JavaScript is disabled in your browser. Please enable JavaScript to view this website.
AB190353

Anti-NSDHL antibody [EPR14490]

Be the first to review this product! Submit a review

|

(3 Publications)

Rabbit Recombinant Monoclonal NSDHL antibody. Suitable for WB, ICC/IF, IHC-P and reacts with Human samples. Cited in 3 publications.

View Alternative Names

H105E3, NSDHL, Protein H105e3

5 Images
Immunohistochemistry (Formalin/PFA-fixed paraffin-embedded sections) - Anti-NSDHL antibody [EPR14490] (AB190353)
  • IHC-P

Supplier Data

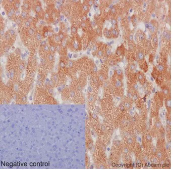
Immunohistochemistry (Formalin/PFA-fixed paraffin-embedded sections) - Anti-NSDHL antibody [EPR14490] (AB190353)

Immunohistochemical analysis of paraffin-embedded Human liver tissue labeling NSDHL with ab190353 at 1/100 dilution. Secondary antibody HRP Polymer for Rabbit IgG prediluted. Counter stain Hematoxylin. Negative control also shown.

Perform heat mediated antigen retrieval with Tris/EDTA buffer pH 9.0 before commencing with IHC staining protocol.

Immunocytochemistry/ Immunofluorescence - Anti-NSDHL antibody [EPR14490] (AB190353)
  • ICC/IF

Supplier Data

Immunocytochemistry/ Immunofluorescence - Anti-NSDHL antibody [EPR14490] (AB190353)

Immunofluorescence analysis of U87-MG cells labeling NSDHL (red) with ab190353 at 1/50 dilution. Alexa Fluor®555-conjugated goat anti-rabbit IgG was used as a secondary antibody at 1/200 dilution. Nuclei were counterstained with DAPI (blue).

Immunohistochemistry (Formalin/PFA-fixed paraffin-embedded sections) - Anti-NSDHL antibody [EPR14490] (AB190353)
  • IHC-P

Supplier Data

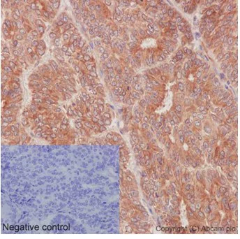
Immunohistochemistry (Formalin/PFA-fixed paraffin-embedded sections) - Anti-NSDHL antibody [EPR14490] (AB190353)

Immunohistochemical analysis of paraffin-embedded Human adenocarcinoma of endometrium tissue labeling NSDHL with ab190353 at 1/100 dilution. Secondary antibody HRP Polymer for Rabbit IgG prediluted. Counter stain Hematoxylin. Negative control also shown.

Perform heat mediated antigen retrieval with Tris/EDTA buffer pH 9.0 before commencing with IHC staining protocol.

Western blot - Anti-NSDHL antibody [EPR14490] (AB190353)
  • WB

Lab

Western blot - Anti-NSDHL antibody [EPR14490] (AB190353)

Lanes 1-4 : Merged signal (red and green). Green - ab190353 observed at 38 kDa. Red - loading control ab7291 observed at 50 kDa.

ab190353 Anti-NSDHL antibody [EPR14490] was shown to specifically react with NSDHL in wild-type HEK293T cells. Loss of signal was observed when knockout cell line ab266682 (knockout cell lysate ab258082) was used. Wild-type and NSDHL knockout samples were subjected to SDS-PAGE. ab190353 and Anti-alpha Tubulin antibody [DM1A] - Loading Control (ab7291) were incubated overnight at 4°C at 1 in 1000 dilution and 1 in 20000 dilution respectively. Blots were developed with Goat anti-Rabbit IgG H&L (IRDye® 800CW) preadsorbed (ab216773) and Goat anti-Mouse IgG H&L (IRDye® 680RD) preadsorbed (ab216776) secondary antibodies at 1 in 20000 dilution for 1 hour at room temperature before imaging.

All lanes:

Western blot - Anti-NSDHL antibody [EPR14490] (ab190353) at 1/1000 dilution

Lane 1:

Wild-type HEK293T cell lysate at 20 µg

Lane 2:

NSDHL knockout HEK293T cell lysate at 20 µg

Lane 2:

Western blot - Human NSDHL knockout HEK-293T cell line (<a href='/en-us/products/cell-lines/human-nsdhl-knockout-hek-293t-cell-line-ab266682'>ab266682</a>)

Lane 3:

A431 cell lysate at 20 µg

Lane 4:

HeLa cell lysate at 20 µg

Secondary

All lanes:

Western blot - Goat anti-Rabbit IgG H&L (IRDye® 800CW) preadsorbed (<a href='/en-us/products/secondary-antibodies/goat-rabbit-igg-h-l-irdye-800cw-preadsorbed-ab216773'>ab216773</a>) at 1/10000 dilution

Predicted band size: 42 kDa

Observed band size: 38 kDa

false

Western blot - Anti-NSDHL antibody [EPR14490] (AB190353)
  • WB

Supplier Data

Western blot - Anti-NSDHL antibody [EPR14490] (AB190353)

All lanes:

Western blot - Anti-NSDHL antibody [EPR14490] (ab190353) at 1/10000 dilution

Lane 1:

A431 cell lysate at 20 µg

Lane 2:

HeLa cell lysate at 20 µg

Lane 3:

Human fetal brain tissue lysate at 20 µg

Secondary

All lanes:

Goat Anti-Rabbit IgG, (H+L), Peroxidase conjugated at 1/1000 dilution

Predicted band size: 42 kDa

Observed band size: 38 kDa

false

Key facts

Host species

Rabbit

Clonality

Monoclonal

Clone number

EPR14490

Isotype

IgG

Carrier free

No

Reacts with

Human

Applications

IHC-P, WB, ICC/IF

applications

Immunogen

The exact immunogen used to generate this antibody is proprietary information.

Reactivity data

{ "title": "Reactivity Data", "filters": { "stats": ["", "Species", "Dilution Info", "Notes"], "tabs": { "all-applications": {"fullname" : "All Applications", "shortname": "All Applications"}, "WB" : {"fullname" : "Western blot", "shortname":"WB"}, "ICCIF" : {"fullname" : "Immunocytochemistry/ Immunofluorescence", "shortname":"ICC/IF"}, "IHCP" : {"fullname" : "Immunohistochemistry (Formalin/PFA-fixed paraffin-embedded sections)", "shortname":"IHC-P"} }, "product-promise": { "all": "all", "testedAndGuaranteed": "tested", "guaranteed": "expected", "predicted": "predicted", "notRecommended": "not-recommended" } }, "values": { "Human": { "WB-species-checked": "testedAndGuaranteed", "WB-species-dilution-info": "1/1000 - 1/10000", "WB-species-notes": "<p></p>", "ICCIF-species-checked": "testedAndGuaranteed", "ICCIF-species-dilution-info": "1/50", "ICCIF-species-notes": "<p></p>", "IHCP-species-checked": "testedAndGuaranteed", "IHCP-species-dilution-info": "1/50 - 1/100", "IHCP-species-notes": "<p></p>" } } }

Product details

Patented technology
Our RabMAb® technology is a patented hybridoma-based technology for making rabbit monoclonal antibodies. For details on our patents, please refer to RabMAb® patents.

What are the advantages of a recombinant monoclonal antibody?
This product is a recombinant monoclonal antibody, which offers several advantages including:

  • - High batch-to-batch consistency and reproducibility
  • - Improved sensitivity and specificity
  • - Long-term security of supply
  • - Animal-free batch production

For more information, read more on recombinant antibodies.

Properties and storage information

Form
Liquid
Purification technique
Affinity purification Protein A
Storage buffer
pH: 7.2 - 7.4 Preservative: 0.01% Sodium azide Constituents: PBS, 40% Glycerol (glycerin, glycerine), 0.05% BSA
Shipped at conditions
Blue Ice
Appropriate short-term storage duration
1-2 weeks
Appropriate short-term storage conditions
+4°C
Appropriate long-term storage conditions
-20°C
Aliquoting information
Upon delivery aliquot
Storage information
Avoid freeze / thaw cycle

Supplementary information

This supplementary information is collated from multiple sources and compiled automatically.

NSDHL also known as NAD(P)H steroid dehydrogenase-like is an enzyme linked to the cholesterol biosynthesis pathway. It has a molecular weight of approximately 41 kDa. This enzyme localizes to the endoplasmic reticulum membrane and the peroxisomes. NSDHL shows expression in various tissues with higher levels in the liver adrenal glands and the brain. This distribution highlights its essential role in metabolic processes across different tissue types.
Biological function summary

NSDHL facilitates the removal of one hydrogen from NAD(P)H and adds it to the steroid precursor lathosterol an important intermediate in cholesterol biosynthesis. Although not part of a larger complex NSDHL performs significant enzymatic steps necessary for converting sterol intermediates. Its activity directly influences sterol composition vital for cell membrane integrity signaling and hormone synthesis.

Pathways

The enzyme plays a critical role in the cholesterol biosynthesis pathway specifically affecting the conversion of lanosterol into cholesterol. NSDHL operates in tandem with other enzymes like DHCR7 influencing the downstream process of sterol maturation. The precise coordination of these enzymes ensures effective cholesterol production essential for maintaining cellular cholesterol levels and systemic lipid homeostasis.

Malfunctions in NSDHL can lead to disorders like CHILD syndrome (Congenital Hemidysplasia with Ichthyosiform erythroderma and Limb Defects) and CK syndrome (Conradi-Hünermann-Happle syndrome). These conditions link to cholesterol biosynthesis disruption impacting skin and skeletal development. NSDHL interacts with the EBP protein in these pathways suggesting a relationship between enzyme activity and phenotypic expression in these disorders. Understanding NSDHL's function and regulation is key to recognizing its involvement in metabolic syndromes and potential therapeutic targets.

Product protocols

For this product, it's our understanding that no specific protocols are required. You can visit:

Target data

Catalyzes the NAD(P)(+)-dependent oxidative decarboxylation of the C4 methyl groups of 4-alpha-carboxysterols in post-squalene cholesterol biosynthesis (By similarity). Also plays a role in the regulation of the endocytic trafficking of EGFR (By similarity).
See full target information NSDHL

Publications (3)

Recent publications for all applications. Explore the full list and refine your search

BMC cancer 24:1370 PubMed39516821

2024

NSDHL contributes to breast cancer stem-like cell maintenance and tumor-initiating capacity through TGF-β/Smad signaling pathway in MCF-7 tumor spheroid.

Applications

Unspecified application

Species

Unspecified reactive species

So-Hyun Yoon,Sangeun Lee,Hoe Suk Kim,Junhyuk Song,Moonjou Baek,Seungyeon Ryu,Han-Byoel Lee,Hyeong-Gon Moon,Dong-Young Noh,Sangyong Jon,Wonshik Han

BMC cancer 20:375 PubMed32366230

2020

NAD(P)-dependent steroid dehydrogenase-like is involved in breast cancer cell growth and metastasis.

Applications

Unspecified application

Species

Unspecified reactive species

So-Hyun Yoon,Hoe Suk Kim,Ryong Nam Kim,So-Youn Jung,Bok Sil Hong,Eun Ji Kang,Han-Byoel Lee,Hyeong-Gon Moon,Dong-Young Noh,Wonshik Han

Molecular oncology 13:1927-1943 PubMed31225926

2019

Mevalonate pathway activity as a determinant of radiation sensitivity in head and neck cancer.

Applications

Unspecified application

Species

Unspecified reactive species

Natalia Ricco,Amy Flor,Don Wolfgeher,Elena V Efimova,Aishwarya Ramamurthy,Oliver K Appelbe,Jacqueline Brinkman,Andrew W Truman,Michael T Spiotto,Stephen J Kron
View all publications

Product promise

We are committed to supporting your work with high-quality reagents, and we're here for you every step of the way. In the unlikely event that one of our products does not perform as expected, you're protected by our Product Promise.
For full details, please see our Terms & Conditions

Please note: All products are 'FOR RESEARCH USE ONLY. NOT FOR USE IN DIAGNOSTIC OR THERAPEUTIC PROCEDURES'.

For licensing inquiries, please contact partnerships@abcam.com