JavaScript is disabled in your browser. Please enable JavaScript to view this website.
AB175932

Anti-NRF1 antibody [EPR5554(N)] - ChIP Grade

  • RabMAb
  • Advanced Validation
  • Recombinant
  • 20ul selling size
  • What is this?

4

(2 Reviews)

|

(102 Publications)

Anti-NRF1 antibody [EPR5554(N)] - ChIP Grade (ab175932) is a rabbit monoclonal antibody detecting NRF1 in Western Blot, Flow Cytometry (Intra), Flow Cytometry, IP, IHC-P, ICC/IF, ChIP. Suitable for Human, Mouse, Rat.

- Biophysical QC for unrivalled batch-batch consistency
- Over 70 publications

View Alternative Names

Nuclear respiratory factor 1, NRF-1, Alpha palindromic-binding protein, Alpha-pal, NRF1

18 Images
Immunocytochemistry/ Immunofluorescence - Anti-NRF1 antibody [EPR5554(N)] - ChIP Grade (AB175932)
  • ICC/IF

Lab

Immunocytochemistry/ Immunofluorescence - Anti-NRF1 antibody [EPR5554(N)] - ChIP Grade (AB175932)

Immunocytochemistry/Immunofluorescence analysis of MCF-7 cells labelling NRF1 with purified ab175932 at a dilution of 1/100. Cells were fixed with 4% paraformaldehyde and permeabilized with 0.1% Triton X-100. ab150077, an Alexa Fluor® 488-conjugated goat anti-rabbit IgG (1/1000) was used as the secondary antibody. DAPI (blue) was used as the nuclear counterstain. ab7291, a mouse anti-tubulin (1/1000) and ab150120, an Alexa Fluor® 594-conjugated goat anti-mouse IgG (1/1000) were also used.

Control 1 : primary antibody (1/100) and secondary antibody, ab150120, an Alexa Fluor® 594-conjugated goat anti-mouse IgG (1/1000).

Control 2 : ab7291 (1/1000) and secondary antibody, ab150077, an Alexa Fluor® 488-conjugated goat anti-rabbit IgG (1/1000).

Immunohistochemistry (Formalin/PFA-fixed paraffin-embedded sections) - Anti-NRF1 antibody [EPR5554(N)] - ChIP Grade (AB175932)
  • IHC-P

Supplier Data

Immunohistochemistry (Formalin/PFA-fixed paraffin-embedded sections) - Anti-NRF1 antibody [EPR5554(N)] - ChIP Grade (AB175932)

Immunohistochemistry (Formalin/PFA-fixed paraffin-embedded sections) analysis of human gastric adenocarcinoma tissue labeling NRF1 with unpurified ab175932 at a dilution of 1/50.

Perform heat mediated antigen retrieval before commencing with IHC staining protocol.

Immunocytochemistry/ Immunofluorescence - Anti-NRF1 antibody [EPR5554(N)] - ChIP Grade (AB175932)
  • ICC/IF

Supplier Data

Immunocytochemistry/ Immunofluorescence - Anti-NRF1 antibody [EPR5554(N)] - ChIP Grade (AB175932)

Immunocytochemistry/Immunofluorescence analysis of HeLa cells labeling NRF1 with unpurified ab175932 at a dilution of 1/50.

Flow Cytometry (Intracellular) - Anti-NRF1 antibody [EPR5554(N)] - ChIP Grade (AB175932)
  • Flow Cyt (Intra)

Lab

Flow Cytometry (Intracellular) - Anti-NRF1 antibody [EPR5554(N)] - ChIP Grade (AB175932)

Intracellular Flow Cytometry analysis of 293T cells labelling NRF1 with purified ab175932 at a dilution of 1/150 (red). Cells were fixed with 80% methanol. A FITC-conjugated goat anti-rabbit IgG (1/500) was used as the secondary antibody. Black - Isotype control, rabbit monoclonal IgG. Blue - Unlabelled control, cells without incubation with primary and secondary antibodies.

Immunohistochemistry (Formalin/PFA-fixed paraffin-embedded sections) - Anti-NRF1 antibody [EPR5554(N)] - ChIP Grade (AB175932)
  • IHC-P

Supplier Data

Immunohistochemistry (Formalin/PFA-fixed paraffin-embedded sections) - Anti-NRF1 antibody [EPR5554(N)] - ChIP Grade (AB175932)

Immunohistochemistry (Formalin/PFA-fixed paraffin-embedded sections) analysis of human skeletal muscle tissue labeling NRF1 with unpurified ab175932 at a dilution of 1/50.

Perform heat mediated antigen retrieval before commencing with IHC staining protocol.

Flow Cytometry (Intracellular) - Anti-NRF1 antibody [EPR5554(N)] - ChIP Grade (AB175932)
  • Flow Cyt (Intra)

Supplier Data

Flow Cytometry (Intracellular) - Anti-NRF1 antibody [EPR5554(N)] - ChIP Grade (AB175932)

Intracellular flow cytometric analysis of permeabilized 293T cells labeling NRF1 with unpurified ab175932 at a dilution of 1/10 (red) compared to a negative control (rabbit IgG,green).

Immunohistochemistry (Formalin/PFA-fixed paraffin-embedded sections) - Anti-NRF1 antibody [EPR5554(N)] - ChIP Grade (AB175932)
  • IHC-P

Lab

Immunohistochemistry (Formalin/PFA-fixed paraffin-embedded sections) - Anti-NRF1 antibody [EPR5554(N)] - ChIP Grade (AB175932)

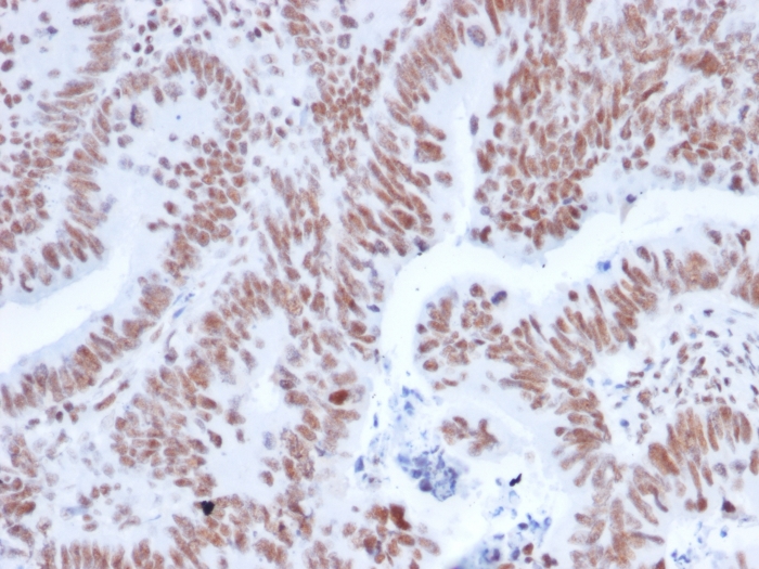
Immunohistochemistry (Formalin/PFA-fixed paraffin-embedded sections) analysis of human cevical carcinoma tissue labelling NRF1 with purified ab175932 at a dilution of 1/100. Heat mediated antigen retrieval was performed using EDTA buffer pH 9. ab97051, a HRP-conjugated goat anti-rabbit IgG (H+L) was used as the secondary antibody (1/500). Negative control using PBS instead of primary antibody. Counterstained with hematoxylin.

Immunoprecipitation - Anti-NRF1 antibody [EPR5554(N)] - ChIP Grade (AB175932)
  • IP

Supplier Data

Immunoprecipitation - Anti-NRF1 antibody [EPR5554(N)] - ChIP Grade (AB175932)

ab175932 (unpurified) at a dilution of 1/10 immunoprecipitating NRF1 in 293T cell lysate.

All lanes:

Immunoprecipitation - Anti-NRF1 antibody [EPR5554(N)] - ChIP Grade (ab175932)

Predicted band size: 54 kDa

false

Immunoprecipitation - Anti-NRF1 antibody [EPR5554(N)] - ChIP Grade (AB175932)
  • IP

Lab

Immunoprecipitation - Anti-NRF1 antibody [EPR5554(N)] - ChIP Grade (AB175932)

ab175932 (purified) at a dilution of 1/50 immunoprecipitating NRF1 in 293T whole cell lysate.

Lane 1 (input) : 293T whole cell lysate (10μg)

Lane 2 (+) : ab175932 + 293T whole cell lysate.

Lane 3 (-) : Rabbit monoclonal IgG (ab172730) instead of ab175932 in 293T whole cell lysate.

For western blotting, VeriBlot for IP Detection Reagent (HRP) (ab131366), was used for detection at 1/10,000 dilution.

Blocking buffer and concentration : 5% NFDM/TBST.

Diluting buffer and concentration : 5% NFDM /TBST.

All lanes:

Immunoprecipitation - Anti-NRF1 antibody [EPR5554(N)] - ChIP Grade (ab175932)

Predicted band size: 54 kDa

Observed band size: 68 kDa

false

ChIP-sequencing - Anti-NRF1 antibody [EPR5554(N)] - ChIP Grade (AB175932)
  • ChIP-seq

Supplier Data

ChIP-sequencing - Anti-NRF1 antibody [EPR5554(N)] - ChIP Grade (AB175932)

Chromatin was prepared from HeLa cells. Cells were fixed with 1% formaldehyde for 10 minutes. ChIP was performed with 10^7 HeLa cells and 8 μg of ab175932 [EPR5554(N)]. ChIP DNA was sequenced on the Illumina NovaSeq 6000 to a depth of 30 million reads. Additional screenshots of mapped reads can be downloaded here.

ChIP - Anti-NRF1 antibody [EPR5554(N)] - ChIP Grade (AB175932)
  • ChIP

Unknown

ChIP - Anti-NRF1 antibody [EPR5554(N)] - ChIP Grade (AB175932)

Chromatin was prepared from Hela cells according to the Abcam Dual X-ChIP protocol. Cells were fixed with EGS for 30 minutes, then formaldehyde for 10 minutes.
The ChIP was performed with 25 µg of chromatin, 5 µg of ab175932 (red), and 20 µl of Protein A/G sepharose beads. 5 µg of rabbit normal IgG was added to the beads control (gray). The immunoprecipitated DNA was quantified by real time PCR (Sybr green approach).
Primers and probes are located in the first kb of the transcribed region.
*http : //www.abcam.com/resources?keywords=X%20ChIP%20protocol

ChIP - Anti-NRF1 antibody [EPR5554(N)] - ChIP Grade (AB175932)
  • ChIP

Unknown

ChIP - Anti-NRF1 antibody [EPR5554(N)] - ChIP Grade (AB175932)

Chromatin was prepared from NIH/3T3 treated with MG-132(2uM 16h) cells according to the Abcam Dual X-ChIP protocol*. Cells were fixed with EGS for 30 minutes, then formaldehyde for 10 minutes.
The ChIP was performed with 25 µg of chromatin, 5 µg of ab175932 (red), and 20 µl of Protein A/G sepharose beads. 5 µg of rabbit normal IgG was added to the beads control (gray). The immunoprecipitated DNA was quantified by real time PCR (Sybr green approach).
Primers and probes are located in the first kb of the transcribed region.
*http : //www.abcam.com/resources?keywords=X%20ChIP%20protocol

Western blot - Anti-NRF1 antibody [EPR5554(N)] - ChIP Grade (AB175932)
  • WB

Lab

Western blot - Anti-NRF1 antibody [EPR5554(N)] - ChIP Grade (AB175932)

Blocking and dilution buffer : 5% NFDM/TBST

All lanes:

Western blot - Anti-NRF1 antibody [EPR5554(N)] - ChIP Grade (ab175932) at 1/10000 dilution

All lanes:

HEK293 whole cell lysate at 20 µg

Secondary

All lanes:

Western blot - Goat Anti-Rabbit IgG H&L (HRP) (<a href='/en-us/products/secondary-antibodies/goat-rabbit-igg-h-l-hrp-ab97051'>ab97051</a>) at 1/100000 dilution

Predicted band size: 54 kDa

Observed band size: 68 kDa

false

Western blot - Anti-NRF1 antibody [EPR5554(N)] - ChIP Grade (AB175932)
  • WB

Lab

Western blot - Anti-NRF1 antibody [EPR5554(N)] - ChIP Grade (AB175932)

Blocking and dilution buffer : 5% NFDM/TBST

All lanes:

Western blot - Anti-NRF1 antibody [EPR5554(N)] - ChIP Grade (ab175932) at 1/10000 dilution

All lanes:

HeLa whole cell lysate at 20 µg

Secondary

All lanes:

Western blot - Goat Anti-Rabbit IgG H&L (HRP) (<a href='/en-us/products/secondary-antibodies/goat-rabbit-igg-h-l-hrp-ab97051'>ab97051</a>) at 1/100000 dilution

Predicted band size: 54 kDa

Observed band size: 68 kDa

false

ChIC/CUT&RUN sequencing - Anti-NRF1 antibody [EPR5554(N)] - ChIP Grade (AB175932)
  • ChIC/CUT&RUN-seq

Supplier Data

ChIC/CUT&RUN sequencing - Anti-NRF1 antibody [EPR5554(N)] - ChIP Grade (AB175932)

ChIC/CUT&RUN was performed using a pAG-MNAse at a final concentration of 700 ng/mL, 2 x 10^5 HeLa (Human cervix adenocarcinoma epithelial cell line) cells and 5 µg of ab175932 [EPR5554(N)]. The resulting DNA was sequenced on the Illumina NovaSeq 6000 to a depth of 10 million reads. The negative IgG control ab172730 is also shown. The ChIP data was conducted on chromatin prepared from HeLa cells. Cells were fixed with 1% formaldehyde for 10 minutes. ChIP was performed with 10^7 HeLa cells and 8 µg of ab175932. ChIP DNA was sequenced on the Illumina NovaSeq 6000 to a depth of 30 million reads. Additional screenshots of mapped reads can be found in the Protocol booklet in the Product Protocol section. The University of Geneva owns patents relevant to ChIC (Chromatin Immuno-Cleavage) methods.

ChIC/CUT&RUN sequencing - Anti-NRF1 antibody [EPR5554(N)] - ChIP Grade (AB175932)
  • ChIC/CUT&RUN-seq

Supplier Data

ChIC/CUT&RUN sequencing - Anti-NRF1 antibody [EPR5554(N)] - ChIP Grade (AB175932)

CUT&RUN was performed using the ChIC/CUT&RUN pAG-MNAse ab285373, 2.5x10^5 HeLa cells and 5μg of ab175932 [EPR5554(N)]. The resulting DNA was sequenced on the NovaSeq 6000 (PE150). Additional screenshots of mapped reads can be downloaded here.

Western blot - Anti-NRF1 antibody [EPR5554(N)] - ChIP Grade (AB175932)
  • WB

Lab

Western blot - Anti-NRF1 antibody [EPR5554(N)] - ChIP Grade (AB175932)

Blocking and dilution buffer : 5% NFDM/TBST

All lanes:

Western blot - Anti-NRF1 antibody [EPR5554(N)] - ChIP Grade (ab175932) at 1/5000 dilution

Lane 1:

Mouse heart tissue lysate at 20 µg

Lane 2:

Mouse brain tissue lysate at 20 µg

Lane 3:

Rat heart tissue lysate at 20 µg

Lane 4:

Rat brain tissue lysate at 20 µg

Secondary

All lanes:

Western blot - Goat Anti-Rabbit IgG H&L (HRP) (<a href='/en-us/products/secondary-antibodies/goat-rabbit-igg-h-l-hrp-ab97051'>ab97051</a>) at 1/20000 dilution

Predicted band size: 54 kDa

Observed band size: 68 kDa

false

Western blot - Anti-NRF1 antibody [EPR5554(N)] - ChIP Grade (AB175932)
  • WB

Supplier Data

Western blot - Anti-NRF1 antibody [EPR5554(N)] - ChIP Grade (AB175932)

All lanes:

Western blot - Anti-NRF1 antibody [EPR5554(N)] - ChIP Grade (ab175932) at 1/1000 dilution

Lane 1:

MCF-7 cell lysate at 10 µg

Lane 2:

Hela cell lysate at 10 µg

Lane 3:

Human fetal heart tissue lysate at 10 µg

Lane 4:

293T cell lysate at 10 µg

Predicted band size: 54 kDa

false

Key facts

Host species

Rabbit

Clonality

Monoclonal

Clone number

EPR5554(N)

Isotype

IgG

Carrier free

No

Reacts with

Mouse, Rat, Human

Applications

ChIC/CUT&RUN-seq, Flow Cyt (Intra), IHC-P, IP, ICC/IF, ChIP-seq, ChIP, WB

applications

Immunogen

The exact immunogen used to generate this antibody is proprietary information.

Reactivity data

{ "title": "Reactivity Data", "filters": { "stats": ["", "Species", "Dilution Info", "Notes"], "tabs": { "all-applications": {"fullname" : "All Applications", "shortname": "All Applications"}, "ChICCUTRUNseq" : {"fullname" : "ChIC/CUT&RUN sequencing", "shortname":"ChIC/CUT&RUN-seq"}, "IHCP" : {"fullname" : "Immunohistochemistry (Formalin/PFA-fixed paraffin-embedded sections)", "shortname":"IHC-P"}, "IP" : {"fullname" : "Immunoprecipitation", "shortname":"IP"}, "ChIP" : {"fullname" : "ChIP", "shortname":"ChIP"}, "WB" : {"fullname" : "Western blot", "shortname":"WB"}, "ICCIF" : {"fullname" : "Immunocytochemistry/ Immunofluorescence", "shortname":"ICC/IF"}, "ChIPseq" : {"fullname" : "ChIP-sequencing", "shortname":"ChIP-seq"}, "FlowCytIntra" : {"fullname" : "Flow Cytometry (Intracellular)", "shortname":"Flow Cyt (Intra)"} }, "product-promise": { "all": "all", "testedAndGuaranteed": "tested", "guaranteed": "expected", "predicted": "predicted", "notRecommended": "not-recommended" } }, "values": { "Human": { "ChICCUTRUNseq-species-checked": "testedAndGuaranteed", "ChICCUTRUNseq-species-dilution-info": "5 µg", "ChICCUTRUNseq-species-notes": "<p></p>", "IHCP-species-checked": "testedAndGuaranteed", "IHCP-species-dilution-info": "1/50 - 1/100", "IHCP-species-notes": "<p></p>", "IP-species-checked": "testedAndGuaranteed", "IP-species-dilution-info": "1/10 - 1/100", "IP-species-notes": "<p></p>", "ChIP-species-checked": "testedAndGuaranteed", "ChIP-species-dilution-info": "", "ChIP-species-notes": "<p></p>", "WB-species-checked": "testedAndGuaranteed", "WB-species-dilution-info": "1/1000 - 1/10000", "WB-species-notes": "<p></p>", "ICCIF-species-checked": "testedAndGuaranteed", "ICCIF-species-dilution-info": "1/50 - 1/100", "ICCIF-species-notes": "<p></p>", "ChIPseq-species-checked": "testedAndGuaranteed", "ChIPseq-species-dilution-info": "8 µg for 10^7 Cells", "ChIPseq-species-notes": "<p></p>", "FlowCytIntra-species-checked": "testedAndGuaranteed", "FlowCytIntra-species-dilution-info": "1/10 - 1/150", "FlowCytIntra-species-notes": "<p><a href='/en-us/products/primary-antibodies/rabbit-igg-monoclonal-epr25a-isotype-control-ab172730'>ab172730</a> - Rabbit monoclonal IgG, is suitable for use as an isotype control with this antibody.</p>" }, "Mouse": { "ChICCUTRUNseq-species-checked": "guaranteed", "ChICCUTRUNseq-species-dilution-info": "5 µg", "ChICCUTRUNseq-species-notes": "<p></p>", "IHCP-species-checked": "guaranteed", "IHCP-species-dilution-info": "", "IHCP-species-notes": "", "IP-species-checked": "guaranteed", "IP-species-dilution-info": "", "IP-species-notes": "", "ChIP-species-checked": "testedAndGuaranteed", "ChIP-species-dilution-info": "", "ChIP-species-notes": "<p></p>", "WB-species-checked": "testedAndGuaranteed", "WB-species-dilution-info": "1/1000 - 1/10000", "WB-species-notes": "<p></p>", "ICCIF-species-checked": "guaranteed", "ICCIF-species-dilution-info": "", "ICCIF-species-notes": "", "ChIPseq-species-checked": "guaranteed", "ChIPseq-species-dilution-info": "", "ChIPseq-species-notes": "", "FlowCytIntra-species-checked": "guaranteed", "FlowCytIntra-species-dilution-info": "", "FlowCytIntra-species-notes": "" }, "Rat": { "ChICCUTRUNseq-species-checked": "guaranteed", "ChICCUTRUNseq-species-dilution-info": "5 µg", "ChICCUTRUNseq-species-notes": "<p></p>", "IHCP-species-checked": "guaranteed", "IHCP-species-dilution-info": "", "IHCP-species-notes": "", "IP-species-checked": "guaranteed", "IP-species-dilution-info": "", "IP-species-notes": "", "ChIP-species-checked": "guaranteed", "ChIP-species-dilution-info": "", "ChIP-species-notes": "", "WB-species-checked": "testedAndGuaranteed", "WB-species-dilution-info": "1/1000 - 1/10000", "WB-species-notes": "<p></p>", "ICCIF-species-checked": "guaranteed", "ICCIF-species-dilution-info": "", "ICCIF-species-notes": "", "ChIPseq-species-checked": "guaranteed", "ChIPseq-species-dilution-info": "", "ChIPseq-species-notes": "", "FlowCytIntra-species-checked": "guaranteed", "FlowCytIntra-species-dilution-info": "", "FlowCytIntra-species-notes": "" } } }

Product details

What is this antibody validated in?
Anti-NRF1 antibody [EPR5554(N)] - ChIP Grade (ab175932) is a rabbit recombinant monoclonal antibody and is validated for use in Western Blot (WB), Flow Cytometry (Intra), Flow Cytometry (Flow Cyt), Immunoprecipitation (IP), Immunohistochemistry (IHC-P), Immunocytochemistry/immunofluorescence (ICC/IF), ChIP in Human, Mouse, Rat samples.

What is the molecular weight of NRF1?
Anti-NRF1 [EPR5554(N)] - ChIP Grade (ab175932) specifically detects a band for NRF1 (UniProt: Q16656) at a molecular weight of 54kDa.

Trusted by the scientific community
Anti-NRF1 [EPR5554(N)] - ChIP Grade (ab175932) was first used in a scientific publication in 2013 and has been cited over 70 times in peer-reviewed journals.

Trial sizes available!
Test your antibody or perform pre-screening before committing to a larger quantity. Sold in 10µl. Discover our selection of trial-size antibodies.

Other related products
We have a range of other formats of antibody clone [EPR5554(N)] also available for your convenience: ab175932, Alexa Fluor® 488 - ab200976, Alexa Fluor® 647 - ab200979, Carrier free - ab221792

Patented technology
Our RabMAb® technology is a patented hybridoma-based technology for making rabbit monoclonal antibodies. For details on our patents, please refer to RabMAb® patents.

What are the advantages of a recombinant monoclonal antibody?
This product is a recombinant monoclonal antibody, which offers several advantages including:

  • - High batch-to-batch consistency and reproducibility
  • - Improved sensitivity and specificity
  • - Long-term security of supply
  • - Animal-free batch production

For more information, read more on recombinant antibodies.

Properties and storage information

Form
Liquid
Purification technique
Affinity purification Protein A
Storage buffer
Preservative: 0.01% Sodium azide Constituents: PBS, 40% Glycerol (glycerin, glycerine), 0.05% BSA
Shipped at conditions
Blue Ice
Appropriate short-term storage duration
1-2 weeks
Appropriate short-term storage conditions
+4°C
Appropriate long-term storage conditions
-20°C
Aliquoting information
Upon delivery aliquot
Storage information
Avoid freeze / thaw cycle

Supplementary information

This supplementary information is collated from multiple sources and compiled automatically.

The nuclear respiratory factor 1 (NRF1) also known as Alpha-Pal is a transcription factor with an approximate molecular weight of 68 kDa. It plays an important role in the regulation of genes required for mitochondrial DNA transcription and replication. Researchers find NRF1 expression in various tissues including muscle brain and liver. This protein functions mechanistically by binding to specific promoter regions of target genes to control their expression making it essential for maintaining cellular energy metabolism.
Biological function summary

NRF1 influences the expression of genes involved in the mitochondrial function and is part of the transcriptional complex. This complex includes the NRF2 protein where NRF1 partners with co-activators to modulate gene transcription. NRF1 promotes the expression of components essential for mitochondrial biogenesis and cellular respiration which are vital processes for energy production in cells. Therefore NRF1 contributes to maintaining cellular energy homeostasis and overall cellular health.

Pathways

NRF1 integrates into critical regulatory pathways for mitochondrial function and metabolism. NRF1 links closely to the PGC-1α pathway which is instrumental in the regulation of energy metabolism and mitochondrial biogenesis. Additionally NRF1 works in conjunction with NRF2 to regulate oxidative stress responses. These interactions ensure a coordinated cellular response to energy demands and help protect the cell from oxidative damage.

NRF1 associates with neurodegenerative diseases and metabolic syndromes. Altered NRF1 regulation can impact diseases such as Alzheimer's disease where it may contribute to neurodegeneration through impaired mitochondrial function. Moreover the dysfunction of NRF1 might relate to metabolic disorders like diabetes as energy metabolism and mitochondrial health are disrupted. NRF1 connects with proteins like SIRT1 in these contexts further implicating NRF1 in these pathological states through its role in energy homeostasis and stress response.

Product protocols

For this product, it's our understanding that no specific protocols are required. You can visit:

Target data

Transcription factor that activates the expression of the EIF2S1 (EIF2-alpha) gene. Links the transcriptional modulation of key metabolic genes to cellular growth and development. Implicated in the control of nuclear genes required for respiration, heme biosynthesis, and mitochondrial DNA transcription and replication.
See full target information NRF1

Publications (102)

Recent publications for all applications. Explore the full list and refine your search

Cellular and molecular life sciences : CMLS 82:330 PubMed40886189

2025

Melatonin attenuates intervertebral disc degeneration by restoring mitochondrial homeostasis through PGC-1α signaling pathway.

Applications

Unspecified application

Species

Unspecified reactive species

Tao Lan,Wenhan Yang,Bin Yan,Weizhuang Guo,Yuantao Zhang

Bioactive materials 51:559-574 PubMed40503164

2025

Sustained oxygen-releasing hydrogel implants enhance flap regeneration by promoting mitochondrial biogenesis under mild hypoxia.

Applications

Unspecified application

Species

Unspecified reactive species

Sungmi Jeon,Seol-Ha Jeong,Mi Hyun Lee,Jeong Wook Seo,Da-Seul Kim,Nicole Joy Bassous,Javier Alejandro Lozano Soto,Cholong Choi,Montserrat Legorreta Gonzalez,Elaine Belén Nolasco Díaz,Hyunho Kim,Su Ryon Shin,Ji-Ung Park

Journal of cellular and molecular medicine 29:e70609 PubMed40394754

2025

Erk1/2 Orchestrates SSPH I-Induced Oxidative Stress, Mitochondrial Dysfunction and Ferroptosis in Hepatocellular Carcinoma.

Applications

Unspecified application

Species

Unspecified reactive species

Yuewen Sun,Ying Zhou,Dan Huang,Zhiguang Zhao,Qingrui Shao,Jianzhe Li,Xiaofang Zhao,Xudong Liu

Cell death discovery 11:193 PubMed40268915

2025

High-fat diet promotes lipotoxicity in the podocytes of uninephrectomized mice: a targeted lipidomics and kidney podocyte-specific analysis.

Applications

Unspecified application

Species

Unspecified reactive species

Se-Hyun Oh,You-Jin Kim,Subin Bae,Hee-Yeon Jung,So-Young Park,Jeong-Hoon Lim,Jang-Hee Cho,Chan-Duck Kim,Sun-Hee Park,Tae-Hwan Kwon,Yong-Jin Kim,Kwang-Hyeon Liu,Yong-Lim Kim

MedComm 6:e70142 PubMed40104261

2025

Swimming Exercise Pretreatment Attenuates Postoperative Delirium-Like Behavior in Type 2 Diabetic Rats by Enhancing Mitochondrial Biogenesis Through Activation of SIRT2 Deacetylation.

Applications

Unspecified application

Species

Unspecified reactive species

Kaixi Liu,Lei Chen,Xinning Mi,Qian Wang,Yitong Li,Jingshu Hong,Xiaoxiao Wang,Yue Li,Yanan Song,Yi Yuan,Jie Wang,Dengyang Han,Taotao Liu,Ning Yang,Xiangyang Guo,Zhengqian Li

CNS neuroscience & therapeutics 31:e70275 PubMed40019038

2025

Identification of Schizophrenia-Risk Regulatory Variant rs1399178 in the Non-coding Region With Its Impact on NRF1 Binding.

Applications

Unspecified application

Species

Unspecified reactive species

Lei Ji,Bojian Huang,Decheng Ren,Xiaoxi Wei,Liangjie Liu,Yan Bi,Zhiqiang Li,Fan Yuan,Ke Han,Keyi Li,Fengping Yang,Xingwang Li,Tao Yu,Yi Shi,Lin He,Qing Lu,Guang He

Journal of nanobiotechnology 23:114 PubMed39962465

2025

RGD hydrogel-loaded ADSC extracellular vesicles mitigate uranium-induced renal injury via TLR4/NF-κB pathway inhibition.

Applications

Unspecified application

Species

Unspecified reactive species

Xi Chen,Chun-Mei Dai,Bin Zhang,Wan-Xin Zhang,Zheng-Hong Huang,Jiu-Yi Jiang,Shi-Qi Hu,Jia-Hua Ma,Jia-Fu Feng

Current issues in molecular biology 47: PubMed39852159

2025

Notoginsenoside R1 Attenuates H/R Injury in H9c2 Cells by Maintaining Mitochondrial Homeostasis.

Applications

Unspecified application

Species

Unspecified reactive species

Yuanbo Xu,Piao Wang,Ting Hu,Ke Ning,Yimin Bao

Frontiers in pharmacology 15:1491315 PubMed39726785

2024

JiangyaTongluo decoction ameliorates tubulointerstitial fibrosis via regulating the SIRT1/PGC-1α/mitophagy axis in hypertensive nephropathy.

Applications

Unspecified application

Species

Unspecified reactive species

Yun Zhao,Qi Jia,Gaimei Hao,Lin Han,Yushan Gao,Xiaoyu Zhang,Ziming Yan,Boyang Li,Yiping Wu,Boya Zhang,Yubo Li,Jianguo Qin

Cell biology and toxicology 41:2 PubMed39707073

2024

Nrf2/NRF1 signaling activation and crosstalk amplify mitochondrial biogenesis in the treatment of triptolide-induced cardiotoxicity using calycosin.

Applications

Unspecified application

Species

Unspecified reactive species

Xiao-Ming Qi,Wei-Zheng Zhang,Yu-Qin Zuo,Yuan-Biao Qiao,Yuan-Lin Zhang,Jin-Hong Ren,Qing-Shan Li
View all publications
chicCutRunSequencingBooklet
en

Product promise

We are committed to supporting your work with high-quality reagents, and we're here for you every step of the way. In the unlikely event that one of our products does not perform as expected, you're protected by our Product Promise.
For full details, please see our Terms & Conditions

Please note: All products are 'FOR RESEARCH USE ONLY. NOT FOR USE IN DIAGNOSTIC OR THERAPEUTIC PROCEDURES'.

For licensing inquiries, please contact partnerships@abcam.com