JavaScript is disabled in your browser. Please enable JavaScript to view this website.
AB180844

Anti-Nrf2 (phospho S40) antibody [EP1809Y] - BSA and Azide free

5

(1 Review)

|

(10 Publications)

Rabbit Recombinant Monoclonal Nrf2 phospho S40 antibody. Carrier free. Suitable for IHC-P, Dot, WB, ICC/IF, Flow Cyt (Intra) and reacts with Human, Synthetic peptide samples. Cited in 10 publications.

View Alternative Names

NRF2, NFE2L2, Nuclear factor erythroid 2-related factor 2, NF-E2-related factor 2, NFE2-related factor 2, Nrf-2

10 Images
Immunohistochemistry (Formalin/PFA-fixed paraffin-embedded sections) - Anti-Nrf2 (phospho S40) antibody [EP1809Y] - BSA and Azide free (AB180844)
  • IHC-P

Unknown

Immunohistochemistry (Formalin/PFA-fixed paraffin-embedded sections) - Anti-Nrf2 (phospho S40) antibody [EP1809Y] - BSA and Azide free (AB180844)

Unpurified ab76026 showing positive staining in Ovarian carcinoma tissue.

This data was developed using the same antibody clone in a different buffer formulation containing PBS, BSA, glycerol, and sodium azide (ab76026).

Perform heat mediated antigen retrieval before commencing with IHC staining protocol.

Flow Cytometry (Intracellular) - Anti-Nrf2 (phospho S40) antibody [EP1809Y] - BSA and Azide free (AB180844)
  • Flow Cyt (Intra)

Unknown

Flow Cytometry (Intracellular) - Anti-Nrf2 (phospho S40) antibody [EP1809Y] - BSA and Azide free (AB180844)

Overlay histogram showing Jurkat cells fixed in 4% PFA and stained with purified ab76026 at a dilution of 1 in 80 (red line). The secondary antibody used was FITC goat anti-rabbit at a dilution of 1 in 500. Rabbit monoclonal IgG was used as an isotype control (black line) and cells incubated in the absence of both primary and secondary antibody were used as a negative control (blue line). This data was developed using the same antibody clone in a different buffer formulation containing PBS, BSA, glycerol, and sodium azide (ab76026).

Immunohistochemistry (Formalin/PFA-fixed paraffin-embedded sections) - Anti-Nrf2 (phospho S40) antibody [EP1809Y] - BSA and Azide free (AB180844)
  • IHC-P

Unknown

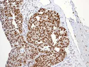
Immunohistochemistry (Formalin/PFA-fixed paraffin-embedded sections) - Anti-Nrf2 (phospho S40) antibody [EP1809Y] - BSA and Azide free (AB180844)

Immunohistochemical analysis of paraffin-embedded human breast carcinoma using unpurified ab76026 at 1/100 dilution. Perform heat mediated antigen retrieval before commencing with IHC staining protocol.

This data was developed using the same antibody clone in a different buffer formulation containing PBS, BSA, glycerol, and sodium azide (ab76026).

Immunohistochemistry (Formalin/PFA-fixed paraffin-embedded sections) - Anti-Nrf2 (phospho S40) antibody [EP1809Y] - BSA and Azide free (AB180844)
  • IHC-P

Unknown

Immunohistochemistry (Formalin/PFA-fixed paraffin-embedded sections) - Anti-Nrf2 (phospho S40) antibody [EP1809Y] - BSA and Azide free (AB180844)

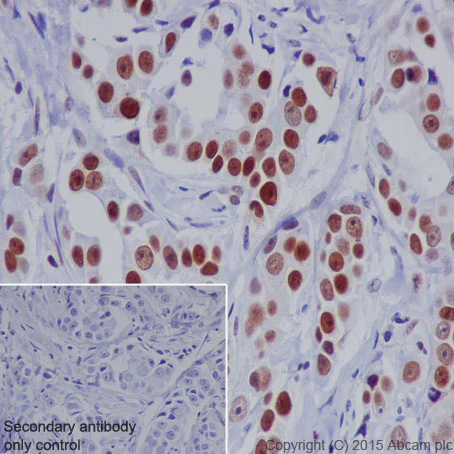
Immunohistochemical staining of paraffin embedded human breast carcinoma with purified ab76026 at a working dilution of 1/500. The secondary antibody used is HRP goat anti-rabbit IgG H&L (ab97051) at 1/500. The sample is counter-stained with hematoxylin. Antigen retrieval was perfomed using Tris-EDTA buffer, pH 9.0. PBS was used instead of the primary antibody as the negative control, and is shown in the inset.This data was developed using the same antibody clone in a different buffer formulation containing PBS, BSA, glycerol, and sodium azide (ab76026).

Immunohistochemistry (Formalin/PFA-fixed paraffin-embedded sections) - Anti-Nrf2 (phospho S40) antibody [EP1809Y] - BSA and Azide free (AB180844)
  • IHC-P

Unknown

Immunohistochemistry (Formalin/PFA-fixed paraffin-embedded sections) - Anti-Nrf2 (phospho S40) antibody [EP1809Y] - BSA and Azide free (AB180844)

Unpurified ab76026 showing positive staining in Breast carcinoma tissue. Perform heat mediated antigen retrieval before commencing with IHC staining protocol.

This data was developed using the same antibody clone in a different buffer formulation containing PBS, BSA, glycerol, and sodium azide (ab76026).

Immunocytochemistry/ Immunofluorescence - Anti-Nrf2 (phospho S40) antibody [EP1809Y] - BSA and Azide free (AB180844)
  • ICC/IF

Unknown

Immunocytochemistry/ Immunofluorescence - Anti-Nrf2 (phospho S40) antibody [EP1809Y] - BSA and Azide free (AB180844)

Immunofluorescence staining of HepG2 cells with purified ab76026 at a working dilution of 1/100, counter-stained with DAPI. The treated cells were treated with alkaline phosphatase for 1 h at 37°C. The secondary antibody was Alexa Fluor® 488 goat anti-rabbit (ab150077), used at a dilution of 1/1000. ab7291, a mouse anti-tubulin antibody (1/1000), was used to stain tubulin along with ab150120 (Alexa Fluor® 594 goat anti-mouse, 1/1000), shown in the top right hand panel. The cells were fixed in 4% PFA and permeabilized using 0.1% Triton X 100. The negative controls are shown in bottom middle and right hand panels - for negative control 1, purified ab76026 was used at a dilution of 1/500 followed by an Alexa Fluor® 594 goat anti-mouse antibody (ab150120) at a dilution of 1/500. For negative control 2, ab7291 (mouse anti-tubulin) was used at a dilution of 1/500 followed by an Alexa Fluor® 488 goat anti-rabbit antibody (ab150077) at a dilution of 1/400.

This data was developed using the same antibody clone in a different buffer formulation containing PBS, BSA, glycerol, and sodium azide (ab76026).

Immunohistochemistry (Formalin/PFA-fixed paraffin-embedded sections) - Anti-Nrf2 (phospho S40) antibody [EP1809Y] - BSA and Azide free (AB180844)
  • IHC-P

Unknown

Immunohistochemistry (Formalin/PFA-fixed paraffin-embedded sections) - Anti-Nrf2 (phospho S40) antibody [EP1809Y] - BSA and Azide free (AB180844)

Unpurified ab76026 showing positive staining in Normal tonsil tissue.

This data was developed using the same antibody clone in a different buffer formulation containing PBS, BSA, glycerol, and sodium azide (ab76026).

Perform heat mediated antigen retrieval before commencing with IHC staining protocol.

Immunohistochemistry (Formalin/PFA-fixed paraffin-embedded sections) - Anti-Nrf2 (phospho S40) antibody [EP1809Y] - BSA and Azide free (AB180844)
  • IHC-P

AbReview16248****

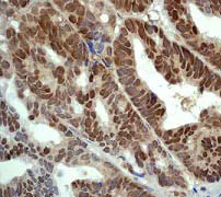
Immunohistochemistry (Formalin/PFA-fixed paraffin-embedded sections) - Anti-Nrf2 (phospho S40) antibody [EP1809Y] - BSA and Azide free (AB180844)

Unpurified ab76026 staining Nrf2 (phospho S40) in Human normal lung tissue sections by IHC-P (Formaldehyde-fixed paraffin-embedded sections). Tissue was fixed with formaldehyde and blocked with 1% casein for 30 minutes at 4°C. Antigen retrieval was by heat mediation. Samples were incubated with primary antibody (1/50) in 1% casein for 24 hours at 4°C. An undiluted HRP-conjugated Goat polyclonal to rabbit IgG was used as the secondary antibody.

This data was developed using the same antibody clone in a different buffer formulation containing PBS, BSA, glycerol, and sodium azide (ab76026).

This image is courtesy of an anonymous Abreview

Immunohistochemistry (Formalin/PFA-fixed paraffin-embedded sections) - Anti-Nrf2 (phospho S40) antibody [EP1809Y] - BSA and Azide free (AB180844)
  • IHC-P

Unknown

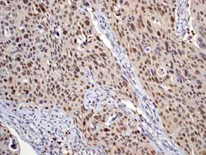
Immunohistochemistry (Formalin/PFA-fixed paraffin-embedded sections) - Anti-Nrf2 (phospho S40) antibody [EP1809Y] - BSA and Azide free (AB180844)

Unpurified ab76026 showing positive staining in Cervical carcinoma tissue. Perform heat mediated antigen retrieval before commencing with IHC staining protocol.

This data was developed using the same antibody clone in a different buffer formulation containing PBS, BSA, glycerol, and sodium azide (ab76026).

Dot Blot - Anti-Nrf2 (phospho S40) antibody [EP1809Y] - BSA and Azide free (AB180844)
  • Dot

Unknown

Dot Blot - Anti-Nrf2 (phospho S40) antibody [EP1809Y] - BSA and Azide free (AB180844)

Dot blot analysis of Nrf2 peptides using unpurified ab76026 at 1/1000 dilution followed by Goat Anti-Rabbit IgG, (H+L),Peroxidase conjugated secondary antibody at 1/1000 dilution. Blocking and diluting buffer was 5% NFDM/TBST.

Lane 1 : Nrf2 (pS40) phospho peptide

Lane 2 : Nrf2 non-phospho peptide

This data was developed using the same antibody clone in a different buffer formulation containing PBS, BSA, glycerol, and sodium azide (ab76026).

  • Unconjugated

    Anti-Nrf2 (phospho S40) antibody [EP1809Y]

  • 565 Alexa Fluor® 555

    Alexa Fluor® 555 Anti-Nrf2 (phospho S40) antibody [EP1809Y]

  • 617 Alexa Fluor® 594

    Alexa Fluor® 594 Anti-Nrf2 (phospho S40) antibody [EP1809Y]

  • 578 PE

    PE Anti-Nrf2 (phospho S40) antibody [EP1809Y]

  • 660 APC

    APC Anti-Nrf2 (phospho S40) antibody [EP1809Y]

  • 775 Alexa Fluor® 750

    Alexa Fluor® 750 Anti-Nrf2 (phospho S40) antibody [EP1809Y]

  • 519 Alexa Fluor® 488

    Alexa Fluor® 488 Anti-Nrf2 (phospho S40) antibody [EP1809Y]

  • 665 Alexa Fluor® 647

    Alexa Fluor® 647 Anti-Nrf2 (phospho S40) antibody [EP1809Y]

Key facts

Host species

Rabbit

Clonality

Monoclonal

Clone number

EP1809Y

Isotype

IgG

Carrier free

Yes

Reacts with

Human

Applications

WB, Dot, IHC-P, ICC/IF, Flow Cyt (Intra)

applications

Immunogen

The exact immunogen used to generate this antibody is proprietary information.

Reactivity data

{ "title": "Reactivity Data", "filters": { "stats": ["", "Species", "Dilution Info", "Notes"], "tabs": { "all-applications": {"fullname" : "All Applications", "shortname": "All Applications"}, "IHCP" : {"fullname" : "Immunohistochemistry (Formalin/PFA-fixed paraffin-embedded sections)", "shortname":"IHC-P"}, "IP" : {"fullname" : "Immunoprecipitation", "shortname":"IP"}, "Dot" : {"fullname" : "Dot Blot", "shortname":"Dot"}, "WB" : {"fullname" : "Western blot", "shortname":"WB"}, "ICCIF" : {"fullname" : "Immunocytochemistry/ Immunofluorescence", "shortname":"ICC/IF"}, "FlowCytIntra" : {"fullname" : "Flow Cytometry (Intracellular)", "shortname":"Flow Cyt (Intra)"} }, "product-promise": { "all": "all", "testedAndGuaranteed": "tested", "guaranteed": "expected", "predicted": "predicted", "notRecommended": "not-recommended" } }, "values": { "Human": { "IHCP-species-checked": "testedAndGuaranteed", "IHCP-species-dilution-info": "", "IHCP-species-notes": "<p></p>", "IP-species-checked": "notRecommended", "IP-species-dilution-info": "", "IP-species-notes": "<p></p>", "Dot-species-checked": "guaranteed", "Dot-species-dilution-info": "", "Dot-species-notes": "", "WB-species-checked": "guaranteed", "WB-species-dilution-info": "", "WB-species-notes": "<p>Can be blocked with Nrf2 (phospho S40) peptide (<a href='/en-us/products/proteins-peptides/human-nrf2-phospho-s40-peptide-ab133404'>ab133404</a>).</p>", "ICCIF-species-checked": "testedAndGuaranteed", "ICCIF-species-dilution-info": "", "ICCIF-species-notes": "<p></p>", "FlowCytIntra-species-checked": "testedAndGuaranteed", "FlowCytIntra-species-dilution-info": "", "FlowCytIntra-species-notes": "<p><a href='/en-us/products/primary-antibodies/rabbit-igg-monoclonal-epr25a-isotype-control-low-endotoxin-azide-free-ab199376'>ab199376</a> - Rabbit monoclonal IgG, is suitable for use as an isotype control with this antibody.</p>" }, "Synthetic peptide": { "IHCP-species-checked": "notRecommended", "IHCP-species-dilution-info": "", "IHCP-species-notes": "", "IP-species-checked": "notRecommended", "IP-species-dilution-info": "", "IP-species-notes": "", "Dot-species-checked": "testedAndGuaranteed", "Dot-species-dilution-info": "", "Dot-species-notes": "<p></p>", "WB-species-checked": "notRecommended", "WB-species-dilution-info": "", "WB-species-notes": "", "ICCIF-species-checked": "notRecommended", "ICCIF-species-dilution-info": "", "ICCIF-species-notes": "", "FlowCytIntra-species-checked": "notRecommended", "FlowCytIntra-species-dilution-info": "", "FlowCytIntra-species-notes": "" } } }

Product details

ab180844 is the carrier-free version of ab76026.

Patented technology
Our RabMAb® technology is a patented hybridoma-based technology for making rabbit monoclonal antibodies. For details on our patents, please refer to RabMAb® patents.

What are the advantages of a recombinant monoclonal antibody?
This product is a recombinant monoclonal antibody, which offers several advantages including:

  • - High batch-to-batch consistency and reproducibility
  • - Improved sensitivity and specificity
  • - Long-term security of supply
  • - Animal-free batch production

For more information, read more on recombinant antibodies.

Conjugation ready
Our carrier-free antibodies are typically supplied in a PBS-only formulation, purified and free of BSA, sodium azide and glycerol. This conjugation-ready format is designed for use with fluorochromes, metal isotopes, oligonucleotides, and enzymes, which makes them ideal for antibody labelling, functional and cell-based assays, flow-based assays (e.g. mass cytometry) and Multiplex Imaging applications.

Use our conjugation kits for antibody conjugates that are ready-to-use in as little as 20 minutes with 1 minute hands-on-time and 100% antibody recovery: available for fluorescent dyes, HRP, biotin and gold.

Compatibility
This product is compatible with the Maxpar® Antibody Labeling Kit from Fluidigm, without the need for antibody preparation. Maxpar® is a trademark of Fluidigm Canada Inc.

Properties and storage information

Form
Liquid
Purification technique
Affinity purification Protein A
Storage buffer
Constituents: PBS
Shipped at conditions
Blue Ice
Appropriate short-term storage conditions
+4°C
Appropriate long-term storage conditions
+4°C
Storage information
Do Not Freeze

Supplementary information

This supplementary information is collated from multiple sources and compiled automatically.

Nrf2 also known as nuclear factor erythroid 2-related factor 2 is a transcription factor with a molecular weight of approximately 66 kDa. It plays a mechanical role in regulating the expression of antioxidant proteins that protect against oxidative damage triggered by injury and inflammation. Nrf2 is ubiquitously expressed in various tissues including the liver lungs and skin. Nrf2 activation occurs when it translocates from the cytoplasm to the nucleus to bind the antioxidant response element (ARE) in the DNA starting transcription of target genes.
Biological function summary

Nrf2 acts as an important regulator of the cellular antioxidant response. It works in conjunction with its partner protein Keap1 forming a complex that controls its stability and degradation. Under normal conditions Keap1 keeps Nrf2 in the cytoplasm where it is targeted for ubiquitination and degradation. Once activated by oxidative stress or electrophiles Nrf2 dissociates from Keap1 thereby avoiding degradation and relocates to the nucleus to activate the transcription of ARE-dependent genes. This activity boosts the cellular response to oxidative stress by inducing genes involved in detoxification and cellular defense.

Pathways

Nrf2 plays a significant role in the oxidative stress response and detoxification pathways. Nrf2 activation is linked closely to the PI3K/Akt signaling pathway which influences cell survival growth and metabolism. This pathway also interacts with other important proteins like GSK-3β which can modulate Nrf2 activity and stability. Through these pathways Nrf2 orchestrates a defense mechanism against reactive oxygen species (ROS) by boosting the expression of antioxidant enzymes and detoxifying proteins.

Nrf2 has been associated with conditions like cancer and neurodegenerative diseases. In cancer aberrant Nrf2 activation may lead to enhanced tumor survival by increasing expression of cytoprotective genes which makes cancer cells resistant to chemotherapy. Nrf2 also interacts with proteins such as p53 which play roles in tumor suppression and cellular stress responses. In neurodegenerative disorders reduced Nrf2 activity can contribute to oxidative stress leading to neuron damage and disease progression with proteins like amyloid-beta also being linked with oxidative processes affected by Nrf2 functionality.

Product protocols

For this product, it's our understanding that no specific protocols are required. You can visit:

Target data

The protein expressed by the NFE2L2 gene functions as a transcription factor that plays a key role in responding to oxidative stress by binding to antioxidant response elements (ARE) in the promoter regions of various cytoprotective genes, such as phase 2 detoxifying enzymes, to promote their expression and neutralize reactive electrophiles. Under normal conditions, it is ubiquitinated and degraded in the cytoplasm by the BCR(KEAP1) complex. However, oxidative stress leads to the inhibition of the BCR(KEAP1) complex, allowing NFE2L2/NRF2 to accumulate in the nucleus, form heterodimers with small Maf proteins, and bind to ARE elements. Additionally, the NFE2L2/NRF2 pathway is activated by selective autophagy, where KEAP1 interacts with SQSTM1/p62, inactivating the BCR(KEAP1) complex and leading to nuclear NFE2L2/NRF2 accumulation and cytoprotective gene expression. It may also be involved in activating genes of the beta-globin cluster by facilitating enhancer activity of hypersensitive site 2 of the beta-globin locus control region. This supplementary information is collated from multiple sources and compiled automatically.
See full target information NFE2L2 phospho S40

Publications (10)

Recent publications for all applications. Explore the full list and refine your search

Redox biology 72:103131 PubMed38555711

2024

MAPK15 controls cellular responses to oxidative stress by regulating NRF2 activity and expression of its downstream target genes.

Applications

Unspecified application

Species

Unspecified reactive species

Lorenzo Franci,Giulia Vallini,Franca Maria Bertolino,Vittoria Cicaloni,Giovanni Inzalaco,Mattia Cicogni,Laura Tinti,Laura Calabrese,Virginia Barone,Laura Salvini,Pietro Rubegni,Federico Galvagni,Mario Chiariello

eLife 11: PubMed35507395

2022

Short senolytic or senostatic interventions rescue progression of radiation-induced frailty and premature ageing in mice.

Applications

Unspecified application

Species

Unspecified reactive species

Edward Fielder,Tengfei Wan,Ghazaleh Alimohammadiha,Abbas Ishaq,Evon Low,B Melanie Weigand,George Kelly,Craig Parker,Brigid Griffin,Diana Jurk,Viktor I Korolchuk,Thomas von Zglinicki,Satomi Miwa

Regenerative therapy 14:177-183 PubMed32128354

2020

Evaluation of the post-treatment anti-inflammatory capacity of osteoarthritic chondrocytes: An study using baicalein.

Applications

Unspecified application

Species

Unspecified reactive species

Chang-Chin Wu,Yi-Ru Chen,Dai-Hua Lu,Li-Ho Hsu,Kai-Chiang Yang,Shoichiro Sumi

PloS one 8:e63404 PubMed23667609

2013

Nrf2 pathway regulates multidrug-resistance-associated protein 1 in small cell lung cancer.

Applications

IHC-P

Species

Human

Lili Ji,Hui Li,Pan Gao,Guoguo Shang,Donna D Zhang,Nong Zhang,Tao Jiang

Life sciences 90:1027-33 PubMed22683429

2012

Induction of heme oxygenase-1 by chamomile protects murine macrophages against oxidative stress.

Applications

WB

Species

Mouse

Natarajan Bhaskaran,Sanjeev Shukla,Rajnee Kanwal,Janmejai K Srivastava,Sanjay Gupta

PloS one 7:e35122 PubMed22558124

2012

Mechanism of chemical activation of Nrf2.

Applications

WB

Species

Unspecified reactive species

Yun Li,Joseph D Paonessa,Yuesheng Zhang

Human molecular genetics 21:3013-24 PubMed22492997

2012

DJ-1 induces thioredoxin 1 expression through the Nrf2 pathway.

Applications

Unspecified application

Species

Unspecified reactive species

Joo-Young Im,Kang-Woo Lee,Jong-Min Woo,Eunsung Junn,M Maral Mouradian

International journal of molecular sciences 12:8878-94 PubMed22272109

2011

Increased glutathione synthesis following Nrf2 activation by vanadyl sulfate in human chang liver cells.

Applications

WB

Species

Human

Areum Daseul Kim,Rui Zhang,Kyoung Ah Kang,Ho Jin You,Jin Won Hyun

Journal of biomolecular screening 16:405-14 PubMed21364087

2011

Chemical library screening identifies a small molecule that downregulates SOD1 transcription for drugs to treat amyotrophic lateral sclerosis.

Applications

WB

Species

Unspecified reactive species

Gaku Murakami,Haruhisa Inoue,Kayoko Tsukita,Yasuyuki Asai,Yuji Amagai,Kazuhiro Aiba,Hiroki Shimogawa,Motonari Uesugi,Norio Nakatsuji,Ryosuke Takahashi

Journal of cell science 122:4452-64 PubMed19920073

2009

Antioxidant-induced modification of INrf2 cysteine 151 and PKC-delta-mediated phosphorylation of Nrf2 serine 40 are both required for stabilization and nuclear translocation of Nrf2 and increased drug resistance.

Applications

WB

Species

Mouse

Suryakant K Niture,Abhinav K Jain,Anil K Jaiswal
View all publications

Product promise

We are committed to supporting your work with high-quality reagents, and we're here for you every step of the way. In the unlikely event that one of our products does not perform as expected, you're protected by our Product Promise.
For full details, please see our Terms & Conditions

Please note: All products are 'FOR RESEARCH USE ONLY. NOT FOR USE IN DIAGNOSTIC OR THERAPEUTIC PROCEDURES'.

For licensing inquiries, please contact partnerships@abcam.com