JavaScript is disabled in your browser. Please enable JavaScript to view this website.
AB125019

Anti-Nuclear Matrix Protein p84 antibody [EPR5661]

Be the first to review this product! Submit a review

|

(1 Publication)

Rabbit Recombinant Monoclonal Nuclear Matrix Protein p84 antibody. Suitable for IHC-P, WB, ICC/IF and reacts with Human samples. Cited in 1 publication.

View Alternative Names

HPR1, THOC1, THO complex subunit 1, Nuclear matrix protein p84, hTREX84, p84N5

3 Images
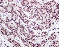
Immunohistochemistry (Formalin/PFA-fixed paraffin-embedded sections) - Anti-Nuclear Matrix Protein p84 antibody [EPR5661] (AB125019)
  • IHC-P

Unknown

Immunohistochemistry (Formalin/PFA-fixed paraffin-embedded sections) - Anti-Nuclear Matrix Protein p84 antibody [EPR5661] (AB125019)

ab125019 at 1/50 dilution staining Nuclear Matrix Protein p84 in paraffin-embedded Human stomach adenocarcinoma tissue by Immunohistochemistry.

Perform heat mediated antigen retrieval before commencing with IHC staining protocol.

Immunocytochemistry/ Immunofluorescence - Anti-Nuclear Matrix Protein p84 antibody [EPR5661] (AB125019)
  • ICC/IF

Unknown

Immunocytochemistry/ Immunofluorescence - Anti-Nuclear Matrix Protein p84 antibody [EPR5661] (AB125019)

ab125019, at 1/100 dilution, staining Nuclear Matrix Protein p84 in 293T cells by Immunofluorescence.

Western blot - Anti-Nuclear Matrix Protein p84 antibody [EPR5661] (AB125019)
  • WB

Unknown

Western blot - Anti-Nuclear Matrix Protein p84 antibody [EPR5661] (AB125019)

All lanes:

Western blot - Anti-Nuclear Matrix Protein p84 antibody [EPR5661] (ab125019) at 1/1000 dilution

Lane 1:

Hela cell lysate at 10 µg

Lane 2:

U-87 MG (Human glioblastoma-astrocytoma epithelial cell line) cell lysate at 10 µg

Lane 3:

293T (Human embryonic kidney epithelial cell) cell lysate at 10 µg

Secondary

All lanes:

HRP labelled goat anti-rabbit at 1/2000 dilution

Predicted band size: 76 kDa

Observed band size: 84 kDa

false

  • Carrier free

    Anti-Nuclear Matrix Protein p84 antibody [EPR5661] - BSA and Azide free

Key facts

Host species

Rabbit

Clonality

Monoclonal

Clone number

EPR5661

Isotype

IgG

Carrier free

No

Reacts with

Human

Applications

IHC-P, ICC/IF, WB

applications

Immunogen

The exact immunogen used to generate this antibody is proprietary information.

Reactivity data

{ "title": "Reactivity Data", "filters": { "stats": ["", "Species", "Dilution Info", "Notes"], "tabs": { "all-applications": {"fullname" : "All Applications", "shortname": "All Applications"}, "IHCP" : {"fullname" : "Immunohistochemistry (Formalin/PFA-fixed paraffin-embedded sections)", "shortname":"IHC-P"}, "IP" : {"fullname" : "Immunoprecipitation", "shortname":"IP"}, "FlowCyt" : {"fullname" : "Flow Cytometry", "shortname":"Flow Cyt"}, "WB" : {"fullname" : "Western blot", "shortname":"WB"}, "ICCIF" : {"fullname" : "Immunocytochemistry/ Immunofluorescence", "shortname":"ICC/IF"} }, "product-promise": { "all": "all", "testedAndGuaranteed": "tested", "guaranteed": "expected", "predicted": "predicted", "notRecommended": "not-recommended" } }, "values": { "Human": { "IHCP-species-checked": "testedAndGuaranteed", "IHCP-species-dilution-info": "1/50 - 1/100", "IHCP-species-notes": "<p></p> Perform heat-mediated antigen retrieval before commencing with IHC staining protocol.", "IP-species-checked": "notRecommended", "IP-species-dilution-info": "", "IP-species-notes": "<p></p>", "FlowCyt-species-checked": "notRecommended", "FlowCyt-species-dilution-info": "", "FlowCyt-species-notes": "<p></p>", "WB-species-checked": "testedAndGuaranteed", "WB-species-dilution-info": "1/1000 - 1/10000", "WB-species-notes": "<p></p>", "ICCIF-species-checked": "testedAndGuaranteed", "ICCIF-species-dilution-info": "1/100 - 1/250", "ICCIF-species-notes": "<p></p>" } } }

Product details

Species reactivity
Mouse, Rat: We have preliminary internal testing data to indicate this antibody may not react with these species.
Please contact us for more information.

Patented technology
Our RabMAb® technology is a patented hybridoma-based technology for making rabbit monoclonal antibodies. For details on our patents, please refer to RabMAb® patents.

What are the advantages of a recombinant monoclonal antibody?
This product is a recombinant monoclonal antibody, which offers several advantages including:

  • - High batch-to-batch consistency and reproducibility
  • - Improved sensitivity and specificity
  • - Long-term security of supply
  • - Animal-free batch production

For more information, read more on recombinant antibodies.

Properties and storage information

Form
Liquid
Purification technique
Affinity purification Protein A
Storage buffer
pH: 7.2 - 7.4 Preservative: 0.01% Sodium azide Constituents: PBS, 50% Tissue culture supernatant, 40% Glycerol (glycerin, glycerine), 0.05% BSA
Shipped at conditions
Blue Ice
Appropriate short-term storage conditions
+4°C
Appropriate long-term storage conditions
-20°C
Storage information
Stable for 12 months at -20°C

Supplementary information

This supplementary information is collated from multiple sources and compiled automatically.

Nuclear Matrix Protein p84 also known as 5E10 or simply p84 is a structural protein of the nuclear matrix. It has an approximate mass of 84 kDa. Researchers have identified it as an integral component of the nucleoskeleton providing key structural support within the cell nucleus. The expression of p84 is resourceful within various cell types especially in tissues with high rates of cellular proliferation and turnover.
Biological function summary

Nuclear Matrix Protein p84 assists in nuclear architecture maintenance and organization. It takes part in DNA replication processes and gene regulation by interacting with chromatin and transcription factors. Furthermore p84 contributes to the formation of the ribonucleoprotein complex facilitating RNA processing and transport. This involvement in multiple nuclear tasks positions it as a critical player in gene expression regulation mechanisms.

Pathways

Nuclear Matrix Protein p84 influences vital cellular activities such as the cell cycle and DNA repair. Its connections are apparent in the regulation of the p53 signaling pathway where it interacts with several regulatory proteins to monitor cell cycle progression and stress responses. p84’s activity also aligns with the DNA damage response pathway highlighting its cooperation with checkpoint proteins like ATM and ATR that uphold genomic integrity during cellular stress conditions.

Aberrant Nuclear Matrix Protein p84 expression aligns with cancer and autoimmune conditions. In certain cancers deregulation of p84 can result in altered cell cycle control and resistance to apoptosis. Its interaction with p53 and other tumor suppressor proteins directly influences cancer cell survival and proliferation. Additionally altered p84 expression has connections to lupus specifically affecting the autoantigen properties and leading to immune system malfunctions. Understanding these connections helps scientists investigate therapeutic targets for associated diseases.

Product protocols

For this product, it's our understanding that no specific protocols are required. You can visit:

Target data

Component of the THO subcomplex of the TREX complex which is thought to couple mRNA transcription, processing and nuclear export, and which specifically associates with spliced mRNA and not with unspliced pre-mRNA (PubMed : 15833825, PubMed : 15998806, PubMed : 17190602). Required for efficient export of polyadenylated RNA (PubMed : 23222130). The THOC1-THOC2-THOC3 core complex alone is sufficient to bind export factor NXF1-NXT1 and promote ATPase activity of DDX39B/UAP56 (PubMed : 33191911). TREX is recruited to spliced mRNAs by a transcription-independent mechanism, binds to mRNA upstream of the exon-junction complex (EJC) and is recruited in a splicing- and cap-dependent manner to a region near the 5' end of the mRNA where it functions in mRNA export to the cytoplasm via the TAP/NXF1 pathway (PubMed : 15833825, PubMed : 15998806, PubMed : 17190602). Regulates transcriptional elongation of a subset of genes (PubMed : 22144908). Involved in genome stability by preventing co-transcriptional R-loop formation (By similarity). May play a role in hair cell formation, hence may be involved in hearing (By similarity).. Participates in an apoptotic pathway which is characterized by activation of caspase-6, increases in the expression of BAK1 and BCL2L1 and activation of NF-kappa-B. This pathway does not require p53/TP53, nor does the presence of p53/TP53 affect the efficiency of cell killing. Activates a G2/M cell cycle checkpoint prior to the onset of apoptosis. Apoptosis is inhibited by association with RB1.. (Microbial infection) The TREX complex is essential for the export of Kaposi's sarcoma-associated herpesvirus (KSHV) intronless mRNAs and infectious virus production.
See full target information THOC1

Publications (1)

Recent publications for all applications. Explore the full list and refine your search

Oncology letters 18:2434-2442 PubMed31402945

2019

Mitofusin 2 inhibits bladder cancer cell proliferation and invasion via the Wnt/β-catenin pathway.

Applications

Unspecified application

Species

Unspecified reactive species

Guofu Pang,Qun Xie,Juanjuan Yao
View all publications

Product promise

We are committed to supporting your work with high-quality reagents, and we're here for you every step of the way. In the unlikely event that one of our products does not perform as expected, you're protected by our Product Promise.
For full details, please see our Terms & Conditions

Please note: All products are 'FOR RESEARCH USE ONLY. NOT FOR USE IN DIAGNOSTIC OR THERAPEUTIC PROCEDURES'.

For licensing inquiries, please contact partnerships@abcam.com