JavaScript is disabled in your browser. Please enable JavaScript to view this website.
AB231126

Anti-NT5C/dNT-1 antibody

Be the first to review this product! Submit a review

|

(1 Publication)

Rabbit Polyclonal NT5C antibody. Suitable for WB, IHC-P and reacts with Mouse, Human samples. Cited in 1 publication. Immunogen corresponding to Recombinant Fragment Protein within Mouse Nt5c aa 1 to C-terminus.

View Alternative Names

DNT1, UMPH2, NT5C, Deoxy-5'-nucleotidase 1, dNT-1

7 Images
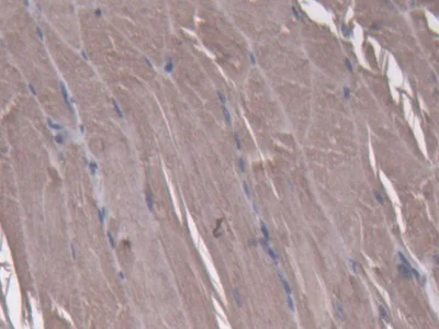
Immunohistochemistry (Formalin/PFA-fixed paraffin-embedded sections) - Anti-NT5C/dNT-1 antibody (AB231126)
  • IHC-P

Supplier Data

Immunohistochemistry (Formalin/PFA-fixed paraffin-embedded sections) - Anti-NT5C/dNT-1 antibody (AB231126)

Paraffin-embedded mouse skeletal muscle tissue stained for NT5C/dNT-1 using ab231126 at 20 μg/ml in immunohistochemical analysis. DAB staining.

Western blot - Anti-NT5C/dNT-1 antibody (AB231126)
  • WB

Supplier Data

Western blot - Anti-NT5C/dNT-1 antibody (AB231126)

All lanes:

Western blot - Anti-NT5C/dNT-1 antibody (ab231126) at 2 µg/mL

All lanes:

Human placenta lysate

Predicted band size: 23 kDa

false

Western blot - Anti-NT5C/dNT-1 antibody (AB231126)
  • WB

Supplier Data

Western blot - Anti-NT5C/dNT-1 antibody (AB231126)

All lanes:

Western blot - Anti-NT5C/dNT-1 antibody (ab231126) at 2 µg/mL

All lanes:

HEK-293T (human epithelial cell line from embryonic kidney transformed with large T antigen) cell lysate

Predicted band size: 23 kDa

false

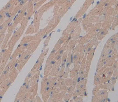
Immunohistochemistry (Formalin/PFA-fixed paraffin-embedded sections) - Anti-NT5C/dNT-1 antibody (AB231126)
  • IHC-P

Supplier Data

Immunohistochemistry (Formalin/PFA-fixed paraffin-embedded sections) - Anti-NT5C/dNT-1 antibody (AB231126)

Formalin-fixed, paraffin-embedded mouse heart tissue stained for NT5C/dNT-1 using ab231126 at 20 μg/ml in immunohistochemical analysis. DAB staining.

Western blot - Anti-NT5C/dNT-1 antibody (AB231126)
  • WB

Supplier Data

Western blot - Anti-NT5C/dNT-1 antibody (AB231126)

All lanes:

Western blot - Anti-NT5C/dNT-1 antibody (ab231126) at 2 µg/mL

All lanes:

Recombinant mouse NT5C/dNT-1 protein

Predicted band size: 23 kDa,42 kDa

false

Western blot - Anti-NT5C/dNT-1 antibody (AB231126)
  • WB

Supplier Data

Western blot - Anti-NT5C/dNT-1 antibody (AB231126)

All lanes:

Western blot - Anti-NT5C/dNT-1 antibody (ab231126) at 2 µg/mL

All lanes:

mouse stomach lysate

Predicted band size: 23 kDa

false

Western blot - Anti-NT5C/dNT-1 antibody (AB231126)
  • WB

Supplier Data

Western blot - Anti-NT5C/dNT-1 antibody (AB231126)

All lanes:

Western blot - Anti-NT5C/dNT-1 antibody (ab231126) at 2 µg/mL

All lanes:

K562 (human chronic myelogenous leukemia cell line from bone marrow ) cell lysate

Predicted band size: 23 kDa

false

Key facts

Host species

Rabbit

Clonality

Polyclonal

Isotype

IgG

Carrier free

No

Reacts with

Mouse, Human

Applications

WB, IHC-P

applications

Immunogen

Recombinant Fragment Protein within Mouse Nt5c aa 1 to C-terminus. The exact immunogen used to generate this antibody is proprietary information.

Q9JM14

Reactivity data

{ "title": "Reactivity Data", "filters": { "stats": ["", "Species", "Dilution Info", "Notes"], "tabs": { "all-applications": {"fullname" : "All Applications", "shortname": "All Applications"}, "WB" : {"fullname" : "Western blot", "shortname":"WB"}, "IHCP" : {"fullname" : "Immunohistochemistry (Formalin/PFA-fixed paraffin-embedded sections)", "shortname":"IHC-P"} }, "product-promise": { "all": "all", "testedAndGuaranteed": "tested", "guaranteed": "expected", "predicted": "predicted", "notRecommended": "not-recommended" } }, "values": { "Human": { "WB-species-checked": "testedAndGuaranteed", "WB-species-dilution-info": "0.2-2 µg/mL", "WB-species-notes": "<p></p>", "IHCP-species-checked": "guaranteed", "IHCP-species-dilution-info": "", "IHCP-species-notes": "" }, "Mouse": { "WB-species-checked": "testedAndGuaranteed", "WB-species-dilution-info": "0.2-2 µg/mL", "WB-species-notes": "<p></p>", "IHCP-species-checked": "testedAndGuaranteed", "IHCP-species-dilution-info": "5-20 µg/mL", "IHCP-species-notes": "<p></p>" }, "Rat": { "WB-species-checked": "predicted", "WB-species-dilution-info": "", "WB-species-notes": "", "IHCP-species-checked": "predicted", "IHCP-species-dilution-info": "", "IHCP-species-notes": "" } } }

Properties and storage information

Form
Liquid
Purification technique
Affinity purification Immunogen
Purification notes
ab231126 was purified by antigen-specific affinity chromatography followed by Protein A affinity chromatography.
Storage buffer
pH: 7.4 Preservative: 0.011% Proclin 300 Constituents: 55.77% Glycerol (glycerin, glycerine), 44.219% PBS
Shipped at conditions
Blue Ice
Appropriate short-term storage duration
1-2 weeks
Appropriate short-term storage conditions
+4°C
Appropriate long-term storage conditions
-20°C
Aliquoting information
Upon delivery aliquot
Storage information
Avoid freeze / thaw cycle

Supplementary information

This supplementary information is collated from multiple sources and compiled automatically.

NT5C also known as dNT-1 is a cytosolic enzyme with a molecular weight of approximately 41 kDa. It functions by dephosphorylating nucleoside monophosphates into nucleosides and its activity is important for nucleotide metabolism in cells. NT5C is expressed in various tissues including liver brain and skeletal muscle enabling these tissues to efficiently manage nucleotide balance.
Biological function summary

NT5C plays a role in maintaining cellular nucleotide pools impacting DNA and RNA synthesis. The enzyme is not part of a larger protein complex and primarily functions independently in nucleotide salvage pathways. Its activity influences the availability of nucleosides which are necessary for cellular replication and repair processes.

Pathways

NT5C contributes to purine and pyrimidine metabolism. It is involved in the nucleotide salvage pathways collaborating with other enzymes like adenosine deaminase and cytidine deaminase. These pathways play essential roles in recycling nucleotides and maintaining the nucleoside balance critical for cellular function.

NT5C has implications in cancer and neurological diseases. Abnormal activity of NT5C might contribute to nucleotide imbalances observed in certain cancers. Its role in dephosphorylation in the brain links it with neurodegenerative conditions potentially involving proteins like adenosine kinase. Understanding its function may offer insights into therapeutic strategies for these diseases.

Product protocols

For this product, it's our understanding that no specific protocols are required. You can visit:

Target data

Dephosphorylates the 5' and 2'(3')-phosphates of deoxyribonucleotides, with a preference for dUMP and dTMP, intermediate activity towards dGMP, and low activity towards dCMP and dAMP.
See full target information NT5C

Publications (1)

Recent publications for all applications. Explore the full list and refine your search

OncoTargets and therapy 13:8299-8311 PubMed32903879

2020

Integrative Analysis of the IQ Motif-Containing GTPase-Activating Protein Family Indicates That the IQGAP3-PIK3C2B Axis Promotes Invasion in Colon Cancer.

Applications

Unspecified application

Species

Unspecified reactive species

Zhuo Liu,Xiao Li,Jie Ma,Dechuan Li,Haixing Ju,Yong Liu,Yinbo Chen,Xujun He,Yuping Zhu
View all publications

Product promise

We are committed to supporting your work with high-quality reagents, and we're here for you every step of the way. In the unlikely event that one of our products does not perform as expected, you're protected by our Product Promise.
For full details, please see our Terms & Conditions

Please note: All products are 'FOR RESEARCH USE ONLY. NOT FOR USE IN DIAGNOSTIC OR THERAPEUTIC PROCEDURES'.

For licensing inquiries, please contact partnerships@abcam.com