JavaScript is disabled in your browser. Please enable JavaScript to view this website.
AB248883

Anti-NSMCE1 antibody [EPR9103(B)] - BSA and Azide free

Be the first to review this product! Submit a review

|

(1 Publication)

Rabbit Recombinant Monoclonal NSMCE1 antibody. Carrier free. Suitable for IHC-P, WB and reacts with Human samples. Cited in 1 publication.

View Alternative Names

HSPC333, HSPC337, NSMCE1, Non-structural maintenance of chromosomes element 1 homolog, Non-SMC element 1 homolog

3 Images
Immunohistochemistry (Formalin/PFA-fixed paraffin-embedded sections) - Anti-NSMCE1 antibody [EPR9103(B)] - BSA and Azide free (AB248883)
  • IHC-P

Unknown

Immunohistochemistry (Formalin/PFA-fixed paraffin-embedded sections) - Anti-NSMCE1 antibody [EPR9103(B)] - BSA and Azide free (AB248883)

This data was developed using ab139689, the same antibody clone in a different buffer formulation.

Immunohistochemical analysis of paraffin-embedded Human cervical carcinoma tissue labelling NSMCE1 with ab139689 at 1/50 dilution.

Perform heat mediated antigen retrieval with citrate buffer pH 6 before commencing with IHC staining protocol.

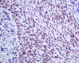
Immunohistochemistry (Formalin/PFA-fixed paraffin-embedded sections) - Anti-NSMCE1 antibody [EPR9103(B)] - BSA and Azide free (AB248883)
  • IHC-P

Unknown

Immunohistochemistry (Formalin/PFA-fixed paraffin-embedded sections) - Anti-NSMCE1 antibody [EPR9103(B)] - BSA and Azide free (AB248883)

This data was developed using ab139689, the same antibody clone in a different buffer formulation.

Immunohistochemical analysis of paraffin-embedded Human spleen tissue labelling NSMCE1 with ab139689 at 1/50 dilution.

Perform heat mediated antigen retrieval with citrate buffer pH 6 before commencing with IHC staining protocol.

Western blot - Anti-NSMCE1 antibody [EPR9103(B)] - BSA and Azide free (AB248883)
  • WB

Unknown

Western blot - Anti-NSMCE1 antibody [EPR9103(B)] - BSA and Azide free (AB248883)

This data was developed using ab139689, the same antibody clone in a different buffer formulation.

All lanes:

Western blot - Anti-NSMCE1 antibody [EPR9103(B)] (<a href='/en-us/products/primary-antibodies/nsmce1-antibody-epr9103b-ab139689'>ab139689</a>) at 1/1000 dilution

Lane 1:

Raji cell lysate at 10 µg

Lane 2:

HepG2 cell lysate at 10 µg

Lane 3:

Jurkat cell lysate at 10 µg

Lane 4:

HL60 cell lysate at 10 µg

Secondary

All lanes:

HRP labelled goat anti-rabbit at 1/2000 dilution

Predicted band size: 31 kDa

false

Key facts

Host species

Rabbit

Clonality

Monoclonal

Clone number

EPR9103(B)

Isotype

IgG

Carrier free

Yes

Reacts with

Human

Applications

IHC-P, WB

applications

Immunogen

The exact immunogen used to generate this antibody is proprietary information.

Reactivity data

{ "title": "Reactivity Data", "filters": { "stats": ["", "Species", "Dilution Info", "Notes"], "tabs": { "all-applications": {"fullname" : "All Applications", "shortname": "All Applications"}, "IHCP" : {"fullname" : "Immunohistochemistry (Formalin/PFA-fixed paraffin-embedded sections)", "shortname":"IHC-P"}, "ICCIF" : {"fullname" : "Immunocytochemistry/ Immunofluorescence", "shortname":"ICC/IF"}, "FlowCyt" : {"fullname" : "Flow Cytometry", "shortname":"Flow Cyt"}, "WB" : {"fullname" : "Western blot", "shortname":"WB"} }, "product-promise": { "all": "all", "testedAndGuaranteed": "tested", "guaranteed": "expected", "predicted": "predicted", "notRecommended": "not-recommended" } }, "values": { "Human": { "IHCP-species-checked": "testedAndGuaranteed", "IHCP-species-dilution-info": "", "IHCP-species-notes": "<p></p>", "ICCIF-species-checked": "notRecommended", "ICCIF-species-dilution-info": "", "ICCIF-species-notes": "<p></p>", "FlowCyt-species-checked": "notRecommended", "FlowCyt-species-dilution-info": "", "FlowCyt-species-notes": "<p></p>", "WB-species-checked": "testedAndGuaranteed", "WB-species-dilution-info": "", "WB-species-notes": "<p></p>" }, "Mouse": { "IHCP-species-checked": "predicted", "IHCP-species-dilution-info": "", "IHCP-species-notes": "", "ICCIF-species-checked": "notRecommended", "ICCIF-species-dilution-info": "", "ICCIF-species-notes": "", "FlowCyt-species-checked": "notRecommended", "FlowCyt-species-dilution-info": "", "FlowCyt-species-notes": "", "WB-species-checked": "predicted", "WB-species-dilution-info": "", "WB-species-notes": "" }, "Rat": { "IHCP-species-checked": "predicted", "IHCP-species-dilution-info": "", "IHCP-species-notes": "", "ICCIF-species-checked": "notRecommended", "ICCIF-species-dilution-info": "", "ICCIF-species-notes": "", "FlowCyt-species-checked": "notRecommended", "FlowCyt-species-dilution-info": "", "FlowCyt-species-notes": "", "WB-species-checked": "predicted", "WB-species-dilution-info": "", "WB-species-notes": "" } } }

Product details

ab248883 is the carrier-free version of ab139689.

Patented technology
Our RabMAb® technology is a patented hybridoma-based technology for making rabbit monoclonal antibodies. For details on our patents, please refer to RabMAb® patents.

What are the advantages of a recombinant monoclonal antibody?
This product is a recombinant monoclonal antibody, which offers several advantages including:

  • - High batch-to-batch consistency and reproducibility
  • - Improved sensitivity and specificity
  • - Long-term security of supply
  • - Animal-free batch production

For more information, read more on recombinant antibodies.

Conjugation ready
Our carrier-free antibodies are typically supplied in a PBS-only formulation, purified and free of BSA, sodium azide and glycerol. This conjugation-ready format is designed for use with fluorochromes, metal isotopes, oligonucleotides, and enzymes, which makes them ideal for antibody labelling, functional and cell-based assays, flow-based assays (e.g. mass cytometry) and Multiplex Imaging applications.

Use our conjugation kits for antibody conjugates that are ready-to-use in as little as 20 minutes with 1 minute hands-on-time and 100% antibody recovery: available for fluorescent dyes, HRP, biotin and gold.

Compatibility
This product is compatible with the Maxpar® Antibody Labeling Kit from Fluidigm, without the need for antibody preparation. Maxpar® is a trademark of Fluidigm Canada Inc.

Properties and storage information

Form
Liquid
Purification technique
Affinity purification Protein A
Storage buffer
pH: 7.2 - 7.4 Constituents: PBS
Shipped at conditions
Blue Ice
Appropriate short-term storage conditions
+4°C
Appropriate long-term storage conditions
+4°C
Storage information
Do Not Freeze

Supplementary information

This supplementary information is collated from multiple sources and compiled automatically.

The NSMCE1 protein also known as non-SMC element 1 homolog is an essential component of the SMC5-SMC6 complex. It has a molecular mass of approximately 25 kDa and plays a pivotal mechanical role in DNA repair and replication processes. NSMCE1 expresses in various tissues showing higher levels in proliferative cells due to its need in maintaining genomic stability. This protein interacts with other structural maintenance of chromosome (SMC) proteins to facilitate these vital cellular functions.
Biological function summary

DNA repair and replication depend on NSMCE1 as it participates in the SMC5-SMC6 complex. This complex functions effectively in regulating chromosome segregation and maintaining genomic integrity during the cell cycle. Without NSMCE1 cells exhibit impaired repair of DNA double-strand breaks and defects in the homologous recombination pathway leading to genomic instability. The complex itself requires NSMCE1 to ensure accurate cell division and prevent harmful mutations.

Pathways

NSMCE1 engages heavily in the DNA damage response and homologous recombination pathways. Its interaction is important with the SMC5-SMC6 complex which collaborates with proteins like RAD51 and BRCA1 during DNA repair mechanisms. These pathways play an important role in the repair of DNA breaks safeguarding the genome against potential damage. NSMCE1 through these interactions helps preserve genetic integrity by ensuring the proper repair and replication of DNA under stress conditions.

Defects in NSMCE1 expression associates with cancer and genomic instability disorders. Its impairment could disrupt the function of the SMC5-SMC6 complex leading to increased susceptibility to cancers due to flawed DNA repair mechanisms. NSMCE1 shows links to BRCA1-related breast cancer due to its role in the homologous recombination pathway. By understanding NSMCE1's involvement in these diseases research moves closer to developing targeted therapies for conditions stemming from its dysfunction.

Product protocols

For this product, it's our understanding that no specific protocols are required. You can visit:

Target data

RING-type zinc finger-containing E3 ubiquitin ligase that assembles with melanoma antigen protein (MAGE) to catalyze the direct transfer of ubiquitin from E2 ubiquitin-conjugating enzyme to a specific substrate. Within MAGE-RING ubiquitin ligase complex, MAGE stimulates and specifies ubiquitin ligase activity likely through recruitment and/or stabilization of the E2 ubiquitin-conjugating enzyme at the E3 : substrate complex. Involved in maintenance of genome integrity, DNA damage response and DNA repair (PubMed : 20864041, PubMed : 29225034). NSMCE3/MAGEG1 and NSMCE1 ubiquitin ligase are components of SMC5-SMC6 complex and may positively regulate homologous recombination-mediated DNA repair (PubMed : 18086888). MAGEF1-NSMCE1 ubiquitin ligase promotes proteasomal degradation of MMS19, a key component of the cytosolic iron-sulfur protein assembly (CIA) machinery. Down-regulation of MMS19 impairs the activity of several DNA repair and metabolism enzymes such as ERCC2/XPD, FANCJ, RTEL1 and POLD1 that require iron-sulfur clusters as cofactors (PubMed : 29225034).
See full target information NSMCE1

Publications (1)

Recent publications for all applications. Explore the full list and refine your search

Journal of personalized medicine 12: PubMed35207643

2022

Detyrosinated α-Tubulin, Vimentin and PD-L1 in Circulating Tumor Cells (CTCs) Isolated from Non-Small Cell Lung Cancer (NSCLC) Patients.

Applications

Unspecified application

Species

Unspecified reactive species

Spyridoula D Katsarou,Ippokratis Messaritakis,Anastasia Voumvouraki,Stavros Kakavogiannis,Athanasios Κotsakis,Saad Alkahtani,Christos Stournaras,Stuart S Martin,Vassilis Georgoulias,Galatea Kallergi
View all publications

Product promise

We are committed to supporting your work with high-quality reagents, and we're here for you every step of the way. In the unlikely event that one of our products does not perform as expected, you're protected by our Product Promise.
For full details, please see our Terms & Conditions

Please note: All products are 'FOR RESEARCH USE ONLY. NOT FOR USE IN DIAGNOSTIC OR THERAPEUTIC PROCEDURES'.

For licensing inquiries, please contact partnerships@abcam.com