JavaScript is disabled in your browser. Please enable JavaScript to view this website.
AB319148

Anti-NUAK1/ARK5 antibody [EPR28626-53]

Be the first to review this product! Submit a review

|

(0 Publication)

Rabbit Recombinant Monoclonal ARK5 antibody. Suitable for Dot, WB and reacts with Recombinant fragment - Human, Human samples.

View Alternative Names

ARK5, KIAA0537, OMPHK1, NUAK1, NUAK family SNF1-like kinase 1, AMPK-related protein kinase 5, Omphalocele kinase 1

3 Images
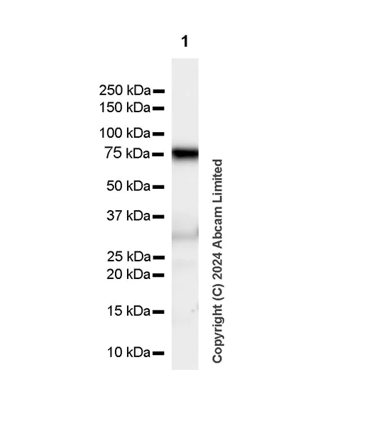
Western blot - Anti-NUAK1/ARK5 antibody [EPR28626-53] (AB319148)
  • WB

Supplier Data

Western blot - Anti-NUAK1/ARK5 antibody [EPR28626-53] (AB319148)

Blocking and dilution buffer and concentration : 5% NFDM/TBST

All lanes:

Western blot - Anti-NUAK1/ARK5 antibody [EPR28626-53] (ab319148) at 1/1000 dilution

All lanes:

Human brain tissue lysate at 20 µg

Secondary

All lanes:

Goat Anti-Rabbit IgG (HRP) with minimal cross-reactivity with human IgG at 1/2000 dilution

Observed band size: 74 kDa

false

Exposure time: 37s

Western blot - Anti-NUAK1/ARK5 antibody [EPR28626-53] (AB319148)
  • WB

Supplier Data

Western blot - Anti-NUAK1/ARK5 antibody [EPR28626-53] (AB319148)

Low expression : HUVEC (PMID : 32873786), HepG2 (PMID : 14982852), Raji.

In Western blot, Anti-GAPDH antibody [EPR16891] - Loading Control (ab181602) staining at 1/200000 dilution.

Blocking and dilution buffer and concentration : 5% NFDM/TBST

All lanes:

Western blot - Anti-NUAK1/ARK5 antibody [EPR28626-53] (ab319148) at 1/1000 dilution

Lane 1:

A549 (human lung carcinoma epithelial cell) whole cell lysate at 60 µg

Lane 2:

SW480 (human colorectal adenocarcinoma epithelial cell) whole cell lysate at 60 µg

Lane 3:

NCI-H1299 (human lung carcinoma epithelial cell) whole cell lysate at 60 µg

Lane 4:

PC-3 (human prostate adenocarcinoma epithelial cell) whole cell lysate at 60 µg

Lane 5:

L-929 (mouse connective tissue fibroblast) whole cell lysate at 60 µg

Lane 6:

U-2 OS (human bone osteosarcoma epithelial cell) whole cell lysate at 60 µg

Lane 7:

HUVEC (human umbilical vein endothelial cell) whole cell lysate at 60 µg

Lane 8:

HepG2 (human hepatocellar carcinoma epithelial cell) whole cell lysate at 60 µg

Lane 9:

Raji (human Burkitts lymphoma B lymphocyte) whole cell lysate at 60 µg

Secondary

All lanes:

Western blot - Goat Anti-Rabbit IgG H&L (HRP) (<a href='/en-us/products/secondary-antibodies/goat-rabbit-igg-h-l-hrp-ab97051'>ab97051</a>) at 1/20000 dilution

Observed band size: 74 kDa,36 kDa

false

Exposure time: 81s

Dot Blot - Anti-NUAK1/ARK5 antibody [EPR28626-53] (AB319148)
  • Dot

Supplier Data

Dot Blot - Anti-NUAK1/ARK5 antibody [EPR28626-53] (AB319148)

Dot blot analysis of NUAK1/ARK5 using ab319148 at 1 : 1000 (0.503 ug/ml) followed by a Goat Anti-Rabbit IgG, (H+L), Peroxidase conjugated (ab97051) at 1 : 100,000 dilution.

Blocking and diluting buffer and concentration : 5% NFDM/TBST.

This antibody does not cross-react with human NUAK2.

All lanes:

Dot Blot - Anti-NUAK1/ARK5 antibody [EPR28626-53] (ab319148) at 1/1000 dilution

Lane 1:

His-tagged human NUAK1/ARK5 fragment

Lane 2:

Untagged human NUAK2 fragment

Secondary

All lanes:

Dot Blot - Goat Anti-Rabbit IgG H&L (HRP) (<a href='/en-us/products/secondary-antibodies/goat-rabbit-igg-h-l-hrp-ab97051'>ab97051</a>) at 1/100000 dilution

false

Exposure time: 180s

Key facts

Host species

Rabbit

Clonality

Monoclonal

Clone number

EPR28626-53

Isotype

IgG

Carrier free

No

Reacts with

Human

Applications

Dot, WB

applications

Immunogen

The exact immunogen used to generate this antibody is proprietary information.

Specificity

This antibody does not cross-react with human NUAK2 by dot blot.

Reactivity data

{ "title": "Reactivity Data", "filters": { "stats": ["", "Species", "Dilution Info", "Notes"], "tabs": { "all-applications": {"fullname" : "All Applications", "shortname": "All Applications"}, "Dot" : {"fullname" : "Dot Blot", "shortname":"Dot"}, "WB" : {"fullname" : "Western blot", "shortname":"WB"}, "ICCIF" : {"fullname" : "Immunocytochemistry/ Immunofluorescence", "shortname":"ICC/IF"}, "IHCP" : {"fullname" : "Immunohistochemistry (Formalin/PFA-fixed paraffin-embedded sections)", "shortname":"IHC-P"} }, "product-promise": { "all": "all", "testedAndGuaranteed": "tested", "guaranteed": "expected", "predicted": "predicted", "notRecommended": "not-recommended" } }, "values": { "Human": { "Dot-species-checked": "guaranteed", "Dot-species-dilution-info": "", "Dot-species-notes": "", "WB-species-checked": "testedAndGuaranteed", "WB-species-dilution-info": "1/1000", "WB-species-notes": "<p></p>", "ICCIF-species-checked": "notRecommended", "ICCIF-species-dilution-info": "", "ICCIF-species-notes": "<p></p>", "IHCP-species-checked": "notRecommended", "IHCP-species-dilution-info": "", "IHCP-species-notes": "<p></p>" }, "Mouse": { "Dot-species-checked": "notRecommended", "Dot-species-dilution-info": "", "Dot-species-notes": "", "WB-species-checked": "notRecommended", "WB-species-dilution-info": "", "WB-species-notes": "", "ICCIF-species-checked": "notRecommended", "ICCIF-species-dilution-info": "", "ICCIF-species-notes": "<p></p>", "IHCP-species-checked": "notRecommended", "IHCP-species-dilution-info": "", "IHCP-species-notes": "<p></p>" }, "Recombinant fragment - Human": { "Dot-species-checked": "testedAndGuaranteed", "Dot-species-dilution-info": "", "Dot-species-notes": "<p></p>", "WB-species-checked": "notRecommended", "WB-species-dilution-info": "", "WB-species-notes": "", "ICCIF-species-checked": "notRecommended", "ICCIF-species-dilution-info": "", "ICCIF-species-notes": "", "IHCP-species-checked": "notRecommended", "IHCP-species-dilution-info": "", "IHCP-species-notes": "" } } }

Product details

Patented technology
Our RabMAb® technology is a patented hybridoma-based technology for making rabbit monoclonal antibodies. For details on our patents, please refer to RabMAb® patents.

What are the advantages of a recombinant monoclonal antibody?
This product is a recombinant monoclonal antibody, which offers several advantages including:

  • - High batch-to-batch consistency and reproducibility
  • - Improved sensitivity and specificity
  • - Long-term security of supply
  • - Animal-free batch production

For more information, read more on recombinant antibodies.

Properties and storage information

Form
Liquid
Purification technique
Affinity purification Protein A
Storage buffer
pH: 7.2 - 7.4 Preservative: 0.01% Sodium azide Constituents: PBS, 40% Glycerol (glycerin, glycerine), 0.05% BSA
Shipped at conditions
Blue Ice
Appropriate short-term storage duration
1-2 weeks
Appropriate short-term storage conditions
+4°C
Appropriate long-term storage conditions
-20°C
Aliquoting information
Upon delivery aliquot
Storage information
Avoid freeze / thaw cycle

Supplementary information

This supplementary information is collated from multiple sources and compiled automatically.

NUAK1 also known as ARK5 is a protein kinase with an approximate molecular mass of 72 kDa. It belongs to the AMP-activated protein kinase (AMPK) family. This kinase is expressed in various tissues including the brain liver and skeletal muscle. NUAK1 plays a mechanical role by phosphorylating substrates which leads to modulation of their activity and localization. It interacts with cellular structures by influencing cytoskeletal dynamics cell adhesion and polarity.
Biological function summary

NUAK1 influences cell survival proliferation and metabolism by interacting with other proteins. It is not part of a stable complex but its activity affects many cellular processes. NUAK1 has a part in cellular responses to metabolic stress which helps cells to maintain energy homeostasis. By regulating processes such as apoptosis and autophagy NUAK1 impacts critical cellular functions.

Pathways

NUAK1 participates in the LKB1-AMPK signaling pathway. It acts downstream of LKB1 a tumor suppressor that activates AMPK-related kinases. This pathway is central to energy balance and metabolic control linking to cellular metabolism through substrates like ACC and mTOR. NUAK1 also has interactions with protein kinases like PKA through related signaling which further integrates its functions across cellular processes.

NUAK1 associates with cancer and metabolic disorders. In cancer its overactivity may drive tumor growth and metastasis by promoting cell survival pathways. NUAK1 has links with proteins such as MYC and Cyclin D which are important for cell cycle regulation. In metabolic disorders abnormalities in NUAK1 signaling can affect glucose uptake and insulin sensitivity associating it with conditions like type 2 diabetes. These findings make NUAK1 an interesting target for therapeutic research in these diseases.

Product protocols

For this product, it's our understanding that no specific protocols are required. You can visit:

Target data

Serine/threonine-protein kinase involved in various processes such as cell adhesion, regulation of cell ploidy and senescence, cell proliferation and tumor progression. Phosphorylates ATM, CASP6, LATS1, PPP1R12A and p53/TP53. Acts as a regulator of cellular senescence and cellular ploidy by mediating phosphorylation of 'Ser-464' of LATS1, thereby controlling its stability. Controls cell adhesion by regulating activity of the myosin protein phosphatase 1 (PP1) complex. Acts by mediating phosphorylation of PPP1R12A subunit of myosin PP1 : phosphorylated PPP1R12A then interacts with 14-3-3, leading to reduced dephosphorylation of myosin MLC2 by myosin PP1. May be involved in DNA damage response : phosphorylates p53/TP53 at 'Ser-15' and 'Ser-392' and is recruited to the CDKN1A/WAF1 promoter to participate in transcription activation by p53/TP53. May also act as a tumor malignancy-associated factor by promoting tumor invasion and metastasis under regulation and phosphorylation by AKT1. Suppresses Fas-induced apoptosis by mediating phosphorylation of CASP6, thereby suppressing the activation of the caspase and the subsequent cleavage of CFLAR. Regulates UV radiation-induced DNA damage response mediated by CDKN1A. In association with STK11, phosphorylates CDKN1A in response to UV radiation and contributes to its degradation which is necessary for optimal DNA repair (PubMed : 25329316).
See full target information NUAK1

Product promise

We are committed to supporting your work with high-quality reagents, and we're here for you every step of the way. In the unlikely event that one of our products does not perform as expected, you're protected by our Product Promise.
For full details, please see our Terms & Conditions

Please note: All products are 'FOR RESEARCH USE ONLY. NOT FOR USE IN DIAGNOSTIC OR THERAPEUTIC PROCEDURES'.

For licensing inquiries, please contact partnerships@abcam.com