JavaScript is disabled in your browser. Please enable JavaScript to view this website.
AB314145

Anti-NTT4 antibody [EPR28520-77] - BSA and Azide free

Be the first to review this product! Submit a review

|

(0 Publication)

Rabbit Recombinant Monoclonal S6A17 antibody. Carrier free. Suitable for IHC-P, WB, IP, IHC-Fr, ICC/IF, I-ELISA and reacts with Human, Mouse, Rat, Recombinant fragment samples.

View Alternative Names

NTT4, SLC6A17, Sodium-dependent neutral amino acid transporter SLC6A17, Sodium-dependent neurotransmitter transporter NTT4, Solute carrier family 6 member 17

18 Images
Immunohistochemistry (Formalin/PFA-fixed paraffin-embedded sections) - Anti-NTT4 antibody [EPR28520-77] - BSA and Azide free (AB314145)
  • IHC-P

Supplier Data

Immunohistochemistry (Formalin/PFA-fixed paraffin-embedded sections) - Anti-NTT4 antibody [EPR28520-77] - BSA and Azide free (AB314145)

This data was developed using ab314144, the same antibody clone in a different buffer formulation. Immunohistochemical analysis of paraffin-embedded human cerebrum tissue labeling NTT4 with ab314144 at 1/500 (1.022 ug/ml) followed by a ready to use LeicaDS9800 (Bond™ Polymer Refine Detection). Positive staining on human cerebrum. The section was incubated with ab314144 for 30 mins at room temperature. The immunostaining was performed on a Leica Biosystems BOND® RX instrument. Counterstained with Hematoxylin. Secondary antibody only control : Secondary antibody is a ready to use LeicaDS9800 (Bond™ Polymer Refine Detection). Heat mediated antigen retrieval was performed with Tris-EDTA buffer (pH 9.0, Epitope Retrieval Solution2) for 20 mins.

Immunohistochemistry (Formalin/PFA-fixed paraffin-embedded sections) - Anti-NTT4 antibody [EPR28520-77] - BSA and Azide free (AB314145)
  • IHC-P

Supplier Data

Immunohistochemistry (Formalin/PFA-fixed paraffin-embedded sections) - Anti-NTT4 antibody [EPR28520-77] - BSA and Azide free (AB314145)

This data was developed using ab314144, the same antibody clone in a different buffer formulation. Immunohistochemical analysis of paraffin-embedded human liver tissue labeling NTT4 with ab314144 at 1/500 (1.022 ug/ml) followed by a ready to use LeicaDS9800 (Bond™ Polymer Refine Detection). Negative control : no staining on human liver. The section was incubated with ab314144 for 30 mins at room temperature. The immunostaining was performed on a Leica Biosystems BOND® RX instrument. Counterstained with Hematoxylin. Secondary antibody only control : Secondary antibody is a ready to use LeicaDS9800 (Bond™ Polymer Refine Detection). Heat mediated antigen retrieval was performed with Tris-EDTA buffer (pH 9.0, Epitope Retrieval Solution2) for 20 mins.

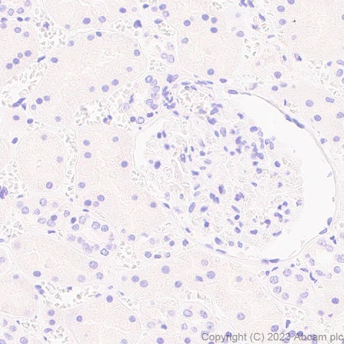
Immunohistochemistry (Formalin/PFA-fixed paraffin-embedded sections) - Anti-NTT4 antibody [EPR28520-77] - BSA and Azide free (AB314145)
  • IHC-P

Supplier Data

Immunohistochemistry (Formalin/PFA-fixed paraffin-embedded sections) - Anti-NTT4 antibody [EPR28520-77] - BSA and Azide free (AB314145)

This data was developed using ab314144, the same antibody clone in a different buffer formulation. Immunohistochemical analysis of paraffin-embedded human kidney tissue labeling NTT4 with ab314144 at 1/500 (1.022 ug/ml) followed by a ready to use LeicaDS9800 (Bond™ Polymer Refine Detection). Negative control : no staining on human kidney. The section was incubated with ab314144 for 30 mins at room temperature. The immunostaining was performed on a Leica Biosystems BOND® RX instrument. Counterstained with Hematoxylin. Secondary antibody only control : Secondary antibody is a ready to use LeicaDS9800 (Bond™ Polymer Refine Detection). Heat mediated antigen retrieval was performed with Tris-EDTA buffer (pH 9.0, Epitope Retrieval Solution2) for 20 mins.

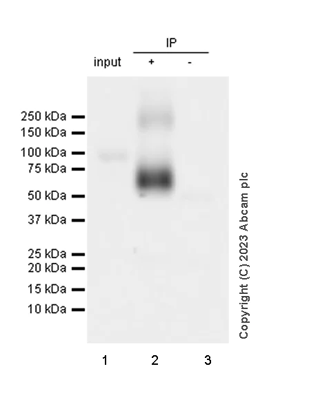
Immunoprecipitation - Anti-NTT4 antibody [EPR28520-77] - BSA and Azide free (AB314145)
  • IP

Supplier Data

Immunoprecipitation - Anti-NTT4 antibody [EPR28520-77] - BSA and Azide free (AB314145)

This data was developed using ab314144, the same antibody clone in a different buffer formulation. NTT4 was immunoprecipitated from 0.35 mg Human cerebellum tissue lysate with ab314144 at 1/30 dilution (2ug in 0.35mg lysates). Western blot was performed on the immunoprecipitate using ab314144 at 1/1000 dilution. VeriBlot for IP secondary antibody(HRP)(ab131366) was used at 1/5000 dilution. Lane 1 : Human cerebellum tissue lysate Lane 2 : Human cerebellum tissue lysate Lane 3 : Rabbit monoclonal IgG (ab172730) instead of ab314144 in human cerebellum tissue lysate Blocking and dilution buffer and concentration : 5% NFDM/TBST. Exposure time : 5.5 seconds

All lanes:

Immunoprecipitation - Anti-NTT4 antibody [EPR28520-77] (<a href='/en-us/products/primary-antibodies/ntt4-antibody-epr28520-77-ab314144'>ab314144</a>) at 1/30 dilution

All lanes:

Human cerebellum tissue lysate

Secondary

All lanes:

Immunoprecipitation - VeriBlot for IP Detection Reagent (HRP) (<a href='/en-us/products/reagents/veriblot-for-ip-detection-reagent-hrp-ab131366'>ab131366</a>) at 1/5000 dilution

false

Exposure time: 5.5s

Immunohistochemistry (Formalin/PFA-fixed paraffin-embedded sections) - Anti-NTT4 antibody [EPR28520-77] - BSA and Azide free (AB314145)
  • IHC-P

Supplier Data

Immunohistochemistry (Formalin/PFA-fixed paraffin-embedded sections) - Anti-NTT4 antibody [EPR28520-77] - BSA and Azide free (AB314145)

This data was developed using ab314144, the same antibody clone in a different buffer formulation. Immunohistochemical analysis of paraffin-embedded mouse cerebrum tissue labeling NTT4 with ab314144 at 1/100 (5.11 ug/ml) followed by a ready to use LeicaDS9800 (Bond™ Polymer Refine Detection). Positive staining on mouse cerebrum. The section was incubated with ab314144 for 30 mins at room temperature. The immunostaining was performed on a Leica Biosystems BOND® RX instrument. Counterstained with Hematoxylin. Secondary antibody only control : Secondary antibody is a ready to use LeicaDS9800 (Bond™ Polymer Refine Detection). Heat mediated antigen retrieval was performed with Tris-EDTA buffer (pH 9.0, Epitope Retrieval Solution2) for 20 mins.

Immunocytochemistry/ Immunofluorescence - Anti-NTT4 antibody [EPR28520-77] - BSA and Azide free (AB314145)
  • ICC/IF

Supplier Data

Immunocytochemistry/ Immunofluorescence - Anti-NTT4 antibody [EPR28520-77] - BSA and Azide free (AB314145)

This data was developed using ab314144, the same antibody clone in a different buffer formulation. Immunofluorescent analysis of 4% Paraformaldehyde-fixed, 0.1% TritonX-100 permeabilized mouse primary neuron cells labelling NTT4 with ab314144 at 1/50 (10.22 ug/ml) dilution, followed by ab150081 Goat Anti-Rabbit IgG H&L (Alexa Fluor® 488) preadsorbed antibody at 1/1000 2 ug/mL dilution (Green). Confocal image showing positive staining in mouse primary neuron. Confocal scanning Z step was set as 0.3 μm followed by image processing with maximum Z projection. Image was taken with a confocal microscope(Leica-Microsystems, TCS SP8). ab11267 Anti-MAP2 mouse monoclonal antibody was used to counterstain tubulin at 1/500 4ug/ml dilution (Red). The Nuclear counterstain was DAPI (Blue). Secondary antibody only control : Secondary antibody is ab150081 Goat Anti-Rabbit IgG H&L (Alexa Fluor® 488) preadsorbed at 1/1000 2 ug/mL dilution.

Immunohistochemistry (Frozen sections) - Anti-NTT4 antibody [EPR28520-77] - BSA and Azide free (AB314145)
  • IHC-Fr

Supplier Data

Immunohistochemistry (Frozen sections) - Anti-NTT4 antibody [EPR28520-77] - BSA and Azide free (AB314145)

This data was developed using ab314144, the same antibody clone in a different buffer formulation. Immunohistochemical analysis of 4% PFA-fixed, 0.2% Triton X-100 permeabilized frozen mouse cerebrum (fresh) tissue labeling NTT4 with ab314144 at 1100 (5.11 ugml) dilution followed by ab150081 Goat Anti-Rabbit IgG H&L (Alexa Fluor® 488) preadsorbed at 1/1000 (2 ug/mL) dilution (Green). Confocal image showing positive staining on mouse cerebrum. The nuclear counterstain was DAPI (Blue). The section was incubated with ab314144 for 60 mins at room temperature. The section was then mounted using Fluoromount®. The immunostaining was performed on a Leica Biosystems BOND® RX instrument. Image was taken with a confocal microscope (Leica-Microsystems, TCS SP8). The nuclear counterstain was DAPI (Blue). Secondary antibody control : Secondary antibody is ab150081 Goat Anti-Rabbit IgG H&L (Alexa Fluor® 488) preadsorbedat 1/1000 (2 ug/mL) dilution.

Immunohistochemistry (Frozen sections) - Anti-NTT4 antibody [EPR28520-77] - BSA and Azide free (AB314145)
  • IHC-Fr

Supplier Data

Immunohistochemistry (Frozen sections) - Anti-NTT4 antibody [EPR28520-77] - BSA and Azide free (AB314145)

This data was developed using ab314144, the same antibody clone in a different buffer formulation. Immunohistochemical analysis of 4% PFA-fixed, 0.2% Triton X-100 permeabilized frozen rat cerebrum (fresh) tissue labeling NTT4 with ab314144 at 1100 (5.11 ugml) dilution followed by ab150081 Goat Anti-Rabbit IgG H&L (Alexa Fluor® 488) preadsorbed at 1/1000 (2 ug/mL) dilution (Green). Confocal image showing positive staining on rat cerebrum. The nuclear counterstain was DAPI (Blue). The section was incubated with ab314144 for 60 mins at room temperature. The section was then mounted using Fluoromount®. The immunostaining was performed on a Leica Biosystems BOND® RX instrument. Image was taken with a confocal microscope (Leica-Microsystems, TCS SP8). The nuclear counterstain was DAPI (Blue). Secondary antibody control : Secondary antibody is ab150081 Goat Anti-Rabbit IgG H&L (Alexa Fluor® 488) preadsorbedat 1/1000 (2 ug/mL) dilution.

Immunocytochemistry/ Immunofluorescence - Anti-NTT4 antibody [EPR28520-77] - BSA and Azide free (AB314145)
  • ICC/IF

Supplier Data

Immunocytochemistry/ Immunofluorescence - Anti-NTT4 antibody [EPR28520-77] - BSA and Azide free (AB314145)

This data was developed using ab314144, the same antibody clone in a different buffer formulation. Immunofluorescent analysis of 4% Paraformaldehyde-fixed, 0.1% TritonX-100 permeabilized rat primary neuron cells labelling NTT4 with ab314144 at 1/50 (10.22 ug/ml) dilution, followed by ab150081 Goat Anti-Rabbit IgG H&L (Alexa Fluor® 488) preadsorbed antibody at 1/1000 2 ug/mL dilution (Green). Confocal image showing positive staining in rat primary neuron.Confocal scanning Z step was set as 0.3 μm followed by image processing with maximum Z projection.Image was taken with a confocal microscope(Leica-Microsystems, TCS SP8).ab11267 Anti-MAP2 mouse monoclonal antibody was used to counterstain tubulin at 1/500 4ug/ml dilution (Red). The Nuclear counterstain was DAPI (Blue). Secondary antibody only control : Secondary antibody is ab150081 Goat Anti-Rabbit IgG H&L (Alexa Fluor® 488) preadsorbed at 1/1000 2 ug/mL dilution.

Immunohistochemistry (Formalin/PFA-fixed paraffin-embedded sections) - Anti-NTT4 antibody [EPR28520-77] - BSA and Azide free (AB314145)
  • IHC-P

Supplier Data

Immunohistochemistry (Formalin/PFA-fixed paraffin-embedded sections) - Anti-NTT4 antibody [EPR28520-77] - BSA and Azide free (AB314145)

This data was developed using ab314144, the same antibody clone in a different buffer formulation. Immunohistochemical analysis of paraffin-embedded mouse cerebrum tissue labeling NTT4 with ab314144 at 1/100 (5.11 ug/ml) followed by a ready to use LeicaDS9800 (Bond™ Polymer Refine Detection). Positive staining on mouse cerebrum. The section was incubated with ab314144 for 30 mins at room temperature. The immunostaining was performed on a Leica Biosystems BOND® RX instrument. Counterstained with Hematoxylin. Secondary antibody only control : Secondary antibody is a ready to use LeicaDS9800 (Bond™ Polymer Refine Detection). Heat mediated antigen retrieval was performed with Tris-EDTA buffer (pH 9.0, Epitope Retrieval Solution2) for 20 mins.

Immunohistochemistry (Frozen sections) - Anti-NTT4 antibody [EPR28520-77] - BSA and Azide free (AB314145)
  • IHC-Fr

Supplier Data

Immunohistochemistry (Frozen sections) - Anti-NTT4 antibody [EPR28520-77] - BSA and Azide free (AB314145)

This data was developed using ab314144, the same antibody clone in a different buffer formulation. Immunohistochemical analysis of 4% PFA-fixed, 0.2% Triton X-100 permeabilized frozen mouse kidney (fresh) tissue labeling NTT4 with ab314144 at 1100 (5.11 ugml) dilution followed by ab150081 Goat Anti-Rabbit IgG H&L (Alexa Fluor® 488) preadsorbed at 1/1000 (2 ug/mL) dilution (Green). Negative control : confocal image showing no staining on mouse kidney (PMID : 23672601). The nuclear counterstain was DAPI (Blue). The section was incubated with ab314144 for 60 mins at room temperature. The section was then mounted using Fluoromount®. The immunostaining was performed on a Leica Biosystems BOND® RX instrument. Image was taken with a confocal microscope (Leica-Microsystems, TCS SP8). The nuclear counterstain was DAPI (Blue). Secondary antibody control : Secondary antibody is ab150081 Goat Anti-Rabbit IgG H&L (Alexa Fluor® 488) preadsorbedat 1/1000 (2 ug/mL) dilution.

Immunohistochemistry (Frozen sections) - Anti-NTT4 antibody [EPR28520-77] - BSA and Azide free (AB314145)
  • IHC-Fr

Supplier Data

Immunohistochemistry (Frozen sections) - Anti-NTT4 antibody [EPR28520-77] - BSA and Azide free (AB314145)

This data was developed using ab314144, the same antibody clone in a different buffer formulation. Immunohistochemical analysis of 4% PFA-fixed, 0.2% Triton X-100 permeabilized frozen rat kidney (fresh) tissue labeling NTT4 with ab314144 at 1100 (5.11 ugml) dilution followed by ab150081 Goat Anti-Rabbit IgG H&L (Alexa Fluor® 488) preadsorbed at 1/1000 (2 ug/mL) dilution (Green). Negative control : confocal image showing no staining on rat kidney (PMID : 23672601). The nuclear counterstain was DAPI (Blue). The section was incubated with ab314144 for 60 mins at room temperature. The section was then mounted using Fluoromount®. The immunostaining was performed on a Leica Biosystems BOND® RX instrument. Image was taken with a confocal microscope (Leica-Microsystems, TCS SP8). The nuclear counterstain was DAPI (Blue). Secondary antibody control : Secondary antibody is ab150081 Goat Anti-Rabbit IgG H&L (Alexa Fluor® 488) preadsorbedat 1/1000 (2 ug/mL) dilution.

Immunohistochemistry (Formalin/PFA-fixed paraffin-embedded sections) - Anti-NTT4 antibody [EPR28520-77] - BSA and Azide free (AB314145)
  • IHC-P

Supplier Data

Immunohistochemistry (Formalin/PFA-fixed paraffin-embedded sections) - Anti-NTT4 antibody [EPR28520-77] - BSA and Azide free (AB314145)

This data was developed using ab314144, the same antibody clone in a different buffer formulation. Immunohistochemical analysis of paraffin-embedded Rat cerebellum tissue labeling NTT4 with ab314144 at 1/100 (5.11 ug/ml) followed by a ready to use LeicaDS9800 (Bond™ Polymer Refine Detection). Positive staining on rat cerebrum. The section was incubated with ab314144 for 30 mins at room temperature. The immunostaining was performed on a Leica Biosystems BOND® RX instrument. Counterstained with Hematoxylin. Secondary antibody only control : Secondary antibody is a ready to use LeicaDS9800 (Bond™ Polymer Refine Detection). Heat mediated antigen retrieval was performed with Tris-EDTA buffer (pH 9.0, Epitope Retrieval Solution2) for 20 mins.

Immunoprecipitation - Anti-NTT4 antibody [EPR28520-77] - BSA and Azide free (AB314145)
  • IP

Supplier Data

Immunoprecipitation - Anti-NTT4 antibody [EPR28520-77] - BSA and Azide free (AB314145)

This data was developed using ab314144, the same antibody clone in a different buffer formulation. NTT4 was immunoprecipitated from 0.35 mg Mouse brain tissue lysate with ab314144 at 1/30 dilution (2ug in 0.35mg lysates). Western blot was performed on the immunoprecipitate using ab314144 at 1/1000 dilution. VeriBlot for IP secondary antibody(HRP)(ab131366) was used at 1/5000 dilution. Lane 1 : Mouse brain tissue lysate Lane 2 : Mouse brain tissue lysate Lane 3 : Rabbit monoclonal IgG (ab172730) instead of ab314144 in mouse brain tissue lysate Blocking and dilution buffer and concentration : 5% NFDM/TBST. Exposure time : 10 seconds

All lanes:

Immunoprecipitation - Anti-NTT4 antibody [EPR28520-77] (<a href='/en-us/products/primary-antibodies/ntt4-antibody-epr28520-77-ab314144'>ab314144</a>) at 1/30 dilution

All lanes:

Mouse brain tissue lysate

Secondary

All lanes:

Immunoprecipitation - VeriBlot for IP Detection Reagent (HRP) (<a href='/en-us/products/reagents/veriblot-for-ip-detection-reagent-hrp-ab131366'>ab131366</a>) at 1/5000 dilution

false

Exposure time: 10s

Western blot - Anti-NTT4 antibody [EPR28520-77] - BSA and Azide free (AB314145)
  • WB

Lab

Western blot - Anti-NTT4 antibody [EPR28520-77] - BSA and Azide free (AB314145)

This data was developed using ab314144, the same antibody clone in a different buffer formulation.

Samples are non-boiled as boiling may cause protein aggregation.

All lanes:

Western blot - Anti-NTT4 antibody [EPR28520-77] (<a href='/en-us/products/primary-antibodies/ntt4-antibody-epr28520-77-ab314144'>ab314144</a>) at 1/1000 dilution

Lane 1:

Human hypothalamus tissue lysate at 20 µg

Lane 2:

Mouse hypothalamustissue lysate at 20 µg

Lane 3:

Mouse brain tissue lysate at 20 µg

Lane 4:

Mouse hippocampus tissue lysate at 20 µg

Lane 5:

Rat hypothalamus tissue lysate at 20 µg

Lane 6:

Rat brain tissue lysate at 20 µg

Lane 7:

Rat hippocampus tissue lysate at 20 µg

Secondary

All lanes:

Goat Anti-Rabbit IgG (HRP) with minimal cross-reactivity with human IgG at 1/2000 dilution

Observed band size: 75 kDa

false

Exposure time: 100s

Western blot - Anti-NTT4 antibody [EPR28520-77] - BSA and Azide free (AB314145)
  • WB

Supplier Data

Western blot - Anti-NTT4 antibody [EPR28520-77] - BSA and Azide free (AB314145)

This data was developed using ab314144, the same antibody clone in a different buffer formulation.

Blocking and diluting buffer and concentration : 5% NFDM/TBST.

Negative control : liver, kidney (PMID : 23672601).

The expression profile observed is consistent with what has been described in literature (PMID : 23672601).

Samples are non-boiled as boiling may cause protein aggregation.

This blot was developed using a high sensitivity ECL substrate. The high-sensitivity ECL substrate used allows for the detection of proteins in the mid-femtogram range.

In Western blot, Anti-GAPDH antibody [EPR16891] - Loading Control (ab181602) staining at 1/200000 dilution.

All lanes:

Western blot - Anti-NTT4 antibody [EPR28520-77] (<a href='/en-us/products/primary-antibodies/ntt4-antibody-epr28520-77-ab314144'>ab314144</a>) at 1/1000 dilution

Lane 1:

Human cerebellum tissue lysate at 20 µg

Lane 2:

Human hypothalamus tissue lysate at 20 µg

Lane 3:

Human spinal cord tissue lysate at 20 µg

Lane 4:

Human kidney tissue lysate at 20 µg

Lane 5:

Human liver tissue lysate at 20 µg

Secondary

All lanes:

Goat Anti-Rabbit IgG (HRP) with minimal cross-reactivity with human IgG at 1/2000 dilution

Observed band size: 75 kDa

true

Exposure time: 59s

Western blot - Anti-NTT4 antibody [EPR28520-77] - BSA and Azide free (AB314145)
  • WB

Supplier Data

Western blot - Anti-NTT4 antibody [EPR28520-77] - BSA and Azide free (AB314145)

This data was developed using ab314144, the same antibody clone in a different buffer formulation. Blocking and diluting buffer and concentration : 5% NFDM/TBST NTT4 detected a shift from 75kDa to 65kDa band after deglycosylation treatment. Samples are non-boiled as boiling may cause protein aggregation. In Western blot, Anti-GAPDH antibody [EPR16891] - Loading Control (ab181602) staining at 1/200000 dilution. Exposure time : 180 seconds

All lanes:

Western blot - Anti-NTT4 antibody [EPR28520-77] (<a href='/en-us/products/primary-antibodies/ntt4-antibody-epr28520-77-ab314144'>ab314144</a>) at 1/1000 dilution

Lane 1:

Untreated mouse brain tissue lysate at 20 µg

Lane 2:

Mouse brain tissue lysate treated with Protein treated with Peptide:N-glycosidase F (PNGase F) at 20 µg

Secondary

All lanes:

Western blot - Goat Anti-Rabbit IgG H&L (HRP) (<a href='/en-us/products/secondary-antibodies/goat-rabbit-igg-h-l-hrp-ab97051'>ab97051</a>) at 1/20000 dilution

Observed band size: 75 kDa

false

Exposure time: 180s

Indirect ELISA - Anti-NTT4 antibody [EPR28520-77] - BSA and Azide free (AB314145)
  • I-ELISA

Supplier Data

Indirect ELISA - Anti-NTT4 antibody [EPR28520-77] - BSA and Azide free (AB314145)

This data was developed using ab314144, the same antibody clone in a different buffer formulation.

Indirect ELISA analysis of ab314144 at 1000-0 ng/ml. The Secondary antibody used was Alkaline Phosphatase-conjugated AffiniPure Goat Anti-Rabbit IgG (H+L) at 1 : 2500 dilution.
Antigen : NTT4.
Antigen concentration : 1000 ng/ml

Key facts

Host species

Rabbit

Clonality

Monoclonal

Clone number

EPR28520-77

Isotype

IgG

Carrier free

Yes

Reacts with

Human, Mouse, Rat

Applications

IHC-P, IHC-Fr, ICC/IF, IP, WB, I-ELISA

applications

Immunogen

The exact immunogen used to generate this antibody is proprietary information.

Reactivity data

{ "title": "Reactivity Data", "filters": { "stats": ["", "Species", "Dilution Info", "Notes"], "tabs": { "all-applications": {"fullname" : "All Applications", "shortname": "All Applications"}, "IHCP" : {"fullname" : "Immunohistochemistry (Formalin/PFA-fixed paraffin-embedded sections)", "shortname":"IHC-P"}, "WB" : {"fullname" : "Western blot", "shortname":"WB"}, "IP" : {"fullname" : "Immunoprecipitation", "shortname":"IP"}, "IHCFr" : {"fullname" : "Immunohistochemistry (Frozen sections)", "shortname":"IHC-Fr"}, "ICCIF" : {"fullname" : "Immunocytochemistry/ Immunofluorescence", "shortname":"ICC/IF"}, "IELISA" : {"fullname" : "Indirect ELISA", "shortname":"I-ELISA"}, "FlowCyt" : {"fullname" : "Flow Cytometry", "shortname":"Flow Cyt"} }, "product-promise": { "all": "all", "testedAndGuaranteed": "tested", "guaranteed": "expected", "predicted": "predicted", "notRecommended": "not-recommended" } }, "values": { "Human": { "IHCP-species-checked": "testedAndGuaranteed", "IHCP-species-dilution-info": "", "IHCP-species-notes": "<p></p>", "WB-species-checked": "testedAndGuaranteed", "WB-species-dilution-info": "", "WB-species-notes": "<p></p>", "IP-species-checked": "testedAndGuaranteed", "IP-species-dilution-info": "", "IP-species-notes": "<p></p>", "IHCFr-species-checked": "guaranteed", "IHCFr-species-dilution-info": "", "IHCFr-species-notes": "", "ICCIF-species-checked": "guaranteed", "ICCIF-species-dilution-info": "", "ICCIF-species-notes": "", "IELISA-species-checked": "guaranteed", "IELISA-species-dilution-info": "", "IELISA-species-notes": "", "FlowCyt-species-checked": "notRecommended", "FlowCyt-species-dilution-info": "", "FlowCyt-species-notes": "<p></p>" }, "Mouse": { "IHCP-species-checked": "testedAndGuaranteed", "IHCP-species-dilution-info": "", "IHCP-species-notes": "<p></p>", "WB-species-checked": "testedAndGuaranteed", "WB-species-dilution-info": "", "WB-species-notes": "<p></p>", "IP-species-checked": "testedAndGuaranteed", "IP-species-dilution-info": "", "IP-species-notes": "<p></p>", "IHCFr-species-checked": "testedAndGuaranteed", "IHCFr-species-dilution-info": "", "IHCFr-species-notes": "<p></p>", "ICCIF-species-checked": "testedAndGuaranteed", "ICCIF-species-dilution-info": "", "ICCIF-species-notes": "<p></p>", "IELISA-species-checked": "guaranteed", "IELISA-species-dilution-info": "", "IELISA-species-notes": "", "FlowCyt-species-checked": "notRecommended", "FlowCyt-species-dilution-info": "", "FlowCyt-species-notes": "<p></p>" }, "Rat": { "IHCP-species-checked": "testedAndGuaranteed", "IHCP-species-dilution-info": "", "IHCP-species-notes": "<p></p>", "WB-species-checked": "testedAndGuaranteed", "WB-species-dilution-info": "", "WB-species-notes": "<p></p>", "IP-species-checked": "guaranteed", "IP-species-dilution-info": "", "IP-species-notes": "", "IHCFr-species-checked": "testedAndGuaranteed", "IHCFr-species-dilution-info": "", "IHCFr-species-notes": "<p></p>", "ICCIF-species-checked": "testedAndGuaranteed", "ICCIF-species-dilution-info": "", "ICCIF-species-notes": "<p></p>", "IELISA-species-checked": "guaranteed", "IELISA-species-dilution-info": "", "IELISA-species-notes": "", "FlowCyt-species-checked": "notRecommended", "FlowCyt-species-dilution-info": "", "FlowCyt-species-notes": "<p></p>" }, "Recombinant fragment": { "IHCP-species-checked": "notRecommended", "IHCP-species-dilution-info": "", "IHCP-species-notes": "", "WB-species-checked": "notRecommended", "WB-species-dilution-info": "", "WB-species-notes": "", "IP-species-checked": "notRecommended", "IP-species-dilution-info": "", "IP-species-notes": "", "IHCFr-species-checked": "notRecommended", "IHCFr-species-dilution-info": "", "IHCFr-species-notes": "", "ICCIF-species-checked": "notRecommended", "ICCIF-species-dilution-info": "", "ICCIF-species-notes": "", "IELISA-species-checked": "testedAndGuaranteed", "IELISA-species-dilution-info": "", "IELISA-species-notes": "<p></p>", "FlowCyt-species-checked": "notRecommended", "FlowCyt-species-dilution-info": "", "FlowCyt-species-notes": "" } } }

Product details

ab314145 is the carrier-free version of ab314144.

Patented technology
Our RabMAb® technology is a patented hybridoma-based technology for making rabbit monoclonal antibodies. For details on our patents, please refer to RabMAb® patents.

What are the advantages of a recombinant monoclonal antibody?
This product is a recombinant monoclonal antibody, which offers several advantages including:

  • - High batch-to-batch consistency and reproducibility
  • - Improved sensitivity and specificity
  • - Long-term security of supply
  • - Animal-free batch production

For more information, read more on recombinant antibodies.

Conjugation ready
Our carrier-free antibodies are typically supplied in a PBS-only formulation, purified and free of BSA, sodium azide and glycerol. This conjugation-ready format is designed for use with fluorochromes, metal isotopes, oligonucleotides, and enzymes, which makes them ideal for antibody labelling, functional and cell-based assays, flow-based assays (e.g. mass cytometry) and Multiplex Imaging applications.

Use our conjugation kits for antibody conjugates that are ready-to-use in as little as 20 minutes with 1 minute hands-on-time and 100% antibody recovery: available for fluorescent dyes, HRP, biotin and gold.

Compatibility
This product is compatible with the Maxpar® Antibody Labeling Kit from Fluidigm, without the need for antibody preparation. Maxpar® is a trademark of Fluidigm Canada Inc.

Properties and storage information

Form
Liquid
Purification technique
Affinity purification Protein A
Storage buffer
pH: 7.2 - 7.4 Constituents: PBS
Shipped at conditions
Blue Ice
Appropriate short-term storage conditions
+4°C
Appropriate long-term storage conditions
+4°C

Supplementary information

This supplementary information is collated from multiple sources and compiled automatically.

NTT4 also known as SLC6A17 is a sodium-dependent neurotransmitter transporter. This protein has a mass of approximately 70 kDa and is found primarily in the brain's cortical and hippocampal regions. It facilitates the uptake of neutral amino acids by neurons. The transport mechanism involves moving neurotransmitter molecules across cell membranes influencing synaptic communication.
Biological function summary

The function of NTT4 involves its role in the reuptake of amino acids critical for neurotransmission. As a member of the solute carrier family 6 (SLC6) NTT4 operates as part of a larger transporter complex system. It ensures that neurons maintain proper concentrations of neurotransmitters which are necessary for effective synaptic transmission and neuronal communication.

Pathways

NTT4 functions within the neurotransmitter transport and synaptic signaling pathways. It closely interacts with proteins such as glutamate and GABA transporters contributing to maintaining excitatory and inhibitory balance in the central nervous system. This balance is important for normal cognitive functions and prevents neurological dysregulation.

NTT4 is linked to neurological conditions like schizophrenia and epilepsy. A disruption in this transporter’s function can lead to imbalances in neurotransmitter levels which are implicated in these diseases. Related proteins like dopamine and serotonin transporters often show functional linkages with NTT4 in the pathological states of these psychiatric and neurological disorders.

Product protocols

For this product, it's our understanding that no specific protocols are required. You can visit:

Target data

Synaptic vesicle transporter with apparent selectivity for neutral amino acids. The transport is sodium-coupled but chloride-independent, likely driven by the proton electrochemical gradient generated by vacuolar H(+)-ATPase in an overall electrogenic mechanism. May contribute to the synaptic uptake of neurotransmitter precursors in a process coupled in part to vesicle exocytosis.
See full target information SLC6A17

Product promise

We are committed to supporting your work with high-quality reagents, and we're here for you every step of the way. In the unlikely event that one of our products does not perform as expected, you're protected by our Product Promise.
For full details, please see our Terms & Conditions

Please note: All products are 'FOR RESEARCH USE ONLY. NOT FOR USE IN DIAGNOSTIC OR THERAPEUTIC PROCEDURES'.

For licensing inquiries, please contact partnerships@abcam.com