JavaScript is disabled in your browser. Please enable JavaScript to view this website.
AB96084

Anti-NT5C2 antibody

Be the first to review this product! Submit a review

|

(6 Publications)

Rabbit Polyclonal NT5C2 antibody. Suitable for WB, IHC-P and reacts with Human samples. Cited in 6 publications. Immunogen corresponding to Recombinant Fragment Protein within Human NT5C2 aa 100-350.

View Alternative Names

NT5B, NT5CP, PNT5, NT5C2, Cytosolic purine 5'-nucleotidase, Cytosolic 5'-nucleotidase II, Cytosolic IMP/GMP-specific 5'-nucleotidase, Cytosolic nucleoside phosphotransferase 5'N, High Km 5'-nucleotidase, cN-II

2 Images
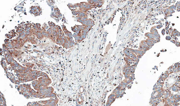
Immunohistochemistry (Formalin/PFA-fixed paraffin-embedded sections) - Anti-NT5C2 antibody (AB96084)
  • IHC-P

Unknown

Immunohistochemistry (Formalin/PFA-fixed paraffin-embedded sections) - Anti-NT5C2 antibody (AB96084)

Immunohistochemical analysis of paraffin-embedded OVCA, using ab96084 at 1 : 100 dilution.

Western blot - Anti-NT5C2 antibody (AB96084)
  • WB

Unknown

Western blot - Anti-NT5C2 antibody (AB96084)

7.5% SDS PAGE

All lanes:

Western blot - Anti-NT5C2 antibody (ab96084) at 1/1000 dilution

Lane 1:

H1299 cell lysate at 30 µg

Lane 2:

HeLaS3 cell lysate at 30 µg

Predicted band size: 65 kDa

false

Key facts

Host species

Rabbit

Clonality

Polyclonal

Isotype

IgG

Carrier free

No

Reacts with

Human

Applications

WB, IHC-P

applications

Immunogen

Recombinant Fragment Protein within Human NT5C2 aa 100-350. The exact immunogen used to generate this antibody is proprietary information.

P49902

Reactivity data

{ "title": "Reactivity Data", "filters": { "stats": ["", "Species", "Dilution Info", "Notes"], "tabs": { "all-applications": {"fullname" : "All Applications", "shortname": "All Applications"}, "WB" : {"fullname" : "Western blot", "shortname":"WB"}, "IHCP" : {"fullname" : "Immunohistochemistry (Formalin/PFA-fixed paraffin-embedded sections)", "shortname":"IHC-P"} }, "product-promise": { "all": "all", "testedAndGuaranteed": "tested", "guaranteed": "expected", "predicted": "predicted", "notRecommended": "not-recommended" } }, "values": { "Human": { "WB-species-checked": "testedAndGuaranteed", "WB-species-dilution-info": "1/500 - 1/3000", "WB-species-notes": "<p></p>", "IHCP-species-checked": "testedAndGuaranteed", "IHCP-species-dilution-info": "1/100 - 1/1000", "IHCP-species-notes": "<p></p>" }, "Mouse": { "WB-species-checked": "predicted", "WB-species-dilution-info": "", "WB-species-notes": "", "IHCP-species-checked": "predicted", "IHCP-species-dilution-info": "", "IHCP-species-notes": "" }, "Cow": { "WB-species-checked": "predicted", "WB-species-dilution-info": "", "WB-species-notes": "", "IHCP-species-checked": "predicted", "IHCP-species-dilution-info": "", "IHCP-species-notes": "" }, "Zebrafish": { "WB-species-checked": "predicted", "WB-species-dilution-info": "", "WB-species-notes": "", "IHCP-species-checked": "predicted", "IHCP-species-dilution-info": "", "IHCP-species-notes": "" } } }

Properties and storage information

Form
Liquid
Purification technique
Affinity purification Immunogen
Storage buffer
pH: 7 Preservative: 0.01% Thimerosal (merthiolate) Constituents: 10% Glycerol (glycerin, glycerine), 1.21% Tris, 0.75% Glycine
Shipped at conditions
Blue Ice
Appropriate short-term storage conditions
+4°C
Appropriate long-term storage conditions
-20°C
Aliquoting information
Upon delivery aliquot
Storage information
Avoid freeze / thaw cycle

Supplementary information

This supplementary information is collated from multiple sources and compiled automatically.

The NT5C2 protein also known as cytosolic 5'-nucleotidase II plays an important role in nucleotide metabolism. It has a molecular mass of approximately 65 kDa. Researchers observe its expression in various tissues with higher levels typically found in the liver heart and brain. NT5C2 controls the conversion of nucleoside monophosphates to nucleosides and inorganic phosphate acting to regulate intracellular nucleotide levels.
Biological function summary

NT5C2 influences purine metabolism specifically in the catabolism of nucleotides. It does not function as part of a larger protein complex. Instead NT5C2 plays its role independently within the cell. This enzymatic activity contributes to maintaining nucleotide balance essential for DNA and RNA synthesis and repair and affects overall cellular metabolism.

Pathways

NT5C2 appears important in purine and pyrimidine metabolism pathways. Within these it directly impacts salvage pathways where it catalyzes reactions that recycle nucleotides from nucleic acid degradation. Its activity is relevant to proteins like APRT and HPRT which also participate in purine salvage processes ensuring efficient nucleotide utilization.

NT5C2 has associations with certain leukemias and neurological conditions. Mutations and dysregulation in NT5C2 can lead to chemoresistance in acute lymphoblastic leukemia affecting treatment efficacy. Additionally its connection with purine metabolism links it to Lesch-Nyhan syndrome where dysfunctional purine salvage causes severe neurological and behavioral abnormalities. The interaction with proteins like HPRT in Lesch-Nyhan syndrome accentuates the metabolic disruption observed.

Product protocols

For this product, it's our understanding that no specific protocols are required. You can visit:

Target data

Broad specificity cytosolic 5'-nucleotidase that catalyzes the dephosphorylation of 6-hydroxypurine nucleoside 5'-monophosphates (PubMed : 10092873, PubMed : 12907246, PubMed : 1659319, PubMed : 9371705). In addition, possesses a phosphotransferase activity by which it can transfer a phosphate from a donor nucleoside monophosphate to an acceptor nucleoside, preferably inosine, deoxyinosine and guanosine (PubMed : 1659319, PubMed : 9371705). Has the highest activities for IMP and GMP followed by dIMP, dGMP and XMP (PubMed : 10092873, PubMed : 12907246, PubMed : 1659319, PubMed : 9371705). Could also catalyze the transfer of phosphates from pyrimidine monophosphates but with lower efficiency (PubMed : 1659319, PubMed : 9371705). Through these activities regulates the purine nucleoside/nucleotide pools within the cell (PubMed : 10092873, PubMed : 12907246, PubMed : 1659319, PubMed : 9371705).
See full target information NT5C2

Publications (6)

Recent publications for all applications. Explore the full list and refine your search

The European journal of neuroscience 59:2102-2117 PubMed38279611

2024

Schizophrenia risk proteins ZNF804A and NT5C2 interact in cortical neurons.

Applications

Unspecified application

Species

Unspecified reactive species

Afra Aabdien,Laura Sichlinger,Zoe Borgel,Madeleine R Jones,Iain A Waston,Nicholas J F Gatford,Pooja Raval,Lloyd Tanangonan,Timothy R Powell,Rodrigo R R Duarte,Deepak P Srivastava

Molecular pharmacology 103:199-210 PubMed36669880

2023

CRISPR/Cas9-Mediated Induction of Relapse-Specific and Mutations Confers Thiopurine Resistance as a Relapsed Lymphoid Leukemia Model.

Applications

Unspecified application

Species

Unspecified reactive species

Thao Thu Thi Nguyen,Yoichi Tanaka,Masashi Sanada,Masumi Hosaka,Minori Tamai,Keiko Kagami,Chiaki Komatsu,Shinpei Somazu,Daisuke Harama,Shin Kasai,Atsushi Watanabe,Koushi Akahane,Kumiko Goi,Takeshi Inukai

Molecular therapy oncolytics 26:413-428 PubMed36159777

2022

TRIM22 orchestrates the proliferation of GBMs and the benefits of TMZ by coordinating the modification and degradation of RIG-I.

Applications

Unspecified application

Species

Unspecified reactive species

Xiaowei Fei,Xiuquan Wu,Ya-Nan Dou,Kai Sun,Qingdong Guo,Lei Zhang,Sanzhong Li,Jialiang Wei,Yu Huan,Xin He,Zhou Fei

Journal of neuroimmune pharmacology : the official journal of the Society on NeuroImmune Pharmacology 17:195-205 PubMed33851318

2021

Different Susceptibility of T and B Cells to Cladribine Depends On Their Levels of Deoxycytidine Kinase Activity Linked to Activation Status.

Applications

Unspecified application

Species

Unspecified reactive species

Federico Carlini,Federico Ivaldi,Francesca Gualandi,Ursula Boschert,Diego Centonze,Giuseppe Matarese,Marco Salvetti,Nicole Kerlero de Rosbo,Antonio Uccelli

Nature genetics 45:290-4 PubMed23377183

2013

Relapse-specific mutations in NT5C2 in childhood acute lymphoblastic leukemia.

Applications

Unspecified application

Species

Unspecified reactive species

Julia A Meyer,Jinhua Wang,Laura E Hogan,Jun J Yang,Smita Dandekar,Jay P Patel,Zuojian Tang,Paul Zumbo,Sheng Li,Jiri Zavadil,Ross L Levine,Timothy Cardozo,Stephen P Hunger,Elizabeth A Raetz,William E Evans,Debra J Morrison,Christopher E Mason,William L Carroll

Nature medicine 19:368-71 PubMed23377281

2013

Activating mutations in the NT5C2 nucleotidase gene drive chemotherapy resistance in relapsed ALL.

Applications

WB

Species

Unspecified reactive species

Gannie Tzoneva,Arianne Perez-Garcia,Zachary Carpenter,Hossein Khiabanian,Valeria Tosello,Maddalena Allegretta,Elisabeth Paietta,Janis Racevskis,Jacob M Rowe,Martin S Tallman,Maddalena Paganin,Giuseppe Basso,Jana Hof,Renate Kirschner-Schwabe,Teresa Palomero,Raul Rabadan,Adolfo Ferrando
View all publications

Product promise

We are committed to supporting your work with high-quality reagents, and we're here for you every step of the way. In the unlikely event that one of our products does not perform as expected, you're protected by our Product Promise.
For full details, please see our Terms & Conditions

Please note: All products are 'FOR RESEARCH USE ONLY. NOT FOR USE IN DIAGNOSTIC OR THERAPEUTIC PROCEDURES'.

For licensing inquiries, please contact partnerships@abcam.com