JavaScript is disabled in your browser. Please enable JavaScript to view this website.
AB224079

Anti-NUAK2 antibody

Be the first to review this product! Submit a review

|

(3 Publications)

Rabbit Polyclonal NUAK2 antibody. Suitable for IHC-P, WB, ICC/IF and reacts with Human samples. Cited in 3 publications. Immunogen corresponding to Recombinant Fragment Protein within Human NUAK2 aa 450 to C-terminus.

View Alternative Names

OMPHK2, SNARK, NUAK2, NUAK family SNF1-like kinase 2, Omphalocele kinase 2, SNF1/AMP kinase-related kinase

6 Images
Immunocytochemistry/ Immunofluorescence - Anti-NUAK2 antibody (AB224079)
  • ICC/IF

Supplier Data

Immunocytochemistry/ Immunofluorescence - Anti-NUAK2 antibody (AB224079)

Immunofluorescent analysis of U-251 MG (human brain glioma cell line) cells labeling NUAK2 (green) in the nucleoplasm, nucleoli fibrillar center and cytosol with ab224079 at 2 μg/ml.

Immunohistochemistry (Formalin/PFA-fixed paraffin-embedded sections) - Anti-NUAK2 antibody (AB224079)
  • IHC-P

Supplier Data

Immunohistochemistry (Formalin/PFA-fixed paraffin-embedded sections) - Anti-NUAK2 antibody (AB224079)

Immunohistochemical analysis of human cerebellum tissue labeling NUAK2 in neuronal porcesses with ab224079 at 1/50 dilution.

Performed heat mediated antigen retrieval with citrate buffer pH 6 before commencing with IHC staining protocol.

Immunohistochemistry (Formalin/PFA-fixed paraffin-embedded sections) - Anti-NUAK2 antibody (AB224079)
  • IHC-P

Supplier Data

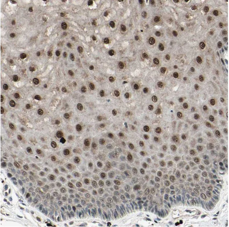
Immunohistochemistry (Formalin/PFA-fixed paraffin-embedded sections) - Anti-NUAK2 antibody (AB224079)

Immunohistochemical analysis of human cervix tissue labeling NUAK2 in the nucleus of squamous epithelial cells with ab224079 at 1/50 dilution.

Performed heat mediated antigen retrieval with citrate buffer pH 6 before commencing with IHC staining protocol.

Immunohistochemistry (Formalin/PFA-fixed paraffin-embedded sections) - Anti-NUAK2 antibody (AB224079)
  • IHC-P

Supplier Data

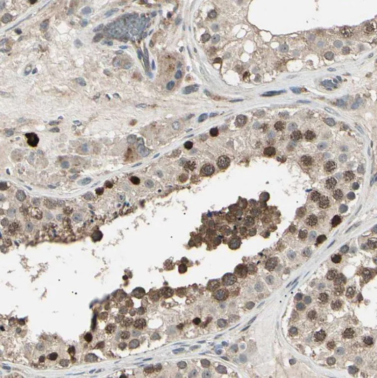
Immunohistochemistry (Formalin/PFA-fixed paraffin-embedded sections) - Anti-NUAK2 antibody (AB224079)

Immunohistochemical analysis of human testis tissue labeling NUAK2 in the nucleus of cells in seminiferous ducts with ab224079 at 1/50 dilution.

Performed heat mediated antigen retrieval with citrate buffer pH 6 before commencing with IHC staining protocol.

Immunohistochemistry (Formalin/PFA-fixed paraffin-embedded sections) - Anti-NUAK2 antibody (AB224079)
  • IHC-P

Supplier Data

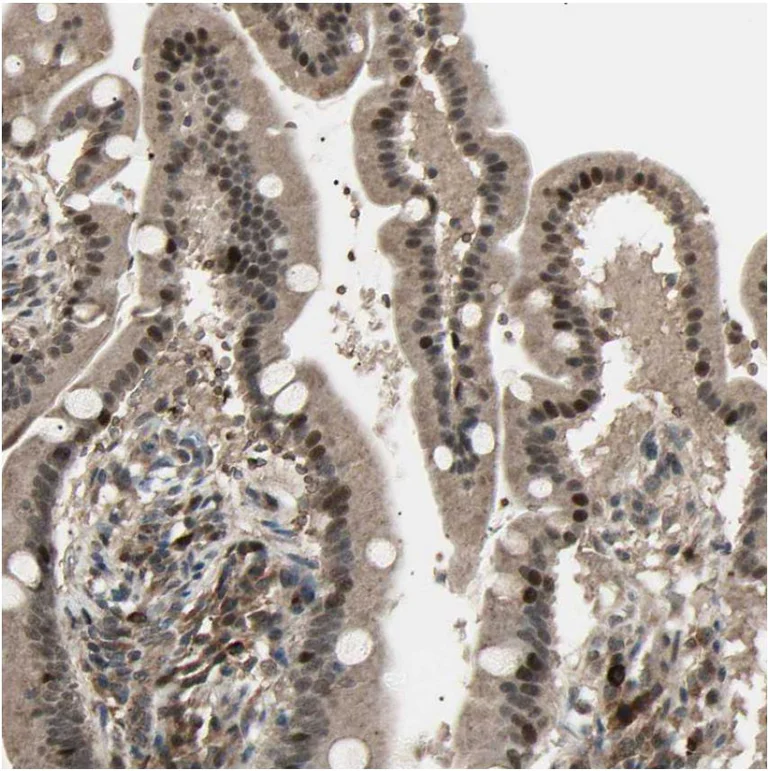
Immunohistochemistry (Formalin/PFA-fixed paraffin-embedded sections) - Anti-NUAK2 antibody (AB224079)

Immunohistochemical analysis of human duodenum tissue labeling NUAK2 in the glandular cells with ab224079 at 1/50 dilution.

Performed heat mediated antigen retrieval with citrate buffer pH 6 before commencing with IHC staining protocol.

Western blot - Anti-NUAK2 antibody (AB224079)
  • WB

Unknown

Western blot - Anti-NUAK2 antibody (AB224079)

All lanes:

ab224079 at 0.4 µg/mL

Lane 1:

Vector only transfected HEK-293T (human epithelial cell line from embryonic kidney transformed with large T antigen) whole cell lysate

Lane 2:

NUAK2 over-expression HEK-293T whole cell lysate, (Co-expressed with a C-terminal myc-DDK tag (~3.1 kDa)

Predicted band size: 69 kDa

false

Key facts

Host species

Rabbit

Clonality

Polyclonal

Isotype

IgG

Carrier free

No

Reacts with

Human

Applications

IHC-P, WB, ICC/IF

applications

Immunogen

Recombinant Fragment Protein within Human NUAK2 aa 450 to C-terminus. The exact immunogen used to generate this antibody is proprietary information.

Q9H093

Reactivity data

{ "title": "Reactivity Data", "filters": { "stats": ["", "Species", "Dilution Info", "Notes"], "tabs": { "all-applications": {"fullname" : "All Applications", "shortname": "All Applications"}, "IHCP" : {"fullname" : "Immunohistochemistry (Formalin/PFA-fixed paraffin-embedded sections)", "shortname":"IHC-P"}, "WB" : {"fullname" : "Western blot", "shortname":"WB"}, "ICCIF" : {"fullname" : "Immunocytochemistry/ Immunofluorescence", "shortname":"ICC/IF"} }, "product-promise": { "all": "all", "testedAndGuaranteed": "tested", "guaranteed": "expected", "predicted": "predicted", "notRecommended": "not-recommended" } }, "values": { "Human": { "IHCP-species-checked": "testedAndGuaranteed", "IHCP-species-dilution-info": "1/50 - 1/200", "IHCP-species-notes": "<p></p> Perform heat-mediated antigen retrieval with citrate buffer pH 6 before commencing with IHC staining protocol.", "WB-species-checked": "testedAndGuaranteed", "WB-species-dilution-info": "0.04-0.4 µg/mL", "WB-species-notes": "<p></p>", "ICCIF-species-checked": "testedAndGuaranteed", "ICCIF-species-dilution-info": "0.25-2 µg/mL", "ICCIF-species-notes": "<p>Fixation/Permeabilization: PFA/Triton X-100.</p>" }, "Orangutan": { "IHCP-species-checked": "predicted", "IHCP-species-dilution-info": "", "IHCP-species-notes": "", "WB-species-checked": "predicted", "WB-species-dilution-info": "", "WB-species-notes": "", "ICCIF-species-checked": "predicted", "ICCIF-species-dilution-info": "", "ICCIF-species-notes": "" } } }

Properties and storage information

Form
Liquid
Purification technique
Affinity purification Immunogen
Storage buffer
pH: 7.2 Preservative: 0.02% Sodium azide Constituents: PBS, 40% Glycerol (glycerin, glycerine)
Shipped at conditions
Blue Ice
Appropriate short-term storage duration
1-2 weeks
Appropriate short-term storage conditions
+4°C
Appropriate long-term storage conditions
-20°C
Aliquoting information
Upon delivery aliquot
Storage information
Avoid freeze / thaw cycle

Supplementary information

This supplementary information is collated from multiple sources and compiled automatically.

NUAK2 also known as SNARK or NUAK family kinase 2 is a serine/threonine-protein kinase involved in various cellular processes. With a molecular mass of approximately 74 kDa NUAK2 is expressed in multiple tissues notably in the brain skeletal muscle and heart. This kinase plays an important role in regulating cellular energy balance and responds to metabolic stresses acting as a critical mediator in the cellular response to nutrient availability.
Biological function summary

NUAK2 plays an active role in modulating cellular adhesion migration and proliferation. It is not part of a well-defined complex but interacts with several cellular components to exert its functions. NUAK2 participates in the regulation of the actin cytoskeleton impacting cell structure and movement and is involved in maintaining cellular homeostasis through metabolic regulation. It also influences signaling pathways that regulate cellular growth and survival.

Pathways

NUAK2 plays significant roles in the AMP-activated protein kinase (AMPK) signaling pathway and the insulin signaling pathway. As a downstream effector of these pathways NUAK2 impacts important metabolic processes by regulating energy utilization and promoting cell survival under stress conditions. It relates to proteins such as LKB1 which is an upstream kinase that phosphorylates and activates NUAK2 and AMPK which shares signaling pathways impacting metabolism and cell growth.

Various studies have linked NUAK2 to cancer and metabolic disorders. Overexpression of NUAK2 has been observed in several types of cancer including breast and colorectal cancer where it may contribute to tumorigenic processes by promoting cell proliferation and migration. Additionally NUAK2 is connected to hepatic steatosis influencing lipid accumulation in liver cells. In cancer NUAK2 interacts with proteins like MYPT1 which assists in regulating substrate phosphorylation further contributing to its role in cancer biology.

Product protocols

For this product, it's our understanding that no specific protocols are required. You can visit:

Target data

Stress-activated kinase involved in tolerance to glucose starvation. Induces cell-cell detachment by increasing F-actin conversion to G-actin. Expression is induced by CD95 or TNF-alpha, via NF-kappa-B. Protects cells from CD95-mediated apoptosis and is required for the increased motility and invasiveness of CD95-activated tumor cells. Phosphorylates LATS1 and LATS2. Plays a key role in neural tube closure during embryonic development through LATS2 phosphorylation and regulation of the nuclear localization of YAP1 a critical downstream regulatory target in the Hippo signaling pathway (PubMed : 32845958).
See full target information NUAK2

Publications (3)

Recent publications for all applications. Explore the full list and refine your search

EMBO molecular medicine 17:2409-2437 PubMed40770117

2025

A fetal oncogene NUAK2 is an emerging therapeutic target in glioblastoma.

Applications

Unspecified application

Species

Unspecified reactive species

Hanhee Jo,Sarah Munoz,Aneesh Dalvi,Wenqi Yang,Elizabeth Morozova,Stacey M Glasgow

iScience 28:112608 PubMed40502710

2025

The single-cell transcription reveals the aberrant differentiation trajectory of chondrocytes in the intervertebral disc for congenital scoliosis.

Applications

Unspecified application

Species

Unspecified reactive species

Junfeng Wang,Haodong Li,Dong Fu,Yiming Zheng,Chuang Qian,Lin Li,Maoxiang Qian,Dahui Wang

Molecular medicine reports 23: PubMed33880593

2021

lncRNA FGD5‑AS1 promotes breast cancer progression by regulating the hsa‑miR‑195‑5p/NUAK2 axis.

Applications

Unspecified application

Species

Unspecified reactive species

Kun Fang,Zheng-Jie Xu,Su-Xiao Jiang,De-Sheng Tang,Chang-Sheng Yan,You-Yuan Deng,Fu-Ying Zhao
View all publications

Product promise

We are committed to supporting your work with high-quality reagents, and we're here for you every step of the way. In the unlikely event that one of our products does not perform as expected, you're protected by our Product Promise.
For full details, please see our Terms & Conditions

Please note: All products are 'FOR RESEARCH USE ONLY. NOT FOR USE IN DIAGNOSTIC OR THERAPEUTIC PROCEDURES'.

For licensing inquiries, please contact partnerships@abcam.com