JavaScript is disabled in your browser. Please enable JavaScript to view this website.
AB58396

Anti-Nuclear Receptor Corepressor NCoR antibody

Be the first to review this product! Submit a review

|

(5 Publications)

Rabbit Polyclonal Nuclear Receptor Corepressor NCoR antibody. Suitable for WB, IHC-P and reacts with Human samples. Cited in 5 publications. Immunogen corresponding to Synthetic Peptide within Human NCOR1.

View Alternative Names

KIAA1047, NCOR1, Nuclear receptor corepressor 1, N-CoR, N-CoR1

2 Images
Western blot - Anti-Nuclear Receptor Corepressor NCoR antibody (AB58396)
  • WB

Unknown

Western blot - Anti-Nuclear Receptor Corepressor NCoR antibody (AB58396)

All lanes:

Western blot - Anti-Nuclear Receptor Corepressor NCoR antibody (ab58396) at 1/500 dilution

Lane 1:

MDA-MB-435 cell extract with no immunizing peptide

Lane 2:

MDA-MB-435 cell extract with immunizing peptide

Predicted band size: 270 kDa

false

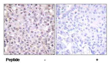
Immunohistochemistry (Formalin/PFA-fixed paraffin-embedded sections) - Anti-Nuclear Receptor Corepressor NCoR antibody (AB58396)
  • IHC-P

Unknown

Immunohistochemistry (Formalin/PFA-fixed paraffin-embedded sections) - Anti-Nuclear Receptor Corepressor NCoR antibody (AB58396)

ab58396, at 1/50 diltuion, staining human Nuclear Receptor Corepressor NCoR in breast carcinoma tissue by immunohistochemistry in the presence or absence of the immunizing peptide. Paraffin embedded tissue.

Key facts

Host species

Rabbit

Clonality

Polyclonal

Isotype

IgG

Carrier free

No

Reacts with

Human

Applications

WB, IHC-P

applications

Immunogen

Synthetic Peptide within Human NCOR1. The exact immunogen used to generate this antibody is proprietary information.

O75376

Specificity

This antibody detects endogenous levels of total NCoR1 protein.

Reactivity data

{ "title": "Reactivity Data", "filters": { "stats": ["", "Species", "Dilution Info", "Notes"], "tabs": { "all-applications": {"fullname" : "All Applications", "shortname": "All Applications"}, "WB" : {"fullname" : "Western blot", "shortname":"WB"}, "IHCP" : {"fullname" : "Immunohistochemistry (Formalin/PFA-fixed paraffin-embedded sections)", "shortname":"IHC-P"} }, "product-promise": { "all": "all", "testedAndGuaranteed": "tested", "guaranteed": "expected", "predicted": "predicted", "notRecommended": "not-recommended" } }, "values": { "Human": { "WB-species-checked": "testedAndGuaranteed", "WB-species-dilution-info": "1/500 - 1/1000", "WB-species-notes": "<p></p>", "IHCP-species-checked": "testedAndGuaranteed", "IHCP-species-dilution-info": "1/50 - 1/100", "IHCP-species-notes": "<p></p>" } } }

Properties and storage information

Form
Liquid
Purification technique
Affinity purification Immunogen
Purification notes
Purified from rabbit antiserum.
Storage buffer
pH: 7.4 Preservative: 0.02% Sodium azide Constituents: PBS, 50% Glycerol (glycerin, glycerine), 0.87% Sodium chloride
Shipped at conditions
Blue Ice
Appropriate short-term storage conditions
+4°C
Appropriate long-term storage conditions
-20°C
Storage information
Stable for 12 months at -20°C

Supplementary information

This supplementary information is collated from multiple sources and compiled automatically.

The Nuclear Receptor Corepressor (NCoR) also known as NCoR1 or simply N-CoR is a significant modulator of gene transcription. Mechanically NCoR functions by associating with nuclear receptors to repress transcription. It is a part of a large protein complex with a molecular weight roughly around 270 kDa. Researchers find NCoR expressed in various tissues throughout the human body with especially high expression levels in the liver and central nervous system. The NCoR protein plays an important role in regulating transcriptional repression through its interaction with other corepressors and nuclear receptors.
Biological function summary

NCoR engages with other proteins to maintain transcriptional repression adapting to cellular signaling. It is part of a protein complex known as the NCoR complex that includes histone deacetylases and transcription factors. The corepressors have significant roles in modulating gene expression critical for multiple cellular and physiological processes. The NCoR complex fine-tunes the balance between the activation and repression of target genes influencing developmental metabolic and immune responses.

Pathways

NCoR participates in thyroid hormone signaling and retinoic acid receptor pathways both critical to maintaining homeostasis. Its association with proteins like histone deacetylases enables NCoR to alter chromatin structure and suppress gene transcription. In these pathways NCoR serves as a bridge connecting various nuclear receptors to other corepressors and transcriptional machinery ensuring precise regulation of gene expression involved in growth differentiation and metabolism.

NCoR is linked to cancer and metabolic syndromes. Aberrations in the NCoR function or expression have associations with breast cancer affecting genes that control cell proliferation and apoptosis. Additionally in metabolic diseases such as obesity altered NCoR activity impacts genes involved in energy balance and insulin signaling. Related proteins like the silencing mediator of retinoic acid and thyroid hormone receptor (SMRT) also associate with these disorders emphasizing NCoR's critical role in maintaining normal biological functions and preventing disease.

Product protocols

For this product, it's our understanding that no specific protocols are required. You can visit:

Target data

Mediates transcriptional repression by certain nuclear receptors (PubMed : 20812024). Part of a complex which promotes histone deacetylation and the formation of repressive chromatin structures which may impede the access of basal transcription factors. Participates in the transcriptional repressor activity produced by BCL6. Recruited by ZBTB7A to the androgen response elements/ARE on target genes, negatively regulates androgen receptor signaling and androgen-induced cell proliferation (PubMed : 20812024). Mediates the NR1D1-dependent repression and circadian regulation of TSHB expression (By similarity). The NCOR1-HDAC3 complex regulates the circadian expression of the core clock gene ARTNL/BMAL1 and the genes involved in lipid metabolism in the liver (By similarity).
See full target information NCOR1

Publications (5)

Recent publications for all applications. Explore the full list and refine your search

Cell communication and signaling : CCS 19:40 PubMed33761934

2021

Discovery of LAMP-2A as potential biomarkers for glioblastoma development by modulating apoptosis through N-CoR degradation.

Applications

Unspecified application

Species

Unspecified reactive species

Yongjie Wang,Buyi Zhang,Jianli Wang,Haijian Wu,Shenbin Xu,Jianmin Zhang,Lin Wang

American journal of translational research 12:5064-5079 PubMed33042406

2020

Intramuscular accumulation of pentadecanoic acid activates AKT1 to phosphorylate NCOR1 and triggers FOXM1-mediated apoptosis in the pathogenesis of sarcopenia.

Applications

Unspecified application

Species

Unspecified reactive species

Fa-Xiu Chen,Ning Du,Jian Hu,Fang Ning,Xun Mei,Qiang Li,Le Peng

Cancer research 77:5808-5819 PubMed28855213

2017

Exosomes from Glioma-Associated Mesenchymal Stem Cells Increase the Tumorigenicity of Glioma Stem-like Cells via Transfer of miR-1587.

Applications

Unspecified application

Species

Unspecified reactive species

Javier Figueroa,Lynette M Phillips,Tal Shahar,Anwar Hossain,Joy Gumin,Hoon Kim,Andrew J Bean,George A Calin,Juan Fueyo,Edgar T Walters,Raghu Kalluri,Roel G Verhaak,Frederick F Lang

Oncotarget 6:9284-94 PubMed25823659

2015

Cytoplasmic accumulation of NCoR in malignant melanoma: consequences of altered gene repression and prognostic significance.

Applications

WB

Species

Human

Fernando Gallardo,Andreina Padrón,Ricard Garcia-Carbonell,Cristina Rius,Abel González-Perez,Montserrat Arumí-Uria,Mar Iglesias,Lara Nonell,Beatriz Bellosillo,Sonia Segura,Ramon Maria Pujol,Nuria Lopez-Bigas,Joan Bertran,Anna Bigas,Lluís Espinosa

Nature cell biology 10:452-9 PubMed18311132

2008

Lamin A-dependent misregulation of adult stem cells associated with accelerated ageing.

Applications

ICC/IF

Species

Human

Paola Scaffidi,Tom Misteli
View all publications

Product promise

We are committed to supporting your work with high-quality reagents, and we're here for you every step of the way. In the unlikely event that one of our products does not perform as expected, you're protected by our Product Promise.
For full details, please see our Terms & Conditions

Associated Products

Select an associated product type
Alternative Product
Primary Antibodies

AB3482

Anti-Nuclear Receptor Corepressor NCoR antibody

primary-antibodies

nuclear-receptor-corepressor-ncor-antibody-ab3482

4

(2 reviews)

Please note: All products are 'FOR RESEARCH USE ONLY. NOT FOR USE IN DIAGNOSTIC OR THERAPEUTIC PROCEDURES'.

For licensing inquiries, please contact partnerships@abcam.com