JavaScript is disabled in your browser. Please enable JavaScript to view this website.
AB131268

Anti-Nuclear Matrix Protein p84 antibody [EPR5662(2)]

5

(1 Review)

|

(20 Publications)

Rabbit Recombinant Monoclonal Nuclear Matrix Protein p84 antibody. Suitable for IHC-P, WB, ICC/IF, Flow Cyt (Intra) and reacts with Human samples. Cited in 20 publications.

View Alternative Names

HPR1, THOC1, THO complex subunit 1, Nuclear matrix protein p84, hTREX84, p84N5

4 Images
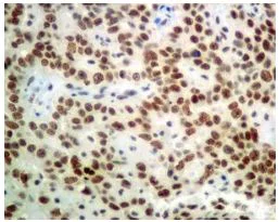
Immunohistochemistry (Formalin/PFA-fixed paraffin-embedded sections) - Anti-Nuclear Matrix Protein p84 antibody [EPR5662(2)] (AB131268)
  • IHC-P

Unknown

Immunohistochemistry (Formalin/PFA-fixed paraffin-embedded sections) - Anti-Nuclear Matrix Protein p84 antibody [EPR5662(2)] (AB131268)

Immunohistochemical analysis of paraffin embedded human breast carcinoma tissue labeling Nuclear Matrix Protein p84 with ab131268 at 1/50 dilution.

Perform heat mediated antigen retrieval before commencing with IHC staining protocol.

Flow Cytometry (Intracellular) - Anti-Nuclear Matrix Protein p84 antibody [EPR5662(2)] (AB131268)
  • Flow Cyt (Intra)

Lab

Flow Cytometry (Intracellular) - Anti-Nuclear Matrix Protein p84 antibody [EPR5662(2)] (AB131268)

Intracellular Flow Cytometry analysis of HeLa (human cervix adenocarcinoma) cells labeling Nuclear Matrix Protein p84 with purified ab131268 at 1/120 dilution (10ug/ml) (red). Cells were fixed with 4% paraformaldehyde and permeabilised with 90% methanol. A Goat anti rabbit IgG (Alexa Fluorr® 488) (1/2000 dilution) was used as the secondary antibody. Rabbit monoclonal IgG (Black) was used as the isotype control, cells without incubation with primary antibody and secondary antibody (Blue) were used as the unlabeled control.

Immunocytochemistry/ Immunofluorescence - Anti-Nuclear Matrix Protein p84 antibody [EPR5662(2)] (AB131268)
  • ICC/IF

Unknown

Immunocytochemistry/ Immunofluorescence - Anti-Nuclear Matrix Protein p84 antibody [EPR5662(2)] (AB131268)

Immunofluorescent staining of HeLa cells labelling Nuclear Matrix Protein p84 with ab131268 at 1/100 dilution.

Western blot - Anti-Nuclear Matrix Protein p84 antibody [EPR5662(2)] (AB131268)
  • WB

Unknown

Western blot - Anti-Nuclear Matrix Protein p84 antibody [EPR5662(2)] (AB131268)

All lanes:

Western blot - Anti-Nuclear Matrix Protein p84 antibody [EPR5662(2)] (ab131268) at 1/10000 dilution

Lane 1:

HeLa cell lysate at 10 µg

Lane 2:

U-87 MG cell lysate at 10 µg

Lane 3:

293T cell lysate at 10 µg

Lane 4:

HepG2 cell lysate at 10 µg

Secondary

All lanes:

Goat anti-Rabbit HRP at 1/2000 dilution

Predicted band size: 76 kDa

false

  • Carrier free

    Anti-Nuclear Matrix Protein p84 antibody [EPR5662(2)] - BSA and Azide free

Key facts

Host species

Rabbit

Clonality

Monoclonal

Clone number

EPR5662(2)

Isotype

IgG

Carrier free

No

Reacts with

Human

Applications

ICC/IF, IHC-P, WB, Flow Cyt (Intra)

applications

Immunogen

The exact immunogen used to generate this antibody is proprietary information.

Reactivity data

{ "title": "Reactivity Data", "filters": { "stats": ["", "Species", "Dilution Info", "Notes"], "tabs": { "all-applications": {"fullname" : "All Applications", "shortname": "All Applications"}, "IHCP" : {"fullname" : "Immunohistochemistry (Formalin/PFA-fixed paraffin-embedded sections)", "shortname":"IHC-P"}, "IP" : {"fullname" : "Immunoprecipitation", "shortname":"IP"}, "WB" : {"fullname" : "Western blot", "shortname":"WB"}, "ICCIF" : {"fullname" : "Immunocytochemistry/ Immunofluorescence", "shortname":"ICC/IF"}, "FlowCytIntra" : {"fullname" : "Flow Cytometry (Intracellular)", "shortname":"Flow Cyt (Intra)"} }, "product-promise": { "all": "all", "testedAndGuaranteed": "tested", "guaranteed": "expected", "predicted": "predicted", "notRecommended": "not-recommended" } }, "values": { "Human": { "IHCP-species-checked": "testedAndGuaranteed", "IHCP-species-dilution-info": "1/50 - 1/100", "IHCP-species-notes": "<p>(Heat to 98°C, allow to cool for 10-20 minutes)</p>", "IP-species-checked": "notRecommended", "IP-species-dilution-info": "", "IP-species-notes": "<p></p>", "WB-species-checked": "testedAndGuaranteed", "WB-species-dilution-info": "1/10000 - 1/50000", "WB-species-notes": "<p></p>", "ICCIF-species-checked": "testedAndGuaranteed", "ICCIF-species-dilution-info": "1/100", "ICCIF-species-notes": "<p></p>", "FlowCytIntra-species-checked": "testedAndGuaranteed", "FlowCytIntra-species-dilution-info": "1/120", "FlowCytIntra-species-notes": "<p></p>" }, "Mouse": { "IHCP-species-checked": "predicted", "IHCP-species-dilution-info": "", "IHCP-species-notes": "", "IP-species-checked": "notRecommended", "IP-species-dilution-info": "", "IP-species-notes": "", "WB-species-checked": "predicted", "WB-species-dilution-info": "", "WB-species-notes": "", "ICCIF-species-checked": "predicted", "ICCIF-species-dilution-info": "", "ICCIF-species-notes": "", "FlowCytIntra-species-checked": "predicted", "FlowCytIntra-species-dilution-info": "", "FlowCytIntra-species-notes": "" }, "Rat": { "IHCP-species-checked": "predicted", "IHCP-species-dilution-info": "", "IHCP-species-notes": "", "IP-species-checked": "notRecommended", "IP-species-dilution-info": "", "IP-species-notes": "", "WB-species-checked": "predicted", "WB-species-dilution-info": "", "WB-species-notes": "", "ICCIF-species-checked": "predicted", "ICCIF-species-dilution-info": "", "ICCIF-species-notes": "", "FlowCytIntra-species-checked": "predicted", "FlowCytIntra-species-dilution-info": "", "FlowCytIntra-species-notes": "" } } }

Product details

Patented technology
Our RabMAb® technology is a patented hybridoma-based technology for making rabbit monoclonal antibodies. For details on our patents, please refer to RabMAb® patents.

What are the advantages of a recombinant monoclonal antibody?
This product is a recombinant monoclonal antibody, which offers several advantages including:

  • - High batch-to-batch consistency and reproducibility
  • - Improved sensitivity and specificity
  • - Long-term security of supply
  • - Animal-free batch production

For more information, read more on recombinant antibodies.

Properties and storage information

Form
Liquid
Purity
Tissue culture supernatant
Storage buffer
pH: 7.2 - 7.4 Preservative: 0.01% Sodium azide Constituents: PBS, 50% Tissue culture supernatant, 40% Glycerol (glycerin, glycerine), 0.05% BSA
Shipped at conditions
Blue Ice
Appropriate short-term storage conditions
+4°C
Appropriate long-term storage conditions
-20°C
Storage information
Stable for 12 months at -20°C

Supplementary information

This supplementary information is collated from multiple sources and compiled automatically.

Nuclear Matrix Protein p84 also known as 5E10 or simply p84 is a structural protein of the nuclear matrix. It has an approximate mass of 84 kDa. Researchers have identified it as an integral component of the nucleoskeleton providing key structural support within the cell nucleus. The expression of p84 is resourceful within various cell types especially in tissues with high rates of cellular proliferation and turnover.
Biological function summary

Nuclear Matrix Protein p84 assists in nuclear architecture maintenance and organization. It takes part in DNA replication processes and gene regulation by interacting with chromatin and transcription factors. Furthermore p84 contributes to the formation of the ribonucleoprotein complex facilitating RNA processing and transport. This involvement in multiple nuclear tasks positions it as a critical player in gene expression regulation mechanisms.

Pathways

Nuclear Matrix Protein p84 influences vital cellular activities such as the cell cycle and DNA repair. Its connections are apparent in the regulation of the p53 signaling pathway where it interacts with several regulatory proteins to monitor cell cycle progression and stress responses. p84’s activity also aligns with the DNA damage response pathway highlighting its cooperation with checkpoint proteins like ATM and ATR that uphold genomic integrity during cellular stress conditions.

Aberrant Nuclear Matrix Protein p84 expression aligns with cancer and autoimmune conditions. In certain cancers deregulation of p84 can result in altered cell cycle control and resistance to apoptosis. Its interaction with p53 and other tumor suppressor proteins directly influences cancer cell survival and proliferation. Additionally altered p84 expression has connections to lupus specifically affecting the autoantigen properties and leading to immune system malfunctions. Understanding these connections helps scientists investigate therapeutic targets for associated diseases.

Product protocols

For this product, it's our understanding that no specific protocols are required. You can visit:

Target data

Component of the THO subcomplex of the TREX complex which is thought to couple mRNA transcription, processing and nuclear export, and which specifically associates with spliced mRNA and not with unspliced pre-mRNA (PubMed : 15833825, PubMed : 15998806, PubMed : 17190602). Required for efficient export of polyadenylated RNA (PubMed : 23222130). The THOC1-THOC2-THOC3 core complex alone is sufficient to bind export factor NXF1-NXT1 and promote ATPase activity of DDX39B/UAP56 (PubMed : 33191911). TREX is recruited to spliced mRNAs by a transcription-independent mechanism, binds to mRNA upstream of the exon-junction complex (EJC) and is recruited in a splicing- and cap-dependent manner to a region near the 5' end of the mRNA where it functions in mRNA export to the cytoplasm via the TAP/NXF1 pathway (PubMed : 15833825, PubMed : 15998806, PubMed : 17190602). Regulates transcriptional elongation of a subset of genes (PubMed : 22144908). Involved in genome stability by preventing co-transcriptional R-loop formation (By similarity). May play a role in hair cell formation, hence may be involved in hearing (By similarity).. Participates in an apoptotic pathway which is characterized by activation of caspase-6, increases in the expression of BAK1 and BCL2L1 and activation of NF-kappa-B. This pathway does not require p53/TP53, nor does the presence of p53/TP53 affect the efficiency of cell killing. Activates a G2/M cell cycle checkpoint prior to the onset of apoptosis. Apoptosis is inhibited by association with RB1.. (Microbial infection) The TREX complex is essential for the export of Kaposi's sarcoma-associated herpesvirus (KSHV) intronless mRNAs and infectious virus production.
See full target information THOC1

Publications (20)

Recent publications for all applications. Explore the full list and refine your search

Regenerative biomaterials 12:rbaf090 PubMed40979828

2025

Plasma-derived mitochondrial transplantation attenuates paraspinal muscle atrophy following spinal surgery.

Applications

Unspecified application

Species

Unspecified reactive species

Ikhyun Lim,Seong-Hoon Kim,Mi Jin Kim,Chang-Koo Yun,Kyunghoon Min,Yong-Soo Choi

Science signaling 18:eado8860 PubMed39772531

2025

IRF1 cooperates with ISGF3 or GAF to form innate immune de novo enhancers in macrophages.

Applications

Unspecified application

Species

Unspecified reactive species

Carolina Chavez,Kelly Lin,Alexis Malveaux,Aleksandr Gorin,Stefanie Brizuela,Quen J Cheng,Alexander Hoffmann

Acta pharmaceutica Sinica. B 14:2520-2536 PubMed38828143

2024

Interferon-induced MXB protein restricts vimentin-dependent viral infection.

Applications

Unspecified application

Species

Unspecified reactive species

Dongrong Yi,Ni An,Quanjie Li,Qian Liu,Huihan Shao,Rui Zhou,Jing Wang,Yongxin Zhang,Ling Ma,Fei Guo,Xiaoyu Li,Zhenlong Liu,Shan Cen

Cancers 15: PubMed37046850

2023

THY1 (CD90) Maintains the Adherens Junctions in Nasopharyngeal Carcinoma via Inhibition of SRC Activation.

Applications

Unspecified application

Species

Unspecified reactive species

Luo Chen,Wai Yin Chau,Hei Tung Yuen,Xiao Han Liu,Robert Zhong Qi,Maria Li Lung,Hong Lok Lung

Molecular systems biology 19:e11294 PubMed36929731

2023

A stimulus-contingent positive feedback loop enables IFN-β dose-dependent activation of pro-inflammatory genes.

Applications

Unspecified application

Species

Unspecified reactive species

Catera L Wilder,Diane Lefaudeux,Raisa Mathenge,Kensei Kishimoto,Alma Zuniga Munoz,Minh A Nguyen,Aaron S Meyer,Quen J Cheng,Alexander Hoffmann

Endocrine-related cancer 30: PubMed36606578

2023

Long non-coding RNA MFSD4A-AS1 promotes lymphangiogenesis and lymphatic metastasis of papillary thyroid cancer.

Applications

Unspecified application

Species

Unspecified reactive species

Xiaoli Liu,Chunhai Zhang,Xiaomiao Wang,Can Cui,Hanwen Cui,Baishu Zhu,Anqi Chen,Lu Zhang,Jingwei Xin,Qingfeng Fu,Gianlorenzo Dionigi,Hui Sun

Frontiers in oncology 12:940926 PubMed36185280

2022

Icariin attenuates the tumor growth by targeting miR-1-3p/TNKS2/Wnt/β-catenin signaling axis in ovarian cancer.

Applications

Unspecified application

Species

Unspecified reactive species

Yanjin Fu,Haiquan Liu,Mengsha Long,Linliang Song,Zuyu Meng,Shaozi Lin,Yiyao Zhang,JiaJia Qin

Scientific reports 12:14923 PubMed36056157

2022

Importance of the Q/N-rich segment for protein stability of endogenous mouse TDP-43.

Applications

Unspecified application

Species

Unspecified reactive species

Toshiya Sato,Kanako Oda,Seiko Sakai,Rika Kato,Saori Yamamori,Makoto Itakura,Yoshio Kodera,Masatoyo Nishizawa,Toshikuni Sasaoka,Osamu Onodera,Minesuke Yokoyama

Cancer cell international 21:444 PubMed34419066

2021

NF-kB-dependent activation of STAT3 by H. pylori is suppressed by TFF1.

Applications

Unspecified application

Species

Unspecified reactive species

Mohammed Soutto,Nadeem Bhat,Shayan Khalafi,Shoumin Zhu,Julio Poveda,Monica Garcia-Buitrago,Alexander Zaika,Wael El-Rifai

Experimental and therapeutic medicine 22:776 PubMed34055075

2021

CLCA2 suppresses the proliferation, migration and invasion of cervical cancer.

Applications

Unspecified application

Species

Unspecified reactive species

Peijin Zhang,Yang Lin,Yaqiong Liu
View all publications

Product promise

We are committed to supporting your work with high-quality reagents, and we're here for you every step of the way. In the unlikely event that one of our products does not perform as expected, you're protected by our Product Promise.
For full details, please see our Terms & Conditions

Please note: All products are 'FOR RESEARCH USE ONLY. NOT FOR USE IN DIAGNOSTIC OR THERAPEUTIC PROCEDURES'.

For licensing inquiries, please contact partnerships@abcam.com