JavaScript is disabled in your browser. Please enable JavaScript to view this website.
AB314192

Anti-NTH1 antibody [22H10]

Be the first to review this product! Submit a review

|

(0 Publication)

Rabbit Monoclonal NTH1 antibody. Suitable for WB, IHC-P, ICC/IF, Flow Cyt (Intra) and reacts with Human samples. Immunogen corresponding to Synthetic Peptide within Human NTHL1.

View Alternative Names

NTH1, OCTS3, NTHL1, Endonuclease III-like protein 1, hNTH1, Bifunctional DNA N-glycosylase/DNA-(apurinic or apyrimidinic site) lyase, DNA glycosylase/AP lyase

4 Images
Flow Cytometry (Intracellular) - Anti-NTH1 antibody [22H10] (AB314192)
  • Flow Cyt (Intra)

Supplier Data

Flow Cytometry (Intracellular) - Anti-NTH1 antibody [22H10] (AB314192)

Overlay Peak curve showing HepG2 (Human liver hepatocellular carcinoma cell line) cells stained with ab314192 (pink line) at 1 : 100. The cells were fixed in 4% formaldehyde and permeated by 0.2% TritonX-100. Then 10% normal goat serum to block non-specific protein-protein interactions followed by the antibody (1ug/1x10E6 cells) for 45min at 4°C. The secondary antibody used was FITC-conjugated Goat Anti-rabbit IgG (H+L) at 1 : 200 dilution for 35min at 4°C. Control antibody (green line) was rabbit IgG (1ug/1x10E6 cells) used under the same conditions. Acquisition of >10,000 events was performed.

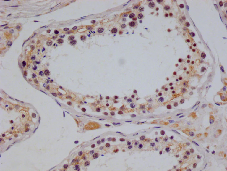
Immunohistochemistry (Formalin/PFA-fixed paraffin-embedded sections) - Anti-NTH1 antibody [22H10] (AB314192)
  • IHC-P

Supplier Data

Immunohistochemistry (Formalin/PFA-fixed paraffin-embedded sections) - Anti-NTH1 antibody [22H10] (AB314192)

Immunohistochemical analysis of ab314192 diluted at 1 : 100 and staining in paraffin-embedded human testis tissue performed on a Leica BondTM system. After dewaxing and hydration, antigen retrieval was mediated by high pressure in a citrate buffer (pH 6.0). Section was blocked with 10% normal goat serum 30min at RT. Then primary antibody (1% BSA) was incubated at 4°C overnight. The primary is detected by a Goat anti-rabbit polymer IgG labeled by HRP and visualized using 0.05% DAB.

Immunocytochemistry/ Immunofluorescence - Anti-NTH1 antibody [22H10] (AB314192)
  • ICC/IF

Supplier Data

Immunocytochemistry/ Immunofluorescence - Anti-NTH1 antibody [22H10] (AB314192)

Immunofluorescence staining of PC-3 (Human prostate adenocarcinoma cell line) cells with ab314192 at 1 : 50, counter-stained with DAPI. The cells were fixed in 4% formaldehyde and blocked in 10% normal Goat Serum. The cells were then incubated with the antibody overnight at 4°C. The secondary antibody was Alexa Fluor® 604-conjugated Goat Anti-Rabbit IgG(H+L).

Western blot - Anti-NTH1 antibody [22H10] (AB314192)
  • WB

Supplier Data

Western blot - Anti-NTH1 antibody [22H10] (AB314192)

All lanes:

Western blot - Anti-NTH1 antibody [22H10] (ab314192) at 1/1000 dilution

Lane 1:

HepG2 whole cell lysate

Lane 2:

HEK293 whole cell lysate

Lane 3:

PC-3 whole cell lysate

Secondary

All lanes:

Goat polyclonal to rabbit IgG at 1/50000 dilution

Observed band size: 35 kDa

false

Key facts

Host species

Rabbit

Clonality

Monoclonal

Clone number

22H10

Isotype

IgG

Carrier free

No

Reacts with

Human

Applications

WB, IHC-P, Flow Cyt (Intra), ICC/IF

applications

Immunogen

Synthetic Peptide within Human NTHL1.

P78549

Reactivity data

{ "title": "Reactivity Data", "filters": { "stats": ["", "Species", "Dilution Info", "Notes"], "tabs": { "all-applications": {"fullname" : "All Applications", "shortname": "All Applications"}, "WB" : {"fullname" : "Western blot", "shortname":"WB"}, "IHCP" : {"fullname" : "Immunohistochemistry (Formalin/PFA-fixed paraffin-embedded sections)", "shortname":"IHC-P"}, "ICCIF" : {"fullname" : "Immunocytochemistry/ Immunofluorescence", "shortname":"ICC/IF"}, "FlowCytIntra" : {"fullname" : "Flow Cytometry (Intracellular)", "shortname":"Flow Cyt (Intra)"} }, "product-promise": { "all": "all", "testedAndGuaranteed": "tested", "guaranteed": "expected", "predicted": "predicted", "notRecommended": "not-recommended" } }, "values": { "Human": { "WB-species-checked": "testedAndGuaranteed", "WB-species-dilution-info": "1/500 - 1/2000", "WB-species-notes": "<p></p>", "IHCP-species-checked": "testedAndGuaranteed", "IHCP-species-dilution-info": "1/50 - 1/200", "IHCP-species-notes": "<p></p>", "ICCIF-species-checked": "testedAndGuaranteed", "ICCIF-species-dilution-info": "1/50 - 1/200", "ICCIF-species-notes": "<p></p>", "FlowCytIntra-species-checked": "testedAndGuaranteed", "FlowCytIntra-species-dilution-info": "1/50 - 1/200", "FlowCytIntra-species-notes": "<p></p>" } } }

Product details

What are the advantages of a recombinant monoclonal antibody?
This product is a recombinant monoclonal antibody, which offers several advantages including:

  • - High batch-to-batch consistency and reproducibility
  • - Improved sensitivity and specificity
  • - Long-term security of supply
  • - Animal-free batch production

For more information, read more on recombinant antibodies.

Properties and storage information

Form
Liquid
Purification technique
Affinity purification
Storage buffer
pH: 7.4 Preservative: 0.02% Sodium azide Constituents: PBS, 50% Glycerol (glycerin, glycerine), 0.88% Sodium chloride
Shipped at conditions
Blue Ice
Appropriate short-term storage duration
1-2 weeks
Appropriate short-term storage conditions
+4°C
Appropriate long-term storage conditions
-20°C
Aliquoting information
Upon delivery aliquot
Storage information
Avoid freeze / thaw cycle

Supplementary information

This supplementary information is collated from multiple sources and compiled automatically.

The NTH1 protein also known as endonuclease III-like protein 1 functions as a DNA glycosylase involved in base excision repair. It plays a role in the repair of oxidative DNA damage. NTH1 has a molecular mass of approximately 33 kDa. This protein is located in various tissues throughout the human body but it shows higher expression in the testes heart and skeletal muscle. These expression patterns suggest its significance in oxidative stress response across different body systems.
Biological function summary

NTH1 removes oxidized pyrimidines from damaged DNA as part of its role in cellular repair mechanisms. As a component of the base excision repair pathway it tackles oxidative lesions to prevent mutation accumulation. It does not act as a complex with other proteins but operates after being recruited to relevant DNA sites requiring repair. This essential function keeps genomic integrity intact and allows for regular cellular processes.

Pathways

NTH1 plays an important role within the base excision repair and DNA damage response pathways. It cooperates with proteins such as APE1 which prepares the site for subsequent repair steps ensuring proper DNA maintenance. NTH1’s involvement in base excision repair specifically addresses small-scale oxidative damage highlighting its role in safeguarding genetic information. These pathways are fundamental for normal cell function and response to environmental stressors.

NTH1 has links to conditions involving accumulated DNA damage such as cancer and neurodegenerative diseases. DNA repair deficiency due to NTH1 malfunction can contribute to the onset of such diseases. The protein interacts with partners like OGG1 which also plays a role in oxidative DNA lesion recognition and repair to manage DNA stability. Understanding the dysfunction of NTH1 in these contexts helps in exploring potential therapeutic targets and diagnostic markers for related disorders.

Product protocols

For this product, it's our understanding that no specific protocols are required. You can visit:

Target data

Bifunctional DNA N-glycosylase with associated apurinic/apyrimidinic (AP) lyase function that catalyzes the first step in base excision repair (BER), the primary repair pathway for the repair of oxidative DNA damage (PubMed : 29610152, PubMed : 9927729). The DNA N-glycosylase activity releases the damaged DNA base from DNA by cleaving the N-glycosidic bond, leaving an AP site. The AP-lyase activity cleaves the phosphodiester bond 3' to the AP site by a beta-elimination. Primarily recognizes and repairs oxidative base damage of pyrimidines. Has also 8-oxo-7,8-dihydroguanine (8-oxoG) DNA glycosylase activity. Acts preferentially on DNA damage opposite guanine residues in DNA. Is able to process lesions in nucleosomes without requiring or inducing nucleosome disruption.
See full target information NTHL1

Product promise

We are committed to supporting your work with high-quality reagents, and we're here for you every step of the way. In the unlikely event that one of our products does not perform as expected, you're protected by our Product Promise.
For full details, please see our Terms & Conditions

Please note: All products are 'FOR RESEARCH USE ONLY. NOT FOR USE IN DIAGNOSTIC OR THERAPEUTIC PROCEDURES'.

For licensing inquiries, please contact partnerships@abcam.com