JavaScript is disabled in your browser. Please enable JavaScript to view this website.
AB236143

Anti-NTH1 antibody [EPR15930] - BSA and Azide free

Be the first to review this product! Submit a review

|

(0 Publication)

Rabbit Recombinant Monoclonal NTH1 antibody. Carrier free. Suitable for WB, ICC/IF, IHC-P and reacts with Mouse, Human samples.

View Alternative Names

NTH1, OCTS3, NTHL1, Endonuclease III-like protein 1, hNTH1, Bifunctional DNA N-glycosylase/DNA-(apurinic or apyrimidinic site) lyase, DNA glycosylase/AP lyase

4 Images
Immunocytochemistry/ Immunofluorescence - Anti-NTH1 antibody [EPR15930] - BSA and Azide free (AB236143)
  • ICC/IF

Supplier Data

Immunocytochemistry/ Immunofluorescence - Anti-NTH1 antibody [EPR15930] - BSA and Azide free (AB236143)

Immunofluorescent analysis of 4% paraformaldehyde-fixed, 0.1% tritonX-100 permeabilized HeLa cells labeling NTH1 with ab191413 at 1/150 dilution, followed by Goat anti rabbit IgG (Alexa Fluor488) secondary antibody at 1/200 dilution (ab150077). Nuclear counter stain is DAPI (blue).

The two negative controls are ab191413 at 1/250 dilution followed by Goat anti mouse IgG (Alexa Fluor®594) secondary antibody at 1/400 dilution.

This data was developed using the same antibody clone in a different buffer formulation containing PBS, BSA, glycerol, and sodium azide (ab191413).

Immunohistochemistry (Formalin/PFA-fixed paraffin-embedded sections) - Anti-NTH1 antibody [EPR15930] - BSA and Azide free (AB236143)
  • IHC-P

Supplier Data

Immunohistochemistry (Formalin/PFA-fixed paraffin-embedded sections) - Anti-NTH1 antibody [EPR15930] - BSA and Azide free (AB236143)

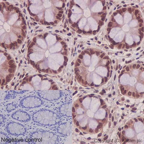
Immunohistochemical analysis of paraffin-embedded human colon tissue labeling NTH1 with ab191413 at 1/100 dilution, followed by prediluted HRP Polymer for Rabbit/Mouse IgG. Counter stained with Hematoxylin.

Negative control utilized PBS instead of ab191413.

This data was developed using the same antibody clone in a different buffer formulation containing PBS, BSA, glycerol, and sodium azide (ab191413).

Heat mediated antigen retrieval was performed with Tris/EDTA buffer pH 9.0 before commencing with IHC staining protocol.

Immunohistochemistry (Formalin/PFA-fixed paraffin-embedded sections) - Anti-NTH1 antibody [EPR15930] - BSA and Azide free (AB236143)
  • IHC-P

Supplier Data

Immunohistochemistry (Formalin/PFA-fixed paraffin-embedded sections) - Anti-NTH1 antibody [EPR15930] - BSA and Azide free (AB236143)

Immunohistochemical analysis of paraffin-embedded Human transitional cell carcinoma of bladder tissue labeling NTH1 with ab191413 at 1/100 dilution, followed by prediluted HRP Polymer for Rabbit/Mouse IgG. Counter stained with Hematoxylin.

Negative control utilised PBS instead of ab191413.

This data was developed using the same antibody clone in a different buffer formulation containing PBS, BSA, glycerol, and sodium azide (ab191413).

Heat mediated antigen retrieval was performed with Tris/EDTA buffer pH 9.0 before commencing with IHC staining protocol.

Immunohistochemistry (Formalin/PFA-fixed paraffin-embedded sections) - Anti-NTH1 antibody [EPR15930] - BSA and Azide free (AB236143)
  • IHC-P

Supplier Data

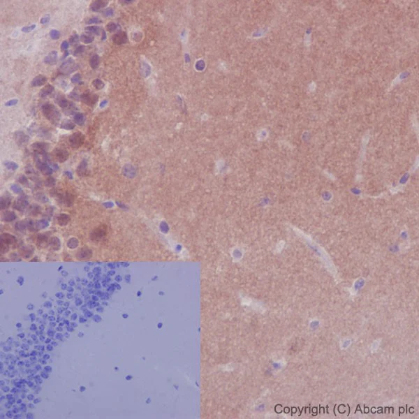
Immunohistochemistry (Formalin/PFA-fixed paraffin-embedded sections) - Anti-NTH1 antibody [EPR15930] - BSA and Azide free (AB236143)

Immunohistochemical analysis of paraffin-embedded Mouse brain tissue labeling NTH1 with ab191413 at 1/100 dilution, followed by prediluted HRP Polymer for Rabbit/Mouse IgG. Counter stained with Hematoxylin.

Negative control utilised PBS instead of ab191413.

This data was developed using the same antibody clone in a different buffer formulation containing PBS, BSA, glycerol, and sodium azide (ab191413).

Heat mediated antigen retrieval was performed with Tris/EDTA buffer pH 9.0 before commencing with IHC staining protocol.

Key facts

Host species

Rabbit

Clonality

Monoclonal

Clone number

EPR15930

Isotype

IgG

Carrier free

Yes

Reacts with

Mouse, Human

Applications

WB, ICC/IF, IHC-P

applications

Immunogen

The exact immunogen used to generate this antibody is proprietary information.

Reactivity data

{ "title": "Reactivity Data", "filters": { "stats": ["", "Species", "Dilution Info", "Notes"], "tabs": { "all-applications": {"fullname" : "All Applications", "shortname": "All Applications"}, "WB" : {"fullname" : "Western blot", "shortname":"WB"}, "ICCIF" : {"fullname" : "Immunocytochemistry/ Immunofluorescence", "shortname":"ICC/IF"}, "IHCP" : {"fullname" : "Immunohistochemistry (Formalin/PFA-fixed paraffin-embedded sections)", "shortname":"IHC-P"} }, "product-promise": { "all": "all", "testedAndGuaranteed": "tested", "guaranteed": "expected", "predicted": "predicted", "notRecommended": "not-recommended" } }, "values": { "Human": { "WB-species-checked": "guaranteed", "WB-species-dilution-info": "", "WB-species-notes": "<p></p>", "ICCIF-species-checked": "testedAndGuaranteed", "ICCIF-species-dilution-info": "", "ICCIF-species-notes": "<p></p>", "IHCP-species-checked": "testedAndGuaranteed", "IHCP-species-dilution-info": "", "IHCP-species-notes": "<p></p> Perform heat-mediated antigen retrieval with Tris/EDTA buffer pH 9.0 before commencing with IHC staining protocol." }, "Mouse": { "WB-species-checked": "guaranteed", "WB-species-dilution-info": "", "WB-species-notes": "<p></p> Perform heat-mediated antigen retrieval with Tris/EDTA buffer pH 9.0 before commencing with IHC staining protocol.", "ICCIF-species-checked": "predicted", "ICCIF-species-dilution-info": "", "ICCIF-species-notes": "", "IHCP-species-checked": "predicted", "IHCP-species-dilution-info": "", "IHCP-species-notes": "" }, "Rat": { "WB-species-checked": "predicted", "WB-species-dilution-info": "", "WB-species-notes": "", "ICCIF-species-checked": "predicted", "ICCIF-species-dilution-info": "", "ICCIF-species-notes": "", "IHCP-species-checked": "predicted", "IHCP-species-dilution-info": "", "IHCP-species-notes": "" } } }

Product details

ab236143 is the carrier-free version of ab191413.

Patented technology
Our RabMAb® technology is a patented hybridoma-based technology for making rabbit monoclonal antibodies. For details on our patents, please refer to RabMAb® patents.

What are the advantages of a recombinant monoclonal antibody?
This product is a recombinant monoclonal antibody, which offers several advantages including:

  • - High batch-to-batch consistency and reproducibility
  • - Improved sensitivity and specificity
  • - Long-term security of supply
  • - Animal-free batch production

For more information, read more on recombinant antibodies.

Conjugation ready
Our carrier-free antibodies are typically supplied in a PBS-only formulation, purified and free of BSA, sodium azide and glycerol. This conjugation-ready format is designed for use with fluorochromes, metal isotopes, oligonucleotides, and enzymes, which makes them ideal for antibody labelling, functional and cell-based assays, flow-based assays (e.g. mass cytometry) and Multiplex Imaging applications.

Use our conjugation kits for antibody conjugates that are ready-to-use in as little as 20 minutes with 1 minute hands-on-time and 100% antibody recovery: available for fluorescent dyes, HRP, biotin and gold.

Compatibility
This product is compatible with the Maxpar® Antibody Labeling Kit from Fluidigm, without the need for antibody preparation. Maxpar® is a trademark of Fluidigm Canada Inc.

Properties and storage information

Form
Liquid
Purification technique
Affinity purification Protein A
Storage buffer
pH: 7.2 - 7.4 Constituents: PBS
Shipped at conditions
Blue Ice
Appropriate short-term storage conditions
+4°C
Appropriate long-term storage conditions
+4°C
Storage information
Do Not Freeze

Supplementary information

This supplementary information is collated from multiple sources and compiled automatically.

The NTH1 protein also known as endonuclease III-like protein 1 functions as a DNA glycosylase involved in base excision repair. It plays a role in the repair of oxidative DNA damage. NTH1 has a molecular mass of approximately 33 kDa. This protein is located in various tissues throughout the human body but it shows higher expression in the testes heart and skeletal muscle. These expression patterns suggest its significance in oxidative stress response across different body systems.
Biological function summary

NTH1 removes oxidized pyrimidines from damaged DNA as part of its role in cellular repair mechanisms. As a component of the base excision repair pathway it tackles oxidative lesions to prevent mutation accumulation. It does not act as a complex with other proteins but operates after being recruited to relevant DNA sites requiring repair. This essential function keeps genomic integrity intact and allows for regular cellular processes.

Pathways

NTH1 plays an important role within the base excision repair and DNA damage response pathways. It cooperates with proteins such as APE1 which prepares the site for subsequent repair steps ensuring proper DNA maintenance. NTH1’s involvement in base excision repair specifically addresses small-scale oxidative damage highlighting its role in safeguarding genetic information. These pathways are fundamental for normal cell function and response to environmental stressors.

NTH1 has links to conditions involving accumulated DNA damage such as cancer and neurodegenerative diseases. DNA repair deficiency due to NTH1 malfunction can contribute to the onset of such diseases. The protein interacts with partners like OGG1 which also plays a role in oxidative DNA lesion recognition and repair to manage DNA stability. Understanding the dysfunction of NTH1 in these contexts helps in exploring potential therapeutic targets and diagnostic markers for related disorders.

Product protocols

For this product, it's our understanding that no specific protocols are required. You can visit:

Target data

Bifunctional DNA N-glycosylase with associated apurinic/apyrimidinic (AP) lyase function that catalyzes the first step in base excision repair (BER), the primary repair pathway for the repair of oxidative DNA damage (PubMed : 29610152, PubMed : 9927729). The DNA N-glycosylase activity releases the damaged DNA base from DNA by cleaving the N-glycosidic bond, leaving an AP site. The AP-lyase activity cleaves the phosphodiester bond 3' to the AP site by a beta-elimination. Primarily recognizes and repairs oxidative base damage of pyrimidines. Has also 8-oxo-7,8-dihydroguanine (8-oxoG) DNA glycosylase activity. Acts preferentially on DNA damage opposite guanine residues in DNA. Is able to process lesions in nucleosomes without requiring or inducing nucleosome disruption.
See full target information NTHL1

Product promise

We are committed to supporting your work with high-quality reagents, and we're here for you every step of the way. In the unlikely event that one of our products does not perform as expected, you're protected by our Product Promise.
For full details, please see our Terms & Conditions

Please note: All products are 'FOR RESEARCH USE ONLY. NOT FOR USE IN DIAGNOSTIC OR THERAPEUTIC PROCEDURES'.

For licensing inquiries, please contact partnerships@abcam.com