JavaScript is disabled in your browser. Please enable JavaScript to view this website.
AB259941

Anti-NSUN2/SAKI antibody [EPR24140-93]

  • BOND RX™ Validated
  • RabMAb
  • Recombinant
  • 20ul selling size
  • What is this?

Be the first to review this product! Submit a review

|

(7 Publications)

Rabbit Recombinant Monoclonal NSUN2/SAKI antibody. Suitable for ICC/IF, IP, WB, Flow Cyt (Intra), IHC-P and reacts with Mouse, Human, Rat samples. Cited in 7 publications.

View Alternative Names

SAKI, TRM4, NSUN2, RNA cytosine C(5)-methyltransferase NSUN2, Myc-induced SUN domain-containing protein, NOL1/NOP2/Sun domain family member 2, Substrate of AIM1/Aurora kinase B, mRNA cytosine C(5)-methyltransferase, tRNA cytosine C(5)-methyltransferase, tRNA methyltransferase 4 homolog, Misu, hTrm4

12 Images
Flow Cytometry (Intracellular) - Anti-NSUN2/SAKI antibody [EPR24140-93] (AB259941)
  • Flow Cyt (Intra)

Supplier Data

Flow Cytometry (Intracellular) - Anti-NSUN2/SAKI antibody [EPR24140-93] (AB259941)

Intracellular flow cytometric analysis of 4% paraformaldehyde-fixed, 90% methanol-permeabilized HeLa (human cervix adenocarcinoma epithelial cell) cells labelling NSUN2/SAKI with ab259941 at 1/500 dilution (Red) compared with a Rabbit monoclonal IgG (ab172730) isotype control (Black) and an unlabelled control (cells without incubation with primary antibody and secondary antibody) (Blue). A Goat anti rabbit IgG (Alexa Fluor® 488, ab150077) at 1/2000 dilution was used as the secondary antibody.

Immunocytochemistry/ Immunofluorescence - Anti-NSUN2/SAKI antibody [EPR24140-93] (AB259941)
  • ICC/IF

Supplier Data

Immunocytochemistry/ Immunofluorescence - Anti-NSUN2/SAKI antibody [EPR24140-93] (AB259941)

Immunofluorescent analysis of 4% paraformaldehyde-fixed, 0.1% Triton X-100 permeabilized HeLa (human epithelial cell line from cervix adenocarcinoma) cells labelling NSUN2/SAKI with ab259941 at 1/1000 dilution (0.503 μg/ml), followed by ab150077 Goat Anti-Rabbit IgG H&L (Alexa Fluor®488) antibody at 1/1000 dilution (Green). Confocal image showing weak cytoplasmic and strong nuclear staining in HeLa cells. ab195889 Anti-alpha Tubulin mouse monoclonal antibody - Microtubule Marker (Alexa Fluor® 594) was used to counterstain tubulin at 1/200 dilution (Red). The Nuclear counterstain was DAPI (Blue).

Secondary antibody only control : Secondary antibody is ab150077 Goat Anti-Rabbit IgG H&L (Alexa Fluor® 488) at 1/1000 dilution.

Immunohistochemistry (Formalin/PFA-fixed paraffin-embedded sections) - Anti-NSUN2/SAKI antibody [EPR24140-93] (AB259941)
  • IHC-P

Supplier Data

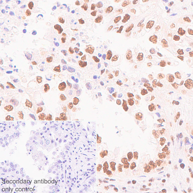
Immunohistochemistry (Formalin/PFA-fixed paraffin-embedded sections) - Anti-NSUN2/SAKI antibody [EPR24140-93] (AB259941)

Immunohistochemical analysis of paraffin-embedded human colon carcinoma tissue labeling NSUN2/SAKI with ab259941 at 1/200 dilution (2.515 μg/ml) followed by a ready to use LeicaDS9800 (Bond® Polymer Refine Detection). Nuclear staining on human colon carcinoma (PMID : 16713953). The section was incubated with ab259941 for 30 mins at room temperature. The immunostaining was performed on a Leica Biosystems BOND® RX instrument Counterstained with Hematoxylin.

Secondary antibody only control : Secondary antibody is a ready to use LeicaDS9800 (Bond® Polymer Refine Detection).

Heat mediated antigen retrieval with Tris-EDTA buffer (pH 9.0, epitope retrieval solution2) for 20 mins.

Immunohistochemistry (Formalin/PFA-fixed paraffin-embedded sections) - Anti-NSUN2/SAKI antibody [EPR24140-93] (AB259941)
  • IHC-P

Supplier Data

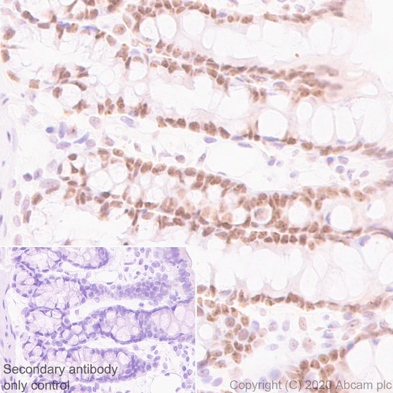
Immunohistochemistry (Formalin/PFA-fixed paraffin-embedded sections) - Anti-NSUN2/SAKI antibody [EPR24140-93] (AB259941)

Immunohistochemical analysis of paraffin-embedded human pancreas tissue labeling NSUN2/SAKI with ab259941 at 1/200 dilution (2.515 μg/ml) followed by a ready to use LeicaDS9800 (Bond® Polymer Refine Detection). Nuclear staining on human pancreas (PMID : 16713953). The section was incubated with ab259941 for 30 mins at room temperature. The immunostaining was performed on a Leica Biosystems BOND® RX instrument. Counterstained with Hematoxylin.

Secondary antibody only control : Secondary antibody is a ready to use LeicaDS9800 (Bond® Polymer Refine Detection).

Heat mediated antigen retrieval with Tris-EDTA buffer (pH 9.0, epitope retrieval solution2) for 20 mins.

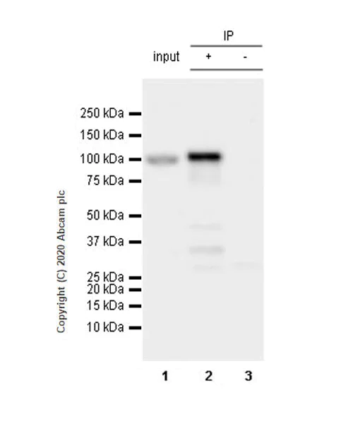
Immunoprecipitation - Anti-NSUN2/SAKI antibody [EPR24140-93] (AB259941)
  • IP

Supplier Data

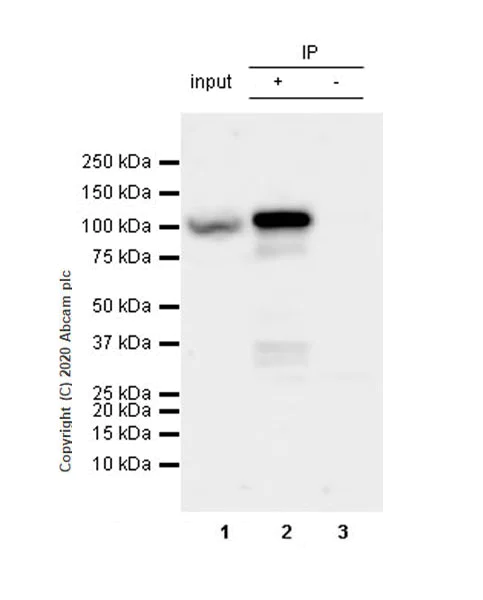
Immunoprecipitation - Anti-NSUN2/SAKI antibody [EPR24140-93] (AB259941)

NSUN2/SAKI was immunoprecipitated from 0.35 mg HEK-293 (human embryonic kidney epithelial cell) whole cell lysate with ab259941 at 1/30 dilution (2ug in 0.35mg lysates). Western blot was performed on the immunoprecipitate using ab259941 at 1/1000 dilution. VeriBlot for IP Detection Reagent (HRP)(ab131366) was used at 1/5000 dilution.

Lane 1 : HEK-293 (human embryonic kidney epithelial cell) whole cell lysate 10 ug

Lane 2 : ab259941 IP in HEK-293 whole cell lysate

Lane 3 : Rabbit monoclonal IgG (ab172730) instead of ab259941 in HEK-293 whole cell lysate

Blocking and dilution buffer and concentration : 5% NFDM/TBST.

Exposure time : 15 seconds.

All lanes:

Immunoprecipitation - Anti-NSUN2/SAKI antibody [EPR24140-93] (ab259941)

Predicted band size: 86 kDa

Observed band size: 100 kDa

false

Immunohistochemistry (Formalin/PFA-fixed paraffin-embedded sections) - Anti-NSUN2/SAKI antibody [EPR24140-93] (AB259941)
  • IHC-P

Supplier Data

Immunohistochemistry (Formalin/PFA-fixed paraffin-embedded sections) - Anti-NSUN2/SAKI antibody [EPR24140-93] (AB259941)

Immunohistochemical analysis of paraffin-embedded rat colon tissue labeling NSUN2/SAKI with ab259941 at 1/200 dilution (2.515 μg/ml) followed by a ready to use LeicaDS9800 (Bond® Polymer Refine Detection). Nuclear staining on rat colon.The section was incubated with ab259941 for 30 mins at room temperature.The immunostaining was performed on a Leica Biosystems BOND® RX instrument Counterstained with Hematoxylin.

Secondary antibody only control : Secondary antibody is a ready to use LeicaDS9800 (Bond® Polymer Refine Detection).

Heat mediated antigen retrieval with Tris-EDTA buffer (pH 9.0, epitope retrieval solution2) for 20 mins.

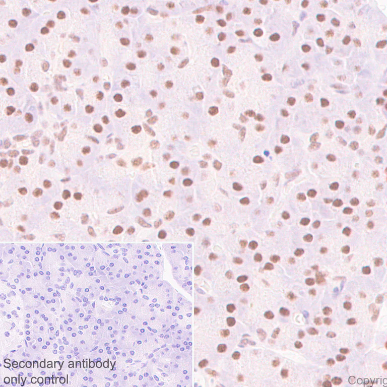
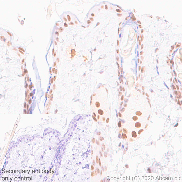
Immunohistochemistry (Formalin/PFA-fixed paraffin-embedded sections) - Anti-NSUN2/SAKI antibody [EPR24140-93] (AB259941)
  • IHC-P

Supplier Data

Immunohistochemistry (Formalin/PFA-fixed paraffin-embedded sections) - Anti-NSUN2/SAKI antibody [EPR24140-93] (AB259941)

Immunohistochemical analysis of paraffin-embedded mouse skin tissue labeling NSUN2/SAKI with ab259941 at 1/200 dilution (2.515 μg/ml) followed by a ready to use LeicaDS9800 (Bond® Polymer Refine Detection). Nuclear staining on mouse skin (PMID : 16713953). The section was incubated with ab259941 for 30 mins at room temperature. The immunostaining was performed on a Leica Biosystems BOND® RX instrument Counterstained with Hematoxylin.

Secondary antibody only control : Secondary antibody is a ready to use LeicaDS9800 (Bond® Polymer Refine Detection).

Heat mediated antigen retrieval with Tris-EDTA buffer (pH 9.0, epitope retrieval solution2) for 20 mins.

Immunocytochemistry/ Immunofluorescence - Anti-NSUN2/SAKI antibody [EPR24140-93] (AB259941)
  • ICC/IF

Supplier Data

Immunocytochemistry/ Immunofluorescence - Anti-NSUN2/SAKI antibody [EPR24140-93] (AB259941)

Immunofluorescent analysis of 4% paraformaldehyde-fixed, 0.1% Triton X-100 permeabilized NIH/3T3 (mouse embryonic fibroblast cell line) cells labelling NSUN2/SAKI with ab259941 at 1/1000 (0.503 μg/ml) dilution, followed by ab150077 Goat Anti-Rabbit IgG H&L (Alexa Fluor®488) antibody at 1/1000 dilution (Green). Confocal image showing weak cytoplasmic and strong nuclear staining in NIH/3T3 cells. ab195889 Anti-alpha Tubulin mouse monoclonal antibody - Microtubule Marker (Alexa Fluor®594) was used to counterstain tubulin at 1/200 dilution (Red). The Nuclear counterstain was DAPI (Blue).

Secondary antibody only control : Secondary antibody is ab150077 Goat Anti-Rabbit IgG H&L (Alexa Fluor® 488) at 1/1000 dilution.

Flow Cytometry (Intracellular) - Anti-NSUN2/SAKI antibody [EPR24140-93] (AB259941)
  • Flow Cyt (Intra)

Supplier Data

Flow Cytometry (Intracellular) - Anti-NSUN2/SAKI antibody [EPR24140-93] (AB259941)

Intracellular flow cytometric analysis of 4% paraformaldehyde-fixed, 90% methanol-permeabilized ES-D3 (mouse embryonic multipotent stem cell) cells labelling NSUN2/SAKI with ab259941 at 1/50 dilution (Red) compared with a Rabbit monoclonal IgG (ab172730) isotype control (Black) and an unlabelled control (cells without incubation with primary antibody and secondary antibody) (Blue). A Goat anti rabbit IgG (Alexa Fluor® 488, ab150077) at 1/2000 dilution was used as the secondary antibody.

Immunoprecipitation - Anti-NSUN2/SAKI antibody [EPR24140-93] (AB259941)
  • IP

Supplier Data

Immunoprecipitation - Anti-NSUN2/SAKI antibody [EPR24140-93] (AB259941)

NSUN2/SAKI was immunoprecipitated from 0.35 mg mouse spleen tissue lysate with ab259941 at 1/30 dilution (2ug in 0.35mg lysates). Western blot was performed on the immunoprecipitate using ab259941 at 1/1000 dilution. VeriBlot for IP Detection Reagent (HRP)(ab131366) was used at 1/5000 dilution.

Lane 1 : Mouse spleen tissue lysate 10 ug

Lane 2 : ab259941 IP in Mouse spleen tissue lysate

Lane 3 : Rabbit monoclonal IgG (ab172730) instead of ab259941 in mouse spleen tissue lysate

Blocking and dilution buffer and concentration : 5% NFDM/TBST.

Exposure time : 15 seconds.

All lanes:

Immunoprecipitation - Anti-NSUN2/SAKI antibody [EPR24140-93] (ab259941)

Predicted band size: 86 kDa

Observed band size: 100 kDa

false

Western blot - Anti-NSUN2/SAKI antibody [EPR24140-93] (AB259941)
  • WB

Lab

Western blot - Anti-NSUN2/SAKI antibody [EPR24140-93] (AB259941)

Blocking and diluting buffer and concentration : 5% NFDM/TBST.

The observed MW is consistent with what has described in the literature (PMID : 23604283, 25233213, 27447970, 31487418).

Exposure times : Lane 1 : 15 seconds

Lane 2-4 : 48 seconds.

All lanes:

Western blot - Anti-NSUN2/SAKI antibody [EPR24140-93] (ab259941) at 1/1000 dilution

Lane 1:

HepG2 (human hepatocellar carcinoma epithelial cell) whole cell lysate at 20 µg

Lane 2:

HeLa (human cervix adenocarcinoma epithelial cell) whole cell lysate at 20 µg

Lane 3:

HEK-293 (human embryonic kidney epithelial cell) whole cell lysate at 20 µg

Lane 4:

A431 (human epidermoid carcinoma epithelial cell) whole cell lysate at 20 µg

Secondary

All lanes:

Goat Anti-Rabbit IgG, (H+L), Peroxidase conjugated (<a href='/en-us/products/secondary-antibodies/goat-rabbit-igg-h-l-hrp-ab97051'>ab97051</a>) at 1/50000 dilution

Predicted band size: 86 kDa

Observed band size: 100 kDa

false

Western blot - Anti-NSUN2/SAKI antibody [EPR24140-93] (AB259941)
  • WB

Lab

Western blot - Anti-NSUN2/SAKI antibody [EPR24140-93] (AB259941)

Blocking and diluting buffer and concentration : 5% NFDM/TBST.

The observed MW is consistent with what has described in the literature (PMID : 27306184).

Exposure times : Lane 1 : 48 seconds

Lane 2, 3 : 3 minutes.

All lanes:

Western blot - Anti-NSUN2/SAKI antibody [EPR24140-93] (ab259941) at 1/1000 dilution

Lane 1:

ES-D3 (mouse embryonic mtipotent stem Cell) whole cell lysate at 20 µg

Lane 2:

Mouse spleen tissue lysate at 20 µg

Lane 3:

Rat cerebellum tissue lysate at 20 µg

Secondary

All lanes:

Goat Anti-Rabbit IgG, (H+L), Peroxidase conjugated (<a href='/en-us/products/secondary-antibodies/goat-rabbit-igg-h-l-hrp-ab97051'>ab97051</a>) at 1/50000 dilution

Predicted band size: 86 kDa

Observed band size: 100 kDa

false

  • 665 Alexa Fluor® 647

    Alexa Fluor® 647 Anti-NSUN2/SAKI antibody [EPR24140-93]

  • Carrier free

    Anti-NSUN2/SAKI antibody [EPR24140-93] - BSA and Azide free

Key facts

Host species

Rabbit

Clonality

Monoclonal

Clone number

EPR24140-93

Isotype

IgG

Carrier free

No

Reacts with

Mouse, Rat, Human

Applications

IP, ICC/IF, WB, Flow Cyt (Intra), IHC-P

applications

Immunogen

The exact immunogen used to generate this antibody is proprietary information.

Reactivity data

{ "title": "Reactivity Data", "filters": { "stats": ["", "Species", "Dilution Info", "Notes"], "tabs": { "all-applications": {"fullname" : "All Applications", "shortname": "All Applications"}, "ICCIF" : {"fullname" : "Immunocytochemistry/ Immunofluorescence", "shortname":"ICC/IF"}, "IP" : {"fullname" : "Immunoprecipitation", "shortname":"IP"}, "WB" : {"fullname" : "Western blot", "shortname":"WB"}, "FlowCytIntra" : {"fullname" : "Flow Cytometry (Intracellular)", "shortname":"Flow Cyt (Intra)"}, "IHCP" : {"fullname" : "Immunohistochemistry (Formalin/PFA-fixed paraffin-embedded sections)", "shortname":"IHC-P"} }, "product-promise": { "all": "all", "testedAndGuaranteed": "tested", "guaranteed": "expected", "predicted": "predicted", "notRecommended": "not-recommended" } }, "values": { "Human": { "ICCIF-species-checked": "testedAndGuaranteed", "ICCIF-species-dilution-info": "1/1000", "ICCIF-species-notes": "<p></p>", "IP-species-checked": "testedAndGuaranteed", "IP-species-dilution-info": "1/30", "IP-species-notes": "<p></p>", "WB-species-checked": "testedAndGuaranteed", "WB-species-dilution-info": "1/1000", "WB-species-notes": "<p></p>", "FlowCytIntra-species-checked": "testedAndGuaranteed", "FlowCytIntra-species-dilution-info": "1/50", "FlowCytIntra-species-notes": "<p>Use at 1/500 dilution for HeLa.</p>", "IHCP-species-checked": "testedAndGuaranteed", "IHCP-species-dilution-info": "1/200", "IHCP-species-notes": "<p></p> Perform heat-mediated antigen retrieval with Tris/EDTA buffer pH 9.0 before commencing with IHC staining protocol." }, "Mouse": { "ICCIF-species-checked": "testedAndGuaranteed", "ICCIF-species-dilution-info": "1/1000", "ICCIF-species-notes": "<p></p>", "IP-species-checked": "testedAndGuaranteed", "IP-species-dilution-info": "1/30", "IP-species-notes": "<p></p>", "WB-species-checked": "testedAndGuaranteed", "WB-species-dilution-info": "1/1000", "WB-species-notes": "<p></p>", "FlowCytIntra-species-checked": "testedAndGuaranteed", "FlowCytIntra-species-dilution-info": "1/50", "FlowCytIntra-species-notes": "<p>Use at 1/500 dilution for HeLa.</p>", "IHCP-species-checked": "testedAndGuaranteed", "IHCP-species-dilution-info": "1/200", "IHCP-species-notes": "<p></p> Perform heat-mediated antigen retrieval with Tris/EDTA buffer pH 9.0 before commencing with IHC staining protocol." }, "Rat": { "ICCIF-species-checked": "guaranteed", "ICCIF-species-dilution-info": "", "ICCIF-species-notes": "", "IP-species-checked": "guaranteed", "IP-species-dilution-info": "", "IP-species-notes": "", "WB-species-checked": "testedAndGuaranteed", "WB-species-dilution-info": "1/1000", "WB-species-notes": "<p></p>", "FlowCytIntra-species-checked": "guaranteed", "FlowCytIntra-species-dilution-info": "", "FlowCytIntra-species-notes": "", "IHCP-species-checked": "testedAndGuaranteed", "IHCP-species-dilution-info": "1/200", "IHCP-species-notes": "<p></p> Perform heat-mediated antigen retrieval with Tris/EDTA buffer pH 9.0 before commencing with IHC staining protocol." } } }

Product details

Patented technology
Our RabMAb® technology is a patented hybridoma-based technology for making rabbit monoclonal antibodies. For details on our patents, please refer to RabMAb® patents.

What are the advantages of a recombinant monoclonal antibody?
This product is a recombinant monoclonal antibody, which offers several advantages including:

  • - High batch-to-batch consistency and reproducibility
  • - Improved sensitivity and specificity
  • - Long-term security of supply
  • - Animal-free batch production

For more information, read more on recombinant antibodies.

Properties and storage information

Form
Liquid
Purification technique
Affinity purification Protein A
Storage buffer
Preservative: 0.01% Sodium azide Constituents: PBS, 40% Glycerol (glycerin, glycerine), 0.05% BSA
Shipped at conditions
Blue Ice
Appropriate short-term storage duration
1-2 weeks
Appropriate short-term storage conditions
+4°C
Appropriate long-term storage conditions
-20°C
Aliquoting information
Upon delivery aliquot
Storage information
Avoid freeze / thaw cycle

Supplementary information

This supplementary information is collated from multiple sources and compiled automatically.

NSUN2 also known as SAKI is a methyltransferase enzyme that adds a methyl group to cytosine within nucleic acids most often in RNA. It has a molecular mass of about 83 kDa. This protein is widely expressed in different tissues but shows high expression levels in the brain and reproductive organs. NSUN2 modifies RNA molecules impacting their function and stability which is essential in various cellular processes.
Biological function summary

NSUN2 participates in RNA metabolism and processing. By introducing m5C (5-methylcytosine) modifications to RNA NSUN2 influences RNA stability transport and translation. This protein is a part of larger complexes that regulate diverse cellular functions and maintains transcriptome integrity. Alterations in NSUN2 activity can affect cellular proliferation and differentiation highlighting its role in maintaining normal cell function.

Pathways

NSUN2 plays an integral role in the epitranscriptomic regulation pathway in particular RNA modification and gene expression regulation pathways. It acts alongside proteins like TRMT2A and TRMT61A which are involved in similar processes of RNA methylation and modification. These pathways help maintain a balance in gene expression profiles necessary for proper cellular function and response to external signals.

Mutations or dysfunctions in NSUN2 are associated with mental retardation and cancer. In neurodevelopmental disorders altered NSUN2 activity disrupts normal brain development potentially linking it with proteins like FTSJ1 another RNA methyltransferase. Similarly in cancer NSUN2 dysregulation leads to aberrant cell proliferation and tumorigenesis often in connection with oncogenic pathways and other modified proteins.

Product protocols

For this product, it's our understanding that no specific protocols are required. You can visit:

Target data

RNA cytosine C(5)-methyltransferase that methylates cytosine to 5-methylcytosine (m5C) in various RNAs, such as tRNAs, mRNAs and some long non-coding RNAs (lncRNAs) (PubMed : 17071714, PubMed : 22995836, PubMed : 31199786, PubMed : 31358969). Involved in various processes, such as epidermal stem cell differentiation, testis differentiation and maternal to zygotic transition during early development : acts by increasing protein synthesis; cytosine C(5)-methylation promoting tRNA stability and preventing mRNA decay (PubMed : 31199786). Methylates cytosine to 5-methylcytosine (m5C) at positions 34 and 48 of intron-containing tRNA(Leu)(CAA) precursors, and at positions 48, 49 and 50 of tRNA(Gly)(GCC) precursors (PubMed : 17071714, PubMed : 22995836, PubMed : 31199786). tRNA methylation is required generation of RNA fragments derived from tRNAs (tRFs) (PubMed : 31199786). Also mediates C(5)-methylation of mitochondrial tRNAs (PubMed : 31276587). Catalyzes cytosine C(5)-methylation of mRNAs, leading to stabilize them and prevent mRNA decay : mRNA stabilization involves YBX1 that specifically recognizes and binds m5C-modified transcripts (PubMed : 22395603, PubMed : 31358969, PubMed : 34556860). Cytosine C(5)-methylation of mRNAs also regulates mRNA export : methylated transcripts are specifically recognized by THOC4/ALYREF, which mediates mRNA nucleo-cytoplasmic shuttling (PubMed : 28418038). Also mediates cytosine C(5)-methylation of non-coding RNAs, such as vault RNAs (vtRNAs), promoting their processing into regulatory small RNAs (PubMed : 23871666). Cytosine C(5)-methylation of vtRNA VTRNA1.1 promotes its processing into small-vault RNA4 (svRNA4) and regulates epidermal differentiation (PubMed : 31186410). May act downstream of Myc to regulate epidermal cell growth and proliferation (By similarity). Required for proper spindle assembly and chromosome segregation, independently of its methyltransferase activity (PubMed : 19596847).
See full target information NSUN2

Publications (7)

Recent publications for all applications. Explore the full list and refine your search

Cancer & metabolism 13:19 PubMed40264211

2025

ETV4/ALYREF-mediated glycolytic metabolism through PKM2 enhances resistance to ferroptosis and promotes the development of intrahepatic cholangiocarcinoma.

Applications

Unspecified application

Species

Unspecified reactive species

Xiaohui Wang,Wenbin Duan,Zhongzhi Ma,Haoquan Wen,Xianhai Mao,Changjun Liu

BMC oral health 24:1371 PubMed39538267

2024

NSUN2 methylates IRF4 to affect the capacity of macrophages attached to titanium implant on osteogenic differentiation of PDLSCs and angiogenesis of HUVECs in vitro.

Applications

Unspecified application

Species

Unspecified reactive species

Li Xiao,Dongxue Wu,Tingting Zhang,Chang He,Xiaowei Guo,Hao Yang

NPJ precision oncology 8:243 PubMed39455812

2024

ALYREF recruits ELAVL1 to promote colorectal tumorigenesis via facilitating RNA m5C recognition and nuclear export.

Applications

Unspecified application

Species

Unspecified reactive species

Longhua Zhong,Jingxun Wu,Bingqian Zhou,Jiapeng Kang,Xicheng Wang,Feng Ye,Xiaoting Lin

Communications biology 7:1249 PubMed39358426

2024

Aberrant NSUN2-mediated m5C modification of exosomal LncRNA MALAT1 induced RANKL-mediated bone destruction in multiple myeloma.

Applications

Unspecified application

Species

Unspecified reactive species

Manya Yu,Zhiguo Cai,Jie Zhang,Yanyu Zhang,Jiaqi Fu,Xing Cui

Molecular psychiatry 30:506-520 PubMed39122778

2024

Deletion of murine astrocytic vesicular nucleotide transporter increases anxiety and depressive-like behavior and attenuates motivation for reward.

Applications

Unspecified application

Species

Unspecified reactive species

Qian Huang,Hiu Ham Lee,Bryan Volpe,Qingchen Zhang,Chang Xue,Brian C Liu,Yahia R Abuhasan,Lingyun Li,Jeremy S Yang,Julie Egholm,Cristina Gutierrez-Vazquez,Allen Li,Alyssa Lee,Sharon Tang,Chun Wa Wong,Tiemin Liu,Yuan Huang,Raddy L Ramos,Randy F Stout,Abdelfattah El Ouaamari,Francisco J Quintana,Bradford B Lowell,C Ronald Kahn,Emmanuel N Pothos,Weikang Cai

Cell death & disease 14:125 PubMed36792587

2023

NSUN2 promotes osteosarcoma progression by enhancing the stability of FABP5 mRNA via mC methylation.

Applications

Unspecified application

Species

Unspecified reactive species

Min Yang,Renxiong Wei,Sheng Zhang,Sang Hu,Xiaoxiao Liang,Zhiqiang Yang,Chong Zhang,Yufeng Zhang,Lin Cai,Yuanlong Xie

Cancer gene therapy 30:149-162 PubMed36123390

2022

YAP 5-methylcytosine modification increases its mRNA stability and promotes the transcription of exosome secretion-related genes in lung adenocarcinoma.

Applications

Unspecified application

Species

Unspecified reactive species

Wenjun Yu,Congcong Zhang,Yikun Wang,Xiaoting Tian,Yayou Miao,Fanyu Meng,Lifang Ma,Xiao Zhang,Jinjing Xia
View all publications

Product promise

We are committed to supporting your work with high-quality reagents, and we're here for you every step of the way. In the unlikely event that one of our products does not perform as expected, you're protected by our Product Promise.
For full details, please see our Terms & Conditions

Please note: All products are 'FOR RESEARCH USE ONLY. NOT FOR USE IN DIAGNOSTIC OR THERAPEUTIC PROCEDURES'.

For licensing inquiries, please contact partnerships@abcam.com