JavaScript is disabled in your browser. Please enable JavaScript to view this website.
AB325962

Anti-NSMase2 antibody [EPR29180-87] - BSA and Azide free

Be the first to review this product! Submit a review

|

(0 Publication)

Rabbit Recombinant Monoclonal NSMase2 antibody. Carrier free. Suitable for IHC-P, WB and reacts with Human, Mouse samples.

View Alternative Names

Sphingomyelin phosphodiesterase 3, Neutral sphingomyelinase 2, Neutral sphingomyelinase II, nSMase-2, nSMase2, SMPD3

8 Images
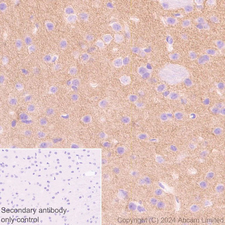
Immunohistochemistry (Formalin/PFA-fixed paraffin-embedded sections) - Anti-NSMase2 antibody [EPR29180-87] - BSA and Azide free (AB325962)
  • IHC-P

Supplier Data

Immunohistochemistry (Formalin/PFA-fixed paraffin-embedded sections) - Anti-NSMase2 antibody [EPR29180-87] - BSA and Azide free (AB325962)

This data was developed using ab322660, the same antibody clone in a different buffer formulation.

Immunohistochemical analysis of paraffin-embedded Human cerebrum tissue labeling NSMase2 with ab322660 at 1/100 (4.62 ug/ml) dilution followed by a ready to use LeicaDS9800 (Bond™ Polymer Refine Detection).

Positive staining in human cerebrum.
The section was incubated with ab322660 for 30 mins at room temperature.
The immunostaining was performed on a Leica Biosystems BOND® RX instrument

Counterstained with Hematoxylin.

Secondary antibody only control : Secondary antibody is a ready to use LeicaDS9800 (Bond™ Polymer Refine Detection).

Heat mediated antigen retrieval was performed with Tris-EDTA buffer (pH 9.0 Epitope Retrieval Solution2) for 20 mins

Immunohistochemistry (Formalin/PFA-fixed paraffin-embedded sections) - Anti-NSMase2 antibody [EPR29180-87] - BSA and Azide free (AB325962)
  • IHC-P

Supplier Data

Immunohistochemistry (Formalin/PFA-fixed paraffin-embedded sections) - Anti-NSMase2 antibody [EPR29180-87] - BSA and Azide free (AB325962)

This data was developed using ab322660, the same antibody clone in a different buffer formulation.

Immunohistochemical analysis of paraffin-embedded Human skeletal muscle tissue labeling NSMase2 with ab322660 at 1/100 (4.62 ug/ml) dilution followed by a ready to use LeicaDS9800 (Bond™ Polymer Refine Detection).

Negative control : No staining in human skeletal muscle (PMID : 10823942).
The section was incubated with ab322660 for 30 mins at room temperature.
The immunostaining was performed on a Leica Biosystems BOND® RX instrument

Counterstained with Hematoxylin.

Secondary antibody only control : Secondary antibody is a ready to use LeicaDS9800 (Bond™ Polymer Refine Detection).

Heat mediated antigen retrieval was performed with Tris-EDTA buffer (pH 9.0 Epitope Retrieval Solution2) for 20 mins

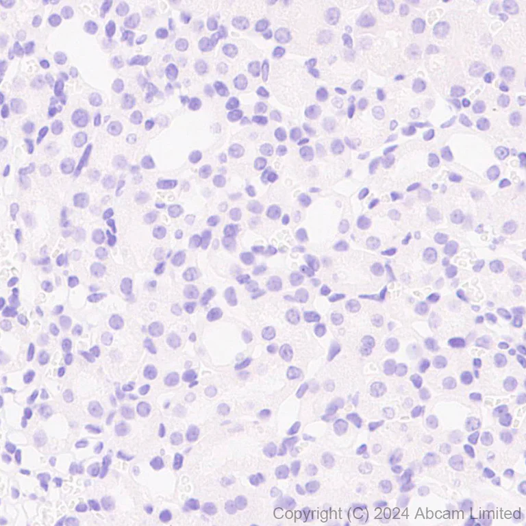
Immunohistochemistry (Formalin/PFA-fixed paraffin-embedded sections) - Anti-NSMase2 antibody [EPR29180-87] - BSA and Azide free (AB325962)
  • IHC-P

Supplier Data

Immunohistochemistry (Formalin/PFA-fixed paraffin-embedded sections) - Anti-NSMase2 antibody [EPR29180-87] - BSA and Azide free (AB325962)

This data was developed using ab322660, the same antibody clone in a different buffer formulation.

Immunohistochemical analysis of paraffin-embedded Mouse kidney tissue labeling NSMase2 with ab322660 at 1/2000 (0.231 ug/ml) dilution followed by a ready to use LeicaDS9800 (Bond™ Polymer Refine Detection).

Negative control : No staining in mouse kidney (PMID : 10823942).
The section was incubated with ab322660 for 30 mins at room temperature.
The immunostaining was performed on a Leica Biosystems BOND® RX instrument

Counterstained with Hematoxylin.

Secondary antibody only control : Secondary antibody is a ready to use LeicaDS9800 (Bond™ Polymer Refine Detection).

Heat mediated antigen retrieval was performed with Tris-EDTA buffer (pH 9.0 Epitope Retrieval Solution2) for 20 mins

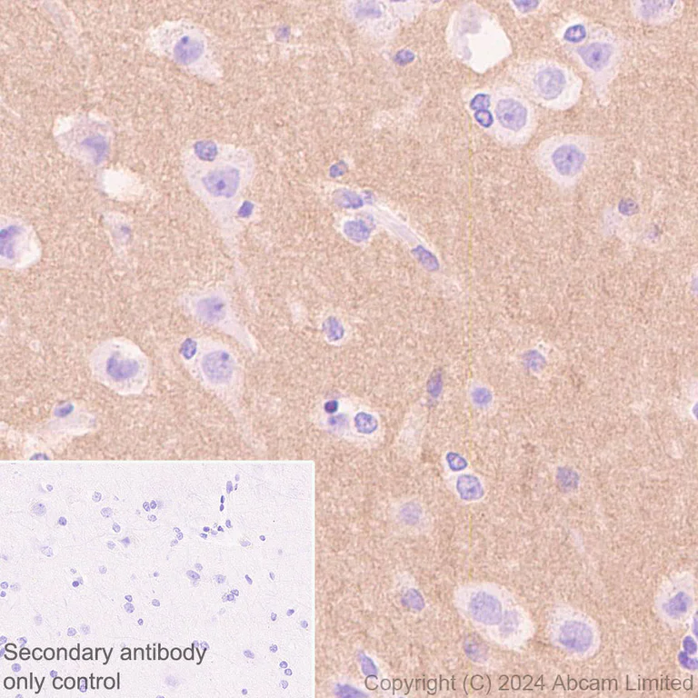
Immunohistochemistry (Formalin/PFA-fixed paraffin-embedded sections) - Anti-NSMase2 antibody [EPR29180-87] - BSA and Azide free (AB325962)
  • IHC-P

Supplier Data

Immunohistochemistry (Formalin/PFA-fixed paraffin-embedded sections) - Anti-NSMase2 antibody [EPR29180-87] - BSA and Azide free (AB325962)

This data was developed using ab322660, the same antibody clone in a different buffer formulation.

Immunohistochemical analysis of paraffin-embedded Mouse cerebrum tissue labeling NSMase2 with ab322660 at 1/2000 (0.231 ug/ml) dilution followed by a ready to use LeicaDS9800 (Bond™ Polymer Refine Detection).

Positive staining in mouse cerebrum.
The section was incubated with ab322660 for 30 mins at room temperature.
The immunostaining was performed on a Leica Biosystems BOND® RX instrument

Counterstained with Hematoxylin.

Secondary antibody only control : Secondary antibody is a ready to use LeicaDS9800 (Bond™ Polymer Refine Detection).

Heat mediated antigen retrieval was performed with Tris-EDTA buffer (pH 9.0 Epitope Retrieval Solution2) for 20 mins

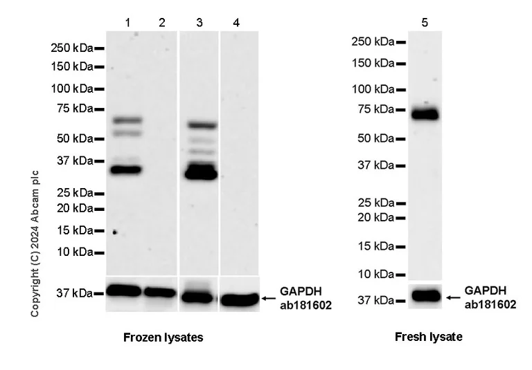
Western blot - Anti-NSMase2 antibody [EPR29180-87] - BSA and Azide free (AB325962)
  • WB

Supplier Data

Western blot - Anti-NSMase2 antibody [EPR29180-87] - BSA and Azide free (AB325962)

This data was developed using ab322660, the same antibody clone in a different buffer formulation.

Blocking and diluting buffer and concentration : 5% NFDM/TBST.

Negative control : HEK-293(PMID : 10823942) B16-F0.

This antibody was tested on frozen and fresh Neuro-2a whole cell lysate and it was concluded that NSMase2 is the easy target for degradation.

The bands beneath the target band are likely to be degraded target fragments.

To minimize protein degradation cells (lanes 5) were lysed immediately after harvest and then applied to a gel and transfer membrane for Western blotting as soon as possible.

In Western blot Anti-GAPDH antibody [EPR16891] - Loading Control (ab181602) staining at 1/200000 dilution.

Exposure time : Lanes 1-4 : 180 seconds; Lane 5 : 114 seconds

All lanes:

Western blot - Anti-NSMase2 antibody [EPR29180-87] (<a href='/en-us/products/primary-antibodies/nsmase2-antibody-epr29180-87-ab322660'>ab322660</a>) at 1/1000 dilution

Lane 1:

IMR-32 ( human neuroblastoma neuroblast) whole cell lysate at 20 µg

Lane 2:

HEK-293 (human embryonic kidney epithelial cell) whole cell lysate at 20 µg

Lanes 3 and 5:

Neuro-2a (mouse neuroblastoma neuroblast) whole cell lysate at 20 µg

Lane 4:

B16-F0 (mouse melanoma epithelial-like cell) whole cell lysate at 20 µg

Secondary

All lanes:

Western blot - Goat Anti-Rabbit IgG H&L (HRP) (<a href='/en-us/products/secondary-antibodies/goat-rabbit-igg-h-l-hrp-ab97051'>ab97051</a>) at 1/100000 dilution

Observed band size: 71 kDa,36 kDa

false

Western blot - Anti-NSMase2 antibody [EPR29180-87] - BSA and Azide free (AB325962)
  • WB

Supplier Data

Western blot - Anti-NSMase2 antibody [EPR29180-87] - BSA and Azide free (AB325962)

This data was developed using ab322660, the same antibody clone in a different buffer formulation.

Blocking and diluting buffer and concentration : 5% NFDM/TBST.

This antibody was tested on fresh and frozen IMR-32 whole cell lysate and it was concluded that NSMase2 is the easy target for degradation.

To minimize protein degradation cells (lanes 1) were lysed immediately after harvest and then applied to a gel and transfer membrane for Western blotting as soon as possible.

In Western blot Anti-GAPDH antibody [EPR16891] - Loading Control (ab181602) staining at 1/200000 dilution.

All lanes:

Western blot - Anti-NSMase2 antibody [EPR29180-87] (<a href='/en-us/products/primary-antibodies/nsmase2-antibody-epr29180-87-ab322660'>ab322660</a>) at 1/1000 dilution

Lane 1:

IMR-32 (human neuroblastoma neuroblast) whole cell fresh lysate at 20 µg

Lane 2:

IMR-32 (human neuroblastoma neuroblast) whole cell lysate at 20 µg

Secondary

All lanes:

Western blot - Goat Anti-Rabbit IgG H&L (HRP) (<a href='/en-us/products/secondary-antibodies/goat-rabbit-igg-h-l-hrp-ab97051'>ab97051</a>) at 1/20000 dilution

Observed band size: 71 kDa,36 kDa

false

Exposure time: 59s

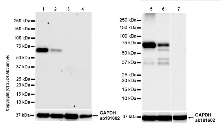
Western blot - Anti-NSMase2 antibody [EPR29180-87] - BSA and Azide free (AB325962)
  • WB

Supplier Data

Western blot - Anti-NSMase2 antibody [EPR29180-87] - BSA and Azide free (AB325962)

This data was developed using ab322660, the same antibody clone in a different buffer formulation.

Blocking and diluting buffer and concentration : 5% NFDM/TBST.

Negative control : skeletal muscle(PMID : 10823942)

The bands beneath the target band and above 30KD are likely to be degraded target fragments.

The identity of the bands below 20kDa are unknown.

In Western blot Anti-GAPDH antibody [EPR16891] - Loading Control (ab181602) staining at 1/200000 dilution.

All lanes:

Western blot - Anti-NSMase2 antibody [EPR29180-87] (<a href='/en-us/products/primary-antibodies/nsmase2-antibody-epr29180-87-ab322660'>ab322660</a>) at 1/1000 dilution

Lane 1:

Human Midbrain tissue lysate at 20 µg

Lane 2:

Human striatum tissue lysate at 20 µg

Lane 3:

Human skeletal muscle tissue lysate at 20 µg

Secondary

All lanes:

Goat Anti-Rabbit IgG (HRP) with minimal cross-reactivity with human IgG at 1/2000 dilution

Observed band size: 71 kDa,36 kDa

false

Exposure time: 180s

Western blot - Anti-NSMase2 antibody [EPR29180-87] - BSA and Azide free (AB325962)
  • WB

Supplier Data

Western blot - Anti-NSMase2 antibody [EPR29180-87] - BSA and Azide free (AB325962)

This data was developed using ab322660, the same antibody clone in a different buffer formulation.

Blocking and diluting buffer and concentration : 5% NFDM/TBST.

Negative control : skeletal muscle spleen kidney(PMID : 10823942)

Low expression : cerebellum(PMID : 29867196)

The expression profile observed is consistent with what has been described in the literature (PMID : 29867196).

The bands beneath the target band are likely to be degraded target fragments.

In Western blot Anti-GAPDH antibody [EPR16891] - Loading Control (ab181602) staining at 1/200000 dilution.

Exposure time : Lanes 1-4 : 180 seconds; Lanes 5-7 : 70 seconds

"

All lanes:

Western blot - Anti-NSMase2 antibody [EPR29180-87] (<a href='/en-us/products/primary-antibodies/nsmase2-antibody-epr29180-87-ab322660'>ab322660</a>) at 1/1000 dilution

Lane 1:

Mouse brain tissue lysate at 20 µg

Lane 2:

Mouse cerebellum tissue lysate at 20 µg

Lane 3:

Mouse skeletal muscle tissue lysate at 20 µg

Lane 4:

Mouse spleen tissue lysate at 20 µg

Lane 5:

Mouse striatum tissue lysate at 20 µg

Lane 6:

Mouse midbrain tissue lysate at 20 µg

Lane 7:

Mouse kidney tissue lysate at 20 µg

Secondary

All lanes:

Western blot - Goat Anti-Rabbit IgG H&L (HRP) (<a href='/en-us/products/secondary-antibodies/goat-rabbit-igg-h-l-hrp-ab97051'>ab97051</a>) at 1/100000 dilution

Observed band size: 71 kDa,36 kDa

false

Key facts

Host species

Rabbit

Clonality

Monoclonal

Clone number

EPR29180-87

Isotype

IgG

Carrier free

Yes

Reacts with

Human, Mouse

Applications

WB, IHC-P

applications

Immunogen

The exact immunogen used to generate this antibody is proprietary information.

Reactivity data

{ "title": "Reactivity Data", "filters": { "stats": ["", "Species", "Dilution Info", "Notes"], "tabs": { "all-applications": {"fullname" : "All Applications", "shortname": "All Applications"}, "IHCP" : {"fullname" : "Immunohistochemistry (Formalin/PFA-fixed paraffin-embedded sections)", "shortname":"IHC-P"}, "WB" : {"fullname" : "Western blot", "shortname":"WB"}, "ICCIF" : {"fullname" : "Immunocytochemistry/ Immunofluorescence", "shortname":"ICC/IF"} }, "product-promise": { "all": "all", "testedAndGuaranteed": "tested", "guaranteed": "expected", "predicted": "predicted", "notRecommended": "not-recommended" } }, "values": { "Human": { "IHCP-species-checked": "testedAndGuaranteed", "IHCP-species-dilution-info": "", "IHCP-species-notes": "<p></p> Perform heat-mediated antigen retrieval with Tris/EDTA buffer pH 9.0 before commencing with IHC staining protocol.", "WB-species-checked": "testedAndGuaranteed", "WB-species-dilution-info": "", "WB-species-notes": "<p></p>", "ICCIF-species-checked": "notRecommended", "ICCIF-species-dilution-info": "", "ICCIF-species-notes": "<p></p>" }, "Mouse": { "IHCP-species-checked": "testedAndGuaranteed", "IHCP-species-dilution-info": "", "IHCP-species-notes": "<p></p> Perform heat-mediated antigen retrieval with Tris/EDTA buffer pH 9.0 before commencing with IHC staining protocol.", "WB-species-checked": "testedAndGuaranteed", "WB-species-dilution-info": "", "WB-species-notes": "<p></p>", "ICCIF-species-checked": "notRecommended", "ICCIF-species-dilution-info": "", "ICCIF-species-notes": "<p></p>" } } }

Product details

ab325962 is the carrier-free version of ab322660

Patented technology
Our RabMAb® technology is a patented hybridoma-based technology for making rabbit monoclonal antibodies. For details on our patents, please refer to RabMAb® patents.

What are the advantages of a recombinant monoclonal antibody?
This product is a recombinant monoclonal antibody, which offers several advantages including:

  • - High batch-to-batch consistency and reproducibility
  • - Improved sensitivity and specificity
  • - Long-term security of supply
  • - Animal-free batch production

For more information, read more on recombinant antibodies.

Conjugation ready
Our carrier-free antibodies are typically supplied in a PBS-only formulation, purified and free of BSA, sodium azide and glycerol. This conjugation-ready format is designed for use with fluorochromes, metal isotopes, oligonucleotides, and enzymes, which makes them ideal for antibody labelling, functional and cell-based assays, flow-based assays (e.g. mass cytometry) and Multiplex Imaging applications.

Use our conjugation kits for antibody conjugates that are ready-to-use in as little as 20 minutes with 1 minute hands-on-time and 100% antibody recovery: available for fluorescent dyes, HRP, biotin and gold.

Compatibility
This product is compatible with the Maxpar® Antibody Labeling Kit from Fluidigm, without the need for antibody preparation. Maxpar® is a trademark of Fluidigm Canada Inc.

Properties and storage information

Form
Liquid
Purification technique
Affinity purification Protein A
Storage buffer
pH: 7.2 - 7.4 Constituents: PBS
Shipped at conditions
Blue Ice
Appropriate short-term storage conditions
+4°C
Appropriate long-term storage conditions
+4°C
Storage information
Do Not Freeze

Product protocols

For this product, it's our understanding that no specific protocols are required. You can visit:

Target data

Catalyzes the hydrolysis of sphingomyelin to form ceramide and phosphocholine. Ceramide mediates numerous cellular functions, such as apoptosis and growth arrest, and is capable of regulating these 2 cellular events independently. Also hydrolyzes sphingosylphosphocholine. Regulates the cell cycle by acting as a growth suppressor in confluent cells. Probably acts as a regulator of postnatal development and participates in bone and dentin mineralization (PubMed : 10823942, PubMed : 14741383, PubMed : 15051724). Binds to anionic phospholipids (APLs) such as phosphatidylserine (PS) and phosphatidic acid (PA) that modulate enzymatic activity and subcellular location. May be involved in IL-1-beta-induced JNK activation in hepatocytes (By similarity). May act as a mediator in transcriptional regulation of NOS2/iNOS via the NF-kappa-B activation under inflammatory conditions (By similarity).
See full target information Sphingomyelin phosphodiesterase 3

Product promise

We are committed to supporting your work with high-quality reagents, and we're here for you every step of the way. In the unlikely event that one of our products does not perform as expected, you're protected by our Product Promise.
For full details, please see our Terms & Conditions

Please note: All products are 'FOR RESEARCH USE ONLY. NOT FOR USE IN DIAGNOSTIC OR THERAPEUTIC PROCEDURES'.

For licensing inquiries, please contact partnerships@abcam.com