JavaScript is disabled in your browser. Please enable JavaScript to view this website.
AB3482

Anti-Nuclear Receptor Corepressor NCoR antibody

4

(2 Reviews)

|

(20 Publications)

Rabbit Polyclonal Nuclear Receptor Corepressor NCoR antibody. Suitable for IP, ChIP, WB, IHC-P, ICC/IF and reacts with Mouse, Human samples. Cited in 20 publications.

View Alternative Names

Rxrip13, Ncor1, Nuclear receptor corepressor 1, N-CoR, N-CoR1, Retinoid X receptor-interacting protein 13, RIP13

4 Images
Immunocytochemistry/ Immunofluorescence - Anti-Nuclear Receptor Corepressor NCoR antibody (AB3482)
  • ICC/IF

Supplier Data

Immunocytochemistry/ Immunofluorescence - Anti-Nuclear Receptor Corepressor NCoR antibody (AB3482)

ab3482 labelling Nuclear Receptor Corepressor NCoR (green) in the nucleus and cytoplasm of MCF-7 cells by Immunocytochemistry/Immunofluorescence. Formalin-fixed cells were permeabilized with 0.1% Triton X-100 in TBS for 5-10 minutes and blocked with 3% BSA-PBS for 30 minutes at room temperature. Cells were incubated with the primary antibody (1 : 200 in 3% BSA-PBS) overnight at 4 °C. A DyLight-conjugated anti-rabbit was used as the secondary antibody. Red (phalloidin) - F-actin, Blue - nuclei. Images were taken at a magnification of 60x.

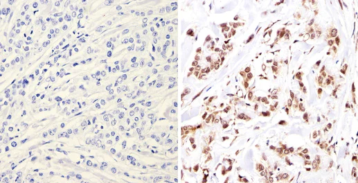
Immunohistochemistry (Formalin/PFA-fixed paraffin-embedded sections) - Anti-Nuclear Receptor Corepressor NCoR antibody (AB3482)
  • IHC-P

Supplier Data

Immunohistochemistry (Formalin/PFA-fixed paraffin-embedded sections) - Anti-Nuclear Receptor Corepressor NCoR antibody (AB3482)

ab3482 labelling Nuclear Receptor Corepressor NCoR in the nucleus of Human breast carcinoma (right) compared with a negative control (left) by Immunohistochemistry (formalin/PFA-fixed paraffin-embedded sections). To expose target proteins, antigen retrieval method was performed using 10mM sodium citrate (pH 6.0), microwaved for 8-15 min. Tissue was blocked in 3% H2O2-methanol for 15 min at room temperature, then incubated with primary antibody (1 : 200 in 3% BSA-PBS) overnight at 4°C. A HRP-conjugated anti-rabbit was used as the secondary antibody, followed by colorimetric detection using a DAB kit. Tissues were counterstained with hematoxylin and dehydrated with ethanol and xylene to prep for mounting.

Immunocytochemistry/ Immunofluorescence - Anti-Nuclear Receptor Corepressor NCoR antibody (AB3482)
  • ICC/IF

Supplier Data

Immunocytochemistry/ Immunofluorescence - Anti-Nuclear Receptor Corepressor NCoR antibody (AB3482)

ab3482 labelling Nuclear Receptor Corepressor NCoR (green) in the nucleus and cytoplasm of HeLa cells by Immunocytochemistry/Immunofluorescence. Formalin-fixed cells were permeabilized with 0.1% Triton X-100 in TBS for 5-10 minutes and blocked with 3% BSA-PBS for 30 minutes at room temperature. Cells were incubated with the primary antibody (1 : 200 in 3% BSA-PBS) overnight at 4 °C. A DyLight-conjugated anti-rabbit was used as the secondary antibody. Red (phalloidin) - F-actin, Blue - nuclei. Images were taken at a magnification of 60x.

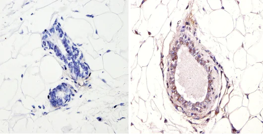
Immunohistochemistry (Formalin/PFA-fixed paraffin-embedded sections) - Anti-Nuclear Receptor Corepressor NCoR antibody (AB3482)
  • IHC-P

Supplier Data

Immunohistochemistry (Formalin/PFA-fixed paraffin-embedded sections) - Anti-Nuclear Receptor Corepressor NCoR antibody (AB3482)

ab3482 labelling Nuclear Receptor Corepressor NCoR in the nucleus of Mouse breast tissue (right) compared with a negative control (left) by Immunohistochemistry (formalin/PFA-fixed paraffin-embedded sections). To expose target proteins, antigen retrieval method was performed using 10mM sodium citrate (pH 6.0), microwaved for 8-15 min. Tissue was blocked in 3% H2O2-methanol for 15 min at room temperature, then incubated with primary antibody (1 : 200 in 3% BSA-PBS) overnight at 4°C. A HRP-conjugated anti-rabbit was used as the secondary antibody, followed by colorimetric detection using a DAB kit. Tissues were counterstained with hematoxylin and dehydrated with ethanol and xylene to prep for mounting.

Key facts

Host species

Rabbit

Clonality

Polyclonal

Isotype

IgG

Carrier free

No

Reacts with

Mouse, Human

Applications

ChIP, IP, WB, IHC-P, ICC/IF

applications

Immunogen

The exact immunogen used to generate this antibody is proprietary information.

Reactivity data

{ "title": "Reactivity Data", "filters": { "stats": ["", "Species", "Dilution Info", "Notes"], "tabs": { "all-applications": {"fullname" : "All Applications", "shortname": "All Applications"}, "IP" : {"fullname" : "Immunoprecipitation", "shortname":"IP"}, "ChIP" : {"fullname" : "ChIP", "shortname":"ChIP"}, "WB" : {"fullname" : "Western blot", "shortname":"WB"}, "IHCP" : {"fullname" : "Immunohistochemistry (Formalin/PFA-fixed paraffin-embedded sections)", "shortname":"IHC-P"}, "ICCIF" : {"fullname" : "Immunocytochemistry/ Immunofluorescence", "shortname":"ICC/IF"} }, "product-promise": { "all": "all", "testedAndGuaranteed": "tested", "guaranteed": "expected", "predicted": "predicted", "notRecommended": "not-recommended" } }, "values": { "Human": { "IP-species-checked": "guaranteed", "IP-species-dilution-info": "", "IP-species-notes": "<p></p>", "ChIP-species-checked": "guaranteed", "ChIP-species-dilution-info": "", "ChIP-species-notes": "<p>Pubmed ID: 16930818.</p>", "WB-species-checked": "guaranteed", "WB-species-dilution-info": "", "WB-species-notes": "<p>By Western blot, this antibody detects a protein at ~270 kDa representing N-CoR from HeLa cell extracts and mouse RAW 264.7/primary macrophages.</p>", "IHCP-species-checked": "testedAndGuaranteed", "IHCP-species-dilution-info": "1/200 - 1/1000", "IHCP-species-notes": "<p></p>", "ICCIF-species-checked": "testedAndGuaranteed", "ICCIF-species-dilution-info": "1/100 - 1/500", "ICCIF-species-notes": "<p></p>" }, "Mouse": { "IP-species-checked": "guaranteed", "IP-species-dilution-info": "", "IP-species-notes": "<p></p>", "ChIP-species-checked": "guaranteed", "ChIP-species-dilution-info": "", "ChIP-species-notes": "<p>Pubmed ID: 16930818.</p>", "WB-species-checked": "guaranteed", "WB-species-dilution-info": "", "WB-species-notes": "<p>By Western blot, this antibody detects a protein at ~270 kDa representing N-CoR from HeLa cell extracts and mouse RAW 264.7/primary macrophages.</p>", "IHCP-species-checked": "testedAndGuaranteed", "IHCP-species-dilution-info": "1/200 - 1/1000", "IHCP-species-notes": "<p></p>", "ICCIF-species-checked": "guaranteed", "ICCIF-species-dilution-info": "", "ICCIF-species-notes": "" }, "Rat": { "IP-species-checked": "predicted", "IP-species-dilution-info": "", "IP-species-notes": "", "ChIP-species-checked": "predicted", "ChIP-species-dilution-info": "", "ChIP-species-notes": "", "WB-species-checked": "predicted", "WB-species-dilution-info": "", "WB-species-notes": "", "IHCP-species-checked": "predicted", "IHCP-species-dilution-info": "", "IHCP-species-notes": "", "ICCIF-species-checked": "predicted", "ICCIF-species-dilution-info": "", "ICCIF-species-notes": "" } } }

Properties and storage information

Form
Liquid
Purification technique
Affinity purification Immunogen
Storage buffer
Preservative: 0.05% Sodium azide Constituents: PBS, 0.1% BSA
Shipped at conditions
Blue Ice
Appropriate short-term storage duration
1-2 weeks
Appropriate short-term storage conditions
+4°C
Appropriate long-term storage conditions
-20°C
Aliquoting information
Upon delivery aliquot
Storage information
Avoid freeze / thaw cycle

Supplementary information

This supplementary information is collated from multiple sources and compiled automatically.

The Nuclear Receptor Corepressor (NCoR) also known as NCoR1 or simply N-CoR is a significant modulator of gene transcription. Mechanically NCoR functions by associating with nuclear receptors to repress transcription. It is a part of a large protein complex with a molecular weight roughly around 270 kDa. Researchers find NCoR expressed in various tissues throughout the human body with especially high expression levels in the liver and central nervous system. The NCoR protein plays an important role in regulating transcriptional repression through its interaction with other corepressors and nuclear receptors.
Biological function summary

NCoR engages with other proteins to maintain transcriptional repression adapting to cellular signaling. It is part of a protein complex known as the NCoR complex that includes histone deacetylases and transcription factors. The corepressors have significant roles in modulating gene expression critical for multiple cellular and physiological processes. The NCoR complex fine-tunes the balance between the activation and repression of target genes influencing developmental metabolic and immune responses.

Pathways

NCoR participates in thyroid hormone signaling and retinoic acid receptor pathways both critical to maintaining homeostasis. Its association with proteins like histone deacetylases enables NCoR to alter chromatin structure and suppress gene transcription. In these pathways NCoR serves as a bridge connecting various nuclear receptors to other corepressors and transcriptional machinery ensuring precise regulation of gene expression involved in growth differentiation and metabolism.

NCoR is linked to cancer and metabolic syndromes. Aberrations in the NCoR function or expression have associations with breast cancer affecting genes that control cell proliferation and apoptosis. Additionally in metabolic diseases such as obesity altered NCoR activity impacts genes involved in energy balance and insulin signaling. Related proteins like the silencing mediator of retinoic acid and thyroid hormone receptor (SMRT) also associate with these disorders emphasizing NCoR's critical role in maintaining normal biological functions and preventing disease.

Product protocols

For this product, it's our understanding that no specific protocols are required. You can visit:

Target data

Mediates transcriptional repression by certain nuclear receptors. Part of a complex which promotes histone deacetylation and the formation of repressive chromatin structures which may impede the access of basal transcription factors. Participates in the transcriptional repressor activity produced by BCL6. Recruited by ZBTB7A to the androgen response elements/ARE on target genes, negatively regulates androgen receptor signaling and androgen-induced cell proliferation (By similarity). Mediates the NR1D1-dependent repression and circadian regulation of TSHB expression (PubMed : 24794873). The NCOR1-HDAC3 complex regulates the circadian expression of the core clock gene ARTNL/BMAL1 and the genes involved in lipid metabolism in the liver (PubMed : 19037247).
See full target information Ncor1

Publications (20)

Recent publications for all applications. Explore the full list and refine your search

Epigenetics 20:2529358 PubMed40654309

2025

CpG island demethylation and recruitment of SP1 to the promoter region regulates human thymic stromal lymphopoietin expression.

Applications

Unspecified application

Species

Unspecified reactive species

Krishna Priya Ganti,Milan Surjit

Nature communications 14:2559 PubMed37137875

2023

The Fgf/Erf/NCoR1/2 repressive axis controls trophoblast cell fate.

Applications

Unspecified application

Species

Unspecified reactive species

Andreas Lackner,Michael Müller,Magdalena Gamperl,Delyana Stoeva,Olivia Langmann,Henrieta Papuchova,Elisabeth Roitinger,Gerhard Dürnberger,Richard Imre,Karl Mechtler,Paulina A Latos

The Journal of biological chemistry 299:104702 PubMed37059182

2023

Interaction between poly(A)-binding protein PABPC4 and nuclear receptor corepressor NCoR1 modulates a metabolic stress response.

Applications

Unspecified application

Species

Unspecified reactive species

A G Oliveira,L D Oliveira,M V Cruz,D S P S F Guimarães,T I Lima,B C Santos-Fávero,A D Luchessi,B A Pauletti,A P Leme,M C Bajgelman,J Afonso,L C A Regitano,H F Carvalho,E M Carneiro,J Kobarg,V Perissi,J Auwerx,L R Silveira

Cell reports 41:111672 PubMed36384125

2022

Estrone, the major postmenopausal estrogen, binds ERa to induce SNAI2, epithelial-to-mesenchymal transition, and ER+ breast cancer metastasis.

Applications

Unspecified application

Species

Unspecified reactive species

Rehana Qureshi,Manuel Picon-Ruiz,Maiko Sho,Derek Van Booven,Vanessa Nunes de Paiva,Anna B Diaz-Ruano,Tan A Ince,Joyce Slingerland

Theranostics 12:6130-6142 PubMed36168631

2022

cell fate regulation by coordination of metabolic nuclear receptors during liver repair.

Applications

Unspecified application

Species

Unspecified reactive species

Dan Qin,Shenghui Liu,Yuanyuan Lu,Yi Yan,Jing Zhang,Shiyao Cao,Mi Chen,Ning Chen,Wendong Huang,Liqiang Wang,Xiangmei Chen,Lisheng Zhang

Acta pharmacologica Sinica 43:2351-2361 PubMed35149852

2022

Hepatic NCoR1 deletion exacerbates alcohol-induced liver injury in mice by promoting CCL2-mediated monocyte-derived macrophage infiltration.

Applications

Unspecified application

Species

Unspecified reactive species

Fan Yin,Miao-Miao Wu,Xiao-Li Wei,Rui-Xue Ren,Meng-Hua Liu,Chong-Qing Chen,Liu Yang,Rui-Qian Xie,Shan-Yue Jiang,Xue-Fu Wang,Hua Wang

Cancers 13: PubMed34503224

2021

NCOR1 Sustains Colorectal Cancer Cell Growth and Protects against Cellular Senescence.

Applications

Unspecified application

Species

Unspecified reactive species

Stéphanie St-Jean,Ariane Cristina De Castro,Mia Lecours,Christine Jones,Nathalie Rivard,Francis Rodier,Nathalie Perreault,François Boudreau

Archives of gynecology and obstetrics 304:1307-1314 PubMed33861372

2021

Nuclear receptor corepressor (NCoR) is a positive prognosticator for cervical cancer.

Applications

Unspecified application

Species

Unspecified reactive species

Daniel Beilner,Christina Kuhn,Bernd P Kost,Theresa Vilsmaier,Aurelia Vattai,Till Kaltofen,Sven Mahner,Elisa Schmoeckel,Christian Dannecker,Julia Jückstock,Doris Mayr,Udo Jeschke,Helene Hildegard Heidegger

Cell communication and signaling : CCS 19:40 PubMed33761934

2021

Discovery of LAMP-2A as potential biomarkers for glioblastoma development by modulating apoptosis through N-CoR degradation.

Applications

Unspecified application

Species

Unspecified reactive species

Yongjie Wang,Buyi Zhang,Jianli Wang,Haijian Wu,Shenbin Xu,Jianmin Zhang,Lin Wang

Cell reports 34:108736 PubMed33567272

2021

Cardiolipin-mediated PPARγ S112 phosphorylation impairs IL-10 production and inflammation resolution during bacterial pneumonia.

Applications

Unspecified application

Species

Unspecified reactive species

Mayank Garg,Saumya Johri,Shakti Sagar,Aniruddha Mundhada,Anurag Agrawal,Prabir Ray,Krishnendu Chakraborty
View all publications

Product promise

We are committed to supporting your work with high-quality reagents, and we're here for you every step of the way. In the unlikely event that one of our products does not perform as expected, you're protected by our Product Promise.
For full details, please see our Terms & Conditions

Please note: All products are 'FOR RESEARCH USE ONLY. NOT FOR USE IN DIAGNOSTIC OR THERAPEUTIC PROCEDURES'.

For licensing inquiries, please contact partnerships@abcam.com