proteasome pathway and the ErbB signaling pathway. In the ubiquitin-proteasome pathway it facilitates the degradation of proteins to maintain cellular proteostasis. NRDP1 interacts with Parkin an E3 ubiquitin ligase associated with mitochondrial quality control. In the ErbB signaling pathway it modulates the function of ErbB receptors impacting cellular responses such as growth and differentiation.

NRDP1 is implicated in cancer and neurodegenerative diseases. Its dysregulation may lead to improper ErbB3 signaling contributing to the development of certain cancers. Abnormal NRDP1 function correlates with neurodegenerative diseases like Parkinson's disease where it interacts with Parkin. These interactions suggest that NRDP1’s role in proteostasis and cell signaling can influence disease progression.

Product protocols

For this product, it's our understanding that no specific protocols are required. You can visit:

Target data

Acts as E3 ubiquitin-protein ligase and regulates the degradation of target proteins. Polyubiquitinates MYD88. Negatively regulates MYD88-dependent production of pro-inflammatory cytokines. Can promote TRIF-dependent production of type I interferon and inhibits infection with vesicular stomatitis virus (By similarity). Promotes also activation of TBK1 and IRF3. Involved in the ubiquitination of erythropoietin (EPO) and interleukin-3 (IL-3) receptors. Thus, through maintaining basal levels of cytokine receptors, RNF41 is involved in the control of hematopoietic progenitor cell differentiation into myeloerythroid lineages (By similarity). Contributes to the maintenance of steady-state ERBB3 levels by mediating its growth factor-independent degradation. Involved in the degradation of the inhibitor of apoptosis BIRC6 and thus is an important regulator of cell death by promoting apoptosis. Acts also as a PRKN modifier that accelerates its degradation, resulting in a reduction of PRKN activity, influencing the balance of intracellular redox state. The RNF41-PRKN pathway regulates autophagosome-lysosome fusion during late mitophagy. Mitophagy is a selective form of autophagy necessary for mitochondrial quality control (PubMed : 24949970).
See full target information RNF41

Product promise

We are committed to supporting your work with high-quality reagents, and we're here for you every step of the way. In the unlikely event that one of our products does not perform as expected, you're protected by our Product Promise.
For full details, please see our Terms & Conditions

Please note: All products are 'FOR RESEARCH USE ONLY. NOT FOR USE IN DIAGNOSTIC OR THERAPEUTIC PROCEDURES'.

For licensing inquiries, please contact partnerships@abcam.com