JavaScript is disabled in your browser. Please enable JavaScript to view this website.
AB300490

Anti-NSD3 antibody [EPR25189-8] (BSA and Azide free)

  • BOND RX™ Validated
  • RabMAb
  • Recombinant
  • KO Validated
  • What is this?

Be the first to review this product! Submit a review

|

(0 Publication)

Rabbit Recombinant Monoclonal NSD3 antibody. Carrier free. Suitable for WB, ICC/IF, Flow Cyt (Intra), IP, IHC-P and reacts with Human, Mouse, Rat samples.

View Alternative Names

WHSC1L1, DC28, NSD3, Histone-lysine N-methyltransferase NSD3, Nuclear SET domain-containing protein 3, Protein whistle, WHSC1-like 1 isoform 9 with methyltransferase activity to lysine, Wolf-Hirschhorn syndrome candidate 1-like protein 1, WHSC1-like protein 1

11 Images
Immunocytochemistry/ Immunofluorescence - Anti-NSD3 antibody [EPR25189-8] (BSA and Azide free) (AB300490)
  • ICC/IF

Supplier Data

Immunocytochemistry/ Immunofluorescence - Anti-NSD3 antibody [EPR25189-8] (BSA and Azide free) (AB300490)

This data was developed using ab300489, the same antibody clone in a different buffer formulation.Immunofluorescent analysis of 4% Paraformaldehyde-fixed, 0.1% TritonX-100 permeabilized WHSC1L1 KO HAP1 (WHSC1L1 knockout human chronic myelogenous leukemia near-haploid cell) cells labelling NSD3 with ab300489 at 1/500 (0.998 ug/ml) dilution, followed by ab150081 Goat Anti-Rabbit IgG H&L (Alexa Fluor® 488) preadsorbed antibody at 1/1000 2 ug/ml dilution (Green). Confocal image showing nuclear staining in wild-type HAP1 cell line and no staining in WHSC1L1 knockout HAP1 cell line is observed. ab195889 Anti-alpha Tubulin mouse monoclonal antibody - Microtubule Marker (Alexa Fluor® 594) was used to counterstain tubulin at 1/200 2.5 ug/ml dilution (Red). The Nuclear counterstain was DAPI (Blue). Secondary antibody only control : Secondary antibody is ab150081 Goat Anti-Rabbit IgG H&L (Alexa Fluor® 488) preadsorbed at 1/1000 2 ug/ml dilution.

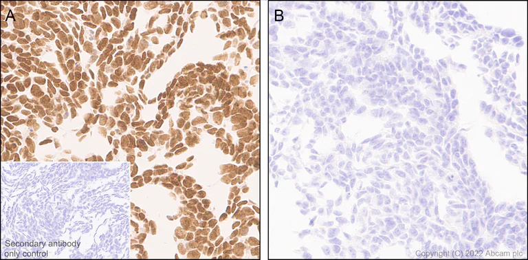
Immunohistochemistry (Formalin/PFA-fixed paraffin-embedded sections) - Anti-NSD3 antibody [EPR25189-8] (BSA and Azide free) (AB300490)
  • IHC-P

Supplier Data

Immunohistochemistry (Formalin/PFA-fixed paraffin-embedded sections) - Anti-NSD3 antibody [EPR25189-8] (BSA and Azide free) (AB300490)

This data was developed using ab300489, the same antibody clone in a different buffer formulation.Immunohistochemical analysis of paraffin-embedded A Wild-type HAP1 (H tissue labeling NSD3 with ab300489 at 1/500 (0.998 ug/ml) followed by a ready to use LeicaDS9800 (Bond™ Polymer Refine Detection) was used. Positive staining on (A) wild-type HAP1 cell pellet, no staining on (B) WHSC1L1 knockout HAP1 cell pellet. The section was incubated with ab300489 for 30 mins at room temperature.The immunostaining was performed on a Leica Biosystems BOND® RX instrument Counterstained with Hematoxylin. Secondary antibody only control : Secondary antibody is a ready to use LeicaDS9800 (Bond™ Polymer Refine Detection) was used.Heat mediated antigen retrieval with Tris-EDTA buffer (pH 9.0, epitope retrieval solution2) for 20 mins

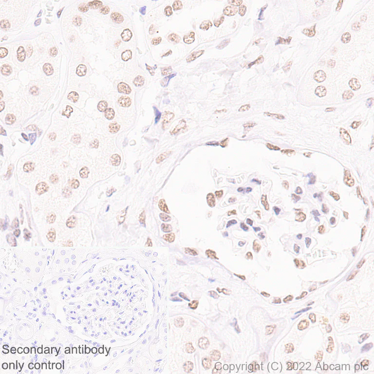
Immunohistochemistry (Formalin/PFA-fixed paraffin-embedded sections) - Anti-NSD3 antibody [EPR25189-8] (BSA and Azide free) (AB300490)
  • IHC-P

Supplier Data

Immunohistochemistry (Formalin/PFA-fixed paraffin-embedded sections) - Anti-NSD3 antibody [EPR25189-8] (BSA and Azide free) (AB300490)

This data was developed using ab300489, the same antibody clone in a different buffer formulation.Immunohistochemical analysis of paraffin-embedded Human kidney tissue labeling NSD3 with ab300489 at 1/500 (0.998 ug/ml) followed by a ready to use LeicaDS9800 (Bond™ Polymer Refine Detection) was used. Nuclear staining on human kidney. The section was incubated with ab300489 for 30 mins at room temperature.The immunostaining was performed on a Leica Biosystems BOND® RX instrument Counterstained with Hematoxylin. Secondary antibody only control : Secondary antibody is a ready to use LeicaDS9800 (Bond™ Polymer Refine Detection) was used.Heat mediated antigen retrieval with Tris-EDTA buffer (pH 9.0, epitope retrieval solution2) for 20 mins

Flow Cytometry (Intracellular) - Anti-NSD3 antibody [EPR25189-8] (BSA and Azide free) (AB300490)
  • Flow Cyt (Intra)

Supplier Data

Flow Cytometry (Intracellular) - Anti-NSD3 antibody [EPR25189-8] (BSA and Azide free) (AB300490)

This data was developed using ab300489, the same antibody clone in a different buffer formulation.Flow cytometric analysis of Wild-type HAP1 (human chronic myelogenous leukemia near-haploid cell, Right) / NSD3 knockout HAP1(Left) cells labelling NSD3 with ab300489 at 1/500 dilution (0.1ug) (Red) compared with a Rabbit monoclonal IgG (ab172730) (Black) isotype control and an unlabelled control (cells without incubation with primary antibody and secondary antibody) (Blue). Goat Anti-Rabbit IgG (Alexa Fluor® 488, ab150081) at 1/2000 dilution was used as the secondary antibody.

Immunoprecipitation - Anti-NSD3 antibody [EPR25189-8] (BSA and Azide free) (AB300490)
  • IP

Supplier Data

Immunoprecipitation - Anti-NSD3 antibody [EPR25189-8] (BSA and Azide free) (AB300490)

This data was developed using ab300489, the same antibody clone in a different buffer formulation.

NSD3 was immunoprecipitated from 0.35 mg HAP1 (human chronic myelogenous leukemia near-haploid cell line) whole cell lysate 10 ug with ab300489 at 1/30 dilution (2ug in 0.35mg lysates). Western blot was performed on the immunoprecipitate using ab300489 at 1/1000 dilution. VeriBlot for IP secondary antibody(HRP)(ab131366) was used at 1/5000 dilution.

Blocking and dilution buffer and concentration : 5% NFDM/TBST.

This blot was developed using a high sensitivity ECL substrate. The high-sensitivity ECL substrate used allows for the detection of proteins in the mid-femtogram range.

Lysates were freshly made and used immediately to minimize protein degradation.

Extra bands at 70 and 50 kDa observed in lane 2 may be caused by degradation during incubation.

All lanes:

Immunoprecipitation - Anti-NSD3 antibody [EPR25189-8] (<a href='/en-us/products/primary-antibodies/nsd3-antibody-epr25189-8-ab300489'>ab300489</a>) at 1/1000 dilution

Lane 1:

HAP1 (human chronic myelogenous leukemia near-haploid cell line) whole cell lysate at 10 µg

Lane 2:

<a href='/en-us/products/primary-antibodies/nsd3-antibody-epr25189-8-ab300489'>ab300489</a> at 1/30 IP in HAP1 whole cell lysate

Lane 3:

Rabbit monoclonal IgG (<a href='/en-us/products/primary-antibodies/rabbit-igg-monoclonal-epr25a-isotype-control-ab172730'>ab172730</a>) instead of <a href='/en-us/products/primary-antibodies/nsd3-antibody-epr25189-8-ab300489'>ab300489</a> in HAP1 whole cell lysate at 10 µg

Secondary

All lanes:

Immunoprecipitation - VeriBlot for IP Detection Reagent (HRP) (<a href='/en-us/products/reagents/veriblot-for-ip-detection-reagent-hrp-ab131366'>ab131366</a>) at 1/5000 dilution

Observed band size: 85 kDa,180 kDa

true

Exposure time: 125s

Immunohistochemistry (Formalin/PFA-fixed paraffin-embedded sections) - Anti-NSD3 antibody [EPR25189-8] (BSA and Azide free) (AB300490)
  • IHC-P

Supplier Data

Immunohistochemistry (Formalin/PFA-fixed paraffin-embedded sections) - Anti-NSD3 antibody [EPR25189-8] (BSA and Azide free) (AB300490)

This data was developed using ab300489, the same antibody clone in a different buffer formulation.Immunohistochemical analysis of paraffin-embedded Mouse cardiac muscle tissue labeling NSD3 with ab300489 at 1/500 (0.998 ug/ml) followed by a ready to use LeicaDS9800 (Bond™ Polymer Refine Detection) was used. Nuclear staining on mouse cardiac muscle. The section was incubated with ab300489 for 30 mins at room temperature.The immunostaining was performed on a Leica Biosystems BOND® RX instrument Counterstained with Hematoxylin. Secondary antibody only control : Secondary antibody is a ready to use LeicaDS9800 (Bond™ Polymer Refine Detection) was used.Heat mediated antigen retrieval with Tris-EDTA buffer (pH 9.0, epitope retrieval solution2) for 20 mins

Immunohistochemistry (Formalin/PFA-fixed paraffin-embedded sections) - Anti-NSD3 antibody [EPR25189-8] (BSA and Azide free) (AB300490)
  • IHC-P

Supplier Data

Immunohistochemistry (Formalin/PFA-fixed paraffin-embedded sections) - Anti-NSD3 antibody [EPR25189-8] (BSA and Azide free) (AB300490)

This data was developed using ab300489, the same antibody clone in a different buffer formulation.Immunohistochemical analysis of paraffin-embedded Rat cardiac muscle tissue labeling NSD3 with ab300489 at 1/500 (0.998 ug/ml) followed by a ready to use LeicaDS9800 (Bond™ Polymer Refine Detection) was used. Nuclear staining on rat cardiac muscle. The section was incubated with ab300489 for 30 mins at room temperature.The immunostaining was performed on a Leica Biosystems BOND® RX instrument Counterstained with Hematoxylin. Secondary antibody only control : Secondary antibody is a ready to use LeicaDS9800 (Bond™ Polymer Refine Detection) was used.Heat mediated antigen retrieval with Tris-EDTA buffer (pH 9.0, epitope retrieval solution2) for 20 mins

Immunocytochemistry/ Immunofluorescence - Anti-NSD3 antibody [EPR25189-8] (BSA and Azide free) (AB300490)
  • ICC/IF

Supplier Data

Immunocytochemistry/ Immunofluorescence - Anti-NSD3 antibody [EPR25189-8] (BSA and Azide free) (AB300490)

This data was developed using ab300489, the same antibody clone in a different buffer formulation.Immunofluorescent analysis of 4% Paraformaldehyde-fixed, 0.1% TritonX-100 permeabilized NIH/3T3 (mouse embryonic fibroblast) cells labelling NSD3 with ab300489 at 1/50 (9.98 ug/ml) dilution, followed by ab150081 Goat Anti-Rabbit IgG H&L (Alexa Fluor® 488) preadsorbed antibody at 1/1000 2 ug/ml dilution (Green). Confocal image showing nuclear staining in NIH/3T3 cell line is observed. ab195889 Anti-alpha Tubulin mouse monoclonal antibody - Microtubule Marker (Alexa Fluor® 594) was used to counterstain tubulin at 1/200 2.5 ug/ml dilution (Red). The Nuclear counterstain was DAPI (Blue). Secondary antibody only control : Secondary antibody is ab150081 Goat Anti-Rabbit IgG H&L (Alexa Fluor® 488) preadsorbed at 1/1000 2 ug/ml dilution.

Flow Cytometry (Intracellular) - Anti-NSD3 antibody [EPR25189-8] (BSA and Azide free) (AB300490)
  • Flow Cyt (Intra)

Supplier Data

Flow Cytometry (Intracellular) - Anti-NSD3 antibody [EPR25189-8] (BSA and Azide free) (AB300490)

This data was developed using ab300489, the same antibody clone in a different buffer formulation.Flow cytometric analysis of NIH/3T3 (mouse embryonic fibroblast) cells labelling NSD3 with ab300489 at 1/500 dilution (0.1ug) (Red) compared with a Rabbit monoclonal IgG (ab172730) (Black) isotype control and an unlabelled control (cells without incubation with primary antibody and secondary antibody) (Blue). Goat Anti-Rabbit IgG (Alexa Fluor® 488, ab150081) at 1/2000 dilution was used as the secondary antibody.

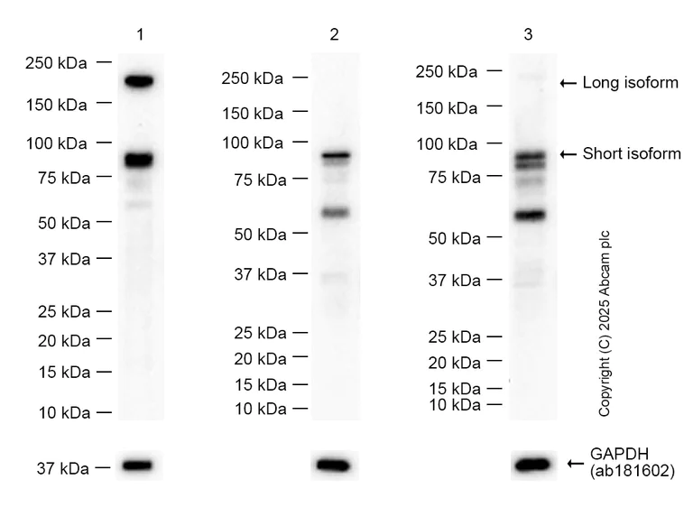
Western blot - Anti-NSD3 antibody [EPR25189-8] (BSA and Azide free) (AB300490)
  • WB

Supplier Data

Western blot - Anti-NSD3 antibody [EPR25189-8] (BSA and Azide free) (AB300490)

This data was developed using ab300489, the same antibody clone in a different buffer formulation. Blocking Buffer and concentration : Intercept® (TBS) Blocking Buffer diluted with an equal volume of 0.1% TBS

All lanes:

Western blot - Anti-NSD3 antibody [EPR25189-8] (<a href='/en-us/products/primary-antibodies/nsd3-antibody-epr25189-8-ab300489'>ab300489</a>) at 1/2000 dilution

Lane 1:

Wild-type HAP1 (human chronic myelogenous leukemia near-haploid cell), whole cell lysate

Lane 2:

WHSC1L1 knockout HAP1 whole cell lysate

Secondary

Lanes 1 - 2:

Western blot - Goat anti-Rabbit IgG H&L (IRDye® 800CW) preadsorbed (<a href='/en-us/products/secondary-antibodies/goat-rabbit-igg-h-l-irdye-800cw-preadsorbed-ab216773'>ab216773</a>) at 1/20000 dilution

Lanes 1 - 2:

Western blot - Goat anti-Mouse IgG H&L (IRDye® 680RD) preadsorbed (<a href='/en-us/products/secondary-antibodies/goat-mouse-igg-h-l-irdye-680rd-preadsorbed-ab216776'>ab216776</a>) at 1/20000 dilution

Observed band size: 85 kDa,180 kDa

false

Western blot - Anti-NSD3 antibody [EPR25189-8] (BSA and Azide free) (AB300490)
  • WB

Lab

Western blot - Anti-NSD3 antibody [EPR25189-8] (BSA and Azide free) (AB300490)

This data was developed using ab300489, the same antibody clone in a different buffer formulation.

In Western blot, Anti-GAPDH antibody [EPR16891] - Loading Control (ab181602) staining at 1/1000000 dilution.

Lysates were freshly made and used for Western blotting immediately to minimize protein degradation.

All lanes:

Western blot - Anti-NSD3 antibody [EPR25189-8] (<a href='/en-us/products/primary-antibodies/nsd3-antibody-epr25189-8-ab300489'>ab300489</a>) at 1/1000 dilution

Lane 1:

293T (human embryonic kidney epithelial cell), whole cell lysate at 20 µg

Lane 2:

NIH/3T3 (mouse embryonic fibroblast), whole cell lysate at 20 µg

Lane 3:

PC-12 (rat adrenal gland pheochromocytoma), whole cell lysate at 20 µg

Secondary

All lanes:

Western blot - Goat Anti-Rabbit IgG H&L (HRP) (<a href='/en-us/products/secondary-antibodies/goat-rabbit-igg-h-l-hrp-ab97051'>ab97051</a>) at 1/20000 dilution

Predicted band size: 85 kDa,180 kDa

Observed band size: 85 kDa,180 kDa

false

Exposure time: 180s

Key facts

Host species

Rabbit

Clonality

Monoclonal

Clone number

EPR25189-8

Isotype

IgG

Carrier free

Yes

Reacts with

Human, Mouse, Rat

Applications

Flow Cyt (Intra), ICC/IF, WB, IHC-P, IP

applications

Immunogen

The exact immunogen used to generate this antibody is proprietary information.

Reactivity data

{ "title": "Reactivity Data", "filters": { "stats": ["", "Species", "Dilution Info", "Notes"], "tabs": { "all-applications": {"fullname" : "All Applications", "shortname": "All Applications"}, "WB" : {"fullname" : "Western blot", "shortname":"WB"}, "ICCIF" : {"fullname" : "Immunocytochemistry/ Immunofluorescence", "shortname":"ICC/IF"}, "FlowCytIntra" : {"fullname" : "Flow Cytometry (Intracellular)", "shortname":"Flow Cyt (Intra)"}, "IP" : {"fullname" : "Immunoprecipitation", "shortname":"IP"}, "IHCP" : {"fullname" : "Immunohistochemistry (Formalin/PFA-fixed paraffin-embedded sections)", "shortname":"IHC-P"} }, "product-promise": { "all": "all", "testedAndGuaranteed": "tested", "guaranteed": "expected", "predicted": "predicted", "notRecommended": "not-recommended" } }, "values": { "Human": { "WB-species-checked": "testedAndGuaranteed", "WB-species-dilution-info": "", "WB-species-notes": "<p></p>", "ICCIF-species-checked": "testedAndGuaranteed", "ICCIF-species-dilution-info": "", "ICCIF-species-notes": "<p></p>", "FlowCytIntra-species-checked": "testedAndGuaranteed", "FlowCytIntra-species-dilution-info": "", "FlowCytIntra-species-notes": "<p></p>", "IP-species-checked": "testedAndGuaranteed", "IP-species-dilution-info": "", "IP-species-notes": "<p></p>", "IHCP-species-checked": "testedAndGuaranteed", "IHCP-species-dilution-info": "", "IHCP-species-notes": "<p></p>" }, "Mouse": { "WB-species-checked": "testedAndGuaranteed", "WB-species-dilution-info": "", "WB-species-notes": "<p></p>", "ICCIF-species-checked": "testedAndGuaranteed", "ICCIF-species-dilution-info": "", "ICCIF-species-notes": "<p></p>", "FlowCytIntra-species-checked": "testedAndGuaranteed", "FlowCytIntra-species-dilution-info": "", "FlowCytIntra-species-notes": "<p></p>", "IP-species-checked": "guaranteed", "IP-species-dilution-info": "", "IP-species-notes": "", "IHCP-species-checked": "testedAndGuaranteed", "IHCP-species-dilution-info": "", "IHCP-species-notes": "<p></p>" }, "Rat": { "WB-species-checked": "testedAndGuaranteed", "WB-species-dilution-info": "", "WB-species-notes": "<p></p>", "ICCIF-species-checked": "guaranteed", "ICCIF-species-dilution-info": "", "ICCIF-species-notes": "", "FlowCytIntra-species-checked": "guaranteed", "FlowCytIntra-species-dilution-info": "", "FlowCytIntra-species-notes": "", "IP-species-checked": "guaranteed", "IP-species-dilution-info": "", "IP-species-notes": "", "IHCP-species-checked": "testedAndGuaranteed", "IHCP-species-dilution-info": "", "IHCP-species-notes": "<p></p>" } } }

Product details

Patented technology
Our RabMAb® technology is a patented hybridoma-based technology for making rabbit monoclonal antibodies. For details on our patents, please refer to RabMAb® patents.

What are the advantages of a recombinant monoclonal antibody?
This product is a recombinant monoclonal antibody, which offers several advantages including:

  • - High batch-to-batch consistency and reproducibility
  • - Improved sensitivity and specificity
  • - Long-term security of supply
  • - Animal-free batch production

For more information, read more on recombinant antibodies.

Conjugation ready
Our carrier-free antibodies are typically supplied in a PBS-only formulation, purified and free of BSA, sodium azide and glycerol. This conjugation-ready format is designed for use with fluorochromes, metal isotopes, oligonucleotides, and enzymes, which makes them ideal for antibody labelling, functional and cell-based assays, flow-based assays (e.g. mass cytometry) and Multiplex Imaging applications.

Use our conjugation kits for antibody conjugates that are ready-to-use in as little as 20 minutes with 1 minute hands-on-time and 100% antibody recovery: available for fluorescent dyes, HRP, biotin and gold.

Compatibility
This product is compatible with the Maxpar® Antibody Labeling Kit from Fluidigm, without the need for antibody preparation. Maxpar® is a trademark of Fluidigm Canada Inc.

Properties and storage information

Form
Liquid
Purification technique
Affinity purification Protein A
Storage buffer
pH: 7.2 - 7.4 Constituents: PBS
Shipped at conditions
Blue Ice
Appropriate short-term storage conditions
+4°C
Appropriate long-term storage conditions
+4°C

Supplementary information

This supplementary information is collated from multiple sources and compiled automatically.

NSD3 also known as WHSC1L1 is a protein involved in gene expression regulation through its role as a histone methyltransferase. It has a molecular mass of approximately 170 kDa. This protein specifically modifies lysine residues on histone tails which influences chromatin structure and gene transcription. NSD3 is broadly expressed in various tissues but higher levels appear in actively dividing cells such as those found in the brain and reproductive organs.
Biological function summary

NSD3 plays an important role in the regulation of chromatin state and is part of the larger SETD2 family of methyltransferases. It forms part of complexes that influence transcriptional activation and repression by altering chromatin accessibility. These complexes allow NSD3 to exert control over genes involved in cell proliferation and differentiation impacting cellular processes critical to development and tissue maintenance.

Pathways

NSD3 integrates into chromatin remodeling and gene expression pathways. It interacts with other methyltransferases and proteins like NSD1 and NSD2 to regulate transcriptional programs essential for cellular growth. It is part of pathways that modulate key processes such as the cell cycle and DNA damage response indicating its role in maintaining genomic stability and regulating cell fate decisions.

NSD3 has implications in cancer development and progression. It is particularly linked to certain types of breast cancer where overexpression leads to uncontrolled cell growth. In these cases NSD3 influences oncogenic pathways and interacts with proteins such as BRD4 to drive tumorigenesis. Its dysregulation might also contribute to neurodevelopmental disorders by affecting proteins involved in neural development and connectivity.

Product protocols

For this product, it's our understanding that no specific protocols are required. You can visit:

Target data

Histone methyltransferase. Preferentially dimethylates 'Lys-4' and 'Lys-27' of histone H3 forming H3K4me2 and H3K27me2. H3 'Lys-4' methylation represents a specific tag for epigenetic transcriptional activation, while 'Lys-27' is a mark for transcriptional repression.
See full target information NSD3

Product promise

We are committed to supporting your work with high-quality reagents, and we're here for you every step of the way. In the unlikely event that one of our products does not perform as expected, you're protected by our Product Promise.
For full details, please see our Terms & Conditions

Please note: All products are 'FOR RESEARCH USE ONLY. NOT FOR USE IN DIAGNOSTIC OR THERAPEUTIC PROCEDURES'.

For licensing inquiries, please contact partnerships@abcam.com