JavaScript is disabled in your browser. Please enable JavaScript to view this website.
AB229143

Anti-NTAQ1 antibody

Be the first to review this product! Submit a review

|

(1 Publication)

Rabbit Polyclonal NTAQ1 antibody. Suitable for IHC-P, ICC/IF and reacts with Mouse, Human samples. Cited in 1 publication. Immunogen corresponding to Recombinant Fragment Protein within Human NTAQ1.

View Alternative Names

C8orf32, WDYHV1, NTAQ1, Protein N-terminal glutamine amidohydrolase, Protein NH2-terminal glutamine deamidase, WDYHV motif-containing protein 1, N-terminal Gln amidase, Nt(Q)-amidase

3 Images
Immunocytochemistry/ Immunofluorescence - Anti-NTAQ1 antibody (AB229143)
  • ICC/IF

Supplier Data

Immunocytochemistry/ Immunofluorescence - Anti-NTAQ1 antibody (AB229143)

4% paraformaldehyde-fixed HeLa (human epithelial cell line from cervix adenocarcinoma) cells stained for NTAQ1 (green) using ab229143 at 1/200 dilution in ICC/IF.

Nuclear counterstain : Hoechst 33342 (blue).

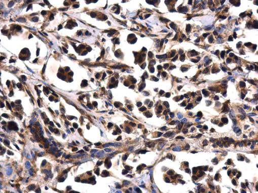
Immunohistochemistry (Formalin/PFA-fixed paraffin-embedded sections) - Anti-NTAQ1 antibody (AB229143)
  • IHC-P

Supplier Data

Immunohistochemistry (Formalin/PFA-fixed paraffin-embedded sections) - Anti-NTAQ1 antibody (AB229143)

Paraffin-embedded human breast cancer tissue stained for NTAQ1 using ab229143 at 1/500 dilution in immunohistochemical analysis.

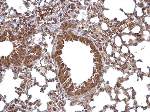
Immunohistochemistry (Formalin/PFA-fixed paraffin-embedded sections) - Anti-NTAQ1 antibody (AB229143)
  • IHC-P

Supplier Data

Immunohistochemistry (Formalin/PFA-fixed paraffin-embedded sections) - Anti-NTAQ1 antibody (AB229143)

Paraffin-embedded mouse lung tissue stained for NTAQ1 using ab229143 at 1/500 dilution in immunohistochemical analysis.

Key facts

Host species

Rabbit

Clonality

Polyclonal

Isotype

IgG

Carrier free

No

Reacts with

Mouse, Human

Applications

IHC-P, ICC/IF

applications

Immunogen

Recombinant Fragment Protein within Human NTAQ1. The exact immunogen used to generate this antibody is proprietary information.

Q96HA8

Reactivity data

{ "title": "Reactivity Data", "filters": { "stats": ["", "Species", "Dilution Info", "Notes"], "tabs": { "all-applications": {"fullname" : "All Applications", "shortname": "All Applications"}, "IHCP" : {"fullname" : "Immunohistochemistry (Formalin/PFA-fixed paraffin-embedded sections)", "shortname":"IHC-P"}, "ICCIF" : {"fullname" : "Immunocytochemistry/ Immunofluorescence", "shortname":"ICC/IF"} }, "product-promise": { "all": "all", "testedAndGuaranteed": "tested", "guaranteed": "expected", "predicted": "predicted", "notRecommended": "not-recommended" } }, "values": { "Human": { "IHCP-species-checked": "testedAndGuaranteed", "IHCP-species-dilution-info": "1/100 - 1/1000", "IHCP-species-notes": "<p></p>", "ICCIF-species-checked": "testedAndGuaranteed", "ICCIF-species-dilution-info": "1/100 - 1/1000", "ICCIF-species-notes": "<p></p>" }, "Mouse": { "IHCP-species-checked": "testedAndGuaranteed", "IHCP-species-dilution-info": "1/100 - 1/1000", "IHCP-species-notes": "<p></p>", "ICCIF-species-checked": "guaranteed", "ICCIF-species-dilution-info": "", "ICCIF-species-notes": "" }, "Rhesus monkey": { "IHCP-species-checked": "predicted", "IHCP-species-dilution-info": "", "IHCP-species-notes": "", "ICCIF-species-checked": "predicted", "ICCIF-species-dilution-info": "", "ICCIF-species-notes": "" } } }

Properties and storage information

Form
Liquid
Purification technique
Affinity purification Immunogen
Storage buffer
pH: 7 Preservative: 0.01% Thimerosal (merthiolate) Constituents: 20% Glycerol (glycerin, glycerine), 1.21% Tris, 0.75% Glycine
Shipped at conditions
Blue Ice
Appropriate short-term storage duration
1-2 weeks
Appropriate short-term storage conditions
+4°C
Appropriate long-term storage conditions
-20°C
Aliquoting information
Upon delivery aliquot
Storage information
Avoid freeze / thaw cycle

Supplementary information

This supplementary information is collated from multiple sources and compiled automatically.

NTAQ1 also known as N-terminal amidation transferase Q1 is a protein involved in the modification of peptide termini. The protein facilitates the process of amidation at the N-terminus of target peptides. NTAQ1 has a molecular mass of approximately 35 kDa and is found mainly in the cytoplasm of various human tissues. It displays higher expression levels in tissues such as liver and kidney where peptide maturation processes are highly active.
Biological function summary

NTAQ1 contributes to the stability and functionality of peptides by mediating their amidation. Through this modification peptides often gain increased resistance to degradation and enhanced affinity for their receptors. NTAQ1 operates as part of the enzyme complex involved in post-translational modifications interfacing with other maturation enzymes. Its role enhances the biological activity of neuropeptides and hormones influencing numerous physiological processes.

Pathways

NTAQ1 participates in metabolic and signaling pathways involving peptides and proteins. It takes part in the peptide processing pathway interacting with several proteolytic enzymes. Furthermore NTAQ1's activity integrates into the signaling pathway of neuropeptides working in association with proteins like those from the endopeptidase family which regulate neurotransmitter release.

NTAQ1's function connects to ailments where peptide regulation is disturbed. Its involvement with peptide hormones links it to metabolic disorders like obesity given the role of these peptides in energy regulation. Additionally NTAQ1 may relate to some neurological disorders through its modification of neuropeptides which are implicated in conditions such as Alzheimer's disease. The protein interacts with affected proteins such as amyloid-beta precursor protein highlighting its potential impact on disease progression.

Product protocols

For this product, it's our understanding that no specific protocols are required. You can visit:

Target data

Mediates the side-chain deamidation of N-terminal glutamine residues to glutamate, an important step in N-end rule pathway of protein degradation. Conversion of the resulting N-terminal glutamine to glutamate renders the protein susceptible to arginylation, polyubiquitination and degradation as specified by the N-end rule. Does not act on substrates with internal or C-terminal glutamine and does not act on non-glutamine residues in any position. Does not deaminate acetylated N-terminal glutamine. With the exception of proline, all tested second-position residues on substrate peptides do not greatly influence the activity. In contrast, a proline at position 2, virtually abolishes deamidation of N-terminal glutamine.
See full target information NTAQ1

Publications (1)

Recent publications for all applications. Explore the full list and refine your search

Frontiers in immunology 15:1402951 PubMed39286258

2024

Multi-omics landscape of Interferon-stimulated gene OASL reveals a potential biomarker in pan-cancer: from prognosis to tumor microenvironment.

Applications

Unspecified application

Species

Unspecified reactive species

Yi Liu,Runyu Yang,Mengyao Zhang,Bingyu Yang,Yue Du,Hui Feng,Wenjuan Wang,Busheng Xue,Fan Niu,Pengcheng He
View all publications

Product promise

We are committed to supporting your work with high-quality reagents, and we're here for you every step of the way. In the unlikely event that one of our products does not perform as expected, you're protected by our Product Promise.
For full details, please see our Terms & Conditions

Please note: All products are 'FOR RESEARCH USE ONLY. NOT FOR USE IN DIAGNOSTIC OR THERAPEUTIC PROCEDURES'.

For licensing inquiries, please contact partnerships@abcam.com