JavaScript is disabled in your browser. Please enable JavaScript to view this website.
AB221792

Anti-NRF1 antibody [EPR5554(N)] - ChIP Grade - BSA and Azide free

Be the first to review this product! Submit a review

|

(2 Publications)

Rabbit Recombinant Monoclonal NRF1 antibody. Carrier free. Suitable for ChIC/CUT&RUN-seq, IHC-P, IP, ChIP, WB, ICC/IF, ChIP-seq, Flow Cyt (Intra) and reacts with Human, Mouse, Rat samples. Cited in 2 publications.

View Alternative Names

Nuclear respiratory factor 1, NRF-1, Alpha palindromic-binding protein, Alpha-pal, NRF1

13 Images
Immunocytochemistry/ Immunofluorescence - Anti-NRF1 antibody [EPR5554(N)] - ChIP Grade - BSA and Azide free (AB221792)
  • ICC/IF

Lab

Immunocytochemistry/ Immunofluorescence - Anti-NRF1 antibody [EPR5554(N)] - ChIP Grade - BSA and Azide free (AB221792)

Immunocytochemistry/Immunofluorescence analysis of MCF-7 cells labelling NRF1 with purified ab175932 at a dilution of 1/100. Cells were fixed with 4% paraformaldehyde and permeabilized with 0.1% Triton X-100. ab150077, an Alexa Fluor® 488-conjugated goat anti-rabbit IgG (1/1000) was used as the secondary antibody. DAPI (blue) was used as the nuclear counterstain. ab7291, a mouse anti-tubulin (1/1000) and ab150120, an Alexa Fluor® 594-conjugated goat anti-mouse IgG (1/1000) were also used.

Control 1 : primary antibody (1/100) and secondary antibody, ab150120, an Alexa Fluor® 594-conjugated goat anti-mouse IgG (1/1000).

Control 2 : ab7291 (1/1000) and secondary antibody, ab150077, an Alexa Fluor® 488-conjugated goat anti-rabbit IgG (1/1000).

This data was developed using the same antibody clone in a different buffer formulation containing PBS, BSA, glycerol, and sodium azide (ab175932).

Immunocytochemistry/ Immunofluorescence - Anti-NRF1 antibody [EPR5554(N)] - ChIP Grade - BSA and Azide free (AB221792)
  • ICC/IF

Supplier Data

Immunocytochemistry/ Immunofluorescence - Anti-NRF1 antibody [EPR5554(N)] - ChIP Grade - BSA and Azide free (AB221792)

Immunocytochemistry/Immunofluorescence analysis of HeLa cells labeling NRF1 with unpurified ab175932 at a dilution of 1/50.

This data was developed using the same antibody clone in a different buffer formulation containing PBS, BSA, glycerol, and sodium azide (ab175932).

Flow Cytometry (Intracellular) - Anti-NRF1 antibody [EPR5554(N)] - ChIP Grade - BSA and Azide free (AB221792)
  • Flow Cyt (Intra)

Lab

Flow Cytometry (Intracellular) - Anti-NRF1 antibody [EPR5554(N)] - ChIP Grade - BSA and Azide free (AB221792)

Intracellular Flow Cytometry analysis of 293T cells labelling NRF1 with purified ab175932 at a dilution of 1/150 (red). Cells were fixed with 80% methanol. A FITC-conjugated goat anti-rabbit IgG (1/500) was used as the secondary antibody. Black - Isotype control, rabbit monoclonal IgG. Blue - Unlabelled control, cells without incubation with primary and secondary antibodies.

This data was developed using the same antibody clone in a different buffer formulation containing PBS, BSA, glycerol, and sodium azide (ab175932).

Immunohistochemistry (Formalin/PFA-fixed paraffin-embedded sections) - Anti-NRF1 antibody [EPR5554(N)] - ChIP Grade - BSA and Azide free (AB221792)
  • IHC-P

Supplier Data

Immunohistochemistry (Formalin/PFA-fixed paraffin-embedded sections) - Anti-NRF1 antibody [EPR5554(N)] - ChIP Grade - BSA and Azide free (AB221792)

Immunohistochemistry (Formalin/PFA-fixed paraffin-embedded sections) analysis of human gastric adenocarcinoma tissue labeling NRF1 with unpurified ab175932 at a dilution of 1/50.

This data was developed using the same antibody clone in a different buffer formulation containing PBS, BSA, glycerol, and sodium azide (ab175932).

Perform heat mediated antigen retrieval before commencing with IHC staining protocol.

Immunohistochemistry (Formalin/PFA-fixed paraffin-embedded sections) - Anti-NRF1 antibody [EPR5554(N)] - ChIP Grade - BSA and Azide free (AB221792)
  • IHC-P

Supplier Data

Immunohistochemistry (Formalin/PFA-fixed paraffin-embedded sections) - Anti-NRF1 antibody [EPR5554(N)] - ChIP Grade - BSA and Azide free (AB221792)

Immunohistochemistry (Formalin/PFA-fixed paraffin-embedded sections) analysis of human skeletal muscle tissue labeling NRF1 with unpurified ab175932 at a dilution of 1/50.

This data was developed using the same antibody clone in a different buffer formulation containing PBS, BSA, glycerol, and sodium azide (ab175932).

Perform heat mediated antigen retrieval before commencing with IHC staining protocol.

Flow Cytometry (Intracellular) - Anti-NRF1 antibody [EPR5554(N)] - ChIP Grade - BSA and Azide free (AB221792)
  • Flow Cyt (Intra)

Supplier Data

Flow Cytometry (Intracellular) - Anti-NRF1 antibody [EPR5554(N)] - ChIP Grade - BSA and Azide free (AB221792)

Intracellular flow cytometric analysis of permeabilized 293T cells labeling NRF1 with unpurified ab175932 at a dilution of 1/10 (red) compared to a negative control (rabbit IgG, green).

This data was developed using the same antibody clone in a different buffer formulation containing PBS, BSA, glycerol, and sodium azide (ab175932).

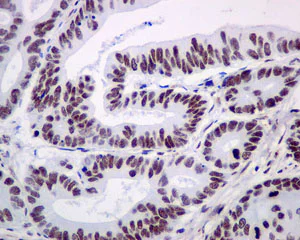
Immunohistochemistry (Formalin/PFA-fixed paraffin-embedded sections) - Anti-NRF1 antibody [EPR5554(N)] - ChIP Grade - BSA and Azide free (AB221792)
  • IHC-P

Lab

Immunohistochemistry (Formalin/PFA-fixed paraffin-embedded sections) - Anti-NRF1 antibody [EPR5554(N)] - ChIP Grade - BSA and Azide free (AB221792)

Immunohistochemistry (Formalin/PFA-fixed paraffin-embedded sections) analysis of human cevical carcinoma tissue labelling NRF1 with purified ab175932 at a dilution of 1/100. Heat mediated antigen retrieval was performed using EDTA buffer pH 9. ab97051, a HRP-conjugated goat anti-rabbit IgG (H+L) was used as the secondary antibody (1/500). Negative control using PBS instead of primary antibody. Counterstained with hematoxylin.

This data was developed using the same antibody clone in a different buffer formulation containing PBS, BSA, glycerol, and sodium azide (ab175932).

Immunoprecipitation - Anti-NRF1 antibody [EPR5554(N)] - ChIP Grade - BSA and Azide free (AB221792)
  • IP

Supplier Data

Immunoprecipitation - Anti-NRF1 antibody [EPR5554(N)] - ChIP Grade - BSA and Azide free (AB221792)

ab175932 (unpurified) at a dilution of 1/10 immunoprecipitating NRF1 in 293T cell lysate.

This data was developed using the same antibody clone in a different buffer formulation containing PBS, BSA, glycerol, and sodium azide (ab175932).

All lanes:

Immunoprecipitation - Anti-NRF1 antibody [EPR5554(N)] - ChIP Grade (<a href='/en-us/products/primary-antibodies/nrf1-antibody-epr5554n-chip-grade-ab175932'>ab175932</a>)

Predicted band size: 54 kDa

false

Immunoprecipitation - Anti-NRF1 antibody [EPR5554(N)] - ChIP Grade - BSA and Azide free (AB221792)
  • IP

Lab

Immunoprecipitation - Anti-NRF1 antibody [EPR5554(N)] - ChIP Grade - BSA and Azide free (AB221792)

ab175932 (purified) at a dilution of 1/50 immunoprecipitating NRF1 in 293T whole cell lysate.

Lane 1 (input) : 293T whole cell lysate (10μg)

Lane 2 (+) : ab175932 + 293T whole cell lysate.

Lane 3 (-) : Rabbit monoclonal IgG (ab172730) instead of ab175932 in 293T whole cell lysate.

For western blotting, ab131366 VeriBlot for IP (HRP) was used for detection at 1/1000 dilution.

Blocking buffer and concentration : 5% NFDM/TBST.

Diluting buffer and concentration : 5% NFDM /TBST.

This data was developed using the same antibody clone in a different buffer formulation containing PBS, BSA, glycerol, and sodium azide (ab175932).

All lanes:

Immunoprecipitation - Anti-NRF1 antibody [EPR5554(N)] - ChIP Grade (<a href='/en-us/products/primary-antibodies/nrf1-antibody-epr5554n-chip-grade-ab175932'>ab175932</a>)

Predicted band size: 54 kDa

Observed band size: 68 kDa

false

ChIP-sequencing - Anti-NRF1 antibody [EPR5554(N)] - ChIP Grade - BSA and Azide free (AB221792)
  • ChIP-seq

Supplier Data

ChIP-sequencing - Anti-NRF1 antibody [EPR5554(N)] - ChIP Grade - BSA and Azide free (AB221792)

Chromatin was prepared from HeLa cells. Cells were fixed with 1% formaldehyde for 10 minutes. ChIP was performed with 10^7 HeLa cells and 8 μg of ab175932 [EPR5554(N)]. ChIP DNA was sequenced on the Illumina NovaSeq 6000 to a depth of 30 million reads. Additional screenshots of mapped reads can be downloaded here.

ChIP - Anti-NRF1 antibody [EPR5554(N)] - ChIP Grade - BSA and Azide free (AB221792)
  • ChIP

Unknown

ChIP - Anti-NRF1 antibody [EPR5554(N)] - ChIP Grade - BSA and Azide free (AB221792)

Chromatin was prepared from Hela cells according to the Abcam Dual X-ChIP protocol. Cells were fixed with EGS for 30 minutes, then formaldehyde for 10 minutes.
The ChIP was performed with 25 μg of chromatin, 5 μg of ab175932 (red), and 20 μl of Protein A/G sepharose beads. 5 μg of rabbit normal IgG was added to the beads control (gray). The immunoprecipitated DNA was quantified by real time PCR (Sybr green approach).
Primers and probes are located in the first kb of the transcribed region.
*http : //www.abcam.com/resources?keywords=X%20ChIP%20protocol
This data was developed using the same antibody clone in a different buffer formulation containing PBS, BSA, glycerol, and sodium azide (ab175932).

ChIP - Anti-NRF1 antibody [EPR5554(N)] - ChIP Grade - BSA and Azide free (AB221792)
  • ChIP

Unknown

ChIP - Anti-NRF1 antibody [EPR5554(N)] - ChIP Grade - BSA and Azide free (AB221792)

Chromatin was prepared from NIH/3T3 treated with MG-132(2uM 16h) cells according to the Abcam Dual X-ChIP protocol*. Cells were fixed with EGS for 30 minutes, then formaldehyde for 10 minutes.
The ChIP was performed with 25 μg of chromatin, 5 μg of ab175932 (red), and 20 μl of Protein A/G sepharose beads. 5 μg of rabbit normal IgG was added to the beads control (gray). The immunoprecipitated DNA was quantified by real time PCR (Sybr green approach).
Primers and probes are located in the first kb of the transcribed region.
*http : //www.abcam.com/resources?keywords=X%20ChIP%20protocol
This data was developed using the same antibody clone in a different buffer formulation containing PBS, BSA, glycerol, and sodium azide (ab175932).

ChIC/CUT&RUN sequencing - Anti-NRF1 antibody [EPR5554(N)] - ChIP Grade - BSA and Azide free (AB221792)
  • ChIC/CUT&RUN-seq

Supplier Data

ChIC/CUT&RUN sequencing - Anti-NRF1 antibody [EPR5554(N)] - ChIP Grade - BSA and Azide free (AB221792)

ChIC/CUT&RUN was performed using a pAG-MNAse at a final concentration of 700 ng/mL, 2 x 10^5 HeLa (Human cervix adenocarcinoma epithelial cell line) cells and 5 µg of ab175932 [EPR5554(N)]. The resulting DNA was sequenced on the Illumina NovaSeq 6000 to a depth of 10 million reads. The negative IgG control ab172730 is also shown. The ChIP data was conducted on chromatin prepared from HeLa cells. Cells were fixed with 1% formaldehyde for 10 minutes. ChIP was performed with 10^7 HeLa cells and 8 µg of ab175932. ChIP DNA was sequenced on the Illumina NovaSeq 6000 to a depth of 30 million reads. Additional screenshots of mapped reads can be found in the Protocol booklet in the Product Protocol section. The University of Geneva owns patents relevant to ChIC (Chromatin Immuno-Cleavage) methods. This data was developed using the same antibody clone in a different buffer formulation containing PBS, BSA, glycerol, and sodium azide (ab175932).

Key facts

Host species

Rabbit

Clonality

Monoclonal

Clone number

EPR5554(N)

Isotype

IgG

Carrier free

Yes

Reacts with

Mouse, Rat, Human

Applications

ChIP, ICC/IF, WB, Flow Cyt (Intra), ChIC/CUT&RUN-seq, IP, ChIP-seq, IHC-P

applications

Immunogen

The exact immunogen used to generate this antibody is proprietary information.

Reactivity data

{ "title": "Reactivity Data", "filters": { "stats": ["", "Species", "Dilution Info", "Notes"], "tabs": { "all-applications": {"fullname" : "All Applications", "shortname": "All Applications"}, "ChICCUTRUNseq" : {"fullname" : "ChIC/CUT&RUN sequencing", "shortname":"ChIC/CUT&RUN-seq"}, "IHCP" : {"fullname" : "Immunohistochemistry (Formalin/PFA-fixed paraffin-embedded sections)", "shortname":"IHC-P"}, "IP" : {"fullname" : "Immunoprecipitation", "shortname":"IP"}, "ChIP" : {"fullname" : "ChIP", "shortname":"ChIP"}, "WB" : {"fullname" : "Western blot", "shortname":"WB"}, "ICCIF" : {"fullname" : "Immunocytochemistry/ Immunofluorescence", "shortname":"ICC/IF"}, "ChIPseq" : {"fullname" : "ChIP-sequencing", "shortname":"ChIP-seq"}, "FlowCytIntra" : {"fullname" : "Flow Cytometry (Intracellular)", "shortname":"Flow Cyt (Intra)"} }, "product-promise": { "all": "all", "testedAndGuaranteed": "tested", "guaranteed": "expected", "predicted": "predicted", "notRecommended": "not-recommended" } }, "values": { "Human": { "ChICCUTRUNseq-species-checked": "testedAndGuaranteed", "ChICCUTRUNseq-species-dilution-info": "", "ChICCUTRUNseq-species-notes": "<p></p>", "IHCP-species-checked": "testedAndGuaranteed", "IHCP-species-dilution-info": "", "IHCP-species-notes": "<p></p>", "IP-species-checked": "testedAndGuaranteed", "IP-species-dilution-info": "", "IP-species-notes": "<p></p>", "ChIP-species-checked": "testedAndGuaranteed", "ChIP-species-dilution-info": "", "ChIP-species-notes": "<p></p>", "WB-species-checked": "guaranteed", "WB-species-dilution-info": "", "WB-species-notes": "<p></p>", "ICCIF-species-checked": "testedAndGuaranteed", "ICCIF-species-dilution-info": "", "ICCIF-species-notes": "<p></p>", "ChIPseq-species-checked": "testedAndGuaranteed", "ChIPseq-species-dilution-info": "8 µg for 10^7 Cells", "ChIPseq-species-notes": "<p></p>", "FlowCytIntra-species-checked": "testedAndGuaranteed", "FlowCytIntra-species-dilution-info": "", "FlowCytIntra-species-notes": "<p><a href='/en-us/products/primary-antibodies/rabbit-igg-monoclonal-epr25a-isotype-control-low-endotoxin-azide-free-ab199376'>ab199376</a>- Rabbit monoclonal IgG, is suitable for use as an isotype control with this antibody.</p>" }, "Mouse": { "ChICCUTRUNseq-species-checked": "predicted", "ChICCUTRUNseq-species-dilution-info": "", "ChICCUTRUNseq-species-notes": "", "IHCP-species-checked": "predicted", "IHCP-species-dilution-info": "", "IHCP-species-notes": "", "IP-species-checked": "predicted", "IP-species-dilution-info": "", "IP-species-notes": "", "ChIP-species-checked": "predicted", "ChIP-species-dilution-info": "", "ChIP-species-notes": "", "WB-species-checked": "guaranteed", "WB-species-dilution-info": "", "WB-species-notes": "<p></p>", "ICCIF-species-checked": "predicted", "ICCIF-species-dilution-info": "", "ICCIF-species-notes": "", "ChIPseq-species-checked": "predicted", "ChIPseq-species-dilution-info": "", "ChIPseq-species-notes": "", "FlowCytIntra-species-checked": "predicted", "FlowCytIntra-species-dilution-info": "", "FlowCytIntra-species-notes": "" }, "Rat": { "ChICCUTRUNseq-species-checked": "predicted", "ChICCUTRUNseq-species-dilution-info": "", "ChICCUTRUNseq-species-notes": "", "IHCP-species-checked": "predicted", "IHCP-species-dilution-info": "", "IHCP-species-notes": "", "IP-species-checked": "predicted", "IP-species-dilution-info": "", "IP-species-notes": "", "ChIP-species-checked": "predicted", "ChIP-species-dilution-info": "", "ChIP-species-notes": "", "WB-species-checked": "guaranteed", "WB-species-dilution-info": "", "WB-species-notes": "<p></p>", "ICCIF-species-checked": "predicted", "ICCIF-species-dilution-info": "", "ICCIF-species-notes": "", "ChIPseq-species-checked": "predicted", "ChIPseq-species-dilution-info": "", "ChIPseq-species-notes": "", "FlowCytIntra-species-checked": "predicted", "FlowCytIntra-species-dilution-info": "", "FlowCytIntra-species-notes": "" } } }

Product details

ab221792 is the carrier-free version of ab175932.

Patented technology
Our RabMAb® technology is a patented hybridoma-based technology for making rabbit monoclonal antibodies. For details on our patents, please refer to RabMAb® patents.

What are the advantages of a recombinant monoclonal antibody?
This product is a recombinant monoclonal antibody, which offers several advantages including:

  • - High batch-to-batch consistency and reproducibility
  • - Improved sensitivity and specificity
  • - Long-term security of supply
  • - Animal-free batch production

For more information, read more on recombinant antibodies.

Conjugation ready
Our carrier-free antibodies are typically supplied in a PBS-only formulation, purified and free of BSA, sodium azide and glycerol. This conjugation-ready format is designed for use with fluorochromes, metal isotopes, oligonucleotides, and enzymes, which makes them ideal for antibody labelling, functional and cell-based assays, flow-based assays (e.g. mass cytometry) and Multiplex Imaging applications.

Use our conjugation kits for antibody conjugates that are ready-to-use in as little as 20 minutes with 1 minute hands-on-time and 100% antibody recovery: available for fluorescent dyes, HRP, biotin and gold.

Compatibility
This product is compatible with the Maxpar® Antibody Labeling Kit from Fluidigm, without the need for antibody preparation. Maxpar® is a trademark of Fluidigm Canada Inc.

Properties and storage information

Form
Liquid
Purification technique
Affinity purification Protein A
Storage buffer
pH: 7.2 - 7.4 Constituents: PBS
Shipped at conditions
Blue Ice
Appropriate short-term storage conditions
+4°C
Appropriate long-term storage conditions
+4°C
Storage information
Do Not Freeze

Supplementary information

This supplementary information is collated from multiple sources and compiled automatically.

The nuclear respiratory factor 1 (NRF1) also known as Alpha-Pal is a transcription factor with an approximate molecular weight of 68 kDa. It plays an important role in the regulation of genes required for mitochondrial DNA transcription and replication. Researchers find NRF1 expression in various tissues including muscle brain and liver. This protein functions mechanistically by binding to specific promoter regions of target genes to control their expression making it essential for maintaining cellular energy metabolism.
Biological function summary

NRF1 influences the expression of genes involved in the mitochondrial function and is part of the transcriptional complex. This complex includes the NRF2 protein where NRF1 partners with co-activators to modulate gene transcription. NRF1 promotes the expression of components essential for mitochondrial biogenesis and cellular respiration which are vital processes for energy production in cells. Therefore NRF1 contributes to maintaining cellular energy homeostasis and overall cellular health.

Pathways

NRF1 integrates into critical regulatory pathways for mitochondrial function and metabolism. NRF1 links closely to the PGC-1α pathway which is instrumental in the regulation of energy metabolism and mitochondrial biogenesis. Additionally NRF1 works in conjunction with NRF2 to regulate oxidative stress responses. These interactions ensure a coordinated cellular response to energy demands and help protect the cell from oxidative damage.

NRF1 associates with neurodegenerative diseases and metabolic syndromes. Altered NRF1 regulation can impact diseases such as Alzheimer's disease where it may contribute to neurodegeneration through impaired mitochondrial function. Moreover the dysfunction of NRF1 might relate to metabolic disorders like diabetes as energy metabolism and mitochondrial health are disrupted. NRF1 connects with proteins like SIRT1 in these contexts further implicating NRF1 in these pathological states through its role in energy homeostasis and stress response.

Product protocols

For this product, it's our understanding that no specific protocols are required. You can visit:

Target data

Transcription factor that activates the expression of the EIF2S1 (EIF2-alpha) gene. Links the transcriptional modulation of key metabolic genes to cellular growth and development. Implicated in the control of nuclear genes required for respiration, heme biosynthesis, and mitochondrial DNA transcription and replication.
See full target information NRF1

Publications (2)

Recent publications for all applications. Explore the full list and refine your search

Frontiers in immunology 11:595316 PubMed33542713

2021

Activator-Mediated Pyruvate Kinase M2 Activation Contributes to Endotoxin Tolerance by Promoting Mitochondrial Biogenesis.

Applications

Unspecified application

Species

Unspecified reactive species

Zhujun Yi,Yilin Wu,Wenfeng Zhang,Tao Wang,Jianping Gong,Yao Cheng,Chunmu Miao

Proceedings of the National Academy of Sciences of 112:1821-6 PubMed25624506

2015

Mitophagy confers resistance to siderophore-mediated killing by Pseudomonas aeruginosa.

Applications

WB

Species

Human

Natalia V Kirienko,Frederick M Ausubel,Gary Ruvkun
View all publications
chicCutRunSequencingBooklet
en

Product promise

We are committed to supporting your work with high-quality reagents, and we're here for you every step of the way. In the unlikely event that one of our products does not perform as expected, you're protected by our Product Promise.
For full details, please see our Terms & Conditions

Please note: All products are 'FOR RESEARCH USE ONLY. NOT FOR USE IN DIAGNOSTIC OR THERAPEUTIC PROCEDURES'.

For licensing inquiries, please contact partnerships@abcam.com