JavaScript is disabled in your browser. Please enable JavaScript to view this website.
AB231185

Anti-NTF2 antibody

Be the first to review this product! Submit a review

|

(1 Publication)

Rabbit Polyclonal NTF2 antibody. Suitable for WB, IHC-P and reacts with Human samples. Cited in 1 publication. Immunogen corresponding to Recombinant Full Length Protein corresponding to Human NUTF2.

View Alternative Names

NTF2, NUTF2, Nuclear transport factor 2, NTF-2, Placental protein 15, PP15

6 Images
Immunohistochemistry (Formalin/PFA-fixed paraffin-embedded sections) - Anti-NTF2 antibody (AB231185)
  • IHC-P

Supplier Data

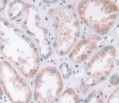
Immunohistochemistry (Formalin/PFA-fixed paraffin-embedded sections) - Anti-NTF2 antibody (AB231185)

Formalin-fixed, paraffin-embedded human kidney tissue stained for NTF2 with ab231185 at 20 μg/ml in immunohistochemical analysis. DAB staining.

Western blot - Anti-NTF2 antibody (AB231185)
  • WB

Supplier Data

Western blot - Anti-NTF2 antibody (AB231185)

All lanes:

Western blot - Anti-NTF2 antibody (ab231185) at 1 µg/mL

All lanes:

Human urine

Predicted band size: 14 kDa

false

Western blot - Anti-NTF2 antibody (AB231185)
  • WB

Supplier Data

Western blot - Anti-NTF2 antibody (AB231185)

All lanes:

Western blot - Anti-NTF2 antibody (ab231185) at 2 µg/mL

All lanes:

U-2 OS (human bone osteosarcoma epithelial cell line) cell lysate

Predicted band size: 14 kDa

false

Western blot - Anti-NTF2 antibody (AB231185)
  • WB

Supplier Data

Western blot - Anti-NTF2 antibody (AB231185)

All lanes:

Western blot - Anti-NTF2 antibody (ab231185) at 2 µg/mL

All lanes:

K562 (human chronic myelogenous leukemia cell line from bone marrow) cell lysate

Predicted band size: 14 kDa

false

Western blot - Anti-NTF2 antibody (AB231185)
  • WB

Supplier Data

Western blot - Anti-NTF2 antibody (AB231185)

All lanes:

Western blot - Anti-NTF2 antibody (ab231185) at 2 µg/mL

All lanes:

Recombinant human NTF2 protein

Predicted band size: 14 kDa,15 kDa

false

Western blot - Anti-NTF2 antibody (AB231185)
  • WB

Supplier Data

Western blot - Anti-NTF2 antibody (AB231185)

All lanes:

Western blot - Anti-NTF2 antibody (ab231185) at 2 µg/mL

All lanes:

HeLa (human epithelial cell line from cervix adenocarcinoma) cell lysate

Predicted band size: 14 kDa

false

Key facts

Host species

Rabbit

Clonality

Polyclonal

Isotype

IgG

Carrier free

No

Reacts with

Human

Applications

IHC-P, WB

applications

Immunogen

Recombinant Full Length Protein corresponding to Human NUTF2.

P61970

Reactivity data

{ "title": "Reactivity Data", "filters": { "stats": ["", "Species", "Dilution Info", "Notes"], "tabs": { "all-applications": {"fullname" : "All Applications", "shortname": "All Applications"}, "WB" : {"fullname" : "Western blot", "shortname":"WB"}, "IHCP" : {"fullname" : "Immunohistochemistry (Formalin/PFA-fixed paraffin-embedded sections)", "shortname":"IHC-P"} }, "product-promise": { "all": "all", "testedAndGuaranteed": "tested", "guaranteed": "expected", "predicted": "predicted", "notRecommended": "not-recommended" } }, "values": { "Human": { "WB-species-checked": "testedAndGuaranteed", "WB-species-dilution-info": "0.2-2 µg/mL", "WB-species-notes": "<p></p>", "IHCP-species-checked": "testedAndGuaranteed", "IHCP-species-dilution-info": "5-20 µg/mL", "IHCP-species-notes": "<p></p>" }, "Rat": { "WB-species-checked": "predicted", "WB-species-dilution-info": "", "WB-species-notes": "", "IHCP-species-checked": "predicted", "IHCP-species-dilution-info": "", "IHCP-species-notes": "" }, "Cow": { "WB-species-checked": "predicted", "WB-species-dilution-info": "", "WB-species-notes": "", "IHCP-species-checked": "predicted", "IHCP-species-dilution-info": "", "IHCP-species-notes": "" }, "Orangutan": { "WB-species-checked": "predicted", "WB-species-dilution-info": "", "WB-species-notes": "", "IHCP-species-checked": "predicted", "IHCP-species-dilution-info": "", "IHCP-species-notes": "" } } }

Properties and storage information

Form
Liquid
Purification technique
Affinity purification Immunogen
Purification notes
Antigen-specific affinity chromatography followed by Protein A affinity chromatography.
Storage buffer
pH: 7.4 Preservative: 0.011% Proclin 300 Constituents: PBS, 55.77% Glycerol (glycerin, glycerine)
Shipped at conditions
Blue Ice
Appropriate short-term storage duration
1-2 weeks
Appropriate short-term storage conditions
+4°C
Appropriate long-term storage conditions
-20°C
Aliquoting information
Upon delivery aliquot
Storage information
Avoid freeze / thaw cycle

Supplementary information

This supplementary information is collated from multiple sources and compiled automatically.

The NTF2 protein also known as Nuclear Transport Factor 2 has an important role in the transport mechanism between the cytoplasm and the nucleus. It has a molecular weight of approximately 14 kDa. NTF2 exists in multiple tissues including in the liver and brain. This protein facilitates the transport of molecules specifically enzymes and regulatory proteins through the nuclear pore complex.
Biological function summary

The NTF2 protein acts as a transport receptor that primarily mediates the import of RanGDP into the nucleus. It forms complexes with other proteins to ensure efficient transport functionality. The interaction with Ran a small GTPase is critical in maintaining the gradient necessary for nucleocytoplasmic transport. NTF2 operates by binding to nuclear pore complexes and guiding proteins into the nucleus.

Pathways

NTF2 holds importance in nucleocytoplasmic transport and Ran-mediated transport pathways. It interacts closely with other molecules such as Ran and importin β facilitating efficient nuclear import cycles. This protein also plays an associated role in cellular processes like RNA export and signal transduction by influencing how proteins translocate across the nuclear membrane.

NTF2 connects to certain neurological disorders including Alzheimer's disease. Abnormalities in nucleocytoplasmic transport can influence disease pathology and NTF2's malfunction may lead to the accumulation of misfolded proteins impacting neural function. Additionally NTF2 involvement can be observed in cancer where changes in transport capacity may lead to altered cell cycle regulation. In cancer pathology it relates to proteins like p53 which when dysregulated promotes tumorigenesis.

Product protocols

For this product, it's our understanding that no specific protocols are required. You can visit:

Target data

Mediates the import of GDP-bound RAN from the cytoplasm into the nucleus which is essential for the function of RAN in cargo receptor-mediated nucleocytoplasmic transport. Thereby, plays indirectly a more general role in cargo receptor-mediated nucleocytoplasmic transport. Interacts with GDP-bound RAN in the cytosol, recruits it to the nuclear pore complex via its interaction with nucleoporins and promotes its nuclear import.
See full target information NUTF2

Publications (1)

Recent publications for all applications. Explore the full list and refine your search

Cell biology international 43:605-612 PubMed30958598

2019

Role of autophagy in inhibiting the proliferation of A549 cells by type III interferon.

Applications

Unspecified application

Species

Unspecified reactive species

Dongmei Gao,Xiaoqin Yu,Bo Zhang,Min Kong,Yong Fang,Yu Cai,Chengchu Zhu,Jun Zhao,Jicheng Li
View all publications

Product promise

We are committed to supporting your work with high-quality reagents, and we're here for you every step of the way. In the unlikely event that one of our products does not perform as expected, you're protected by our Product Promise.
For full details, please see our Terms & Conditions

Please note: All products are 'FOR RESEARCH USE ONLY. NOT FOR USE IN DIAGNOSTIC OR THERAPEUTIC PROCEDURES'.

For licensing inquiries, please contact partnerships@abcam.com